Hamburger Menu Button
Thermo Fisher Scientific Logo
登录
没有账号?建立账号 注册
  • 产品
    • 抗体
    • 引物合成
    • GeneArt Gene Synthesis Instant Designer
    • TaqMan Assay and Array Search
    • PCR 设备和耗材
    • 色谱柱和纯化柱
    • 实验室离心机
    • 分子生物学试剂和试剂盒
    • 实验室塑料耗材及用品
    • 查看所有产品分类
  • 应用和技术
    • 色谱
    • 细胞转染和培养
    • 实时荧光定量PCR
    • 质谱
    • 实验室塑料耗材及用品
    • 电子显微镜
    • 蛋白质生物学
    • PCR
    • RNAi
    • 环境
    • 查看所有应用和技术
  • 服务
    • 定制服务
    • 企业级实验室信息化服务
    • 金融&租赁服务
    • 仪器服务
    • OEM和商业供应
    • 培训服务
    • 360° CDMO 和 CRO 服务
    • CDMO 服务
    • 临床试验 CRO 服务
    • Unity Lab Services
    • 查看所有帮助和支持
  • 帮助和支持
    • 学习中心
    • 联系我们
    • 更改国家或地区
    • 查看所有帮助和支持
  • 热门产品
    • TaqMan Real-Time PCR Assays
      TaqMan 实时荧光定量 PCR 试剂盒
    • Antibodies
      抗体
    • Oligos, Primers & Probes
      寡核苷酸、引物、探针
    • GeneArt Gene Synthesis
      GeneArt 基因合成
    • Cell Culture Plastics
      细胞培养耗材
  • Who We Serve
    • 抗体治疗解决方案
    • 细胞与基因治疗解决方案
    • 学术科研
    • 工业与应用
  • 联系我们
  • 货号直购
  • 订单查询
  • 查找文件&证书
Thermo Fisher Scientific Logo

Search

搜索全部或下列指定分类
Search button
          • 联系我们
          • 货号直购
          • 登录
            登录
            没有账号?建立账号 注册
            • 我的账号
            • 订单
            • 会员中心
            • 账单及发票查询
            • 定制产品及项目
          • Primary Antibodies ›
          • NOD2 Antibodies

          Proteintech

          NOD2 Polyclonal Antibody

          查看其他14个NOD2抗体

          {{$productOrderCtrl.translations['antibody.pdp.commerceCard.promotion.promotions']}}

          {{$productOrderCtrl.translations['antibody.pdp.commerceCard.promotion.viewpromo']}}

          {{$productOrderCtrl.translations['antibody.pdp.commerceCard.promotion.promocode']}}: {{promo.promoCode}} {{promo.promoTitle}} {{promo.promoDescription}}. {{$productOrderCtrl.translations['antibody.pdp.commerceCard.promotion.learnmore']}}

          说明书
          证书
          实验方案
          问题与答案
          技术支持
          说明书
          证书
          实验方案
          问题与答案
          技术支持
          说明书
          证书
          实验方案
          问题与答案
          技术支持

          Cite NOD2 Polyclonal Antibody

          Additional Information:
          {{banner.description}}
          {{$ctrl.isSkuNotesCollapsed ? 'View more' : 'View less'}}
          • 抗体检测数据 (1)
          NOD2 Antibody in Immunohistochemistry (Paraffin) (IHC (P))
          Group 53 Created with Sketch.
          NOD2 Antibody in Immunohistochemistry (Paraffin) (IHC (P))
          Group 53 Created with Sketch.

          图: 1 / 1

          {{ $ctrl.currentElement.advancedVerification.fullName }}
          {{ $ctrl.currentElement.advancedVerification.text }}

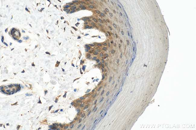
          NOD2 Antibody (30628-1-AP) in IHC (P)

          Immunohistochemical analysis of paraffin-embedded mouse skin tissue slide using 30628-1-AP (NOD2 antibody) at dilution of 1:200 (under 40x lens). Heat mediated antigen retrieval with Tris-EDTA buffer (pH 9.0). {{ $ctrl.currentElement.advancedVerification.fullName }} 验证信息 View more
          已发表图片由___提供 benchsci-logo
          PMID: {{$ctrl.currentElement.benchSciPubmedId}}
          查看产品

          {{$ctrl.videoDesc}}

          {{$ctrl.videoLongDesc}}

          NOD2 Antibody in Immunohistochemistry (Paraffin) (IHC (P))

          产品信息

          30628-1-AP

          应用
          建议稀释比
          已发表文章

          免疫组化(石蜡) (IHC (P))

          1:50-1:500
          -

          酶联免疫吸附实验 (ELISA)

