Hamburger Menu Button
Thermo Fisher Scientific Logo
登录
没有账号?建立账号 注册
  • 产品
    • 抗体
    • 引物合成
    • GeneArt Gene Synthesis Instant Designer
    • TaqMan Assay and Array Search
    • PCR 设备和耗材
    • 色谱柱和纯化柱
    • 实验室离心机
    • 分子生物学试剂和试剂盒
    • 实验室塑料耗材及用品
    • 查看所有产品分类
  • 应用和技术
    • 色谱
    • 细胞转染和培养
    • 实时荧光定量PCR
    • 质谱
    • 实验室塑料耗材及用品
    • 电子显微镜
    • 蛋白质生物学
    • PCR
    • RNAi
    • 环境
    • 查看所有应用和技术
  • 服务
    • 定制服务
    • 企业级实验室信息化服务
    • 金融&租赁服务
    • 仪器服务
    • OEM和商业供应
    • 培训服务
    • 360° CDMO 和 CRO 服务
    • CDMO 服务
    • 临床试验 CRO 服务
    • Unity Lab Services
    • 查看所有帮助和支持
  • 帮助和支持
    • 学习中心
    • 联系我们
    • 更改国家或地区
    • 查看所有帮助和支持
  • 热门产品
    • TaqMan Real-Time PCR Assays
      TaqMan 实时荧光定量 PCR 试剂盒
    • Antibodies
      抗体
    • Oligos, Primers & Probes
      寡核苷酸、引物、探针
    • GeneArt Gene Synthesis
      GeneArt 基因合成
    • Cell Culture Plastics
      细胞培养耗材
  • Who We Serve
    • 抗体治疗解决方案
    • 细胞与基因治疗解决方案
    • 学术科研
    • 工业与应用
  • 联系我们
  • 货号直购
  • 订单查询
  • 查找文件&证书
Thermo Fisher Scientific Logo

Search

搜索全部或下列指定分类
Search button
          • 联系我们
          • 货号直购
          • 登录
            登录
            没有账号?建立账号 注册
            • 我的账号
            • 订单
            • 会员中心
            • 账单及发票查询
            • 定制产品及项目
          • Primary Antibodies ›
          • NOTCH1 Antibodies

          Invitrogen

          NOTCH1 Polyclonal Antibody

          1个已发表图片
          1 篇参考文献
          查看其他42个NOTCH1抗体

          {{$productOrderCtrl.translations['antibody.pdp.commerceCard.promotion.promotions']}}

          {{$productOrderCtrl.translations['antibody.pdp.commerceCard.promotion.viewpromo']}}

          {{$productOrderCtrl.translations['antibody.pdp.commerceCard.promotion.promocode']}}: {{promo.promoCode}} {{promo.promoTitle}} {{promo.promoDescription}}. {{$productOrderCtrl.translations['antibody.pdp.commerceCard.promotion.learnmore']}}

          说明书
          证书
          实验方案
          问题与答案
          技术支持
          说明书
          证书
          实验方案
          问题与答案
          技术支持
          说明书
          证书
          实验方案
          问题与答案
          技术支持

          Cite NOTCH1 Polyclonal Antibody

          Additional Information:
          {{banner.description}}
          {{$ctrl.isSkuNotesCollapsed ? 'View more' : 'View less'}}
          • 抗体检测数据 (12)
          • 已发表图片 (1)
          NOTCH1 Antibody in Immunocytochemistry (ICC/IF)
          Group 53 Created with Sketch.
          NOTCH1 Antibody in Immunocytochemistry (ICC/IF)
          Group 53 Created with Sketch.

          图: 1 / 13

          {{ $ctrl.currentElement.advancedVerification.fullName }}
          {{ $ctrl.currentElement.advancedVerification.text }}

          NOTCH1 Antibody (PA5-95827) in ICC/IF

          Immunofluorescence analysis of NOTCH1 in NIH/3T3 cells. Samples were incubated with NOTCH1 Polyclonal antibody (Product # PA5-95827) using a dilution of 1:200 (40x lens). Blue: DAPI for nuclear staining. {{ $ctrl.currentElement.advancedVerification.fullName }} 验证信息 View more
          已发表图片由___提供 benchsci-logo
          PMID: {{$ctrl.currentElement.benchSciPubmedId}}
          查看产品

