Hamburger Menu Button
Thermo Fisher Scientific Logo
登录
没有账号?建立账号 注册
  • 产品
    • 抗体
    • 引物合成
    • GeneArt Gene Synthesis Instant Designer
    • TaqMan Assay and Array Search
    • PCR 设备和耗材
    • 色谱柱和纯化柱
    • 实验室离心机
    • 分子生物学试剂和试剂盒
    • 实验室塑料耗材及用品
    • 查看所有产品分类
  • 应用和技术
    • 色谱
    • 细胞转染和培养
    • 实时荧光定量PCR
    • 质谱
    • 实验室塑料耗材及用品
    • 电子显微镜
    • 蛋白质生物学
    • PCR
    • RNAi
    • 环境
    • 查看所有应用和技术
  • 服务
    • 定制服务
    • 企业级实验室信息化服务
    • 金融&租赁服务
    • 仪器服务
    • OEM和商业供应
    • 培训服务
    • 360° CDMO 和 CRO 服务
    • CDMO 服务
    • 临床试验 CRO 服务
    • Unity Lab Services
    • 查看所有帮助和支持
  • 帮助和支持
    • 学习中心
    • 联系我们
    • 更改国家或地区
    • 查看所有帮助和支持
  • 热门产品
    • TaqMan Real-Time PCR Assays
      TaqMan 实时荧光定量 PCR 试剂盒
    • Antibodies
      抗体
    • Oligos, Primers & Probes
      寡核苷酸、引物、探针
    • GeneArt Gene Synthesis
      GeneArt 基因合成
    • Cell Culture Plastics
      细胞培养耗材
  • Who We Serve
    • 抗体治疗解决方案
    • 细胞与基因治疗解决方案
    • 学术科研
    • 工业与应用
  • 联系我们
  • 货号直购
  • 订单查询
  • 查找文件&证书
Thermo Fisher Scientific Logo

Search

搜索全部或下列指定分类
Search button
          • 联系我们
          • 货号直购
          • 登录
            登录
            没有账号?建立账号 注册
            • 我的账号
            • 订单
            • 账单及发票查询
            • 定制产品及项目
          • Primary Antibodies ›
          • NOTCH2 Antibodies

          Rockland

          NOTCH 2 Polyclonal Antibody

          查看其他20个NOTCH2抗体

          {{$productOrderCtrl.translations['antibody.pdp.commerceCard.promotion.promotions']}}

          {{$productOrderCtrl.translations['antibody.pdp.commerceCard.promotion.viewpromo']}}

          {{$productOrderCtrl.translations['antibody.pdp.commerceCard.promotion.promocode']}}: {{promo.promoCode}} {{promo.promoTitle}} {{promo.promoDescription}}. {{$productOrderCtrl.translations['antibody.pdp.commerceCard.promotion.learnmore']}}

          说明书
          证书
          实验方案
          问题与答案
          技术支持
          说明书
          证书
          实验方案
          问题与答案
          技术支持
          说明书
          证书
          实验方案
          问题与答案
          技术支持

          Cite NOTCH 2 Polyclonal Antibody

          Additional Information:
          {{banner.description}}
          {{$ctrl.isSkuNotesCollapsed ? 'View more' : 'View less'}}
          • 抗体检测数据 (2)
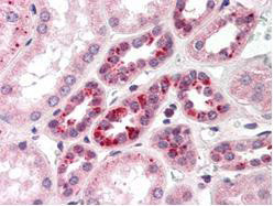
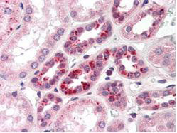
          NOTCH 2 Antibody in Immunohistochemistry (Paraffin) (IHC (P))
          Group 53 Created with Sketch.
          NOTCH 2 Antibody in Immunohistochemistry (Paraffin) (IHC (P))
          Group 53 Created with Sketch.

