Hamburger Menu Button
Thermo Fisher Scientific Logo
登录
没有账号?建立账号 注册
  • 产品
    • 抗体
    • 引物合成
    • GeneArt Gene Synthesis Instant Designer
    • TaqMan Assay and Array Search
    • PCR 设备和耗材
    • 色谱柱和纯化柱
    • 实验室离心机
    • 分子生物学试剂和试剂盒
    • 实验室塑料耗材及用品
    • 查看所有产品分类
  • 应用和技术
    • 色谱
    • 细胞转染和培养
    • 实时荧光定量PCR
    • 质谱
    • 实验室塑料耗材及用品
    • 电子显微镜
    • 蛋白质生物学
    • PCR
    • RNAi
    • 环境
    • 查看所有应用和技术
  • 服务
    • 定制服务
    • 企业级实验室信息化服务
    • 金融&租赁服务
    • 仪器服务
    • OEM和商业供应
    • 培训服务
    • 360° CDMO 和 CRO 服务
    • CDMO 服务
    • 临床试验 CRO 服务
    • Unity Lab Services
    • 查看所有帮助和支持
  • 帮助和支持
    • 学习中心
    • 联系我们
    • 更改国家或地区
    • 查看所有帮助和支持
  • 热门产品
    • TaqMan Real-Time PCR Assays
      TaqMan 实时荧光定量 PCR 试剂盒
    • Antibodies
      抗体
    • Oligos, Primers & Probes
      寡核苷酸、引物、探针
    • GeneArt Gene Synthesis
      GeneArt 基因合成
    • Cell Culture Plastics
      细胞培养耗材
  • Who We Serve
    • 抗体治疗解决方案
    • 细胞与基因治疗解决方案
    • 学术科研
    • 工业与应用
  • 联系我们
  • 货号直购
  • 订单查询
  • 查找文件&证书
Thermo Fisher Scientific Logo

Search

搜索全部或下列指定分类
Search button
          • 联系我们
          • 货号直购
          • 登录
            登录
            没有账号?建立账号 注册
            • 我的账号
            • 订单
            • 会员中心
            • 账单及发票查询
            • 定制产品及项目
          • Primary Antibodies ›
          • Neuropilin 1 (CD304) Antibodies

          Invitrogen

          Neuropilin 1 Recombinant Rabbit Monoclonal Antibody (0A7X1)

          查看其他45个Neuropilin 1 (CD304)抗体

          {{$productOrderCtrl.translations['antibody.pdp.commerceCard.promotion.promotions']}}

          {{$productOrderCtrl.translations['antibody.pdp.commerceCard.promotion.viewpromo']}}

          {{$productOrderCtrl.translations['antibody.pdp.commerceCard.promotion.promocode']}}: {{promo.promoCode}} {{promo.promoTitle}} {{promo.promoDescription}}. {{$productOrderCtrl.translations['antibody.pdp.commerceCard.promotion.learnmore']}}

          说明书
          证书
          实验方案
          问题与答案
          技术支持
          说明书
          证书
          实验方案
          问题与答案
          技术支持
          说明书
          证书
          实验方案
          问题与答案
          技术支持

          Cite Neuropilin 1 Recombinant Rabbit Monoclonal Antibody (0A7X1)

          Additional Information:
          {{banner.description}}
          {{$ctrl.isSkuNotesCollapsed ? 'View more' : 'View less'}}
          • 抗体检测数据 (11)
          Neuropilin 1 Antibody in Immunocytochemistry (ICC/IF)
          Group 53 Created with Sketch.
          Neuropilin 1 Antibody in Immunocytochemistry (ICC/IF)
          Group 53 Created with Sketch.

          图: 1 / 11

          {{ $ctrl.currentElement.advancedVerification.fullName }}
          {{ $ctrl.currentElement.advancedVerification.text }}

          Neuropilin 1 Antibody (MA569506) in ICC/IF

          Immunocytochemical analysis of Neuropilin 1 in Neuro-2a cells. Samples were incubated with Neuropilin 1 recombinant monoclonal antibody (Product # MA569506) using a dilution of 1:200 (40x lens). Followed by a further incubation with Cy3 Goat Anti-Rabbit IgG (H+L) using a dilution of 1:500 (Red). The cells were counterstained with alpha-Tubulin Mouse mAb using dilution of 1:400. Followed by incubation with 4... View More {{ $ctrl.currentElement.advancedVerification.fullName }} 验证信息 View more
          已发表图片由___提供 benchsci-logo
          PMID: {{$ctrl.currentElement.benchSciPubmedId}}
          查看产品

