Hamburger Menu Button
Thermo Fisher Scientific Logo
登录
没有账号?建立账号 注册
  • 产品
    • 抗体
    • 引物合成
    • GeneArt Gene Synthesis Instant Designer
    • TaqMan Assay and Array Search
    • PCR 设备和耗材
    • 色谱柱和纯化柱
    • 实验室离心机
    • 分子生物学试剂和试剂盒
    • 实验室塑料耗材及用品
    • 查看所有产品分类
  • 应用和技术
    • 色谱
    • 细胞转染和培养
    • 实时荧光定量PCR
    • 质谱
    • 实验室塑料耗材及用品
    • 电子显微镜
    • 蛋白质生物学
    • PCR
    • RNAi
    • 环境
    • 查看所有应用和技术
  • 服务
    • 定制服务
    • 企业级实验室信息化服务
    • 金融&租赁服务
    • 仪器服务
    • OEM和商业供应
    • 培训服务
    • 360° CDMO 和 CRO 服务
    • CDMO 服务
    • 临床试验 CRO 服务
    • Unity Lab Services
    • 查看所有帮助和支持
  • 帮助和支持
    • 学习中心
    • 联系我们
    • 更改国家或地区
    • 查看所有帮助和支持
  • 热门产品
    • TaqMan Real-Time PCR Assays
      TaqMan 实时荧光定量 PCR 试剂盒
    • Antibodies
      抗体
    • Oligos, Primers & Probes
      寡核苷酸、引物、探针
    • GeneArt Gene Synthesis
      GeneArt 基因合成
    • Cell Culture Plastics
      细胞培养耗材
  • Who We Serve
    • 抗体治疗解决方案
    • 细胞与基因治疗解决方案
    • 学术科研
    • 工业与应用
  • 联系我们
  • 货号直购
  • 订单查询
  • 查找文件&证书
Thermo Fisher Scientific Logo

Search

搜索全部或下列指定分类
Search button
          • 联系我们
          • 货号直购
          • 登录
            登录
            没有账号?建立账号 注册
            • 我的账号
            • 订单
            • 会员中心
            • 账单及发票查询
            • 定制产品及项目
          • Primary Antibodies ›
          • NK1.1 Antibodies

          Invitrogen

          NK1.1 Monoclonal Antibody (PK136), Super Bright™ 702, eBioscience™

          21个已发表图片
          22 篇参考文献
          查看其他45个NK1.1抗体

          {{$productOrderCtrl.translations['antibody.pdp.commerceCard.promotion.promotions']}}

          {{$productOrderCtrl.translations['antibody.pdp.commerceCard.promotion.viewpromo']}}

          {{$productOrderCtrl.translations['antibody.pdp.commerceCard.promotion.promocode']}}: {{promo.promoCode}} {{promo.promoTitle}} {{promo.promoDescription}}. {{$productOrderCtrl.translations['antibody.pdp.commerceCard.promotion.learnmore']}}

          说明书
          证书
          实验方案
          问题与答案
          技术支持
          说明书
          证书
          实验方案
          问题与答案
          技术支持
          说明书
          证书
          实验方案
          问题与答案
          技术支持

          Cite NK1.1 Monoclonal Antibody (PK136), Super Bright™ 702, eBioscience™

          Additional Information:
          {{banner.description}}
          {{$ctrl.isSkuNotesCollapsed ? 'View more' : 'View less'}}
          • 已发表图片 (21)
          NK1.1 Antibody in Immunohistochemistry (IHC)
          Group 53 Created with Sketch.
          NK1.1 Antibody in Immunohistochemistry (IHC)
          Group 53 Created with Sketch.

