Hamburger Menu Button
Thermo Fisher Scientific Logo
登录
没有账号?建立账号 注册
  • 产品
    • 抗体
    • 引物合成
    • GeneArt Gene Synthesis Instant Designer
    • TaqMan Assay and Array Search
    • PCR 设备和耗材
    • 色谱柱和纯化柱
    • 实验室离心机
    • 分子生物学试剂和试剂盒
    • 实验室塑料耗材及用品
    • 查看所有产品分类
  • 应用和技术
    • 色谱
    • 细胞转染和培养
    • 实时荧光定量PCR
    • 质谱
    • 实验室塑料耗材及用品
    • 电子显微镜
    • 蛋白质生物学
    • PCR
    • RNAi
    • 环境
    • 查看所有应用和技术
  • 服务
    • 定制服务
    • 企业级实验室信息化服务
    • 金融&租赁服务
    • 仪器服务
    • OEM和商业供应
    • 培训服务
    • 360° CDMO 和 CRO 服务
    • CDMO 服务
    • 临床试验 CRO 服务
    • Unity Lab Services
    • 查看所有帮助和支持
  • 帮助和支持
    • 学习中心
    • 联系我们
    • 更改国家或地区
    • 查看所有帮助和支持
  • 热门产品
    • TaqMan Real-Time PCR Assays
      TaqMan 实时荧光定量 PCR 试剂盒
    • Antibodies
      抗体
    • Oligos, Primers & Probes
      寡核苷酸、引物、探针
    • GeneArt Gene Synthesis
      GeneArt 基因合成
    • Cell Culture Plastics
      细胞培养耗材
  • Who We Serve
    • 抗体治疗解决方案
    • 细胞与基因治疗解决方案
    • 学术科研
    • 工业与应用
  • 联系我们
  • 货号直购
  • 订单查询
  • 查找文件&证书
Thermo Fisher Scientific Logo

Search

搜索全部或下列指定分类
Search button
          • 联系我们
          • 货号直购
          • 登录
            登录
            没有账号?建立账号 注册
            • 我的账号
            • 订单
            • 会员中心
            • 账单及发票查询
            • 定制产品及项目
          • Primary Antibodies ›
          • OGG1 Antibodies

          Invitrogen

          OGG1 Polyclonal Antibody

          高级验证
          13个已发表图片
          7 篇参考文献
          查看其他14个OGG1抗体

          {{$productOrderCtrl.translations['antibody.pdp.commerceCard.promotion.promotions']}}

          {{$productOrderCtrl.translations['antibody.pdp.commerceCard.promotion.viewpromo']}}

          {{$productOrderCtrl.translations['antibody.pdp.commerceCard.promotion.promocode']}}: {{promo.promoCode}} {{promo.promoTitle}} {{promo.promoDescription}}. {{$productOrderCtrl.translations['antibody.pdp.commerceCard.promotion.learnmore']}}

          说明书
          证书
          实验方案
          问题与答案
          技术支持
          说明书
          证书
          实验方案
          问题与答案
          技术支持
          说明书
          证书
          实验方案
          问题与答案
          技术支持

          Cite OGG1 Polyclonal Antibody

          Additional Information:
          {{banner.description}}
          {{$ctrl.isSkuNotesCollapsed ? 'View more' : 'View less'}}
          • 抗体检测数据 (5)
          • 已发表图片 (13)
          • 高级验证 (1)
          OGG1 Antibody in Immunocytochemistry (ICC/IF)
          Group 53 Created with Sketch.
          OGG1 Antibody in Immunocytochemistry (ICC/IF)
          Group 53 Created with Sketch.

          图: 1 / 19

          {{ $ctrl.currentElement.advancedVerification.fullName }}
          {{ $ctrl.currentElement.advancedVerification.text }}

          OGG1 Antibody (PA1-31402) in ICC/IF

          Immunocytochemistry-Immunofluorescence analysis of OGG1 in A431 cells. Cells were fixed with 10% formalin, permeabilized with 0.5% Triton-X100 and OGG1 Polyclonal Antibody (Product # PA1-31402) (Green) at a dilution of 1:200 was used as a primary antibody. Red : Tubulin. Blue: DAPI. {{ $ctrl.currentElement.advancedVerification.fullName }} 验证信息 View more
          已发表图片由___提供 benchsci-logo
          PMID: {{$ctrl.currentElement.benchSciPubmedId}}
          查看产品