          {{$ctrl.videoDesc}}

          {{$ctrl.videoLongDesc}}

          NOTCH1 Antibody in Immunocytochemistry (ICC/IF)
          NOTCH1 Antibody in Immunocytochemistry (ICC/IF)
          NOTCH1 Antibody in Immunocytochemistry (ICC/IF)
          NOTCH1 Antibody in Immunocytochemistry (ICC/IF)
          NOTCH1 Antibody in Immunocytochemistry (ICC/IF)
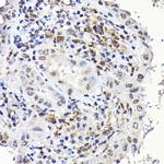
          NOTCH1 Antibody in Immunohistochemistry (Paraffin) (IHC (P))
          NOTCH1 Antibody in Immunohistochemistry (Paraffin) (IHC (P))
          NOTCH1 Antibody in Immunohistochemistry (Paraffin) (IHC (P))
          NOTCH1 Antibody in Immunohistochemistry (Paraffin) (IHC (P))
          NOTCH1 Antibody in Western Blot (WB)
          NOTCH1 Antibody in Western Blot (WB)
          NOTCH1 Antibody in Western Blot (WB)
          NOTCH1 Antibody in Western Blot (WB)
          NOTCH1 Polyclonal Antibody

          产品信息

          PA5-95827

          应用
          建议稀释比
          已发表文章

          免疫印迹 (WB)

          1:500-1:2,000
          查看1篇已发表文章 1篇已发表文章

          免疫组化(石蜡) (IHC (P))

          1:50-1:200
          -

          免疫细胞化学 (ICC/IF)

          1:50-1:200
          -

          酶联免疫吸附实验 (ELISA)

          1 µg/mL
          -
          产品规格

          种属反应

          Human, Mouse, Rat

          宿主/亚型

          Rabbit / IgG

          分类

          Polyclonal

          类型

          Antibody

          抗原

          Recombinant protein (or fragment)
          3D表位/免疫原

          偶联物

          Unconjugated Unconjugated Unconjugated

          形式

          Liquid

          浓度

          1.09 mg/mL

          规格

          109 µg

          纯化类型

          Affinity Chromatography

          保存液

          PBS, pH 7.3, with 50% glycerol

          内含物

          0.09% sodium azide

          保存条件

          -20°C, Avoid Freeze/Thaw Cycles

          运输条件

          Ambient (domestic); Wet ice (international)

          RRID

          AB_2807629

          产品详细信息

          Positive Samples: U-251MG; Cellular Location: Cell membrane, Nucleus, Single-pass type I membrane protein

          Immunogen sequence: VPEHPFLTPS PESPD

          靶标信息

          The notch gene belongs to a family of epidermal growth factor (EGF) like homeotic genes, which encode transmembrane proteins with a variable number of cysteine-rich EGF-like repeats in the extracellular region. Four notch genes have been described in mammals: Notch1, Notch2, Notch3 and Notch4(Int-3), which have been implicated in the differentiation of the nervous system and other structures. The EGF-like proteins Delta and Serrate have been identified as ligands of Notch1. Mature Notch proteins are heterodimeric receptors derived from the cleavage of Notch pre-proteins into an extracellular subunit (NEC) containing multiple EGF-like repeats and a transmembrane subunit including intracellular region (Ntm).

          仅用于科研。不用于诊断过程。未经明确授权不得转售。

          生物信息学

          蛋白别名: Drosophila Notch homolog 1 (controlling the the ectodermal and neural cell fate in Drosophila); major type A protein; Motch A; mT14; Neurogenic locus notch homolog protein 1; Notch 1; Notch gene homolog 1; Notch homolog 1, translocation-associated; NOTCH1; p300; RP23-306D20.12; RP23-306D20.12-001; TAN1; Translocation-associated notch protein TAN-1; transmembrane receptor Notch1; unnamed protein product

          查看更多 收起

          基因别名: 9930111A19Rik; AOS5; AOVD1; hN1; lin-12; Mis6; Motch; N1; NOTCH; NOTCH1; TAN1