          图: 1 / 21

          {{ $ctrl.currentElement.advancedVerification.fullName }}
          {{ $ctrl.currentElement.advancedVerification.text }}

          NK1.1 Antibody (67-5941-82) in IHC

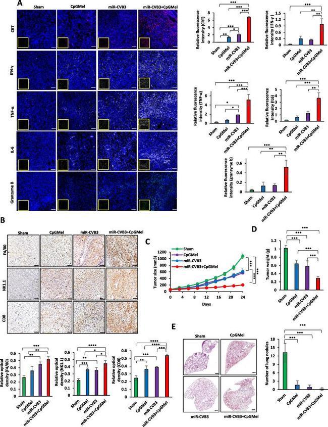
          BMC medicine 2023 - Fig. 4 miR-CVB3 CpGMel increases immune cell infiltration into the tumor microenvironment and reduces distant tumor growth and tumor metastasis into the lungs. A Immunostaining of CRT, IFN-gamma, TNF-alpha, IL-6, and granzyme B in tumor tissues obtained at 14 days after indicated treatments. The purple, white, green, and blue fluorescences represent CRT, cytokines, granzyme B, and nucleus, respectively (le... View More {{ $ctrl.currentElement.advancedVerification.fullName }} 验证信息 View more
          已发表图片由___提供 benchsci-logo
          PMID: {{$ctrl.currentElement.benchSciPubmedId}}
          查看产品

          {{$ctrl.videoDesc}}

          {{$ctrl.videoLongDesc}}

          NK1.1 Antibody in Immunohistochemistry (IHC)
          NK1.1 Antibody in Immunohistochemistry (IHC)
          NK1.1 Antibody in Flow Cytometry (Flow)
          NK1.1 Antibody in Flow Cytometry (Flow)
          NK1.1 Antibody in Flow Cytometry (Flow)
          NK1.1 Antibody in Flow Cytometry (Flow)
          NK1.1 Antibody in Flow Cytometry (Flow)
          NK1.1 Antibody in Flow Cytometry (Flow)
          NK1.1 Antibody in Flow Cytometry (Flow)
          NK1.1 Antibody in Flow Cytometry (Flow)
          NK1.1 Antibody in Flow Cytometry (Flow)
          NK1.1 Antibody in Flow Cytometry (Flow)
          NK1.1 Antibody in Flow Cytometry (Flow)
          NK1.1 Antibody in Flow Cytometry (Flow)
          NK1.1 Antibody in Flow Cytometry (Flow)
          NK1.1 Antibody in Flow Cytometry (Flow)
          NK1.1 Antibody in Flow Cytometry (Flow)
          NK1.1 Antibody in Flow Cytometry (Flow)
          NK1.1 Antibody in Flow Cytometry (Flow)
          NK1.1 Antibody in Flow Cytometry (Flow)
          NK1.1 Antibody in Flow Cytometry (Flow)

          产品信息

          67-5941-82

          应用
          建议稀释比
          已发表文章

          免疫组化 (IHC)

          -
          查看2篇已发表文章 2篇已发表文章

          流式细胞分析 (Flow)

          0.5 µg/test
          查看19篇已发表文章 19篇已发表文章

          其他PubMed (Misc)

          -
          查看1篇已发表文章 1篇已发表文章
          产品规格

          种属反应

          Mouse

          已发表种属

          Mouse

          宿主/亚型

          Mouse / IgG2a, kappa

          推荐的同型对照

          Mouse IgG2a kappa Isotype Control (eBM2a), Super Bright™ 702, eBioscience™

          分类

          Monoclonal

          类型

          Antibody

          克隆号

          PK136

          偶联物

          Super Bright™ 702 Super Bright™ 702 Super Bright™ 702
          • Unconjugated
          • Alexa Fluor 561
          • Alexa Fluor 660 
          • Alexa Fluor 700 
          • APC 
          • APC-eFluor 780
          • Biotin 
          • Brilliant UV 395
          • Brilliant UV 496
          • Brilliant UV 615
          • Brilliant UV 661
          • Brilliant UV 805
          • Brilliant Violet 421
          • Brilliant Violet 480
          • Brilliant Violet 605
          • Brilliant Violet 650
          • Brilliant Violet 711
          • Brilliant Violet 786
          • eFluor 450
          • FITC
          • Functional Grade
          • PE 
          • PE-Cyanine7
          • PE-eFluor 610
          • PerCP-Cyanine5.5
          • Super Bright 436
          • Super Bright 600
          • Super Bright 645
          • Super Bright 780
          • Request custom conjugation

          激发/发射光谱

          413/702 nm 查看光谱 spectra

          形式

          Liquid

          浓度

          0.2 mg/mL

          规格

          100 µg

          纯化类型

          Affinity chromatography

          保存液

          PBS, pH 7.2, with BSA

          内含物

          0.09% sodium azide

          保存条件

          4°C, store in dark, DO NOT FREEZE!

