Hamburger Menu Button
Thermo Fisher Scientific Logo
登录
没有账号?建立账号 注册
  • 产品
    • 抗体
    • 引物合成
    • GeneArt Gene Synthesis Instant Designer
    • TaqMan Assay and Array Search
    • PCR 设备和耗材
    • 色谱柱和纯化柱
    • 实验室离心机
    • 分子生物学试剂和试剂盒
    • 实验室塑料耗材及用品
    • 查看所有产品分类
  • 应用和技术
    • 色谱
    • 细胞转染和培养
    • 实时荧光定量PCR
    • 质谱
    • 实验室塑料耗材及用品
    • 电子显微镜
    • 蛋白质生物学
    • PCR
    • RNAi
    • 环境
    • 查看所有应用和技术
  • 服务
    • 定制服务
    • 企业级实验室信息化服务
    • 企业服务
    • 金融&租赁服务
    • 仪器服务
    • OEM和商业供应
    • 培训服务
    • 360° CDMO 和 CRO 服务
    • CDMO 服务
    • 临床试验 CRO 服务
    • 查看所有帮助和支持
  • 帮助和支持
    • 学习中心
    • 联系我们
    • 更改国家或地区
    • 查看所有帮助和支持
  • 热门产品
    • TaqMan Real-Time PCR Assays
      TaqMan 实时荧光定量 PCR 试剂盒
    • Antibodies
      抗体
    • Oligos, Primers & Probes
      寡核苷酸、引物、探针
    • GeneArt Gene Synthesis
      GeneArt 基因合成
    • Cell Culture Plastics
      细胞培养耗材
  • 联系我们
  • 货号直购
  • 订单查询
  • 查找文件&证书
Thermo Fisher Scientific Logo

Search

搜索全部或下列指定分类
Search button
          • 联系我们
          • 货号直购
          • 登录
            登录
            没有账号?建立账号 注册
            • 我的账号
            • 订单
            • 账单及发票查询
            • 定制产品及项目

          Disclaimer

          Clicking the images or links will redirect you to a website hosted by BenchSci that provides third-party scientific content. Neither the content nor the BenchSci technology and processes for selection have been evaluated by us; we are providing them as-is and without warranty of any kind, including for use or application of the Thermo Fisher Scientific products presented.

          • Primary Antibodies ›
          • TrkB Antibodies

          NeoBiotechnologies

          NTRK2 (Neurotrophic Receptor Tyrosine Kinase 2) Monoclonal Antibody (NTRK2/7926)

          查看其他59个TrkB抗体

          {{$productOrderCtrl.translations['antibody.pdp.commerceCard.promotion.promotions']}}

          {{$productOrderCtrl.translations['antibody.pdp.commerceCard.promotion.viewpromo']}}

          {{$productOrderCtrl.translations['antibody.pdp.commerceCard.promotion.promocode']}}: {{promo.promoCode}} {{promo.promoTitle}} {{promo.promoDescription}}. {{$productOrderCtrl.translations['antibody.pdp.commerceCard.promotion.learnmore']}}

          说明书
          证书
          实验方案
          问题与答案
          技术支持
          说明书
          证书
          实验方案
          问题与答案
          技术支持
          说明书
          证书
          实验方案
          问题与答案
          技术支持

          Cite NTRK2 (Neurotrophic Receptor Tyrosine Kinase 2) Monoclonal Antibody (NTRK2/7926)

          • 抗体检测数据 (2)
          NTRK2 (Neurotrophic Receptor Tyrosine Kinase 2) Antibody in Immunohistochemistry (Paraffin) (IHC (P))
          Group 53 Created with Sketch.
          NTRK2 (Neurotrophic Receptor Tyrosine Kinase 2) Antibody in Immunohistochemistry (Paraffin) (IHC (P))
          Group 53 Created with Sketch.

