Hamburger Menu Button
Thermo Fisher Scientific Logo
登录
没有账号?建立账号 注册
  • 产品
    • 抗体
    • 引物合成
    • GeneArt Gene Synthesis Instant Designer
    • TaqMan Assay and Array Search
    • PCR 设备和耗材
    • 色谱柱和纯化柱
    • 实验室离心机
    • 分子生物学试剂和试剂盒
    • 实验室塑料耗材及用品
    • 查看所有产品分类
  • 应用和技术
    • 色谱
    • 细胞转染和培养
    • 实时荧光定量PCR
    • 质谱
    • 实验室塑料耗材及用品
    • 电子显微镜
    • 蛋白质生物学
    • PCR
    • RNAi
    • 环境
    • 查看所有应用和技术
  • 服务
    • 定制服务
    • 企业级实验室信息化服务
    • 金融&租赁服务
    • 仪器服务
    • OEM和商业供应
    • 培训服务
    • 360° CDMO 和 CRO 服务
    • CDMO 服务
    • 临床试验 CRO 服务
    • Unity Lab Services
    • 查看所有帮助和支持
  • 帮助和支持
    • 学习中心
    • 联系我们
    • 更改国家或地区
    • 查看所有帮助和支持
  • 热门产品
    • TaqMan Real-Time PCR Assays
      TaqMan 实时荧光定量 PCR 试剂盒
    • Antibodies
      抗体
    • Oligos, Primers & Probes
      寡核苷酸、引物、探针
    • GeneArt Gene Synthesis
      GeneArt 基因合成
    • Cell Culture Plastics
      细胞培养耗材
  • Who We Serve
    • 抗体治疗解决方案
    • 细胞与基因治疗解决方案
    • 学术科研
    • 工业与应用
  • 联系我们
  • 货号直购
  • 订单查询
  • 查找文件&证书
Thermo Fisher Scientific Logo

Search

搜索全部或下列指定分类
Search button
          • 联系我们
          • 货号直购
          • 登录
            登录
            没有账号?建立账号 注册
            • 我的账号
            • 订单
            • 会员中心
            • 账单及发票查询
            • 定制产品及项目
          • Primary Antibodies ›
          • OGT Antibodies

          Proteintech

          OGT Monoclonal Antibody (2B2A6)

          1 篇参考文献
          查看其他19个OGT抗体

          {{$productOrderCtrl.translations['antibody.pdp.commerceCard.promotion.promotions']}}

          {{$productOrderCtrl.translations['antibody.pdp.commerceCard.promotion.viewpromo']}}

          {{$productOrderCtrl.translations['antibody.pdp.commerceCard.promotion.promocode']}}: {{promo.promoCode}} {{promo.promoTitle}} {{promo.promoDescription}}. {{$productOrderCtrl.translations['antibody.pdp.commerceCard.promotion.learnmore']}}

          说明书
          证书
          实验方案
          问题与答案
          技术支持
          说明书
          证书
          实验方案
          问题与答案
          技术支持
          说明书
          证书
          实验方案
          问题与答案
          技术支持

          Cite OGT Monoclonal Antibody (2B2A6)

          Additional Information:
          {{banner.description}}
          {{$ctrl.isSkuNotesCollapsed ? 'View more' : 'View less'}}
          • 抗体检测数据 (5)
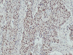
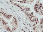
          OGT Antibody in Immunohistochemistry (Paraffin) (IHC (P))
          Group 53 Created with Sketch.
          OGT Antibody in Immunohistochemistry (Paraffin) (IHC (P))
          Group 53 Created with Sketch.

          图: 1 / 5

          {{ $ctrl.currentElement.advancedVerification.fullName }}
          {{ $ctrl.currentElement.advancedVerification.text }}

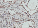
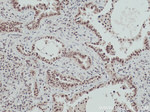
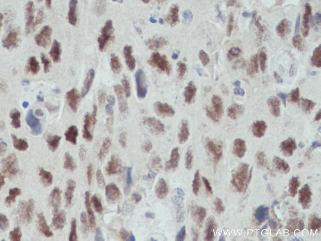
          OGT Antibody (66823-1-IG) in IHC (P)

          Immunohistochemistry of paraffin-embedded human colon cancer tissue slide using 66823-1-Ig (OGT antibody) at dilution of 1:500 (under 40x lens) heat mediated antigen retrieved with Tris-EDTA buffer (pH 9). {{ $ctrl.currentElement.advancedVerification.fullName }} 验证信息 View more
          已发表图片由___提供 benchsci-logo
          PMID: {{$ctrl.currentElement.benchSciPubmedId}}
          查看产品

          {{$ctrl.videoDesc}}

          {{$ctrl.videoLongDesc}}

          OGT Antibody in Immunohistochemistry (Paraffin) (IHC (P))
          OGT Antibody in Immunohistochemistry (Paraffin) (IHC (P))
          OGT Antibody in Immunohistochemistry (Paraffin) (IHC (P))
          OGT Antibody in Immunohistochemistry (Paraffin) (IHC (P))
          OGT Antibody in Western Blot (WB)
          OGT Monoclonal Antibody (2B2A6)

