Hamburger Menu Button
Thermo Fisher Scientific Logo
登录
没有账号?建立账号 注册
  • 产品
    • 抗体
    • 引物合成
    • GeneArt Gene Synthesis Instant Designer
    • TaqMan Assay and Array Search
    • PCR 设备和耗材
    • 色谱柱和纯化柱
    • 实验室离心机
    • 分子生物学试剂和试剂盒
    • 实验室塑料耗材及用品
    • 查看所有产品分类
  • 应用和技术
    • 色谱
    • 细胞转染和培养
    • 实时荧光定量PCR
    • 质谱
    • 实验室塑料耗材及用品
    • 电子显微镜
    • 蛋白质生物学
    • PCR
    • RNAi
    • 环境
    • 查看所有应用和技术
  • 服务
    • 定制服务
    • 企业级实验室信息化服务
    • 金融&租赁服务
    • 仪器服务
    • OEM和商业供应
    • 培训服务
    • 360° CDMO 和 CRO 服务
    • CDMO 服务
    • 临床试验 CRO 服务
    • Unity Lab Services
    • 查看所有帮助和支持
  • 帮助和支持
    • 学习中心
    • 联系我们
    • 更改国家或地区
    • 查看所有帮助和支持
  • 热门产品
    • TaqMan Real-Time PCR Assays
      TaqMan 实时荧光定量 PCR 试剂盒
    • Antibodies
      抗体
    • Oligos, Primers & Probes
      寡核苷酸、引物、探针
    • GeneArt Gene Synthesis
      GeneArt 基因合成
    • Cell Culture Plastics
      细胞培养耗材
  • Who We Serve
    • 抗体治疗解决方案
    • 细胞与基因治疗解决方案
    • 学术科研
    • 工业与应用
  • 联系我们
  • 货号直购
  • 订单查询
  • 查找文件&证书
Thermo Fisher Scientific Logo

Search

搜索全部或下列指定分类
Search button
          • 联系我们
          • 货号直购
          • 登录
            登录
            没有账号?建立账号 注册
            • 我的账号
            • 订单
            • 账单及发票查询
            • 定制产品及项目
          • Primary Antibodies ›
          • NOX2 Antibodies

          Proteintech

          NOX2 Polyclonal Antibody

          139 篇参考文献
          查看其他22个NOX2抗体

          {{$productOrderCtrl.translations['antibody.pdp.commerceCard.promotion.promotions']}}

          {{$productOrderCtrl.translations['antibody.pdp.commerceCard.promotion.viewpromo']}}

          {{$productOrderCtrl.translations['antibody.pdp.commerceCard.promotion.promocode']}}: {{promo.promoCode}} {{promo.promoTitle}} {{promo.promoDescription}}. {{$productOrderCtrl.translations['antibody.pdp.commerceCard.promotion.learnmore']}}

          说明书
          证书
          实验方案
          问题与答案
          技术支持
          说明书
          证书
          实验方案
          问题与答案
          技术支持
          说明书
          证书
          实验方案
          问题与答案
          技术支持

          Cite NOX2 Polyclonal Antibody

          Additional Information:
          {{banner.description}}
          {{$ctrl.isSkuNotesCollapsed ? 'View more' : 'View less'}}
          • 抗体检测数据 (11)
          NOX2 Antibody in Immunohistochemistry (Paraffin) (IHC (P))
          Group 53 Created with Sketch.
          NOX2 Antibody in Immunohistochemistry (Paraffin) (IHC (P))
          Group 53 Created with Sketch.

          图: 1 / 11

          {{ $ctrl.currentElement.advancedVerification.fullName }}
          {{ $ctrl.currentElement.advancedVerification.text }}

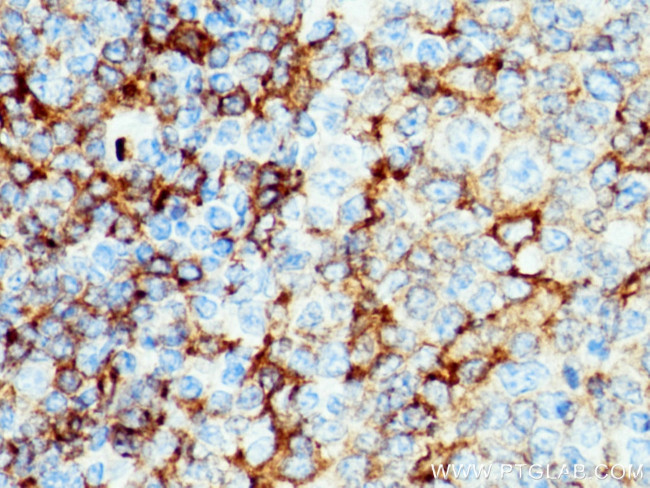
          NOX2 Antibody (19013-1-AP) in IHC (P)

