Hamburger Menu Button
Thermo Fisher Scientific Logo
登录
没有账号?建立账号 注册
  • 产品
    • 抗体
    • 引物合成
    • GeneArt Gene Synthesis Instant Designer
    • TaqMan Assay and Array Search
    • PCR 设备和耗材
    • 色谱柱和纯化柱
    • 实验室离心机
    • 分子生物学试剂和试剂盒
    • 实验室塑料耗材及用品
    • 查看所有产品分类
  • 应用和技术
    • 色谱
    • 细胞转染和培养
    • 实时荧光定量PCR
    • 质谱
    • 实验室塑料耗材及用品
    • 电子显微镜
    • 蛋白质生物学
    • PCR
    • RNAi
    • 环境
    • 查看所有应用和技术
  • 服务
    • 定制服务
    • 企业级实验室信息化服务
    • 企业服务
    • 金融&租赁服务
    • 仪器服务
    • OEM和商业供应
    • 培训服务
    • 360° CDMO 和 CRO 服务
    • CDMO 服务
    • 临床试验 CRO 服务
    • 查看所有帮助和支持
  • 帮助和支持
    • 学习中心
    • 联系我们
    • 更改国家或地区
    • 查看所有帮助和支持
  • 热门产品
    • TaqMan Real-Time PCR Assays
      TaqMan 实时荧光定量 PCR 试剂盒
    • Antibodies
      抗体
    • Oligos, Primers & Probes
      寡核苷酸、引物、探针
    • GeneArt Gene Synthesis
      GeneArt 基因合成
    • Cell Culture Plastics
      细胞培养耗材
  • 联系我们
  • 货号直购
  • 订单查询
  • 查找文件&证书
Thermo Fisher Scientific Logo

Search

搜索全部或下列指定分类
Search button
          • 联系我们
          • 货号直购
          • 登录
            登录
            没有账号?建立账号 注册
            • 我的账号
            • 订单
            • 账单及发票查询
            • 定制产品及项目

          Disclaimer

          Clicking the images or links will redirect you to a website hosted by BenchSci that provides third-party scientific content. Neither the content nor the BenchSci technology and processes for selection have been evaluated by us; we are providing them as-is and without warranty of any kind, including for use or application of the Thermo Fisher Scientific products presented.

          • Primary Antibodies ›
          • NAPSA Antibodies
          The product (cat # {{productObj.productId}}) that you're looking for has been discontinued and replaced with {{productObj.replacementProductId}}. The product (cat # {{productObj.productId}}) that you're looking for has been discontinued. Please contact Technical Support with any questions.

          Proteintech

          Napsin A Monoclonal Antibody (2D12A2)

          1 篇参考文献
          查看其他56个NAPSA抗体

          {{$productOrderCtrl.translations['antibody.pdp.commerceCard.promotion.promotions']}}

          {{$productOrderCtrl.translations['antibody.pdp.commerceCard.promotion.viewpromo']}}

          {{$productOrderCtrl.translations['antibody.pdp.commerceCard.promotion.promocode']}}: {{promo.promoCode}} {{promo.promoTitle}} {{promo.promoDescription}}. {{$productOrderCtrl.translations['antibody.pdp.commerceCard.promotion.learnmore']}}

          说明书
          实验方案
          技术支持
          说明书
          实验方案
          技术支持
          说明书
          实验方案
          技术支持

          Cite Napsin A Monoclonal Antibody (2D12A2)

          • 抗体检测数据 (19)
          Napsin A Antibody in Immunocytochemistry (ICC/IF)
          Group 53 Created with Sketch.
          Napsin A Antibody in Immunocytochemistry (ICC/IF)
          Group 53 Created with Sketch.

          图: 1 / 19

          {{ $ctrl.currentElement.advancedVerification.fullName }}
          {{ $ctrl.currentElement.advancedVerification.text }}

          Napsin A Antibody (60259-1-IG) in ICC/IF

          Immunofluorescent analysis of HUVEC cells using 60259-1-IG (NAPsin A antibody) at dilution of 1:25 and Rhodamine-Goat anti-Mouse IGG. {{ $ctrl.currentElement.advancedVerification.fullName }} 验证信息 View more
          已发表图片由___提供 benchsci-logo
          PMID: {{$ctrl.currentElement.benchSciPubmedId}}
          查看产品

          {{$ctrl.videoDesc}}

          {{$ctrl.videoLongDesc}}

          Napsin A Antibody in Immunocytochemistry (ICC/IF)
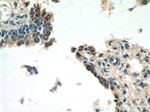
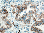
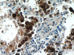
          Napsin A Antibody in Immunohistochemistry (Paraffin) (IHC (P))
          Napsin A Antibody in Immunohistochemistry (Paraffin) (IHC (P))
          Napsin A Antibody in Immunohistochemistry (Paraffin) (IHC (P))
          Napsin A Antibody in Immunohistochemistry (Paraffin) (IHC (P))
          Napsin A Antibody in Immunohistochemistry (Paraffin) (IHC (P))
          Napsin A Antibody in Immunohistochemistry (Paraffin) (IHC (P))
          Napsin A Antibody in Immunohistochemistry (Paraffin) (IHC (P))
          Napsin A Antibody in Immunohistochemistry (Paraffin) (IHC (P))
          Napsin A Antibody in Immunohistochemistry (Paraffin) (IHC (P))
          Napsin A Antibody in Immunohistochemistry (Paraffin) (IHC (P))
          Napsin A Antibody in Immunohistochemistry (Paraffin) (IHC (P))
          Napsin A Antibody in Immunohistochemistry (Paraffin) (IHC (P))
          Napsin A Antibody in Immunohistochemistry (Paraffin) (IHC (P))
          Napsin A Antibody in Immunohistochemistry (Paraffin) (IHC (P))
          Napsin A Antibody in Immunohistochemistry (Paraffin) (IHC (P))
          Napsin A Antibody in Immunohistochemistry (Paraffin) (IHC (P))
          Napsin A Antibody in Immunohistochemistry (Paraffin) (IHC (P))
          Napsin A Antibody in Immunohistochemistry (Paraffin) (IHC (P))
          Napsin A Monoclonal Antibody (2D12A2)

