Hamburger Menu Button
Thermo Fisher Scientific Logo
登录
没有账号?建立账号 注册
  • 产品
    • 抗体
    • 引物合成
    • GeneArt Gene Synthesis Instant Designer
    • TaqMan Assay and Array Search
    • PCR 设备和耗材
    • 色谱柱和纯化柱
    • 实验室离心机
    • 分子生物学试剂和试剂盒
    • 实验室塑料耗材及用品
    • 查看所有产品分类
  • 应用和技术
    • 色谱
    • 细胞转染和培养
    • 实时荧光定量PCR
    • 质谱
    • 实验室塑料耗材及用品
    • 电子显微镜
    • 蛋白质生物学
    • PCR
    • RNAi
    • 环境
    • 查看所有应用和技术
  • 服务
    • 定制服务
    • 企业级实验室信息化服务
    • 金融&租赁服务
    • 仪器服务
    • OEM和商业供应
    • 培训服务
    • 360° CDMO 和 CRO 服务
    • CDMO 服务
    • 临床试验 CRO 服务
    • Unity Lab Services
    • 查看所有帮助和支持
  • 帮助和支持
    • 学习中心
    • 联系我们
    • 更改国家或地区
    • 查看所有帮助和支持
  • 热门产品
    • TaqMan Real-Time PCR Assays
      TaqMan 实时荧光定量 PCR 试剂盒
    • Antibodies
      抗体
    • Oligos, Primers & Probes
      寡核苷酸、引物、探针
    • GeneArt Gene Synthesis
      GeneArt 基因合成
    • Cell Culture Plastics
      细胞培养耗材
  • Who We Serve
    • 抗体治疗解决方案
    • 细胞与基因治疗解决方案
    • 学术科研
    • 工业与应用
  • 联系我们
  • 货号直购
  • 订单查询
  • 查找文件&证书
Thermo Fisher Scientific Logo

Search

搜索全部或下列指定分类
Search button
          • 联系我们
          • 货号直购
          • 登录
            登录
            没有账号?建立账号 注册
            • 我的账号
            • 订单
            • 会员中心
            • 账单及发票查询
            • 定制产品及项目
          • Primary Antibodies ›
          • OX40L (CD252) Antibodies

          Invitrogen

          OX40L Polyclonal Antibody

          查看其他30个OX40L (CD252)抗体

          {{$productOrderCtrl.translations['antibody.pdp.commerceCard.promotion.promotions']}}

          {{$productOrderCtrl.translations['antibody.pdp.commerceCard.promotion.viewpromo']}}

          {{$productOrderCtrl.translations['antibody.pdp.commerceCard.promotion.promocode']}}: {{promo.promoCode}} {{promo.promoTitle}} {{promo.promoDescription}}. {{$productOrderCtrl.translations['antibody.pdp.commerceCard.promotion.learnmore']}}

          说明书
          证书
          实验方案
          问题与答案
          技术支持
          说明书
          证书
          实验方案
          问题与答案
          技术支持
          说明书
          证书
          实验方案
          问题与答案
          技术支持

          Cite OX40L Polyclonal Antibody

          Additional Information:
          {{banner.description}}
          {{$ctrl.isSkuNotesCollapsed ? 'View more' : 'View less'}}
          • 抗体检测数据 (3)
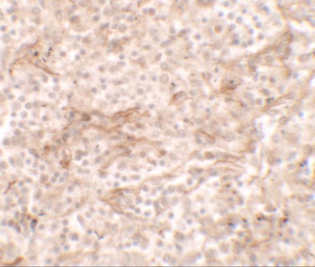
          OX40L Antibody in Immunohistochemistry (IHC)
          Group 53 Created with Sketch.
          OX40L Antibody in Immunohistochemistry (IHC)
          Group 53 Created with Sketch.

          图: 1 / 3

          {{ $ctrl.currentElement.advancedVerification.fullName }}
          {{ $ctrl.currentElement.advancedVerification.text }}

          OX40L Antibody (PA5-34516) in IHC

          Immunohistochemistry of TNFSF4 in human spleen tissue with OX40L Polyclonal Antibody (Product # PA5-34516) at 5 µg/mL. {{ $ctrl.currentElement.advancedVerification.fullName }} 验证信息 View more
          已发表图片由___提供 benchsci-logo
          PMID: {{$ctrl.currentElement.benchSciPubmedId}}
          查看产品

          {{$ctrl.videoDesc}}

          {{$ctrl.videoLongDesc}}

          OX40L Antibody in Immunohistochemistry (IHC)
          OX40L Antibody in Immunohistochemistry (IHC)
          OX40L Antibody in Western Blot (WB)
          OX40L Polyclonal Antibody

          产品信息

          PA5-34516

          应用
          建议稀释比
          已发表文章

          免疫印迹 (WB)