          图: 1 / 2

          {{ $ctrl.currentElement.advancedVerification.fullName }}
          {{ $ctrl.currentElement.advancedVerification.text }}

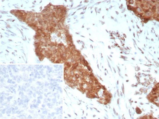
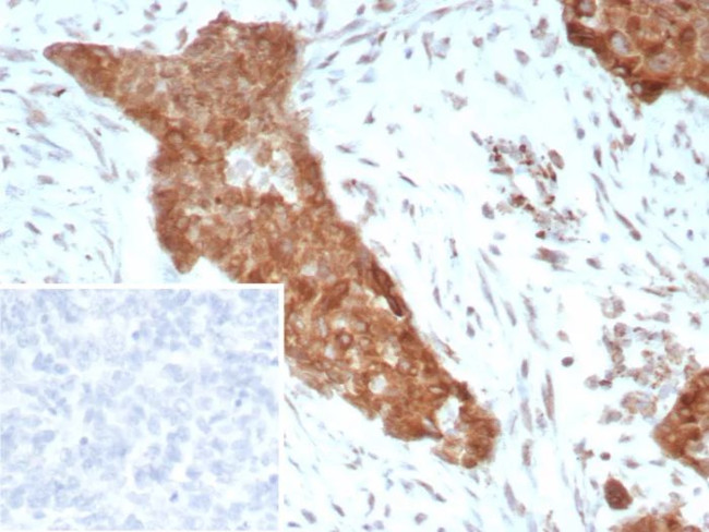
          NTRK2 (Neurotrophic Receptor Tyrosine Kinase 2) Antibody (4915-MSM6-P1ABX) in IHC (P)

          Formalin-fixed, paraffin-embedded human ovarian cancer stained with NTRK2/TRKb Mouse Monoclonal Antibody (NTRK2/7926). Inset: PBS instead of primary antibody; secondary only negative control. {{ $ctrl.currentElement.advancedVerification.fullName }} 验证信息 View more
          已发表图片由___提供 benchsci-logo
          PMID: {{$ctrl.currentElement.benchSciPubmedId}}
          查看产品

          {{$ctrl.videoDesc}}

          {{$ctrl.videoLongDesc}}

          NTRK2 (Neurotrophic Receptor Tyrosine Kinase 2) Antibody in Immunohistochemistry (Paraffin) (IHC (P))
          NTRK2 (Neurotrophic Receptor Tyrosine Kinase 2) Antibody in Immunohistochemistry (Paraffin) (IHC (P))
          NTRK2 (Neurotrophic Receptor Tyrosine Kinase 2) Monoclonal Antibody (NTRK2/7926)

          产品信息

          4915-MSM6-P1ABX

          应用
          建议稀释比
          已发表文章

          免疫组化(石蜡) (IHC (P))

          1-2 µg/mL
          -
          产品规格

          种属反应

          Human

          宿主/亚型

          Mouse / IgG2c, lambda

          分类

          Monoclonal

          类型

          Antibody

          克隆号

          NTRK2/7926

          抗原

          Recombinant fragment (around aa250-450) of human NTRK2 protein.
          查看免疫原

          偶联物

          Unconjugated Unconjugated Unconjugated

          形式

          Liquid

          浓度

          1 mg/mL

          纯化类型

          Protein A/G

          保存液

          PBS

          内含物

          no preservative

          保存条件

          -20°C or -80°C if preferred

          运输条件

          Ambient (domestic); Wet ice (international)

          产品详细信息

          Positive Control:Human brain tissue.

          Cellular Location: Cell surface.

          靶标信息

          NTRK2 (TRKB) belongs to the neurotrophic factor family of related polypeptides central to the development and maintenance of the mammalian nervous system. NTRK2 is the receptor for brain-derived neurotrophic factor (BDNF). Together, NTRK2 and BDNF regulate both short-term synaptic functions and long-term potentiation of brain synapses. TrkB is involved in the development and maintenance of the nervous system. Moreover, Trk B is a tyrosine kinase gene highly related to Trk A. Trk B expression is confined to tissues within the central and peripheral nervous systems. The brain-derived neurotrophic factor (BDNF) and NT-3, but not NGF, can induce rapid phosphorylation on tyrosine of Trk B gp145, one of the receptors encoded by Trk B, although BDNF elicits a response at least two orders of magnitude greater than NT-3. TrkB is a membrane-bound receptor that, upon neurotrophin binding, phosphorylates itself and members of the MAPK pathway. Signaling through TrkB leads to cell differentiation. Mutations in the TrkB gene have been associated with obesity and mood disorders. Alternate transcriptional splice variants encoding different isoforms have been found for the TrkB gene.