          图: 1 / 2

          {{ $ctrl.currentElement.advancedVerification.fullName }}
          {{ $ctrl.currentElement.advancedVerification.text }}

          NOTCH 2 Antibody (100-401-406) in IHC (P)

          Rocklands Anti-Notch 2 antibody was diluted 1:500 to detect NOTCH 2 in human kidney tissue. Tissue was formalin fixed and paraffin embedded. No pre-treatment of sample was required. The image shows the localization of antibody as the precipitated red signal, with a hematoxylin purple nuclear counter stain. {{ $ctrl.currentElement.advancedVerification.fullName }} 验证信息 View more
          已发表图片由___提供 benchsci-logo
          PMID: {{$ctrl.currentElement.benchSciPubmedId}}
          查看产品

          {{$ctrl.videoDesc}}

          {{$ctrl.videoLongDesc}}

          NOTCH 2 Antibody in Immunohistochemistry (Paraffin) (IHC (P))
          NOTCH 2 Antibody in Western Blot (WB)
          NOTCH 2 Polyclonal Antibody

          产品信息

          100-401-406

          应用
          建议稀释比
          已发表文章

          免疫印迹 (WB)

          1:400-1:2,000
          -

          免疫组化(石蜡) (IHC (P))

          1:200-1:800
          -

          酶联免疫吸附实验 (ELISA)

          1:30,000-1:90,000
          -

          免疫沉淀 (IP)

          1:400-1:2,000
          -
          产品规格

          种属反应

          Dog, Chimpanzee, Human

          宿主/亚型

          Rabbit / IgG

          分类

          Polyclonal

          类型

          Antibody

          抗原

          This whole rabbit serum was prepared by repeated immunizations with a synthetic peptide corresponding to an internal region near amino acid residues 2390-2415 of human Notch 2 (the total protein is 2471 aa). A residue of cysteine was added to the amino terminal end to facilitate coupling.
          3D表位/免疫原

          偶联物

          Unconjugated Unconjugated Unconjugated

          形式

          Liquid

          浓度

          75 mg/mL

          规格

          15 mg

          保存液

          0.02M potassium phosphate/whole serum, pH 7.2, with 0.15M NaCl

          内含物

          0.1% sodium azide

          保存条件

          -20°C, Avoid Freeze/Thaw Cycles

          运输条件

          Ambient (domestic); Wet ice (international)

          产品详细信息

          Store vial at -20° C prior to opening. Aliquot contents and freeze at -20° C or below for extended storage. Avoid cycles of freezing and thawing. Centrifuge product if not completely clear after standing at room temperature. This product is stable for several weeks at 4° C as an undiluted liquid. Dilute only prior to immediate use.

          This antiserum is directed against human NOTCH 2. The peptide sequence shows 100% alignment with human, dog and chimpanzee sequence. Only one (1) amino acid difference is found in mouse and this change is non-conservative. Based on the sequence we expect this antibody to react as well with rat and mouse NOTCH 2. No specific information is available for other reactivities.

          靶标信息

          Neurogenic locus notch homolog protein 2 (NOTCH2) is a highly conserved Notch signaling pathway protein. NOTCH2 is a type 1 transmembrane protein with an extracellular domain consisting of multiple epidermal growth factor-like (EGF) repeats, and an intracellular domain consisting of multiple, different domain types. NOTCH2 functions as a receptor for membrane-bound ligands Jagged1, Jagged2 and Delta1 to regulate cell-fate determination. Defects in NOTCH2 are the cause of Alagille syndrome type 2 (ALGS2). Alagille syndrome is an autosomal dominant multisystem disorder defined clinically by hepatic bile duct paucity and cholestasis in association with cardiac, skeletal, and ophthalmologic manifestations. There are characteristic facial features and less frequent clinical involvement of the renal and vascular systems.

          仅用于科研。不用于诊断过程。未经明确授权不得转售。

          篇参考文献 (0)

          您是否在文献中引用过该产品?请点击下方按钮邮件告知我们。
          引用该产品

          生物信息学

          蛋白别名: membrane bound receptor; Neurogenic locus notch homolog protein 2; Notch 2; Notch homolog 2; putative cell-fate determining protein; transmembrane protein; unnamed protein product

