Hamburger Menu Button
Thermo Fisher Scientific Logo
登录
没有账号?建立账号 注册
  • 产品
    • 抗体
    • 引物合成
    • GeneArt Gene Synthesis Instant Designer
    • TaqMan Assay and Array Search
    • PCR 设备和耗材
    • 色谱柱和纯化柱
    • 实验室离心机
    • 分子生物学试剂和试剂盒
    • 实验室塑料耗材及用品
    • 查看所有产品分类
  • 应用和技术
    • 色谱
    • 细胞转染和培养
    • 实时荧光定量PCR
    • 质谱
    • 实验室塑料耗材及用品
    • 电子显微镜
    • 蛋白质生物学
    • PCR
    • RNAi
    • 环境
    • 查看所有应用和技术
  • 服务
    • 定制服务
    • 企业级实验室信息化服务
    • 金融&租赁服务
    • 仪器服务
    • OEM和商业供应
    • 培训服务
    • 360° CDMO 和 CRO 服务
    • CDMO 服务
    • 临床试验 CRO 服务
    • Unity Lab Services
    • 查看所有帮助和支持
  • 帮助和支持
    • 学习中心
    • 联系我们
    • 更改国家或地区
    • 查看所有帮助和支持
  • 热门产品
    • TaqMan Real-Time PCR Assays
      TaqMan 实时荧光定量 PCR 试剂盒
    • Antibodies
      抗体
    • Oligos, Primers & Probes
      寡核苷酸、引物、探针
    • GeneArt Gene Synthesis
      GeneArt 基因合成
    • Cell Culture Plastics
      细胞培养耗材
  • Who We Serve
    • 抗体治疗解决方案
    • 细胞与基因治疗解决方案
    • 学术科研
    • 工业与应用
  • 联系我们
  • 货号直购
  • 订单查询
  • 查找文件&证书
Thermo Fisher Scientific Logo

Search

搜索全部或下列指定分类
Search button
          • 联系我们
          • 货号直购
          • 登录
            登录
            没有账号?建立账号 注册
            • 我的账号
            • 订单
            • 账单及发票查询
            • 定制产品及项目
          • Primary Antibodies ›
          • OPRM1 Antibodies

          Proteintech

          OPRM1 Polyclonal Antibody

          2 篇参考文献
          查看其他29个OPRM1抗体

          {{$productOrderCtrl.translations['antibody.pdp.commerceCard.promotion.promotions']}}

          {{$productOrderCtrl.translations['antibody.pdp.commerceCard.promotion.viewpromo']}}

          {{$productOrderCtrl.translations['antibody.pdp.commerceCard.promotion.promocode']}}: {{promo.promoCode}} {{promo.promoTitle}} {{promo.promoDescription}}. {{$productOrderCtrl.translations['antibody.pdp.commerceCard.promotion.learnmore']}}

          说明书
          证书
          实验方案
          问题与答案
          技术支持
          说明书
          证书
          实验方案
          问题与答案
          技术支持
          说明书
          证书
          实验方案
          问题与答案
          技术支持

          Cite OPRM1 Polyclonal Antibody

          Additional Information:
          {{banner.description}}
          {{$ctrl.isSkuNotesCollapsed ? 'View more' : 'View less'}}
          • 抗体检测数据 (3)
          OPRM1 Antibody in Immunohistochemistry (Paraffin) (IHC (P))
          Group 53 Created with Sketch.
          OPRM1 Antibody in Immunohistochemistry (Paraffin) (IHC (P))
          Group 53 Created with Sketch.