          运输条件

          Ambient (domestic); Wet ice (international)

          RRID

          AB_2735072

          产品详细信息

          Description: The PK136 monoclonal antibody reacts with mouse NK1.1, an antigen expressed by natural killer cells and a subset of T cells in the NK1.1 mouse strains including C57BL and NZB. Several commonly used laboratory mouse strains such as BALB/c, SJL, AKR, CBA, C3H and A do not express the NK1.1 antigen. For detection of NK cells in these strains the monoclonal antibody DX5 (Product # 14-5971) should be used. Simultaneous staining of C57BL/6 spleen cells with PK136 and DX5 reveals coexpression of both markers by a majority of cells as well as presence of small populations of DX5+PK136- and DX5-PK136+ cells.

          Applications Reported: This PK136 antibody has been reported for use in flow cytometric analysis.

          Applications Tested: This PK136 antibody has been tested by flow cytometric analysis of mouse splenocytes. This can be used at less than or equal to 0.5 µg per test. A test is defined as the amount (µg) of antibody that will stain a cell sample in a final volume of 100 µL. Cell number should be determined empirically but can range from 10^5 to 10^8 cells/test. It is recommended that the antibody be carefully titrated for optimal performance in the assay of interest.

          Super Bright 702 is a tandem dye that can be excited with the violet laser line (405 nm) and emits at 702 nm. We recommend using a 710/50 bandpass filter. Please make sure that your instrument is capable of detecting this fluorochrome.

          When using two or more Super Bright dye-conjugated antibodies in a staining panel, it is recommended to use Super Bright Complete Staining Buffer (Product # SB-4401) to minimize any non-specific polymer interactions. Please refer to the datasheet for Super Bright Staining Buffer for more information.

          Light sensitivity: This tandem dye is sensitive to photo-induced oxidation. Protect this vial and stained samples from light.

          Fixation: Samples can be stored in IC Fixation Buffer (Product # 00-8222) (100 µL of cell sample + 100 µL of IC Fixation Buffer) or 1-step Fix/Lyse Solution (Product # 00-5333) for up to 3 days in the dark at 4°C with minimal impact on brightness and FRET efficiency/compensation. Some generalizations regarding fluorophore performance after fixation can be made, but clone specific performance should be determined empirically.

          Excitation: 405 nm; Emission: 702 nm; Laser: Violet Laser

          Super Bright Polymer Dyes are sold under license from Becton, Dickinson and Company.

          靶标信息

          NK1.1 (Killer cell lectin-like receptor subfamily B, member 1, KLRB1, NKR-P1A, CD161, cluster of differentiation 161), refers to Natural Killer (NK) cells, lymphocytes that mediate cytotoxicity and secrete cytokines after immune stimulation. Several genes of the C-type lectin superfamily, including the rodent NKRP1 family of glycoproteins, are expressed by NK cells and may be involved in the regulation of NK cell function. The KLRB1 protein contains an extracellular domain with several motifs characteristic of C-type lectins, a transmembrane domain, and a cytoplasmic domain. The KLRB1 protein, NKR-P1A or CD161, is classified as a type II membrane protein because it has an external C terminus. NKR-P1A, the receptor encoded by the KLRB1 gene, recognizes Lectin Like Transcript-1 (LLT1) as a functional ligand.

          仅用于科研。不用于诊断过程。未经明确授权不得转售。

          How to use the Panel Builder

          Watch the video to learn how to use the Invitrogen Flow Cytometry Panel Builder to build your next flow cytometry panel in 5 easy steps.

