Hamburger Menu Button
Thermo Fisher Scientific Logo
登录
没有账号?建立账号 注册
  • 产品
    • 抗体
    • 引物合成
    • GeneArt Gene Synthesis Instant Designer
    • TaqMan Assay and Array Search
    • PCR 设备和耗材
    • 色谱柱和纯化柱
    • 实验室离心机
    • 分子生物学试剂和试剂盒
    • 实验室塑料耗材及用品
    • 查看所有产品分类
  • 应用和技术
    • 色谱
    • 细胞转染和培养
    • 实时荧光定量PCR
    • 质谱
    • 实验室塑料耗材及用品
    • 电子显微镜
    • 蛋白质生物学
    • PCR
    • RNAi
    • 环境
    • 查看所有应用和技术
  • 服务
    • 定制服务
    • 企业级实验室信息化服务
    • 企业服务
    • 金融&租赁服务
    • 仪器服务
    • OEM和商业供应
    • 培训服务
    • 360° CDMO 和 CRO 服务
    • CDMO 服务
    • 临床试验 CRO 服务
    • 查看所有帮助和支持
  • 帮助和支持
    • 学习中心
    • 联系我们
    • 更改国家或地区
    • 查看所有帮助和支持
  • 热门产品
    • TaqMan Real-Time PCR Assays
      TaqMan 实时荧光定量 PCR 试剂盒
    • Antibodies
      抗体
    • Oligos, Primers & Probes
      寡核苷酸、引物、探针
    • GeneArt Gene Synthesis
      GeneArt 基因合成
    • Cell Culture Plastics
      细胞培养耗材
  • 联系我们
  • 货号直购
  • 订单查询
  • 查找文件&证书
Thermo Fisher Scientific Logo

Search

搜索全部或下列指定分类
Search button
          • 联系我们
          • 货号直购
          • 登录
            登录
            没有账号?建立账号 注册
            • 我的账号
            • 订单
            • 账单及发票查询
            • 定制产品及项目

          Disclaimer

          Clicking the images or links will redirect you to a website hosted by BenchSci that provides third-party scientific content. Neither the content nor the BenchSci technology and processes for selection have been evaluated by us; we are providing them as-is and without warranty of any kind, including for use or application of the Thermo Fisher Scientific products presented.

          • Primary Antibodies ›
          • Neuroligin 1 Antibodies

          Proteintech

          NLGN1 Monoclonal Antibody (2D1A12)

          1 篇参考文献
          查看其他30个Neuroligin 1抗体

          {{$productOrderCtrl.translations['antibody.pdp.commerceCard.promotion.promotions']}}

          {{$productOrderCtrl.translations['antibody.pdp.commerceCard.promotion.viewpromo']}}

          {{$productOrderCtrl.translations['antibody.pdp.commerceCard.promotion.promocode']}}: {{promo.promoCode}} {{promo.promoTitle}} {{promo.promoDescription}}. {{$productOrderCtrl.translations['antibody.pdp.commerceCard.promotion.learnmore']}}

          说明书
          证书
          实验方案
          问题与答案
          技术支持
          说明书
          证书
          实验方案
          问题与答案
          技术支持
          说明书
          证书
          实验方案
          问题与答案
          技术支持

          Cite NLGN1 Monoclonal Antibody (2D1A12)

          • 抗体检测数据 (5)
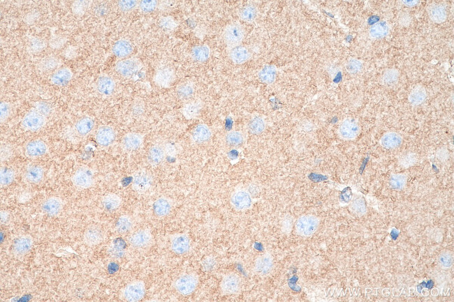
          NLGN1 Antibody in Immunohistochemistry (Paraffin) (IHC (P))
          Group 53 Created with Sketch.
          NLGN1 Antibody in Immunohistochemistry (Paraffin) (IHC (P))
          Group 53 Created with Sketch.

          图: 1 / 5

          {{ $ctrl.currentElement.advancedVerification.fullName }}
          {{ $ctrl.currentElement.advancedVerification.text }}

          NLGN1 Antibody (66964-1-IG) in IHC (P)

          Immunohistochemical analysis of paraffin-embedded mouse brain tissue slide using (Product # 66964-1-IG) (NLGN1 antibody) at dilution of 1:1,500 (under 40x lens). Heat mediated antigen retrieval with Tris-EDTA buffer (pH 9.0). {{ $ctrl.currentElement.advancedVerification.fullName }} 验证信息 View more
          已发表图片由___提供 benchsci-logo
          PMID: {{$ctrl.currentElement.benchSciPubmedId}}
          查看产品

          {{$ctrl.videoDesc}}

          {{$ctrl.videoLongDesc}}

          NLGN1 Antibody in Immunohistochemistry (Paraffin) (IHC (P))
          NLGN1 Antibody in Immunohistochemistry (Paraffin) (IHC (P))
          NLGN1 Antibody in Western Blot (WB)
          NLGN1 Antibody in Western Blot (WB)
          NLGN1 Antibody in Western Blot (WB)

          产品信息

          66964-1-IG

          应用
          建议稀释比
          已发表文章

          免疫印迹 (WB)

          1:10,000
          查看1篇已发表文章 1篇已发表文章

          免疫组化(石蜡) (IHC (P))

          1:800
          -
          产品规格

          种属反应

          Human, Mouse, Pig, Rabbit, Rat

          宿主/亚型

          Mouse / IgG1

          分类

          Monoclonal

          类型

          Antibody

          克隆号

          2D1A12

          抗原

          NLGN1 Fusion Protein Ag6356

          偶联物

          Unconjugated Unconjugated Unconjugated

          形式

          Liquid

          浓度

          1000 µg/mL

          纯化类型

          Protein A

          保存液

          PBS, pH 7.3, with 50% glycerol

          内含物

          0.02% sodium azide

          保存条件

          -20°C

          运输条件

          Wet ice

          产品详细信息

          Aliquoting is unnecessary for -20°C storage.