          {{$ctrl.videoDesc}}

          {{$ctrl.videoLongDesc}}

          Neuropilin 1 Antibody in Immunocytochemistry (ICC/IF)
          Neuropilin 1 Antibody in Immunocytochemistry (ICC/IF)
          Neuropilin 1 Antibody in Immunocytochemistry (ICC/IF)
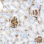
          Neuropilin 1 Antibody in Immunohistochemistry (Paraffin) (IHC (P))
          Neuropilin 1 Antibody in Immunohistochemistry (Paraffin) (IHC (P))
          Neuropilin 1 Antibody in Immunohistochemistry (Paraffin) (IHC (P))
          Neuropilin 1 Antibody in Immunohistochemistry (Paraffin) (IHC (P))
          Neuropilin 1 Antibody in Immunohistochemistry (Paraffin) (IHC (P))
          Neuropilin 1 Antibody in Immunohistochemistry (Paraffin) (IHC (P))
          Neuropilin 1 Antibody in Immunohistochemistry (Paraffin) (IHC (P))
          Neuropilin 1 Antibody in Western Blot (WB)

          产品信息

          MA569506

          应用
          建议稀释比
          已发表文章

          免疫印迹 (WB)

          1:500-1:1,000
          -

          免疫组化(石蜡) (IHC (P))

          1:700-1:7,000
          -

          免疫细胞化学 (ICC/IF)

          1:50-1:200
          -

          酶联免疫吸附实验 (ELISA)

          1 µg/mL
          -
          产品规格

          种属反应

          Human, Mouse, Rat

          宿主/亚型

          Rabbit / IgG

          Expression System

          HEK293 cells

          分类

          Recombinant Monoclonal

          类型

          Antibody

          克隆号

          0A7X1

          抗原

          Recombinant protein (or fragment).

          偶联物

          Unconjugated Unconjugated Unconjugated

          形式

          Liquid

          浓度

          1.32 mg/mL

          规格

          132 µg

          纯化类型

          Affinity chromatography

          保存液

          PBS, pH 7.3., with 50% glycerol

          内含物

          0.09% sodium azide

          保存条件

          -20°C, Avoid Freeze/Thaw Cycles

          运输条件

          Ambient (domestic); Wet ice (international)

          靶标信息

          Neuropilin 1 is a 923 amino acid containing membrane bound coreceptor to a tyrosine kinase receptor belonging to the neuropilin family with two CUB domains, two F5/8 type C domains and a MAM domain. Neuropilin 1 forms a heterodimer with NRP2 (Neuropilin 2) and is known to bind to plexin (PLXNB1) to form semaphorin receptors. Expressed mostly in the nervous system this receptor is implicated in a wide range of functions including in the development of the cardiovascular system, angiogenesis, repulsive axon guidance, formation of certain neuronal circuits, cell survival, control of neuronal migration and organogenesis outside the nervous system. This semaphorin receptor functions as receptors for both the semaphorins and vascular endothelial growth factor and is also a regulator of VEGF-induced angiogenesis. Neuropilin 1 may be involved in aggressive advanced prostate carcinoma and in the progression of breast cancer.

          仅用于科研。不用于诊断过程。未经明确授权不得转售。

          篇参考文献 (0)

          您是否在文献中引用过该产品?请点击下方按钮邮件告知我们。
          引用该产品

          生物信息学

          蛋白别名: A5 protein; alternatively spliced; lacks exon 16; CD304; Neuropilin; Neuropilin-1; Neuropilin-1 precursor (A5 protein); Neuropilin1; NRP 1; receptor for VEGF165 and semaphorins class 3; sNRP 1; sNRP1; soluble NRP 1; soluble NRP1; transmembrane receptor; unnamed protein product; Vascular endothelial cell growth factor 165 receptor; VEGF 165 receptor

