Hamburger Menu Button
Thermo Fisher Scientific Logo
登录
没有账号?建立账号 注册
  • 产品
    • 抗体
    • 引物合成
    • GeneArt Gene Synthesis Instant Designer
    • TaqMan Assay and Array Search
    • PCR 设备和耗材
    • 色谱柱和纯化柱
    • 实验室离心机
    • 分子生物学试剂和试剂盒
    • 实验室塑料耗材及用品
    • 查看所有产品分类
  • 应用和技术
    • 色谱
    • 细胞转染和培养
    • 实时荧光定量PCR
    • 质谱
    • 实验室塑料耗材及用品
    • 电子显微镜
    • 蛋白质生物学
    • PCR
    • RNAi
    • 环境
    • 查看所有应用和技术
  • 服务
    • 定制服务
    • 企业级实验室信息化服务
    • 金融&租赁服务
    • 仪器服务
    • OEM和商业供应
    • 培训服务
    • 360° CDMO 和 CRO 服务
    • CDMO 服务
    • 临床试验 CRO 服务
    • Unity Lab Services
    • 查看所有帮助和支持
  • 帮助和支持
    • 学习中心
    • 联系我们
    • 更改国家或地区
    • 查看所有帮助和支持
  • 热门产品
    • TaqMan Real-Time PCR Assays
      TaqMan 实时荧光定量 PCR 试剂盒
    • Antibodies
      抗体
    • Oligos, Primers & Probes
      寡核苷酸、引物、探针
    • GeneArt Gene Synthesis
      GeneArt 基因合成
    • Cell Culture Plastics
      细胞培养耗材
  • Who We Serve
    • 抗体治疗解决方案
    • 细胞与基因治疗解决方案
    • 学术科研
    • 工业与应用
  • 联系我们
  • 货号直购
  • 订单查询
  • 查找文件&证书
Thermo Fisher Scientific Logo

Search

搜索全部或下列指定分类
Search button
          • 联系我们
          • 货号直购
          • 登录
            登录
            没有账号?建立账号 注册
            • 我的账号
            • 订单
            • 会员中心
            • 账单及发票查询
            • 定制产品及项目
          • Primary Antibodies ›
          • NRG1 Antibodies

          Bioss

          NRG1 Polyclonal Antibody

          查看其他22个NRG1抗体

          {{$productOrderCtrl.translations['antibody.pdp.commerceCard.promotion.promotions']}}

          {{$productOrderCtrl.translations['antibody.pdp.commerceCard.promotion.viewpromo']}}

          {{$productOrderCtrl.translations['antibody.pdp.commerceCard.promotion.promocode']}}: {{promo.promoCode}} {{promo.promoTitle}} {{promo.promoDescription}}. {{$productOrderCtrl.translations['antibody.pdp.commerceCard.promotion.learnmore']}}

          说明书
          证书
          实验方案
          问题与答案
          技术支持
          说明书
          证书
          实验方案
          问题与答案
          技术支持
          说明书
          证书
          实验方案
          问题与答案
          技术支持

          Cite NRG1 Polyclonal Antibody

          Additional Information:
          {{banner.description}}
          {{$ctrl.isSkuNotesCollapsed ? 'View more' : 'View less'}}
          • 抗体检测数据 (3)
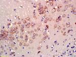
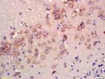
          NRG1 Antibody in Immunohistochemistry (Paraffin) (IHC (P))
          Group 53 Created with Sketch.
          NRG1 Antibody in Immunohistochemistry (Paraffin) (IHC (P))
          Group 53 Created with Sketch.

          图: 1 / 3

          {{ $ctrl.currentElement.advancedVerification.fullName }}
          {{ $ctrl.currentElement.advancedVerification.text }}

          NRG1 Antibody (BS-11917R) in IHC (P)

          Tissue/cell: Rat brain tissue; 4% Paraformaldehyde-fixed and paraffin-embedded; Antigen retrieval: citrate buffer (0.01 M, pH 6.0), Boiling bathing for 15 min; Blocking buffer (normal goat serum) at 37°C for 20 min; Incubation: NRG1 Polyclonal Antibody, Unconjugated (bs-11917R) 1:200, Overnight at 4°C; The secondary antibody was Goat Anti-Rabbit IgG, Cy3 conjugated (bs-0295G-Cy3) used at 1:200 dilution for ... View More {{ $ctrl.currentElement.advancedVerification.fullName }} 验证信息 View more
          已发表图片由___提供 benchsci-logo
          PMID: {{$ctrl.currentElement.benchSciPubmedId}}
          查看产品