          Immunohistochemical analysis of paraffin-embedded Human tonsillitis tissue slide using (Product # 19013-1-AP) NOX2 antibody at dilution of 1:1,000 (under 40x lens). Heat mediated antigen retrieval with Tris-EDTA buffer (pH 9.0). {{ $ctrl.currentElement.advancedVerification.fullName }} 验证信息 View more
          已发表图片由___提供 benchsci-logo
          PMID: {{$ctrl.currentElement.benchSciPubmedId}}
          查看产品

          {{$ctrl.videoDesc}}

          {{$ctrl.videoLongDesc}}

          NOX2 Antibody in Immunohistochemistry (Paraffin) (IHC (P))
          NOX2 Antibody in Immunohistochemistry (Paraffin) (IHC (P))
          NOX2 Antibody in Immunohistochemistry (Paraffin) (IHC (P))
          NOX2 Antibody in Immunohistochemistry (Paraffin) (IHC (P))
          NOX2 Antibody in Immunohistochemistry (PFA fixed) (IHC (PFA))
          NOX2 Antibody in Western Blot (WB)
          NOX2 Antibody in Western Blot (WB)
          NOX2 Antibody in Western Blot (WB)
          NOX2 Antibody in Western Blot (WB)
          NOX2 Antibody in Western Blot (WB)
          NOX2 Antibody in Western Blot (WB)

          产品信息

          19013-1-AP

          应用
          建议稀释比
          已发表文章

          免疫印迹 (WB)

          1:500-1:1,000
          查看111篇已发表文章 111篇已发表文章

          免疫组化 (IHC)

          -
          查看12篇已发表文章 12篇已发表文章

          免疫组化(石蜡) (IHC (P))

          1:100-1:400
          -

          免疫组织化学(多聚甲醛固定) (IHC (PFA))

          1:1,000
          -

          免疫细胞化学 (ICC/IF)

          -
          查看10篇已发表文章 10篇已发表文章

          其他PubMed (Misc)

          -
          查看2篇已发表文章 2篇已发表文章

          不适用 (N/A)

          -
          查看4篇已发表文章 4篇已发表文章
          产品规格

          种属反应

          Human, Mouse, Rat

          已发表种属

          Human, Mouse, Rat

          宿主/亚型

          Rabbit / IgG

          分类

          Polyclonal

          类型

          Antibody

          抗原

          NOX2 Fusion Protein Ag5536 (422-577 aa encoded by BC032720)

          偶联物

          Unconjugated Unconjugated Unconjugated

          形式

          Liquid

          浓度

          0.13 mg/mL

          规格

          19.5 µg

          纯化类型

          Antigen affinity chromatography

          保存液

          PBS, pH 7.3, with 50% glycerol

          内含物

          0.02% sodium azide

          保存条件

          -20°C

          运输条件

          Wet ice (domestic); Dry ice (international)

          产品详细信息

          Immunogen sequence: SILKSVWYK YCNNATNLKL KKIYFYWLCR DTHAFEWFAD LLQLLESQMQ ERNNAGFLSY NIYLTGWDES QANHFAVHHD EEKDVITGLK QKTLYGRPNW DNEFKTIASQ HPNTRIGVFL CGPEALAETL SKQSISNSES GPRGVHFIFN KENF (422-577 aa encoded by B C032720)

          靶标信息

          Mox1 and the glycoprotein gp91-phox are largely related proteins that are essential components of the NADPH oxidase. The superoxide-generating NADPH oxidase complex expresses in phagocytes, neuroepithelial bodies, vascular smooth muscle cells, and endothelial cells. It includes a membrane bound flavocytochrome containing two subunits, gp91-phox and p22-phox, and the cytosolic proteins p47-phox and p67-phox. The p22- and gp91-phox subunits also function as surface O2 sensors that initiate cellular signaling in response to hypoxic conditions. Mox1 and gp91 contain identical C-terminal sequence identity, yet possess distinct expression patterns. gp91-phox expresses in eosinophils, neutrophils, monocytes, and B-lymphocytes, whereas Mox1 is predominantly detected in the colon, with low expression in the uterus and prostate.