          查看更多 收起

          基因别名: BDCA4; C530029I03; CD304; NP-1; NP1; NPN-1; Npn1; NRP; NRP1; VEGF165R

          查看更多 收起

          UniProt ID: (Human) O14786, (Rat) Q9QWJ9, (Mouse) P97333

          查看更多 收起

          Entrez Gene ID: (Human) 8829, (Rat) 246331, (Mouse) 18186

          查看更多 收起

          功能
          vascular endothelial growth factor-activated receptor activity GTPase activator activity protein binding heparin binding coreceptor activity semaphorin receptor activity growth factor binding protein kinase binding cytokine binding vascular endothelial growth factor binding metal ion binding oxidoreductase
          参与通路
          angiogenesis patterning of blood vessels vasculogenesis neural crest cell migration neuron migration positive regulation of endothelial cell proliferation sprouting angiogenesis cell migration involved in sprouting angiogenesis outflow tract septum morphogenesis substrate-dependent cell migration, cell extension signal transduction integrin-mediated signaling pathway cell-cell signaling nervous system development axon guidance axonal fasciculation heart development motor neuron axon guidance response to wounding organ morphogenesis positive regulation of endothelial cell migration positive regulation of smooth muscle cell migration dendrite development facial nerve structural organization trigeminal nerve morphogenesis trigeminal nerve structural organization vestibulocochlear nerve structural organization branchiomotor neuron axon guidance gonadotrophin-releasing hormone neuronal migration to the hypothalamus cell differentiation negative regulation of axon extension regulation of vascular endothelial growth factor receptor signaling pathway retinal ganglion cell axon guidance regulation of Cdc42 protein signal transduction cellular response to hepatocyte growth factor stimulus endothelial cell chemotaxis cellular response to vascular endothelial growth factor stimulus ventral trunk neural crest cell migration vascular endothelial growth factor signaling pathway neuropilin signaling pathway VEGF-activated neuropilin signaling pathway positive regulation of phosphorylation negative regulation of neuron apoptotic process blood vessel endothelial cell migration endothelial cell migration positive regulation of angiogenesis viral entry into host cell platelet-derived growth factor receptor signaling pathway vascular endothelial growth factor receptor signaling pathway hepatocyte growth factor receptor signaling pathway sympathetic nervous system development neuron development axon extension regulation of axon extension involved in axon guidance positive regulation of axon extension involved in axon guidance negative regulation of axon extension involved in axon guidance artery morphogenesis axon extension involved in axon guidance positive chemotaxis positive regulation of filopodium assembly positive regulation of stress fiber assembly positive regulation of focal adhesion assembly axonogenesis involved in innervation regulation of vesicle-mediated transport dichotomous subdivision of terminal units involved in salivary gland branching angiogenesis involved in coronary vascular morphogenesis coronary artery morphogenesis retina vasculature development in camera-type eye retina vasculature morphogenesis in camera-type eye renal artery morphogenesis sympathetic ganglion development trigeminal ganglion development positive regulation of ERK1 and ERK2 cascade semaphorin-plexin signaling pathway commissural neuron axon guidance positive regulation of cell migration involved in sprouting angiogenesis endothelial tip cell fate specification sensory neuron axon guidance motor neuron migration sympathetic neuron projection extension sympathetic neuron projection guidance postsynapse organization regulation of plasma membrane bounded cell projection organization basal dendrite development basal dendrite arborization positive regulation of substrate adhesion-dependent cell spreading neural crest cell migration involved in autonomic nervous system development protein localization to early endosome facioacoustic ganglion development dorsal root ganglion morphogenesis otic placode development negative regulation of extrinsic apoptotic signaling pathway cell migration peptidyl-tyrosine phosphorylation nerve development otic placode formation positive regulation of peptidyl-tyrosine phosphorylation ganglion morphogenesis regulation of retinal ganglion cell axon guidance toxin transport semaphorin-plexin signaling pathway involved in neuron projection guidance semaphorin-plexin signaling pathway involved in axon guidance positive regulation of retinal ganglion cell axon guidance VEGF-activated neuropilin signaling pathway involved in axon guidance multicellular organism development cell migration involved in coronary vasculogenesis
          It has to be done as per old AB suggested Products section.

          Disclaimer

          Close

          Clicking the images or links will redirect you to a website hosted by BenchSci that provides third-party scientific content. Neither the content nor the BenchSci technology and processes for selection have been evaluated by us; we are providing them as-is and without warranty of any kind, including for use or application of the Thermo Fisher Scientific products presented.

          guarantee_icon

          性能保障

          只要您发现Invitrogen抗体在实验中的表现与网站或说明书的所述内容不符,您即可享受免费退换货服务。*

          了解更多
          help_icon

          随时为您服务

          获取常见问题的专家解答,或者直接联系我们的技术专家,咨询应用、设备、常规产品使用问题。

          联系技术支持
          订购 Plus Icon Minus Icon
          • 订单状态查询
          • 订单支持
          • 货号直购
          • 现货供应中心
          • 电子采购
          支持 Plus Icon Minus Icon
          • 帮助&支持
          • 联系我们 - 400 820 8982
          • 技术支持中心
          • 查找文件&证书
          • 报告网站问题
          资源 Plus Icon Minus Icon
          • 学习中心
          • 促销
          • 活动&研讨会
          • 社交媒体
          关于赛默飞 Plus Icon Minus Icon
          • 关于我们
          • 招聘 招聘
          • 投资者关系 投资者关系
          • 新闻 新闻
          • 社会责任 社会责任
          • 商标
          • 政策和通知
          品牌 Plus Icon Minus Icon
          • Thermo Scientific
          • Applied Biosystems
          • Invitrogen
          • Gibco
          • Ion Torrent
          • Unity Lab Services
          • Patheon
          • PPD
          • 服务条款
          • 隐私政策
          • 定价和运输保险政策
          © 2006-2026 Thermo Fisher Scientific Inc. All rights reserved. All trademarks are the property of Thermo Fisher Scientific and its subsidiaries unless otherwise specified.
          China flag icon
          China
          本网站销售的所有产品均不得用于人类或动物之临床诊断或治疗,仅可用于工业或者科研等非医疗目的。
             电子营业执照 | 经营证照公示 | ICP备案号:沪ICP备11003924号 | 沪公网安备 31011502006935号

          Your items have has been added!


          Host server : magellan-search-green-6479c7f679-sz4vp:80/100.66.76.236:80.
          git-commit: b70c0dceb888abc3b0dcebb5bc3a5b8753e7e816
          git-url: https://github.com/thermofisher/magellan-search
          git-branch: release/2.50.0-Offline