Hamburger Menu Button
Thermo Fisher Scientific Logo
登录
没有账号?建立账号 注册
  • 产品
    • 抗体
    • 引物合成
    • GeneArt Gene Synthesis Instant Designer
    • TaqMan Assay and Array Search
    • PCR 设备和耗材
    • 色谱柱和纯化柱
    • 实验室离心机
    • 分子生物学试剂和试剂盒
    • 实验室塑料耗材及用品
    • 查看所有产品分类
  • 应用和技术
    • 色谱
    • 细胞转染和培养
    • 实时荧光定量PCR
    • 质谱
    • 实验室塑料耗材及用品
    • 电子显微镜
    • 蛋白质生物学
    • PCR
    • RNAi
    • 环境
    • 查看所有应用和技术
  • 服务
    • 定制服务
    • 企业级实验室信息化服务
    • 金融&租赁服务
    • 仪器服务
    • OEM和商业供应
    • 培训服务
    • 360° CDMO 和 CRO 服务
    • CDMO 服务
    • 临床试验 CRO 服务
    • Unity Lab Services
    • 查看所有帮助和支持
  • 帮助和支持
    • 学习中心
    • 联系我们
    • 更改国家或地区
    • 查看所有帮助和支持
  • 热门产品
    • TaqMan Real-Time PCR Assays
      TaqMan 实时荧光定量 PCR 试剂盒
    • Antibodies
      抗体
    • Oligos, Primers & Probes
      寡核苷酸、引物、探针
    • GeneArt Gene Synthesis
      GeneArt 基因合成
    • Cell Culture Plastics
      细胞培养耗材
  • Who We Serve
    • 抗体治疗解决方案
    • 细胞与基因治疗解决方案
    • 学术科研
    • 工业与应用
  • 联系我们
  • 货号直购
  • 订单查询
  • 查找文件&证书
Thermo Fisher Scientific Logo

Search

搜索全部或下列指定分类
Search button
          • 联系我们
          • 货号直购
          • 登录
            登录
            没有账号?建立账号 注册
            • 我的账号
            • 订单
            • 账单及发票查询
            • 定制产品及项目
          • Primary Antibodies ›
          • NPM1 Antibodies

          Bethyl Laboratories

          NPM1 Polyclonal Antibody

          查看其他57个NPM1抗体

          {{$productOrderCtrl.translations['antibody.pdp.commerceCard.promotion.promotions']}}

          {{$productOrderCtrl.translations['antibody.pdp.commerceCard.promotion.viewpromo']}}

          {{$productOrderCtrl.translations['antibody.pdp.commerceCard.promotion.promocode']}}: {{promo.promoCode}} {{promo.promoTitle}} {{promo.promoDescription}}. {{$productOrderCtrl.translations['antibody.pdp.commerceCard.promotion.learnmore']}}

          说明书
          证书
          实验方案
          问题与答案
          技术支持
          说明书
          证书
          实验方案
          问题与答案
          技术支持
          说明书
          证书
          实验方案
          问题与答案
          技术支持

          Cite NPM1 Polyclonal Antibody

          Additional Information:
          {{banner.description}}
          {{$ctrl.isSkuNotesCollapsed ? 'View more' : 'View less'}}
          • 抗体检测数据 (2)
          NPM1 Antibody in Immunohistochemistry (Paraffin) (IHC (P))
          Group 53 Created with Sketch.
          NPM1 Antibody in Immunohistochemistry (Paraffin) (IHC (P))
          Group 53 Created with Sketch.

          图: 1 / 2

          {{ $ctrl.currentElement.advancedVerification.fullName }}
          {{ $ctrl.currentElement.advancedVerification.text }}

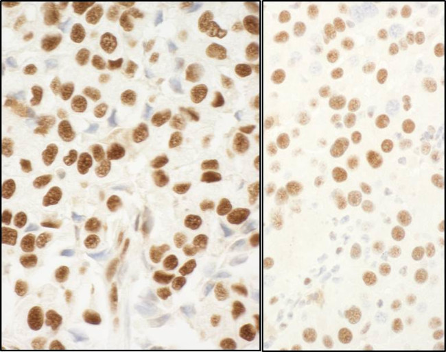
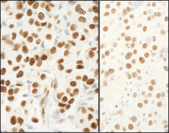
          NPM1 Antibody (A302-404A) in IHC (P)

          Detection of human and mouse NPM1 by immunohistochemistry. Sample: FFPE section of human breast carcinoma (left) and mouse renal cell carcinoma (right). Antibody: Affinity purified rabbit anti-NPM1 (Product # A302-404A) (Lot 1) used at a dilution of 1:1,000 (1 µg/mL). Detection: DAB. {{ $ctrl.currentElement.advancedVerification.fullName }} 验证信息 View more
          已发表图片由___提供 benchsci-logo
          PMID: {{$ctrl.currentElement.benchSciPubmedId}}
          查看产品