          Assay-dependent
          -
          产品规格

          种属反应

          Human, Mouse

          宿主/亚型

          Rabbit / IgG

          分类

          Polyclonal

          类型

          Antibody

          抗原

          NOD2 fusion protein Ag33771

          偶联物

          Unconjugated Unconjugated Unconjugated

          形式

          Liquid

          浓度

          550 µg/mL

          规格

          82.5 µg

          纯化类型

          Affinity chromatography

          保存液

          PBS, pH 7.3, with 50% glycerol

          内含物

          0.02% sodium azide

          保存条件

          -20°C

          运输条件

          Wet ice

          产品详细信息

          Sequence of this protein is as follows: SQEAFQAQRS QLVELLVSGS LEGFESVLDW LLSWEVLSWE DYEGFHLLGQ PLSHLARRLL DTVWNKGTWA CQKLIAAAQE AQADSQSPKL HGCWDPHSLH PARDLQSHRP AIVRRLHSHV ENMLDLAWER GFVSQYECDE IRLPIFTPSQ RARRLLDLAT VKANGLAAFL LQHVQELPVP LALPLEA*

          靶标信息

          NOD2 is a member of the apoptosis regulating protein family that includes caspase recruitment-domains, as well as Apaf-1 and NOD1. It contains two N-terminal CARDs, a nucleotide binding domain (NBD), and multiple C-terminal leucine-rich repeats (LRRs). NOD2 is expressed in monocytes (whereas NOD1 is expressed in multiple tissues). NOD2 plays a role in regulating NF-kappaB, acts as an intracellular receptor for bacterial lipopolysaccharides, and contributes to inflammatory bowel disease (IBD) and Crohn's disease.

          仅用于科研。不用于诊断过程。未经明确授权不得转售。

          篇参考文献 (0)

          您是否在文献中引用过该产品?请点击下方按钮邮件告知我们。
          引用该产品

          生物信息学

          蛋白别名: caspase recruitment domain family, member 15; caspase recruitment domain protein 15; Caspase recruitment domain-containing protein 15; Inflammatory bowel disease protein 1; NLR family, CARD domain containing 2; NOD 2; NOD-2; NOD-like receptor C2; NOD2 protein; nucleotide-binding oligomerization domain 2; nucleotide-binding oligomerization domain, leucine rich repeat and CARD domain containing 2; Nucleotide-binding oligomerization domain-containing protein 2; unnamed protein product