          仅用于科研。不用于诊断过程。未经明确授权不得转售。

          篇参考文献 (0)

          您是否在文献中引用过该产品?请点击下方按钮邮件告知我们。
          引用该产品

          生物信息学

          蛋白别名: AI848316; BDNF-tropomyosine receptor kinase B; BDNF/NT-3 growth factors receptor; C030027L06Rik; EC 2.7.10.1; GP145 TrkB; GP145-TrkB; GP145TrkB; GP95 TrkB; GP95-TrkB; hyperphagia; kinase TrkB; Neurotrophic tyrosine kinase receptor type 2; neurotrophic tyrosine kinase, receptor, type 2; NTRK 2; OTTHUMP00000021573; OTTHUMP00000021574; OTTHUMP00000021576; OTTHUMP00000021577; Trk B; Trk-B; TrkB tyrosine kinase; Tropomyosin-related kinase B; tyrosine kinase receptor B

          查看更多 收起

          基因别名: GP145-TrkB; NTRK2; trk-B; TRKB

          查看更多 收起

          UniProt ID: (Human) Q16620

          查看更多 收起

          Entrez Gene ID: (Human) 4915

          查看更多 收起

          功能
          ATP binding receptor tyrosine kinase binding protein homodimerization activity neurotrophin binding brain-derived neurotrophic factor binding brain-derived neurotrophic factor-activated receptor activity immunoglobulin superfamily cell adhesion molecule transmembrane signal receptor
          参与通路
          vasculogenesis neuron migration positive regulation of protein phosphorylation inflammatory response neuromuscular junction development aging learning long-term memory circadian rhythm feeding behavior positive regulation of cell proliferation response to light stimulus positive regulation of gene expression positive regulation of neuron projection development response to auditory stimulus glutamate secretion positive regulation of phosphatidylinositol 3-kinase signaling peptidyl-tyrosine phosphorylation central nervous system neuron development cerebral cortex development neuron differentiation brain-derived neurotrophic factor receptor signaling pathway positive regulation of peptidyl-serine phosphorylation calcium-mediated signaling using intracellular calcium source neurotrophin signaling pathway mechanoreceptor differentiation regulation of GTPase activity positive regulation of MAPK cascade negative regulation of neuron apoptotic process retinal rod cell development protein autophosphorylation regulation of neurotransmitter secretion oligodendrocyte differentiation peripheral nervous system neuron development positive regulation of axonogenesis regulation of dendrite development regulation of protein kinase B signaling positive regulation of synapse assembly positive regulation of synaptic transmission, glutamatergic retina development in camera-type eye long-term synaptic potentiation cellular response to amino acid stimulus cellular response to tumor necrosis factor cellular response to brain-derived neurotrophic factor stimulus negative regulation of anoikis
          It has to be done as per old AB suggested Products section.
          guarantee_icon

          性能保障

          只要您发现Invitrogen抗体在实验中的表现与网站或说明书的所述内容不符,您即可享受免费退换货服务。*

          了解更多
          help_icon

          随时为您服务

          获取常见问题的专家解答,或者直接联系我们的技术专家,咨询应用、设备、常规产品使用问题。

          联系技术支持
          订购 Plus Icon Minus Icon
          • 订单状态查询
          • 订单支持
          • 货号直购
          • 现货供应中心
          • 电子采购
          支持 Plus Icon Minus Icon
          • 帮助&支持
          • 联系我们 - 400 820 8982
          • 技术支持中心
          • 查找文件&证书
          • 报告网站问题
          资源 Plus Icon Minus Icon
          • 学习中心
          • 促销
          • 活动&研讨会
          • 社交媒体
          关于赛默飞 Plus Icon Minus Icon
          • 关于我们
          • 招聘 招聘
          • 投资者关系 投资者关系
          • 新闻 新闻
          • 社会责任 社会责任
          • 商标
          • 政策和通知
          品牌 Plus Icon Minus Icon
          • Thermo Scientific
          • Applied Biosystems
          • Invitrogen
          • Gibco
          • Ion Torrent
          • Patheon
          • PPD
          • 服务条款
          • 隐私政策
          • 定价和运输保险政策
          © 2006-2026 Thermo Fisher Scientific Inc. All rights reserved. All trademarks are the property of Thermo Fisher Scientific and its subsidiaries unless otherwise specified.
          China flag icon
          China
          本网站销售的所有产品均不得用于人类或动物之临床诊断或治疗,仅可用于工业或者科研等非医疗目的。
             电子营业执照 | 经营证照公示 | ICP备案号:沪ICP备11003924号 | 沪公网安备 31011502006935号

          Your items have has been added!


          Host server : magellan-search-blue-55ff9ddd88-2rf75:80/100.66.79.83:80.
          git-commit: d366ff9721d93504b2ac26a183b2b3e3d0e7d9ec
          git-url: https://github.com/thermofisher/magellan-search
          git-branch: release/2.42.0-2026.01.03-1.0