          {{$ctrl.videoDesc}}

          {{$ctrl.videoLongDesc}}

          NPM1 Antibody in Immunohistochemistry (Paraffin) (IHC (P))
          NPM1 Antibody in Immunoprecipitation (IP)
          NPM1 Polyclonal Antibody

          产品信息

          A302-404A

          应用
          建议稀释比
          已发表文章

          免疫印迹 (WB)

          Assay-dependent
          -

          免疫组化 (IHC)

          1:1,000-1:5,000
          -

          免疫组化(石蜡) (IHC (P))

          1:1,000-1:5,000
          -

          免疫沉淀 (IP)

          5-10 µg/mg lysate
          -
          产品规格

          种属反应

          Human, Mouse

          宿主/亚型

          Rabbit / IgG

          分类

          Polyclonal

          类型

          Antibody

          抗原

          Region between residue 250 and 294 of human nucleophosmin.
          3D表位/免疫原

          偶联物

          Unconjugated Unconjugated Unconjugated

          形式

          Liquid

          浓度

          1 mg/mL

          规格

          100 µg

          纯化类型

          Antigen affinity chromatography

          保存液

          tris citrate/phosphate, pH 7-8

          内含物

          0.09% sodium azide

          保存条件

          4°C

          运输条件

          Ambient (domestic); Wet ice (international)

          产品详细信息

          The recommended shelf life for this product is 1 year from date of receipt.

          Application Note: For IHC, epitope retrieval with citrate buffer pH 6.0 is recommended for FFPE tissue sections.

          Based on 100% sequence identity, this antibody is predicted to react with Rat and Bovine

          靶标信息

          NPM1 (Nucleophosmin 1, B23, nutramin, NO38) is a ubiquitously expressed phosphoprotein involved in ribosome assembly/transport, cytoplasmic/nuclear trafficking, regulation of DNA polymerase alpha activity, centrosome duplication, and regulation of p53. NPM1 continuously shuttles between the nucleus, cytoplasm, nucleolus and chaperoning core histones from the nucleus to the cytoplasm. NPM1 has been shown to bind nucleic acid, prevent protein aggregation via its chaperon activities, protect enzymes during thermal denaturation, and facilitate renaturation of chemically denatured proteins. In its cellular structure role, there is evidence suggesting NPM1 is associated with the centrosome, and is the substrate of CDK2/cyclin E during duplication of centrosomes (cellular division). Due to the NPM1 gene interaction with several tumor-associated chromosome translocations, NPM1 is thought to be a portion of several fusion proteins: NPM-ALK, NPM-RAR, and NPM-MLF1. While it is not thought to be part of the transforming potential of these fusion proteins, NPM1 is believed to act as the interface for oligomerization and oncogenic conversion of these tumor promoting fusion proteins. Further, NPM1 is also known to sequester the tumor suppressor RF in the nucleolus, protecting it from degradation until it is necessary. Dysfunction of the NPM1 protein is associated with diseases such as acute myeloid leukemia and lymphomatoid papulosis.

          仅用于科研。不用于诊断过程。未经明确授权不得转售。

          篇参考文献 (0)

          您是否在文献中引用过该产品?请点击下方按钮邮件告知我们。
          引用该产品

          生物信息学

          蛋白别名: B23 antibody; deletion in NPMc- AML; MGC104254; mNPM antibody; mNPM1 antibody; mutation A in NPMc+ AML; mutation B in NPMc+ AML; mutation C in NPMc+ AML; mutation D in NPMc+ AML; mutation E in NPMc+ AML; mutation F in NPMc+ AML; NO38 antibody; NPM; Nucleolar phosphoprotein B23; Nucleolar protein NO38; Nucleophosmin; nucleophosmin (nucleolar phosphoprotein B23 numatrin) isoform NPM1_1; nucleophosmin (nucleolar phosphoprotein B23 numatrin) isoform NPM1_2; nucleophosmin (nucleolar phosphoprotein B23, numatrin); nucleophosmin/nucleoplasmin family, member 1; Numatrin; numatrin antibody; testicular tissue protein Li 128; unnamed protein product