          产品信息

          66823-1-IG

          应用
          建议稀释比
          已发表文章

          免疫印迹 (WB)

          1:5,000-1:50,000
          查看1篇已发表文章 1篇已发表文章

          免疫组化(石蜡) (IHC (P))

          1:500
          -
          产品规格

          种属反应

          Human, Mouse, Pig, Rat

          宿主/亚型

          Mouse / IgG2a

          分类

          Monoclonal

          类型

          Antibody

          克隆号

          2B2A6

          抗原

          OGT Fusion Protein Ag28402 (1-400 aa encoded by BC014434)
          3D表位/免疫原

          偶联物

          Unconjugated Unconjugated Unconjugated
          • CoraLite Plus 488
          • Request custom conjugation

          形式

          Liquid

          浓度

          1 mg/mL

          规格

          150 µg

          纯化类型

          Protein A

          保存液

          PBS, pH 7.3, with 50% glycerol

          内含物

          0.02% sodium azide

          保存条件

          -20°C

          运输条件

          Wet ice (domestic); Dry ice (international)

          产品详细信息

          Immunogen sequence: MASSVGNVA DSTGLAELAH REYQAGDFEA AERHCMQLWR QEPDNTGVLL LLSSIHFQCR RLDRSAHFST LAIKQNPLLA EAYSNLGNVY KERGQLQEAI EHYRHALRLK PDFIDGYINL AAALVAAGDM EGAVQAYVSA LQYNPDLYCV RSDLGNLLKA LGRLEEAKAC YLKAIETQPN FAVAWSNLGC VFNAQGEIWL AIHHFEKAVT LDPNFLDAYI NLGNVLKEAR IFDRAVAAYL RALSLSPNHA VVHGNLACVY YEQGLIDLAI DTYRRAIELQ PHFPDAYCNL ANALKEKGSV AEAEDCYNTA LRLCPTHADS LNNLANIKRE QGNIEEAVRL YRKALEVFPE FAAAHSNLAS VLQQQGKLQE ALMHYKEAIR ISPTFADAYS NMGNTLKEMQ D (1-400 aa encoded by BC014434)

          靶标信息

          This gene encodes a glycosyltransferase that catalyzes the addition of a single N-acetylglucosamine in O-glycosidic linkage to serine or threonine residues. Since both phosphorylation and glycosylation compete for similar serine or threonine residues, the two processes may compete for sites, or they may alter the substrate specificity of nearby sites by steric or electrostatic effects. The protein contains multiple tetratricopeptide repeats that are required for optimal recognition of substrates. Alternatively spliced transcript variants encoding distinct isoforms have been found for this gene.

          仅用于科研。不用于诊断过程。未经明确授权不得转售。

          生物信息学

          蛋白别名: FLJ23071; MGC22921; O linked N-acetylglucosamine transferase; o-glcnac transferase; O-GlcNAc transferase p110 subunit; O-GlcNAc transferase subunit p110; O-linked N-acetylglucosamine (GlcNAc) transferase (UDP-N-acetylglucosamine:polypeptide-N-acetylglucosaminyl transferase); O-linked N-acetylglucosamine transferase 110 kDa subunit; OGT; UDP-N-acetylglucosamine--peptide N-acetylglucosaminyltransferase 110 kDa subunit; UDP-N-acetylglucosamine:polypeptide-N- acetylglucosaminyl transferase; UDP-N-acetylglucosamine:polypeptide-N-acetylglucosaminyl transferase; unnamed protein product; uridinediphospho-N-acetylglucosamine:polypeptide beta-N-acetylglucosaminyl transferase

          查看更多 收起

          基因别名: 1110038P24Rik; 4831420N21Rik; AI115525; HINCUT-1; HRNT1; MRX106; O-GLCNAC; OGT; OGT1; Ogtl; XLID106