          产品信息

          60259-1-IG

          应用
          建议稀释比
          已发表文章

          免疫组化 (IHC)

          -
          查看1篇已发表文章 1篇已发表文章

          免疫组化(石蜡) (IHC (P))

          1:20-1:200
          -

          免疫细胞化学 (ICC/IF)

          1:10-1:100
          -
          产品规格

          已发表种属

          Human

          宿主/亚型

          Mouse / IgG1

          分类

          Monoclonal

          类型

          Antibody

          克隆号

          2D12A2

          抗原

          Napsin A Fusion Protein Ag9721 (1-420 aa encoded by BC017842)
          查看免疫原

          偶联物

          Unconjugated Unconjugated Unconjugated

          形式

          Liquid

          浓度

          0.68 mg/mL

          保存条件

          -20°C

          运输条件

          Wet ice (domestic); Dry ice (international)

          产品详细信息

          Immunogen sequence: MSPPPLLQP LLLLLPLLNV EPSGATLIRI PLHRVQPGRR TLNLLRGWRE PAELPKLGAP SPGDKPIFVP LSNYRDVQYF GEIGLGTPPQ NFTVAFDTGS SNLWVPSRRC HFFSVPCWLH HRFDPKASSS FQANGTKFAI QYGTGRVDGI LSEDKLTIGG IKGASVIFGE ALWEPSLVFA FAHFDGILGL GFPILSVEGV RPPMDVLVEQ GLLDKPVFSF YLNRDPEEPD GGELVLGGSD PAHYIPPLTF VPVTVPAYWQ IHMERVKVGP GLTLCAKGCA AILDTGTSLI TGPTEEIRAL HAAIGGIPLL AGEYIILCSE IPKLPAVSFL LGGVWFNLTA HDYVIQTTRN GVRLCLSGFQ ALDVPPPAGP FWILGDVFLG TYVAVFDRGD MKSSARVGLA RARTRGADLG WGETAQAQFP G (1-420 aa encoded by BC017842)

          靶标信息

          Napsin 1 is an aspartic protease that is generally expressed in the lung, but also present in kidney and in metastatic carcinomas throughout the body. Napsin 1 processes surfactant protein B in healthy pulmonary and renal tissues, but is abnormally regulated when carcinogenesis occurs. Thus, many researchers have found napsin evaluation to be useful in identifying several cancers, and differentiating primary tumors from metastases. When combined with thyroid transcription factor analysis, napsin can be used as a specific biomarker for differentiation of carcinoma types. Napsin has also been associated with pulmonary alveolar proteinosis as well as in protein catabolism in renal tubules.

          仅用于科研。不用于诊断过程。未经明确授权不得转售。

          It has to be done as per old AB suggested Products section.
          guarantee_icon

          性能保障

          只要您发现Invitrogen抗体在实验中的表现与网站或说明书的所述内容不符,您即可享受免费退换货服务。*

          了解更多
          help_icon

          随时为您服务

          获取常见问题的专家解答,或者直接联系我们的技术专家,咨询应用、设备、常规产品使用问题。

          联系技术支持
          订购 Plus Icon Minus Icon
          • 订单状态查询
          • 订单支持
          • 货号直购
          • 现货供应中心
          • 电子采购
          支持 Plus Icon Minus Icon
          • 帮助&支持
          • 联系我们 - 400 820 8982
          • 技术支持中心
          • 查找文件&证书
          • 报告网站问题
          资源 Plus Icon Minus Icon
          • 学习中心
          • 促销
          • 活动&研讨会
          • 社交媒体
          关于赛默飞 Plus Icon Minus Icon
          • 关于我们
          • 招聘 招聘
          • 投资者关系 投资者关系
          • 新闻 新闻
          • 社会责任 社会责任
          • 商标
          • 政策和通知
          品牌 Plus Icon Minus Icon
          • Thermo Scientific
          • Applied Biosystems
          • Invitrogen
          • Gibco
          • Ion Torrent
          • Patheon
          • PPD
          • 服务条款
          • 隐私政策
          • 定价和运输保险政策
          © 2006-2025 Thermo Fisher Scientific Inc. All rights reserved. All trademarks are the property of Thermo Fisher Scientific and its subsidiaries unless otherwise specified.
          China flag icon
          China
          本网站销售的所有产品均不得用于人类或动物之临床诊断或治疗,仅可用于工业或者科研等非医疗目的。
             电子营业执照 | 经营证照公示 | ICP备案号:沪ICP备11003924号 | 沪公网安备 31011502006935号

          Your items have has been added!


          Host server : magellan-search-green-55658555d6-p5c6z:80/100.66.79.224:80.
          git-commit: ec8e7df5f8fec8d765bd419205f1b5046a016d37
          git-url: https://github.com/thermofisher/magellan-search
          git-branch: release/2.41.0-Offline