          靶标信息

          This gene encodes a member of a family of neuronal cell surface proteins. Members of this family may act as splice site-specific ligands for beta-neurexins and may be involved in the formation and remodeling of central nervous system synapses.

          仅用于科研。不用于诊断过程。未经明确授权不得转售。

          生物信息学

          蛋白别名: MGC45115; Neuroligin I; Neuroligin-1; NLG 1

          查看更多 收起

          基因别名: 6330415N05Rik; BB179718; KIAA1070; mKIAA1070; NL1; Nlg1; NLGN1

          查看更多 收起

          UniProt ID: (Human) Q8N2Q7, (Mouse) Q99K10, (Rat) Q62765

          查看更多 收起

          Entrez Gene ID: (Human) 22871, (Rabbit) 100357080, (Pig) 100521043, (Mouse) 192167, (Rat) 116647

          查看更多 收起

          功能
          receptor activity PDZ domain binding neurexin family protein binding protein dimerization activity cell adhesion molecule binding carboxylic ester hydrolase activity scaffold protein binding protein binding cell adhesion molecule
          参与通路
          regulation of respiratory gaseous exchange by neurological system process protein targeting heterophilic cell-cell adhesion via plasma membrane cell adhesion molecules neuron cell-cell adhesion nervous system development synapse assembly positive regulation of circadian sleep/wake cycle, wakefulness synaptic vesicle targeting calcium-dependent cell-cell adhesion via plasma membrane cell adhesion molecules neuronal signal transduction neuron projection development positive regulation of synaptic transmission, GABAergic protein localization to synapse establishment of protein localization regulation of neuron differentiation rhythmic process cytoskeletal matrix organization at active zone protein homooligomerization protein heterotetramerization positive regulation of filopodium assembly positive regulation of synapse assembly positive regulation of synaptic transmission, glutamatergic long-term synaptic potentiation positive regulation of dendritic spine development negative regulation of dendritic spine morphogenesis terminal button organization synaptic vesicle clustering postsynaptic membrane assembly presynaptic membrane assembly AMPA glutamate receptor clustering NMDA glutamate receptor clustering neurexin clustering involved in presynaptic membrane assembly postsynaptic density protein 95 clustering receptor localization to synapse positive regulation of ruffle assembly positive regulation of synaptic vesicle endocytosis positive regulation of protein localization to synapse positive regulation of intracellular signal transduction positive regulation of synaptic vesicle exocytosis regulation of N-methyl-D-aspartate selective glutamate receptor activity regulation of alpha-amino-3-hydroxy-5-methyl-4-isoxazole propionate selective glutamate receptor activity positive regulation of excitatory postsynaptic potential positive regulation of synaptic vesicle clustering cell adhesion synaptic vesicle transport modulation of synaptic transmission synapse organization inhibitory postsynaptic potential metabolic process neuronal ion channel clustering
          It has to be done as per old AB suggested Products section.
          guarantee_icon

          性能保障

          只要您发现Invitrogen抗体在实验中的表现与网站或说明书的所述内容不符,您即可享受免费退换货服务。*

          了解更多
          help_icon

          随时为您服务

          获取常见问题的专家解答,或者直接联系我们的技术专家,咨询应用、设备、常规产品使用问题。

          联系技术支持
          订购 Plus Icon Minus Icon
          • 订单状态查询
          • 订单支持
          • 货号直购
          • 现货供应中心
          • 电子采购
          支持 Plus Icon Minus Icon
          • 帮助&支持
          • 联系我们 - 400 820 8982
          • 技术支持中心
          • 查找文件&证书
          • 报告网站问题
          资源 Plus Icon Minus Icon
          • 学习中心
          • 促销
          • 活动&研讨会
          • 社交媒体
          关于赛默飞 Plus Icon Minus Icon
          • 关于我们
          • 招聘 招聘
          • 投资者关系 投资者关系
          • 新闻 新闻
          • 社会责任 社会责任
          • 商标
          • 政策和通知
          品牌 Plus Icon Minus Icon
          • Thermo Scientific
          • Applied Biosystems
          • Invitrogen
          • Gibco
          • Ion Torrent
          • Patheon
          • PPD
          • 服务条款
          • 隐私政策
          • 定价和运输保险政策
          © 2006-2026 Thermo Fisher Scientific Inc. All rights reserved. All trademarks are the property of Thermo Fisher Scientific and its subsidiaries unless otherwise specified.
          China flag icon
          China
          本网站销售的所有产品均不得用于人类或动物之临床诊断或治疗,仅可用于工业或者科研等非医疗目的。
             电子营业执照 | 经营证照公示 | ICP备案号:沪ICP备11003924号 | 沪公网安备 31011502006935号

          Your items have has been added!


          Host server : magellan-search-blue-55ff9ddd88-wkmnr:80/100.66.75.107:80.
          git-commit: d366ff9721d93504b2ac26a183b2b3e3d0e7d9ec
          git-url: https://github.com/thermofisher/magellan-search
          git-branch: release/2.42.0-2026.01.03-1.0