          仅用于科研。不用于诊断过程。未经明确授权不得转售。

          生物信息学

          蛋白别名: CGD91-phox; Cytochrome b(558) subunit beta; cytochrome b-245 beta polypeptide; Cytochrome b-245 heavy chain; cytochrome b-245, beta polypeptide; Cytochrome b558 subunit beta; endothelial type gp91-phox; GP91 PHOX; gp91-1; gp91-phox; GP911; Heme-binding membrane glycoprotein gp91phox; NADPH oxidase 2; Neutrophil cytochrome b 91 kDa polypeptide; p22 phagocyte B-cytochrome; p91PHOX; Superoxide-generating NADPH oxidase heavy chain subunit; unnamed protein product

          查看更多 收起

          基因别名: AMCBX2; C88302; CGD; CGD91-phox; CGDX; CYBB; Cyd; GP91-1; GP91-PHOX; GP91PHOX; IMD34; NOX2; p91-PHOX

          查看更多 收起

          UniProt ID: (Human) P04839, (Mouse) Q61093

          查看更多 收起

          Entrez Gene ID: (Human) 1536, (Rat) 66021, (Mouse) 13058

          查看更多 收起

          功能
          protein binding electron carrier activity NAD(P)H oxidase activity superoxide-generating NADPH oxidase activity oxidoreductase activity heme binding voltage-gated proton channel activity metal ion binding protein heterodimerization activity flavin adenine dinucleotide binding oxidoreductase activity, acting on NAD(P)H, oxygen as acceptor NADPH binding FAD binding superoxide-generating NADPH oxidase activity voltage-gated ion channel activity N-ethylmaleimide reductase activity reduced coenzyme F420 dehydrogenase activity sulfur oxygenase reductase activity malolactic enzyme activity NADPH:sulfur oxidoreductase activity epoxyqueuosine reductase activity oxidase
          参与通路
          superoxide metabolic process ion transport defense response inflammatory response response to nutrient response to xenobiotic stimulus positive regulation of tumor necrosis factor production ion transmembrane transport superoxide anion generation innate immune response response to ethanol respiratory burst positive regulation of angiogenesis hydrogen peroxide biosynthetic process cellular response to cadmium ion cellular response to ethanol cellular response to hypoxia hypoxia-inducible factor-1alpha signaling pathway response to aldosterone cellular response to L-glutamine response to angiotensin response to drug oxidation-reduction process transport regulation of ion transmembrane transport
          It has to be done as per old AB suggested Products section.

          Disclaimer

          Close

          Clicking the images or links will redirect you to a website hosted by BenchSci that provides third-party scientific content. Neither the content nor the BenchSci technology and processes for selection have been evaluated by us; we are providing them as-is and without warranty of any kind, including for use or application of the Thermo Fisher Scientific products presented.

          guarantee_icon

          性能保障

          只要您发现Invitrogen抗体在实验中的表现与网站或说明书的所述内容不符,您即可享受免费退换货服务。*

          了解更多
          help_icon

          随时为您服务

          获取常见问题的专家解答,或者直接联系我们的技术专家,咨询应用、设备、常规产品使用问题。

          联系技术支持
          订购 Plus Icon Minus Icon
          • 订单状态查询
          • 订单支持
          • 货号直购
          • 现货供应中心
          • 电子采购
          支持 Plus Icon Minus Icon
          • 帮助&支持
          • 联系我们 - 400 820 8982
          • 技术支持中心
          • 查找文件&证书
          • 报告网站问题
          资源 Plus Icon Minus Icon
          • 学习中心
          • 促销
          • 活动&研讨会
          • 社交媒体
          关于赛默飞 Plus Icon Minus Icon
          • 关于我们
          • 招聘 招聘
          • 投资者关系 投资者关系
          • 新闻 新闻
          • 社会责任 社会责任
          • 商标
          • 政策和通知
          品牌 Plus Icon Minus Icon
          • Thermo Scientific
          • Applied Biosystems
          • Invitrogen
          • Gibco
          • Ion Torrent
          • Unity Lab Services
          • Patheon
          • PPD
          • 服务条款
          • 隐私政策
          • 定价和运输保险政策
          © 2006-2026 Thermo Fisher Scientific Inc. All rights reserved. All trademarks are the property of Thermo Fisher Scientific and its subsidiaries unless otherwise specified.
          China flag icon
          China
          本网站销售的所有产品均不得用于人类或动物之临床诊断或治疗,仅可用于工业或者科研等非医疗目的。
             电子营业执照 | 经营证照公示 | ICP备案号:沪ICP备11003924号 | 沪公网安备 31011502006935号

          Your items have has been added!


          Host server : magellan-search-green-b49b87d85-n9r8p:80/100.66.76.150:80.
          git-commit: 5b8c860b7cdb41e9cfe07630520f6b51e109d38e
          git-url: https://github.com/thermofisher/magellan-search
          git-branch: release/2.47.0-Offline