          生物信息学

          蛋白别名: CD161 antigen-like family member B; CD161 antigen-like family member C; CD161b; CD161c; Inhibitory receptor NKR-P1B; killer cell lectin-like receptor subfamily A member 1C; killer cell lectin-like receptor subfamily B member 1B allele A; Killer cell lectin-like receptor subfamily B member 1B allele B; Killer cell lectin-like receptor subfamily B member 1C; killer cell lectin-like receptor subfamily B member 1D; KLRB1; Ly-55; ly-55b; Ly-55c; Ly-55d; Ly55; lymphocyte antigen 55 complex, locus B; lymphocyte antigen 55 complex, locus C; lymphocyte antigen 55 complex, locus D; lymphocyte antigen 55b; Lymphocyte antigen 55c; Lymphocyte antigen 55d; lymphocyte antigen 59; MGC163757; MGC163759; natural killer cell receptor protein NKR-P1B; natural killer cell receptor protein NKR-P1C; natural killer cell receptor-P1; Natural killer cell surface protein NKR-P1B allele B6; natural killer cell surface protein NKR-P1B allele SJL/BALB; Natural killer cell surface protein P1-40; natural killer cell-associated antigen 1; natural killer cells; nk cells; NK1.1; NKR-P1 34; NKR-P1 40; NKR-P1.9; NKR-P1C; NKR-P1D

          查看更多 收起

          基因别名: AI462337; CD161; Klrb1b; Klrb1c; Klrb1d; ly-55c; Ly-59; Ly55b; Ly55c; Ly55d; Ly59; Nk-1; Nk-1.2; NK-RP1; Nk1; NK1.1; Nk1.2; NKR-P1.9; NKR-P1B; NKR-P1D; NKRP1; Nkrp1-b; NKRP140; Nkrp1b; Nkrp1c; Nkrp1d

          查看更多 收起

          UniProt ID: (Mouse) Q99JB4, (Mouse) P27814

          查看更多 收起

          Entrez Gene ID: (Mouse) 80782, (Mouse) 17059

          查看更多 收起

          功能
          receptor activity protein binding carbohydrate binding protein homodimerization activity transmembrane signal receptor
          参与通路
          negative regulation of natural killer cell mediated cytotoxicity natural killer cell activation positive regulation of natural killer cell mediated cytotoxicity
          It has to be done as per old AB suggested Products section.

          Disclaimer

          Close

          Clicking the images or links will redirect you to a website hosted by BenchSci that provides third-party scientific content. Neither the content nor the BenchSci technology and processes for selection have been evaluated by us; we are providing them as-is and without warranty of any kind, including for use or application of the Thermo Fisher Scientific products presented.

          guarantee_icon

          性能保障

          只要您发现Invitrogen抗体在实验中的表现与网站或说明书的所述内容不符,您即可享受免费退换货服务。*

          了解更多
          help_icon

          随时为您服务

          获取常见问题的专家解答,或者直接联系我们的技术专家,咨询应用、设备、常规产品使用问题。

          联系技术支持
          订购 Plus Icon Minus Icon
          • 订单状态查询
          • 订单支持
          • 货号直购
          • 现货供应中心
          • 电子采购
          支持 Plus Icon Minus Icon
          • 帮助&支持
          • 联系我们 - 400 820 8982
          • 技术支持中心
          • 查找文件&证书
          • 报告网站问题
          资源 Plus Icon Minus Icon
          • 学习中心
          • 促销
          • 活动&研讨会
          • 社交媒体
          关于赛默飞 Plus Icon Minus Icon
          • 关于我们
          • 招聘 招聘
          • 投资者关系 投资者关系
          • 新闻 新闻
          • 社会责任 社会责任
          • 商标
          • 政策和通知
          品牌 Plus Icon Minus Icon
          • Thermo Scientific
          • Applied Biosystems
          • Invitrogen
          • Gibco
          • Ion Torrent
          • Unity Lab Services
          • Patheon
          • PPD
          • 服务条款
          • 隐私政策
          • 定价和运输保险政策
          © 2006-2026 Thermo Fisher Scientific Inc. All rights reserved. All trademarks are the property of Thermo Fisher Scientific and its subsidiaries unless otherwise specified.
          China flag icon
          China
          本网站销售的所有产品均不得用于人类或动物之临床诊断或治疗,仅可用于工业或者科研等非医疗目的。
             电子营业执照 | 经营证照公示 | ICP备案号:沪ICP备11003924号 | 沪公网安备 31011502006935号

          Your items have has been added!


          Host server : magellan-search-green-6479c7f679-zb4k5:80/100.66.74.142:80.
          git-commit: b70c0dceb888abc3b0dcebb5bc3a5b8753e7e816
          git-url: https://github.com/thermofisher/magellan-search
          git-branch: release/2.50.0-Offline