          图: 1 / 3

          {{ $ctrl.currentElement.advancedVerification.fullName }}
          {{ $ctrl.currentElement.advancedVerification.text }}

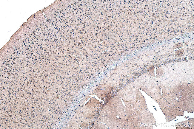
          OPRM1 Antibody (27625-1-AP) in IHC (P)

          Immunohistochemical analysis of paraffin-embedded mouse brain tissue slide using (Product # 27625-1-AP) (OPRM1 antibody) at dilution of 1:200 (under 10x lens). Heat mediated antigen retrieval with Tris-EDTA buffer (pH 9.0). {{ $ctrl.currentElement.advancedVerification.fullName }} 验证信息 View more
          已发表图片由___提供 benchsci-logo
          PMID: {{$ctrl.currentElement.benchSciPubmedId}}
          查看产品

          {{$ctrl.videoDesc}}

          {{$ctrl.videoLongDesc}}

          OPRM1 Antibody in Immunohistochemistry (Paraffin) (IHC (P))
          OPRM1 Antibody in Immunohistochemistry (Paraffin) (IHC (P))
          OPRM1 Antibody in Western Blot (WB)

          产品信息

          27625-1-AP

          应用
          建议稀释比
          已发表文章

          免疫印迹 (WB)

          1:1,000
          查看1篇已发表文章 1篇已发表文章

          免疫组化 (IHC)

          -
          查看1篇已发表文章 1篇已发表文章

          免疫组化(石蜡) (IHC (P))

          1:200
          -
          产品规格

          种属反应

          Human, Mouse, Rat

          宿主/亚型

          Rabbit / IgG

          分类

          Polyclonal

          类型

          Antibody

          抗原

          OPRM1 Fusion Protein Ag24806

          偶联物

          Unconjugated Unconjugated Unconjugated

          形式

          Liquid

          浓度

          267 µg/mL

          规格

          40.05 µg

          纯化类型

          Antigen affinity chromatography

          保存液

          PBS, pH 7.3, with 50% glycerol

          内含物

          0.02% sodium azide

          保存条件

          -20°C

          运输条件

          Wet ice

          产品详细信息

          Aliquoting is unnecessary for -20°C storage.

          靶标信息

          The OPRM1 gene encodes the mu opioid receptor, which is the primary site of action for the most commonly used opioids, including morphine, heroin, fentanyl, and methadone. It is also the primary receptor for endogenous opioid peptides beta-endorphin and the enkephalins. The OPRM1 receptor is a membrane of the G protein-coupled receptor family. There are at least 3 types of opioid receptors, mu, kappa, and delta, each with a distinct pharmacologic profile.

          仅用于科研。不用于诊断过程。未经明确授权不得转售。

          生物信息学

          蛋白别名: G-protein coupled receptor; GPCR; GPCR; MOR-1K1; hMOP; KIAA0403; M-OR-1; MOP; MOP receptor; MOR-1; MOR-1C; MOR1; MOR3; Mu opiate receptor; Mu opioid receptor; mu opioid receptor hMOR-1a; mu opioid receptor splice variant mMOR-1Z; mu opioid receptor splice variant rMOR-1S; mu opioid receptor splice variant rMOR-1Z; Mu-type opioid receptor; MUOR1; Opioid mu receptor; Opioid Receptor; Opioid receptor B; OTTHUMP00000017463; unnamed protein product

          查看更多 收起

          基因别名: LMOR; M-OR-1; MOP; MOP-R; MOR; MOR-1; MOR-1O; MOR1; MORA; muOR; OPRM; OPRM1; Oprrm1; Ror-b