          {{$ctrl.videoDesc}}

          {{$ctrl.videoLongDesc}}

          OGG1 Antibody in Immunocytochemistry (ICC/IF)
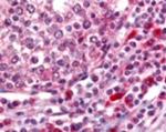
          OGG1 Antibody in Immunohistochemistry (Paraffin) (IHC (P))
          OGG1 Antibody in Western Blot (WB)
          OGG1 Antibody in Western Blot (WB)
          OGG1 Antibody in Western Blot (WB)
          OGG1 Antibody in Western Blot, Immunohistochemistry (WB, IHC)
          OGG1 Antibody in Western Blot (WB)
          OGG1 Antibody in Western Blot (WB)
          OGG1 Antibody in Western Blot (WB)
          OGG1 Antibody in Western Blot (WB)
          OGG1 Antibody in Western Blot (WB)
          OGG1 Antibody in Western Blot, Immunoprecipitation (WB, IP)
          OGG1 Antibody in Western Blot, Immunoprecipitation (WB, IP)
          OGG1 Antibody in Western Blot (WB)
          OGG1 Antibody in Western Blot (WB)
          OGG1 Antibody in Western Blot (WB)
          OGG1 Antibody in Western Blot (WB)
          OGG1 Antibody in Western Blot (WB)
          OGG1 Antibody
          OGG1 Polyclonal Antibody

          产品信息

          PA1-31402

          应用
          建议稀释比
          已发表文章

          免疫印迹 (WB)

          1:500-1:1,000
          查看5篇已发表文章 5篇已发表文章

          免疫组化 (IHC)

          -
          查看1篇已发表文章 1篇已发表文章

          免疫组化(石蜡) (IHC (P))

          1:100
          -

          免疫组化(冰冻) (IHC (F))

          1:25-1:100
          -

          免疫细胞化学 (ICC/IF)

          1:100-1:500
          -

          流式细胞分析 (Flow)

          Assay-dependent
          -

          酶联免疫吸附实验 (ELISA)

          Assay-dependent
          -

          免疫沉淀 (IP)

          1:10-1:500
          查看1篇已发表文章 1篇已发表文章
          产品规格

          种属反应

          Human, Mouse, Non-human primate, Rat

          已发表种属

          Human, Mouse, Rat

          宿主/亚型

          Rabbit / IgG

          分类

          Polyclonal

          类型

          Antibody

          抗原

          A peptide derived from human Ogg1 (within amino acids 1-100).
          3D表位/免疫原

          偶联物

          Unconjugated Unconjugated Unconjugated

          形式

          Liquid

          浓度

          1.0 mg/mL

          规格

          100 µg

          纯化类型

          Antigen affinity chromatography

          保存液

          PBS

          内含物

          0.05% sodium azide

          保存条件

          Store at 4°C short term. For long term storage, store at -20°C, avoiding freeze/thaw cycles.

          运输条件

          Ambient (domestic); Wet ice (international)

          RRID

          AB_2156790

          产品详细信息

          Store product as a concentrated solution. Centrifuge briefly prior to opening the vial.

          靶标信息

          8-hydroxyguanine, a form of oxidative DNA damage induced by free radicals, causes G:C to T:A transversion. In E. Coli, three DNA repair enzymes exist to prevent the mutagenic effects of 8-hydroxyguanine. One of these enzymes, MutM, was found to have a functional yeast (yOgg1) and human (hOgg1) homologue. hOgg1 proteins efficiently released the 8-hydroxyguanine opposite the pyrimidine from DNA and cleaved the AP site in a manner similar to bacterial and yeast enzymes. Genetic backgrounds in control of the repair of damaged DNA are involved in the susceptibility to cancer development. The hOgg1 gene has been mapped to region 3p26. 2, a region showing loss of heterozygosity (LOH) in a variety of cancers. In particular, 3p25-p26 is a common LOH region in lung cancer.