          查看更多 收起

          基因别名: B23; NO38; NPM; NPM1

          查看更多 收起

          UniProt ID: (Human) P06748, (Mouse) Q61937

          查看更多 收起

          Entrez Gene ID: (Human) 4869, (Mouse) 18148

          查看更多 收起

          功能
          core promoter sequence-specific DNA binding nucleic acid binding chromatin binding transcription coactivator activity RNA binding protein kinase inhibitor activity protein binding rRNA binding protein kinase binding Tat protein binding histone binding identical protein binding protein homodimerization activity ribosomal large subunit binding ribosomal small subunit binding NF-kappaB binding unfolded protein binding binding, bridging DNA-binding transcription factor binding DNA binding phosphatidylinositol-3,4,5-trisphosphate binding enzyme binding poly(A) RNA binding protein heterodimerization activity protein N-terminus binding chaperone
          参与通路
          ribosomal large subunit export from nucleus ribosomal small subunit export from nucleus regulation of cell growth DNA repair nucleosome assembly chromatin remodeling protein import into nucleus cell volume homeostasis intracellular protein transport nucleocytoplasmic transport centrosome cycle signal transduction protein localization positive regulation of cell proliferation negative regulation of cell proliferation positive regulation of biosynthetic process positive regulation of macromolecule metabolic process posttranscriptional regulation of gene expression negative regulation of gene expression regulation of centrosome duplication positive regulation of centrosome duplication negative regulation of centrosome duplication macrophage differentiation positive regulation of protein ubiquitination regulation of protein stability regulation of endodeoxyribonuclease activity cellular response to UV regulation of cell proliferation ribosome biogenesis ribosome assembly ribosomal large subunit biogenesis ribosomal small subunit biogenesis negative regulation of apoptotic process regulation of DNA damage response, signal transduction by p53 class mediator negative regulation of protein kinase activity by regulation of protein phosphorylation positive regulation of translation positive regulation of transcription, DNA-templated positive regulation of nucleobase-containing compound metabolic process positive regulation of transcription from RNA polymerase II promoter regulation of centriole replication negative regulation of mRNA splicing, via spliceosome protein stabilization positive regulation of NF-kappaB transcription factor activity regulation of cell cycle regulation of endoribonuclease activity regulation of eIF2 alpha phosphorylation by dsRNA cellular senescence regulation of mRNA stability involved in cellular response to UV positive regulation of cell cycle G2/M phase transition positive regulation of protein localization to nucleolus rRNA export from nucleus response to stress cell aging cell growth positive regulation of cellular biosynthetic process protein destabilization positive regulation of catalytic activity regulation of neuron apoptotic process positive regulation of DNA replication positive regulation of protein kinase activity positive regulation of DNA metabolic process protein oligomerization protein homooligomerization
          It has to be done as per old AB suggested Products section.

          Disclaimer

          Close

          Clicking the images or links will redirect you to a website hosted by BenchSci that provides third-party scientific content. Neither the content nor the BenchSci technology and processes for selection have been evaluated by us; we are providing them as-is and without warranty of any kind, including for use or application of the Thermo Fisher Scientific products presented.

          guarantee_icon

          性能保障

          只要您发现Invitrogen抗体在实验中的表现与网站或说明书的所述内容不符,您即可享受免费退换货服务。*

          了解更多
          help_icon

          随时为您服务

          获取常见问题的专家解答,或者直接联系我们的技术专家,咨询应用、设备、常规产品使用问题。

          联系技术支持
          订购 Plus Icon Minus Icon
          • 订单状态查询
          • 订单支持
          • 货号直购
          • 现货供应中心
          • 电子采购
          支持 Plus Icon Minus Icon
          • 帮助&支持
          • 联系我们 - 400 820 8982
          • 技术支持中心
          • 查找文件&证书
          • 报告网站问题
          资源 Plus Icon Minus Icon
          • 学习中心
          • 促销
          • 活动&研讨会
          • 社交媒体
          关于赛默飞 Plus Icon Minus Icon
          • 关于我们
          • 招聘 招聘
          • 投资者关系 投资者关系
          • 新闻 新闻
          • 社会责任 社会责任
          • 商标
          • 政策和通知
          品牌 Plus Icon Minus Icon
          • Thermo Scientific
          • Applied Biosystems
          • Invitrogen
          • Gibco
          • Ion Torrent
          • Unity Lab Services
          • Patheon
          • PPD
          • 服务条款
          • 隐私政策
          • 定价和运输保险政策
          © 2006-2026 Thermo Fisher Scientific Inc. All rights reserved. All trademarks are the property of Thermo Fisher Scientific and its subsidiaries unless otherwise specified.
          China flag icon
          China
          本网站销售的所有产品均不得用于人类或动物之临床诊断或治疗,仅可用于工业或者科研等非医疗目的。
             电子营业执照 | 经营证照公示 | ICP备案号:沪ICP备11003924号 | 沪公网安备 31011502006935号

          Your items have has been added!


          Host server : magellan-search-green-6b469b8bb7-b97mm:80/100.66.72.101:80.
          git-commit: a334af76dff23450325448aedefe62379591458a
          git-url: https://github.com/thermofisher/magellan-search
          git-branch: release/2.48.1-2026.04.16-1.0