          查看更多 收起

          UniProt ID: (Human) P35372, (Rat) P33535, (Mouse) P42866

          查看更多 收起

          Entrez Gene ID: (Human) 4988, (Rat) 25601, (Mouse) 18390

          查看更多 收起

          功能
          G-protein alpha-subunit binding G-protein coupled receptor activity beta-endorphin receptor activity opioid receptor activity voltage-gated calcium channel activity protein binding G-protein coupled peptide receptor activity G-protein beta-subunit binding morphine receptor activity neuropeptide binding protein domain specific binding filamin binding signal transducer activity protein C-terminus binding G-protein coupled receptor transmembrane signal receptor
          参与通路
          signal transduction G-protein coupled receptor signaling pathway G-protein coupled receptor signaling pathway, coupled to cyclic nucleotide second messenger adenylate cyclase-inhibiting G-protein coupled receptor signaling pathway adenylate cyclase-inhibiting G-protein coupled acetylcholine receptor signaling pathway phospholipase C-activating G-protein coupled receptor signaling pathway neuropeptide signaling pathway sensory perception negative regulation of cell proliferation sensory perception of pain opioid receptor signaling pathway negative regulation of nitric oxide biosynthetic process behavioral response to ethanol positive regulation of neurogenesis negative regulation of cytosolic calcium ion concentration negative regulation of Wnt protein secretion positive regulation of ERK1 and ERK2 cascade calcium ion transmembrane transport cellular response to morphine regulation of cellular response to stress regulation of N-methyl-D-aspartate selective glutamate receptor activity acute inflammatory response to antigenic stimulus immune response adenylate cyclase-activating dopamine receptor signaling pathway negative regulation of adenylate cyclase activity positive regulation of cytosolic calcium ion concentration locomotory behavior adenylate cyclase-inhibiting opioid receptor signaling pathway response to food positive regulation of appetite response to lipopolysaccharide wound healing response to cocaine response to morphine positive regulation of cAMP-mediated signaling negative regulation of cAMP-mediated signaling positive regulation of nitric oxide biosynthetic process response to ethanol regulation of sensory perception of pain excitatory postsynaptic potential response to growth factor chemical synaptic transmission negative regulation of cAMP biosynthetic process cellular response to stress eating behavior
          It has to be done as per old AB suggested Products section.

          Disclaimer

          Close

          Clicking the images or links will redirect you to a website hosted by BenchSci that provides third-party scientific content. Neither the content nor the BenchSci technology and processes for selection have been evaluated by us; we are providing them as-is and without warranty of any kind, including for use or application of the Thermo Fisher Scientific products presented.

          guarantee_icon

          性能保障

          只要您发现Invitrogen抗体在实验中的表现与网站或说明书的所述内容不符,您即可享受免费退换货服务。*

          了解更多
          help_icon

          随时为您服务

          获取常见问题的专家解答,或者直接联系我们的技术专家,咨询应用、设备、常规产品使用问题。

          联系技术支持
          订购 Plus Icon Minus Icon
          • 订单状态查询
          • 订单支持
          • 货号直购
          • 现货供应中心
          • 电子采购
          支持 Plus Icon Minus Icon
          • 帮助&支持
          • 联系我们 - 400 820 8982
          • 技术支持中心
          • 查找文件&证书
          • 报告网站问题
          资源 Plus Icon Minus Icon
          • 学习中心
          • 促销
          • 活动&研讨会
          • 社交媒体
          关于赛默飞 Plus Icon Minus Icon
          • 关于我们
          • 招聘 招聘
          • 投资者关系 投资者关系
          • 新闻 新闻
          • 社会责任 社会责任
          • 商标
          • 政策和通知
          品牌 Plus Icon Minus Icon
          • Thermo Scientific
          • Applied Biosystems
          • Invitrogen
          • Gibco
          • Ion Torrent
          • Unity Lab Services
          • Patheon
          • PPD
          • 服务条款
          • 隐私政策
          • 定价和运输保险政策
          © 2006-2026 Thermo Fisher Scientific Inc. All rights reserved. All trademarks are the property of Thermo Fisher Scientific and its subsidiaries unless otherwise specified.
          China flag icon
          China
          本网站销售的所有产品均不得用于人类或动物之临床诊断或治疗,仅可用于工业或者科研等非医疗目的。
             电子营业执照 | 经营证照公示 | ICP备案号:沪ICP备11003924号 | 沪公网安备 31011502006935号

          Your items have has been added!


          Host server : magellan-search-green-b49b87d85-n9r8p:80/100.66.76.150:80.
          git-commit: 5b8c860b7cdb41e9cfe07630520f6b51e109d38e
          git-url: https://github.com/thermofisher/magellan-search
          git-branch: release/2.47.0-Offline