          查看更多 收起

          基因别名: ACUG; BLAU; BLAUS; CARD15; CD; CLR16.3; F830032C23Rik; IBD1; NLRC2; NOD2; NOD2B; PSORAS1; YAOS

          查看更多 收起

          UniProt ID: (Human) Q9HC29

          查看更多 收起

          Entrez Gene ID: (Human) 64127, (Mouse) 257632

          查看更多 收起

          功能
          nucleotide binding actin binding protein binding ATP binding enzyme binding protein kinase binding Hsp70 protein binding muramyl dipeptide binding pattern recognition receptor activity peptidoglycan binding ubiquitin binding anion binding ADP binding macromolecular complex binding CARD domain binding Hsp90 protein binding carbohydrate derivative binding endodeoxyribonuclease activity, producing 5'-phosphomonoesters non-motor microtubule binding protein scaffold/adaptor protein
          参与通路
          temperature homeostasis pattern recognition receptor signaling pathway adaptive immune response immune system process positive regulation of dendritic cell antigen processing and presentation positive regulation of cytokine production involved in immune response positive regulation of dendritic cell cytokine production positive regulation of type 2 immune response autophagy defense response I-kappaB kinase/NF-kappaB signaling response to nutrient positive regulation of cell proliferation detection of biotic stimulus detection of bacterium maintenance of gastrointestinal epithelium regulation of appetite response to muramyl dipeptide detection of muramyl dipeptide positive regulation of interleukin-1 beta production positive regulation of interleukin-10 production positive regulation of interleukin-17 production positive regulation of interleukin-6 production positive regulation of interleukin-8 production positive regulation of tumor necrosis factor production positive regulation of stress-activated MAPK cascade intracellular signal transduction intestinal stem cell homeostasis p38MAPK cascade defense response to bacterium regulation of apoptotic process positive regulation of I-kappaB kinase/NF-kappaB signaling negative regulation of I-kappaB kinase/NF-kappaB signaling positive regulation of MAPK cascade innate immune response positive regulation of Notch signaling pathway positive regulation of transcription from RNA polymerase II promoter positive regulation of JNK cascade positive regulation of gamma-delta T cell activation host-mediated regulation of intestinal microbiota composition positive regulation of epithelial cell proliferation regulation of inflammatory response positive regulation of B cell activation positive regulation of NF-kappaB transcription factor activity positive regulation of ERK1 and ERK2 cascade nucleotide-binding oligomerization domain containing 2 signaling pathway protein K63-linked ubiquitination cellular response to lipopolysaccharide cellular response to peptidoglycan cellular response to muramyl dipeptide protein linear polyubiquitination antibacterial innate immune response positive regulation of cytokine production involved in inflammatory response positive regulation of NIK/NF-kappaB signaling positive regulation of mitophagy positive regulation of protein K63-linked ubiquitination negative regulation of macrophage apoptotic process innate immune response in mucosa activation of immune response cytokine production involved in immune response cytokine secretion involved in immune response immunoglobulin production involved in immunoglobulin mediated immune response negative regulation of T cell mediated immunity negative regulation of inflammatory response to antigenic stimulus positive regulation of humoral immune response mediated by circulating immunoglobulin inflammatory response positive regulation of antibacterial peptide biosynthetic process positive regulation of biosynthetic process of antibacterial peptides active against Gram-positive bacteria signal transduction positive regulation of protein ubiquitination negative regulation of NF-kappaB transcription factor activity response to peptidoglycan response to lipopolysaccharide negative regulation of interferon-gamma production negative regulation of interleukin-12 production negative regulation of interleukin-18 production negative regulation of interleukin-2 production negative regulation of tumor necrosis factor production positive regulation of interleukin-12 production negative regulation of toll-like receptor 2 signaling pathway activation of MAPK activity involved in innate immune response response to exogenous dsRNA positive regulation of phosphatidylinositol 3-kinase activity negative regulation of growth of symbiont in host positive regulation of innate immune response positive regulation of interleukin-1 beta secretion positive regulation of peptidyl-tyrosine phosphorylation positive regulation of phagocytosis defense response to Gram-positive bacterium protein oligomerization positive regulation of oxidoreductase activity positive regulation of nitric-oxide synthase biosynthetic process positive regulation of prostaglandin-endoperoxide synthase activity macrophage inflammatory protein-1 alpha production regulation of neutrophil chemotaxis positive regulation of prostaglandin-E synthase activity
          It has to be done as per old AB suggested Products section.

          Disclaimer

          Close

          Clicking the images or links will redirect you to a website hosted by BenchSci that provides third-party scientific content. Neither the content nor the BenchSci technology and processes for selection have been evaluated by us; we are providing them as-is and without warranty of any kind, including for use or application of the Thermo Fisher Scientific products presented.

          guarantee_icon

          性能保障

          只要您发现Invitrogen抗体在实验中的表现与网站或说明书的所述内容不符,您即可享受免费退换货服务。*

          了解更多
          help_icon

          随时为您服务

          获取常见问题的专家解答,或者直接联系我们的技术专家,咨询应用、设备、常规产品使用问题。

          联系技术支持
          订购 Plus Icon Minus Icon
          • 订单状态查询
          • 订单支持
          • 货号直购
          • 现货供应中心
          • 电子采购
          支持 Plus Icon Minus Icon
          • 帮助&支持
          • 联系我们 - 400 820 8982
          • 技术支持中心
          • 查找文件&证书
          • 报告网站问题
          资源 Plus Icon Minus Icon
          • 学习中心
          • 促销
          • 活动&研讨会
          • 社交媒体
          关于赛默飞 Plus Icon Minus Icon
          • 关于我们
          • 招聘 招聘
          • 投资者关系 投资者关系
          • 新闻 新闻
          • 社会责任 社会责任
          • 商标
          • 政策和通知
          品牌 Plus Icon Minus Icon
          • Thermo Scientific
          • Applied Biosystems
          • Invitrogen
          • Gibco
          • Ion Torrent
          • Unity Lab Services
          • Patheon
          • PPD
          • 服务条款
          • 隐私政策
          • 定价和运输保险政策
          © 2006-2026 Thermo Fisher Scientific Inc. All rights reserved. All trademarks are the property of Thermo Fisher Scientific and its subsidiaries unless otherwise specified.
          China flag icon
          China
          本网站销售的所有产品均不得用于人类或动物之临床诊断或治疗,仅可用于工业或者科研等非医疗目的。
             电子营业执照 | 经营证照公示 | ICP备案号:沪ICP备11003924号 | 沪公网安备 31011502006935号

          Your items have has been added!


          Host server : magellan-search-blue-7c59b9b899-49tpj:80/100.66.77.222:80.
          git-commit: 8ef7cf686e3c81d28b13492708ce56d167b2f995
          git-url: https://github.com/thermofisher/magellan-search
          git-branch: release/2.49.0-Offline