          查看更多 收起

          UniProt ID: (Human) P46531, (Mouse) Q01705, (Rat) Q07008

          查看更多 收起

          Entrez Gene ID: (Human) 4851, (Mouse) 18128, (Rat) 25496

          查看更多 收起

          功能
          chromatin binding transcription coactivator activity enzyme inhibitor activity transmembrane signaling receptor activity Notch binding calcium ion binding protein binding enzyme binding chromatin DNA binding signaling receptor activity identical protein binding metal ion binding transcription regulator activator activity core promoter binding transcriptional activator activity, RNA polymerase II transcription factor binding transcription factor activity, sequence-specific DNA binding receptor activity sequence-specific DNA binding protein heterodimerization activity
          参与通路
          negative regulation of transcription from RNA polymerase II promoter angiogenesis in utero embryonic development cell fate specification epithelial to mesenchymal transition liver development heart looping sprouting angiogenesis osteoblast fate commitment positive regulation of neuroblast proliferation inflammatory response to antigenic stimulus endocardium development endocardium morphogenesis atrioventricular node development coronary vein morphogenesis aortic valve morphogenesis atrioventricular valve morphogenesis pulmonary valve morphogenesis mitral valve formation epithelial to mesenchymal transition involved in endocardial cushion formation endocardial cushion morphogenesis cardiac chamber formation cardiac ventricle morphogenesis cardiac atrium morphogenesis cardiac right atrium morphogenesis cardiac left ventricle morphogenesis cardiac right ventricle formation ventricular trabecula myocardium morphogenesis growth involved in heart morphogenesis regulation of transcription from RNA polymerase II promoter involved in myocardial precursor cell differentiation regulation of cardioblast proliferation Notch signaling pathway involved in regulation of secondary heart field cardioblast proliferation cell migration involved in endocardial cushion formation pericardium morphogenesis transcription, DNA-templated regulation of transcription, DNA-templated regulation of transcription from RNA polymerase II promoter transcription from RNA polymerase II promoter humoral immune response Notch signaling pathway positive regulation of transcription of Notch receptor target multicellular organism development spermatogenesis determination of left/right symmetry compartment pattern specification axonogenesis foregut morphogenesis endoderm development heart development positive regulation of cell proliferation negative regulation of cell proliferation epidermis development regulation of Notch signaling pathway auditory receptor cell fate commitment glial cell differentiation regulation of gene expression positive regulation of epithelial to mesenchymal transition negative regulation of cell-substrate adhesion negative regulation of myotube differentiation mesenchymal cell development regulation of somitogenesis neural tube development cell differentiation neuron differentiation keratinocyte differentiation negative regulation of ossification lung development embryonic limb morphogenesis regulation of cell migration positive regulation of cell migration positive regulation of BMP signaling pathway negative regulation of BMP signaling pathway forebrain development hair follicle morphogenesis response to muramyl dipeptide embryonic hindlimb morphogenesis tube formation skeletal muscle cell differentiation cellular response to vascular endothelial growth factor stimulus regulation of cell proliferation anagen positive regulation of apoptotic process negative regulation of catalytic activity cell fate commitment negative regulation of cell differentiation positive regulation of endothelial cell differentiation regulation of auditory receptor cell differentiation negative regulation of auditory receptor cell differentiation positive regulation of keratinocyte differentiation negative regulation of myoblast differentiation negative regulation of neuron differentiation negative regulation of osteoblast differentiation positive regulation of glial cell differentiation positive regulation of Notch signaling pathway negative regulation of transcription, DNA-templated positive regulation of transcription, DNA-templated positive regulation of transcription from RNA polymerase II promoter negative regulation of calcium ion-dependent exocytosis positive regulation of JAK-STAT cascade negative regulation of photoreceptor cell differentiation somatic stem cell division neuron fate commitment astrocyte differentiation positive regulation of astrocyte differentiation negative regulation of oligodendrocyte differentiation branching morphogenesis of an epithelial tube regulation of epithelial cell proliferation positive regulation of epithelial cell proliferation regulation of neurogenesis negative regulation of neurogenesis regulation of developmental process cardiac muscle tissue morphogenesis cardiac muscle cell proliferation positive regulation of cardiac muscle cell proliferation negative regulation of glial cell proliferation cardiac epithelial to mesenchymal transition cardiac septum morphogenesis ventricular septum morphogenesis secretory columnal luminar epithelial cell differentiation involved in prostate glandular acinus development negative regulation of cell death prostate gland epithelium morphogenesis regulation of epithelial cell proliferation involved in prostate gland development arterial endothelial cell differentiation venous endothelial cell differentiation cardiac vascular smooth muscle cell development endocardial cell differentiation vasculogenesis involved in coronary vascular morphogenesis coronary artery morphogenesis Notch signaling involved in heart development regulation of cell adhesion involved in heart morphogenesis heart trabecula morphogenesis positive regulation of transcription from RNA polymerase II promoter in response to hypoxia left/right axis specification cellular response to follicle-stimulating hormone stimulus interleukin-4 secretion negative regulation of cell migration involved in sprouting angiogenesis negative regulation of canonical Wnt signaling pathway positive regulation of ephrin receptor signaling pathway regulation of extracellular matrix assembly apoptotic process involved in embryonic digit morphogenesis negative regulation of stem cell differentiation negative regulation of anoikis negative regulation of pro-B cell differentiation negative regulation of endothelial cell chemotaxis luteolysis inhibition of neuroepithelial cell differentiation outflow tract morphogenesis coronary sinus valve morphogenesis endocardial cushion development negative regulation of cell proliferation involved in heart valve morphogenesis negative regulation of extracellular matrix constituent secretion protein import into nucleus apoptotic process immune response axon guidance cell proliferation epidermal cell fate specification gene expression negative regulation of cardiac muscle hypertrophy positive regulation of gene expression negative regulation of gene expression negative regulation of cardiac muscle cell apoptotic process calcium ion regulated exocytosis cell differentiation in spinal cord central nervous system neuron differentiation protein catabolic process organ regeneration response to lipopolysaccharide negative regulation of collagen biosynthetic process tissue regeneration retinal cone cell differentiation negative regulation of programmed cell death positive regulation of viral genome replication positive regulation of Ras protein signal transduction oligodendrocyte differentiation venous blood vessel morphogenesis homeostasis of number of cells within a tissue epithelial cell proliferation negative regulation of epithelial cell proliferation positive regulation of smooth muscle cell differentiation cilium morphogenesis negative regulation of cell adhesion molecule production cardiac muscle cell myoblast differentiation neuroendocrine cell differentiation positive regulation of cardiac epithelial to mesenchymal transition negative regulation of biomineral tissue development positive regulation of ERK1 and ERK2 cascade cellular response to tumor cell cellular response to hypoxia distal tubule development collecting duct development regulation of stem cell proliferation glomerular mesangial cell development epithelial cell fate commitment T-helper 17 type immune response neuronal stem cell population maintenance interleukin-17-mediated signaling pathway chemical synaptic transmission, postsynaptic negative regulation of cold-induced thermogenesis positive regulation of apoptotic process involved in morphogenesis positive regulation of aorta morphogenesis negative regulation of cell-cell adhesion mediated by cadherin brain development response to corticosteroid
          It has to be done as per old AB suggested Products section.