          {{$ctrl.videoDesc}}

          {{$ctrl.videoLongDesc}}

          NRG1 Antibody in Immunohistochemistry (Paraffin) (IHC (P))
          NRG1 Antibody in Immunohistochemistry (Paraffin) (IHC (P))
          NRG1 Antibody in Immunohistochemistry (Paraffin) (IHC (P))
          NRG1 Polyclonal Antibody

          产品信息

          BS-11917R

          应用
          建议稀释比
          已发表文章

          免疫组化(石蜡) (IHC (P))

          1:200
          -

          免疫组化(冰冻) (IHC (F))

          1:100-1:500
          -

          免疫细胞化学 (ICC/IF)

          1:100-1:500
          -

          流式细胞分析 (Flow)

          1:20-1:100
          -

          酶联免疫吸附实验 (ELISA)

          1:500-1:1,000
          -
          产品规格

          种属反应

          Human, Mouse, Rat

          宿主/亚型

          Rabbit / IgG

          分类

          Polyclonal

          类型

          Antibody

          抗原

          KLH conjugated synthetic peptide derived from human Neuregulin-1, amino acids 81-200.
          3D表位/免疫原

          偶联物

          Unconjugated Unconjugated Unconjugated

          形式

          Liquid

          浓度

          1 mg/mL

          规格

          100 µg

          纯化类型

          Protein A

          保存液

          0.01M TBS, pH 7.4, with 50% glycerol, 1% BSA

          内含物

          0.02% ProClin 300

          保存条件

          -20°C

          运输条件

          Ambient (domestic); Wet ice (international)

          靶标信息

          Neuregulin 1 (NRG1) was originally identified as a 44-kD glycoprotein that interacts with the NEU/ERBB2 receptor tyrosine kinase to increase its phosphorylation on tyrosine residues. It is known that an extraordinary variety of different isoforms are produced from the NRG1 gene by alternative splicing. These isoforms include heregulins (HRGs), glial growth factors (GGFs) and sensory and motor neuron-derived factor (SMDF). They are tissue-specifically expressed and differ significantly in their structure. The HRG isoforms all contain immunoglobulin (Ig) and epidermal growth factor-like (EGF-like) domains. GGF and GGF2 isoforms contain a kringle-like sequence plus Ig and EGF-like domains; and the SMDF isoform shares only the EGF-like domain with other isoforms. The receptors for all NRG1 isoforms are the ERBB family of tyrosine kinase transmembrane receptors. Through interaction with ERBB receptors, NRG1 isoforms induce the growth and differentiation of epithelial, neuronal, glial, and other types of cells.

          仅用于科研。不用于诊断过程。未经明确授权不得转售。

          篇参考文献 (0)

          您是否在文献中引用过该产品?请点击下方按钮邮件告知我们。
          引用该产品

          生物信息学

          蛋白别名: acetylcholine receptor-inducing activity; glial growth factor 2; growth factor; heregulin; heregulin, alpha (45kD, ERBB2 p185-activator); neu differentiation factor; neuregulin 1; neuregulin 1 type III beta 3; NRG-1; NRG1; NRG1 class VII isoform alpha 2a; NRG1 class VII isoform alpha 2b; NRG1 class VII isoform alpha beta 2a; NRG1 class VII isoform alpha beta 3; NRG1 class VII isoform beta 2a; NRG1 class VII isoform beta 3; Pro-neuregulin-1, membrane-bound isoform; Pro-NRG1; sensory and motor neuron derived factor; type I neuregulin 1; type III neuregulin 1; unnamed protein product

          查看更多 收起

          基因别名: 6030402G23Rik; ARIA; D230005F13Rik; GGF; GGF2; GGFII; HGL; HRG; HRG1; HRGA; HRGalpha; MST131; MSTP131; NDF; NRG1; NRG1-IT2; SMDF