          查看更多 收起

          UniProt ID: (Human) O15294, (Pig) Q27HV0, (Mouse) Q8CGY8, (Rat) P56558

          查看更多 收起

          Entrez Gene ID: (Human) 8473, (Pig) 664652, (Mouse) 108155, (Rat) 26295

          查看更多 收起

          功能
          protein binding phosphatidylinositol-3,4,5-trisphosphate binding lipid binding acetylglucosaminyltransferase activity transferase activity transferase activity, transferring glycosyl groups chromatin DNA binding protein O-GlcNAc transferase activity protein N-acetylglucosaminyltransferase activity histone acetyltransferase activity (H4-K5 specific) histone acetyltransferase activity (H4-K8 specific) histone acetyltransferase activity (H4-K16 specific) catalytic activity enzyme activator activity N-acetyltransferase activity transcription factor binding protein domain specific binding peptide binding monosaccharide binding protein modifying enzyme
          参与通路
          negative regulation of transcription from RNA polymerase II promoter mitophagy positive regulation of transcription from RNA polymerase II promoter by glucose cytoplasmic translation regulation of glycolytic process regulation of gluconeogenesis chromatin organization regulation of transcription from RNA polymerase II promoter protein glycosylation protein O-linked glycosylation apoptotic process signal transduction response to nutrient protein processing negative regulation of translation hemopoiesis negative regulation of cell migration negative regulation of transforming growth factor beta receptor signaling pathway negative regulation of protein ubiquitination cellular response to nutrient levels negative regulation of proteasomal ubiquitin-dependent protein catabolic process response to insulin circadian regulation of gene expression regulation of Rac protein signal transduction TORC1 signaling positive regulation of translation positive regulation of proteolysis positive regulation of transcription, DNA-templated positive regulation of transcription from RNA polymerase II promoter negative regulation of translational initiation positive regulation of translational initiation regulation of insulin receptor signaling pathway positive regulation of lipid biosynthetic process rhythmic process protein maturation regulation of synapse assembly regulation of necroptotic process protein localization to lysosome pyroptosis cellular response to glucose stimulus regulation of neurotransmitter receptor localization to postsynaptic specialization membrane positive regulation of cold-induced thermogenesis membraneless organelle assembly non-canonical inflammasome complex assembly negative regulation of non-canonical inflammasome complex assembly negative regulation of stem cell population maintenance positive regulation of stem cell population maintenance positive regulation of TORC1 signaling histone H4-K5 acetylation histone H4-K8 acetylation histone H4-K16 acetylation phosphatidylinositol-mediated signaling positive regulation of histone H3-K27 methylation histone H3-K4 trimethylation negative regulation of protein phosphorylation positive regulation of protein phosphorylation glucosamine metabolic process positive regulation of gene expression negative regulation of peptidyl-threonine phosphorylation chromatin modification positive regulation of granulocyte differentiation negative regulation of peptidyl-serine phosphorylation positive regulation of catalytic activity positive regulation of cell size intracellular distribution of mitochondria positive regulation of histone H3-K4 methylation negative regulation of cell death protein homotrimerization protein heterotrimerization cellular response to lipopolysaccharide cellular response to retinoic acid negative regulation of protein targeting to membrane regulation of gluconeogenesis involved in cellular glucose homeostasis negative regulation of cellular response to hypoxia positive regulation of protein localization to nucleus positive regulation of reactive oxygen species biosynthetic process forebrain development cellular response to insulin stimulus cellular response to toxic substance
          It has to be done as per old AB suggested Products section.

          Disclaimer

          Close

          Clicking the images or links will redirect you to a website hosted by BenchSci that provides third-party scientific content. Neither the content nor the BenchSci technology and processes for selection have been evaluated by us; we are providing them as-is and without warranty of any kind, including for use or application of the Thermo Fisher Scientific products presented.

          guarantee_icon

          性能保障

          只要您发现Invitrogen抗体在实验中的表现与网站或说明书的所述内容不符,您即可享受免费退换货服务。*

          了解更多
          help_icon

          随时为您服务

          获取常见问题的专家解答,或者直接联系我们的技术专家,咨询应用、设备、常规产品使用问题。

          联系技术支持
          订购 Plus Icon Minus Icon
          • 订单状态查询
          • 订单支持
          • 货号直购
          • 现货供应中心
          • 电子采购
          支持 Plus Icon Minus Icon
          • 帮助&支持
          • 联系我们 - 400 820 8982
          • 技术支持中心
          • 查找文件&证书
          • 报告网站问题
          资源 Plus Icon Minus Icon
          • 学习中心
          • 促销
          • 活动&研讨会
          • 社交媒体
          关于赛默飞 Plus Icon Minus Icon
          • 关于我们
          • 招聘 招聘
          • 投资者关系 投资者关系
          • 新闻 新闻
          • 社会责任 社会责任
          • 商标
          • 政策和通知
          品牌 Plus Icon Minus Icon
          • Thermo Scientific
          • Applied Biosystems
          • Invitrogen
          • Gibco
          • Ion Torrent
          • Unity Lab Services
          • Patheon
          • PPD
          • 服务条款
          • 隐私政策
          • 定价和运输保险政策
          © 2006-2026 Thermo Fisher Scientific Inc. All rights reserved. All trademarks are the property of Thermo Fisher Scientific and its subsidiaries unless otherwise specified.
          China flag icon
          China
          本网站销售的所有产品均不得用于人类或动物之临床诊断或治疗,仅可用于工业或者科研等非医疗目的。
             电子营业执照 | 经营证照公示 | ICP备案号:沪ICP备11003924号 | 沪公网安备 31011502006935号

          Your items have has been added!


          Host server : magellan-search-green-6479c7f679-v472f:80/100.66.78.195:80.
          git-commit: b70c0dceb888abc3b0dcebb5bc3a5b8753e7e816
          git-url: https://github.com/thermofisher/magellan-search
          git-branch: release/2.50.0-Offline