          仅用于科研。不用于诊断过程。未经明确授权不得转售。

          生物信息学

          蛋白别名: 8-hydroxyguanine DNA glycosylase; 8-oxoguanine DNA-glycosylase 1; 8-oxoguanine-DNA-glycosylase; AP lyase; DNA-apurinic or apyrimidinic site lyase; hOGG1; N-glycosylase/DNA lyase; OGG1 type 1f; unnamed protein product; yeast ogg1 homolog

          查看更多 收起

          基因别名: HMMH; HOGG1; MMH; MUTM; OGG1; OGH1

          查看更多 收起

          UniProt ID: (Human) O15527, (Mouse) O08760, (Rat) O70249

          查看更多 收起

          Entrez Gene ID: (Human) 4968, (Mouse) 18294, (Rat) 81528

          查看更多 收起

          功能
          RNA polymerase II core promoter proximal region sequence-specific DNA binding DNA binding damaged DNA binding catalytic activity endonuclease activity protein binding microtubule binding oxidized purine nucleobase lesion DNA N-glycosylase activity hydrolase activity hydrolase activity, acting on glycosyl bonds lyase activity enzyme binding oxidized purine DNA binding 8-oxo-7,8-dihydroguanine DNA N-glycosylase activity class I DNA-(apurinic or apyrimidinic site) endonuclease activity purine-specific mismatch base pair DNA N-glycosylase activity oxidized base lesion DNA N-glycosylase activity DNA-(apurinic or apyrimidinic site) lyase activity uracil DNA N-glycosylase activity single-strand selective uracil DNA N-glycosylase activity DNA N-glycosylase activity DNA-3-methylbase glycosylase activity nicotinamide riboside hydrolase activity nicotinic acid riboside hydrolase activity deoxyribonucleoside 5'-monophosphate N-glycosidase activity DNA metabolism protein
          参与通路
          DNA repair base-excision repair base-excision repair, AP site formation nucleotide-excision repair regulation of transcription, DNA-templated cellular response to DNA damage stimulus response to oxidative stress response to radiation cellular response to reactive oxygen species hypomethylation of CpG island depurination depyrimidination positive regulation of transcription from RNA polymerase II promoter negative regulation of double-strand break repair via single-strand annealing aging metabolic process response to estradiol regulation of protein import into nucleus, translocation nucleotide-excision repair, DNA incision negative regulation of apoptotic process nucleic acid phosphodiester bond hydrolysis DNA catabolic process, endonucleolytic acute inflammatory response response to light stimulus response to drug response to ethanol response to folic acid cellular response to cadmium ion
          It has to be done as per old AB suggested Products section.

          Disclaimer

          Close

          Clicking the images or links will redirect you to a website hosted by BenchSci that provides third-party scientific content. Neither the content nor the BenchSci technology and processes for selection have been evaluated by us; we are providing them as-is and without warranty of any kind, including for use or application of the Thermo Fisher Scientific products presented.

          guarantee_icon

          性能保障

          只要您发现Invitrogen抗体在实验中的表现与网站或说明书的所述内容不符,您即可享受免费退换货服务。*

          了解更多
          help_icon

          随时为您服务

          获取常见问题的专家解答,或者直接联系我们的技术专家,咨询应用、设备、常规产品使用问题。

          联系技术支持
          订购 Plus Icon Minus Icon
          • 订单状态查询
          • 订单支持
          • 货号直购
          • 现货供应中心
          • 电子采购
          支持 Plus Icon Minus Icon
          • 帮助&支持
          • 联系我们 - 400 820 8982
          • 技术支持中心
          • 查找文件&证书
          • 报告网站问题
          资源 Plus Icon Minus Icon
          • 学习中心
          • 促销
          • 活动&研讨会
          • 社交媒体
          关于赛默飞 Plus Icon Minus Icon
          • 关于我们
          • 招聘 招聘
          • 投资者关系 投资者关系
          • 新闻 新闻
          • 社会责任 社会责任
          • 商标
          • 政策和通知
          品牌 Plus Icon Minus Icon
          • Thermo Scientific
          • Applied Biosystems
          • Invitrogen
          • Gibco
          • Ion Torrent
          • Unity Lab Services
          • Patheon
          • PPD
          • 服务条款
          • 隐私政策
          • 定价和运输保险政策
          © 2006-2026 Thermo Fisher Scientific Inc. All rights reserved. All trademarks are the property of Thermo Fisher Scientific and its subsidiaries unless otherwise specified.
          China flag icon
          China
          本网站销售的所有产品均不得用于人类或动物之临床诊断或治疗,仅可用于工业或者科研等非医疗目的。
             电子营业执照 | 经营证照公示 | ICP备案号:沪ICP备11003924号 | 沪公网安备 31011502006935号

          Your items have has been added!


          Host server : magellan-search-blue-7c59b9b899-49tpj:80/100.66.77.222:80.
          git-commit: 8ef7cf686e3c81d28b13492708ce56d167b2f995
          git-url: https://github.com/thermofisher/magellan-search
          git-branch: release/2.49.0-Offline