          查看更多 收起

          UniProt ID: (Human) Q02297, (Mouse) Q6DR98

          查看更多 收起

          Entrez Gene ID: (Human) 3084, (Rat) 112400, (Mouse) 211323

          查看更多 收起

          功能
          transcription cofactor activity receptor binding cytokine activity integrin binding protein binding growth factor activity zinc ion binding nickel cation binding protein tyrosine kinase activator activity transmembrane receptor protein tyrosine kinase activator activity receptor tyrosine kinase binding ErbB-3 class receptor binding chemorepellent activity receptor agonist activity ErbB-2 class receptor binding growth factor
          参与通路
          ventricular trabecula myocardium morphogenesis cell communication transmembrane receptor protein tyrosine kinase signaling pathway nervous system development brain development peripheral nervous system development cell proliferation positive regulation of cell proliferation regulation of cell communication negative regulation of cardiac muscle cell apoptotic process neural crest cell development regulation of signaling cell differentiation positive regulation of cell growth mammary gland development positive regulation of protein complex assembly activation of protein kinase B activity intracellular signal transduction ERBB signaling pathway ERBB2 signaling pathway ERBB3 signaling pathway ERBB4 signaling pathway ERBB2-ERBB3 signaling pathway ERBB2-ERBB4 signaling pathway ERBB4-ERBB4 signaling pathway wound healing positive regulation of cell adhesion negative regulation of transcription, DNA-templated negative chemotaxis negative regulation of secretion positive regulation of developmental process positive regulation of striated muscle cell differentiation cardiac muscle cell differentiation ventricular cardiac muscle cell differentiation positive regulation of cardiac muscle cell proliferation cardiac muscle cell myoblast differentiation endocardial cell differentiation regulation of biological quality positive regulation of ERK1 and ERK2 cascade regulation of postsynaptic neurotransmitter receptor internalization positive regulation of peptidyl-tyrosine autophosphorylation negative regulation of extrinsic apoptotic signaling pathway in absence of ligand MAPK cascade cell morphogenesis cardiac conduction system development activation of transmembrane receptor protein tyrosine kinase activity synapse assembly heart development muscle organ development locomotory behavior regulation of blood pressure glial cell differentiation glucose transport cell migration glial cell fate commitment negative regulation of protein catabolic process myelination regulation of protein heterodimerization activity cellular protein complex disassembly neurotransmitter receptor metabolic process regulation of cell differentiation positive regulation of protein kinase activity positive regulation of Ras protein signal transduction animal organ development neuron fate commitment positive regulation of protein kinase B signaling positive regulation of protein tyrosine kinase activity positive regulation of calcineurin-NFAT signaling cascade positive regulation of cardiac muscle cell differentiation axon ensheathment positive regulation of myelination oligodendrocyte differentiation
          It has to be done as per old AB suggested Products section.

          Disclaimer

          Close

          Clicking the images or links will redirect you to a website hosted by BenchSci that provides third-party scientific content. Neither the content nor the BenchSci technology and processes for selection have been evaluated by us; we are providing them as-is and without warranty of any kind, including for use or application of the Thermo Fisher Scientific products presented.

          guarantee_icon

          性能保障

          只要您发现Invitrogen抗体在实验中的表现与网站或说明书的所述内容不符,您即可享受免费退换货服务。*

          了解更多
          help_icon

          随时为您服务

          获取常见问题的专家解答,或者直接联系我们的技术专家,咨询应用、设备、常规产品使用问题。

          联系技术支持
          订购 Plus Icon Minus Icon
          • 订单状态查询
          • 订单支持
          • 货号直购
          • 现货供应中心
          • 电子采购
          支持 Plus Icon Minus Icon
          • 帮助&支持
          • 联系我们 - 400 820 8982
          • 技术支持中心
          • 查找文件&证书
          • 报告网站问题
          资源 Plus Icon Minus Icon
          • 学习中心
          • 促销
          • 活动&研讨会
          • 社交媒体
          关于赛默飞 Plus Icon Minus Icon
          • 关于我们
          • 招聘 招聘
          • 投资者关系 投资者关系
          • 新闻 新闻
          • 社会责任 社会责任
          • 商标
          • 政策和通知
          品牌 Plus Icon Minus Icon
          • Thermo Scientific
          • Applied Biosystems
          • Invitrogen
          • Gibco
          • Ion Torrent
          • Unity Lab Services
          • Patheon
          • PPD
          • 服务条款
          • 隐私政策
          • 定价和运输保险政策
          © 2006-2026 Thermo Fisher Scientific Inc. All rights reserved. All trademarks are the property of Thermo Fisher Scientific and its subsidiaries unless otherwise specified.
          China flag icon
          China
          本网站销售的所有产品均不得用于人类或动物之临床诊断或治疗,仅可用于工业或者科研等非医疗目的。
             电子营业执照 | 经营证照公示 | ICP备案号:沪ICP备11003924号 | 沪公网安备 31011502006935号

          Your items have has been added!


          Host server : magellan-search-green-6479c7f679-v472f:80/100.66.78.195:80.
          git-commit: b70c0dceb888abc3b0dcebb5bc3a5b8753e7e816
          git-url: https://github.com/thermofisher/magellan-search
          git-branch: release/2.50.0-Offline