          Disclaimer

          Close

          Clicking the images or links will redirect you to a website hosted by BenchSci that provides third-party scientific content. Neither the content nor the BenchSci technology and processes for selection have been evaluated by us; we are providing them as-is and without warranty of any kind, including for use or application of the Thermo Fisher Scientific products presented.

          guarantee_icon

          性能保障

          只要您发现Invitrogen抗体在实验中的表现与网站或说明书的所述内容不符,您即可享受免费退换货服务。*

          了解更多
          help_icon

          随时为您服务

          获取常见问题的专家解答,或者直接联系我们的技术专家,咨询应用、设备、常规产品使用问题。

          联系技术支持
          订购 Plus Icon Minus Icon
          • 订单状态查询
          • 订单支持
          • 货号直购
          • 现货供应中心
          • 电子采购
          支持 Plus Icon Minus Icon
          • 帮助&支持
          • 联系我们 - 400 820 8982
          • 技术支持中心
          • 查找文件&证书
          • 报告网站问题
          资源 Plus Icon Minus Icon
          • 学习中心
          • 促销
          • 活动&研讨会
          • 社交媒体
          关于赛默飞 Plus Icon Minus Icon
          • 关于我们
          • 招聘 招聘
          • 投资者关系 投资者关系
          • 新闻 新闻
          • 社会责任 社会责任
          • 商标
          • 政策和通知
          品牌 Plus Icon Minus Icon
          • Thermo Scientific
          • Applied Biosystems
          • Invitrogen
          • Gibco
          • Ion Torrent
          • Unity Lab Services
          • Patheon
          • PPD
          • 服务条款
          • 隐私政策
          • 定价和运输保险政策
          © 2006-2026 Thermo Fisher Scientific Inc. All rights reserved. All trademarks are the property of Thermo Fisher Scientific and its subsidiaries unless otherwise specified.
          China flag icon
          China
          本网站销售的所有产品均不得用于人类或动物之临床诊断或治疗,仅可用于工业或者科研等非医疗目的。
             电子营业执照 | 经营证照公示 | ICP备案号:沪ICP备11003924号 | 沪公网安备 31011502006935号

          Your items have has been added!


          Host server : magellan-search-green-6479c7f679-2tbgc:80/100.66.78.195:80.
          git-commit: b70c0dceb888abc3b0dcebb5bc3a5b8753e7e816
          git-url: https://github.com/thermofisher/magellan-search
          git-branch: release/2.50.0-Offline