          查看更多 收起

          基因别名: AGS2; HJCYS; hN2; NOTCH2

          查看更多 收起

          UniProt ID: (Human) Q04721

          查看更多 收起

          Entrez Gene ID: (Human) 4853, (Dog) 483148

          查看更多 收起

          功能
          transcription coactivator activity calcium ion binding protein binding enzyme binding signaling receptor activity NF-kappaB binding
          参与通路
          negative regulation of transcription from RNA polymerase II promoter in utero embryonic development cell fate determination liver development placenta development heart looping morphogenesis of an epithelial sheet marginal zone B cell differentiation inflammatory response to antigenic stimulus atrioventricular node development pulmonary valve morphogenesis regulation of transcription, DNA-templated regulation of transcription from RNA polymerase II promoter apoptotic process humoral immune response Notch signaling pathway determination of left/right symmetry nervous system development axon guidance cell proliferation positive regulation of cell proliferation organ morphogenesis negative regulation of macromolecule biosynthetic process negative regulation of gene expression positive regulation of keratinocyte proliferation hemopoiesis cell differentiation embryonic limb morphogenesis BMP signaling pathway positive regulation of BMP signaling pathway multicellular organism growth intracellular signal transduction intrahepatic bile duct development wound healing defense response to bacterium regulation of apoptotic process myeloid dendritic cell differentiation positive regulation of apoptotic process negative regulation of apoptotic process positive regulation of osteoclast differentiation positive regulation of transcription from RNA polymerase II promoter positive regulation of Ras protein signal transduction bone remodeling regulation of developmental process positive regulation of smooth muscle cell differentiation cardiac septum morphogenesis atrial septum morphogenesis placenta blood vessel development ciliary body morphogenesis positive regulation of ERK1 and ERK2 cascade left/right axis specification cellular response to tumor cell proximal tubule development glomerular visceral epithelial cell development glomerular capillary formation hepatocyte proliferation liver morphogenesis positive regulation of pri-miRNA transcription from RNA polymerase II promoter regulation of hemopoiesis cholangiocyte proliferation regulation of osteoclast development
          It has to be done as per old AB suggested Products section.

          Disclaimer

          Close

          Clicking the images or links will redirect you to a website hosted by BenchSci that provides third-party scientific content. Neither the content nor the BenchSci technology and processes for selection have been evaluated by us; we are providing them as-is and without warranty of any kind, including for use or application of the Thermo Fisher Scientific products presented.

          guarantee_icon

          性能保障

          只要您发现Invitrogen抗体在实验中的表现与网站或说明书的所述内容不符,您即可享受免费退换货服务。*

          了解更多
          help_icon

          随时为您服务

          获取常见问题的专家解答,或者直接联系我们的技术专家,咨询应用、设备、常规产品使用问题。

          联系技术支持
          订购 Plus Icon Minus Icon
          • 订单状态查询
          • 订单支持
          • 货号直购
          • 现货供应中心
          • 电子采购
          支持 Plus Icon Minus Icon
          • 帮助&支持
          • 联系我们 - 400 820 8982
          • 技术支持中心
          • 查找文件&证书
          • 报告网站问题
          资源 Plus Icon Minus Icon
          • 学习中心
          • 促销
          • 活动&研讨会
          • 社交媒体
          关于赛默飞 Plus Icon Minus Icon
          • 关于我们
          • 招聘 招聘
          • 投资者关系 投资者关系
          • 新闻 新闻
          • 社会责任 社会责任
          • 商标
          • 政策和通知
          品牌 Plus Icon Minus Icon
          • Thermo Scientific
          • Applied Biosystems
          • Invitrogen
          • Gibco
          • Ion Torrent
          • Unity Lab Services
          • Patheon
          • PPD
          • 服务条款
          • 隐私政策
          • 定价和运输保险政策
          © 2006-2026 Thermo Fisher Scientific Inc. All rights reserved. All trademarks are the property of Thermo Fisher Scientific and its subsidiaries unless otherwise specified.
          China flag icon
          China
          本网站销售的所有产品均不得用于人类或动物之临床诊断或治疗,仅可用于工业或者科研等非医疗目的。
             电子营业执照 | 经营证照公示 | ICP备案号:沪ICP备11003924号 | 沪公网安备 31011502006935号

          Your items have has been added!


          Host server : magellan-search-green-b49b87d85-n9r8p:80/100.66.76.150:80.
          git-commit: 5b8c860b7cdb41e9cfe07630520f6b51e109d38e
          git-url: https://github.com/thermofisher/magellan-search
          git-branch: release/2.47.0-Offline