          0.5-1 µg/mL
          -

          免疫组化 (IHC)

          5 µg/mL
          -
          产品规格

          种属反应

          Human, Mouse, Rat

          宿主/亚型

          Rabbit / IgG

          分类

          Polyclonal

          类型

          Antibody

          抗原

          A 14 amino acid peptide near the carboxy terminus of human TNFSF4
          3D表位/免疫原

          偶联物

          Unconjugated Unconjugated Unconjugated

          形式

          Liquid

          浓度

          1 mg/mL

          规格

          100 µg

          纯化类型

          Antigen affinity chromatography

          保存液

          PBS

          内含物

          0.02% sodium azide

          保存条件

          Maintain refrigerated at 2-8°C for up to 3 months. For long term storage store at -20°C

          运输条件

          Ambient (domestic); Wet ice (international)

          RRID

          AB_2551868

          产品详细信息

          A suggested positive control is rat spleen tissue lysate.

          PA5-34516 can be used with blocking peptide PEP-1559.

          靶标信息

          The tumor necrosis factor superfamily member TNFSF4 is a type II membrane bound, non-covalently linked homotrimeric protein. It is expressed on antigen presenting cells, such as dendritic cells and activated B-cells, and also on other cells such as vascular endothelial cells, mast cells, and natural killer cells. TNFSF4 signals specifically through the TNFRSF4 receptor, is expressed predominantly on CD4+T cells but also on certain activated CD8+T cells. TNFRSF4/TNFSF4 functions as a costimulatory signal, which is required for a productive interaction between antigen presenting cells and their target T-cells. It enhances cell proliferation and survival, and increases expression of RANTES, IL-2, IL-3, and IFNgamma. TNFRSF4/TNFSF4 signaling plays an important role in immunotolerance.

          仅用于科研。不用于诊断过程。未经明确授权不得转售。

          篇参考文献 (0)

          您是否在文献中引用过该产品?请点击下方按钮邮件告知我们。
          引用该产品

          生物信息学

          蛋白别名: atherosclerosis 1; CD134 ligand; CD252; Glycoprotein Gp34; OX 40 ligand/ gp 34; OX40 antigen ligand; OX40 ligand; OX40L; TAX transcriptionally-activated glycoprotein 1; tax-transcriptionally activated glycoprotein 1 (34kD); tax-transcriptionally activated glycoprotein 1 ligand; TNFSF4; tumor necrosis factor (ligand) superfamily member 4; tumor necrosis factor ligand 2B; Tumor necrosis factor ligand superfamily member 4; tumor necrosis factor superfamily member 4; unnamed protein product

          查看更多 收起

          基因别名: Ath-1; Ath1; CD134L; CD252; GP34; OX-40L; Ox40l; OX4OL; TNFSF4; TNLG2B; TXGP1; Txgp1l

          查看更多 收起

          UniProt ID: (Human) P23510, (Rat) Q9Z2P3, (Mouse) P43488

          查看更多 收起

          Entrez Gene ID: (Human) 7292, (Rat) 89814, (Mouse) 22164

          查看更多 收起

          功能
          receptor binding cytokine activity tumor necrosis factor receptor binding protein binding tumor necrosis factor receptor superfamily binding
          参与通路
          negative regulation of transcription from RNA polymerase II promoter positive regulation of cytokine production defense response to nematode acute inflammatory response positive regulation of immunoglobulin production positive regulation of T cell cytokine production regulation of adaptive immune response positive regulation of type 2 immune response positive regulation of immunoglobulin mediated immune response inflammatory response immune response cell communication signal transduction positive regulation of cell proliferation response to virus signaling negative regulation of interferon-gamma production negative regulation of interleukin-17 production positive regulation of chemokine production positive regulation of interferon-gamma production positive regulation of interleukin-10 production positive regulation of interleukin-12 production positive regulation of interleukin-13 production positive regulation of interleukin-4 production positive regulation of interleukin-6 production memory T cell activation T-helper 2 cell activation response to nitrogen dioxide positive regulation of T cell proliferation positive regulation of CD4-positive, alpha-beta T cell differentiation positive regulation of memory T cell differentiation negative regulation of regulatory T cell differentiation negative regulation of T-helper 1 cell differentiation positive regulation of T-helper 2 cell differentiation positive regulation of alpha-beta T cell proliferation regulation of inflammatory response positive regulation of inflammatory response positive regulation of B cell activation cellular response to lipopolysaccharide cellular response to prostaglandin E stimulus positive regulation of CD4-positive, alpha-beta T cell costimulation positive regulation of interleukin-4-dependent isotype switching to IgE isotypes cytokine production cholesterol metabolic process positive regulation of interleukin-2 production cellular response to nitrogen dioxide CD4-positive, alpha-beta T cell costimulation T cell proliferation positive regulation of activated T cell proliferation negative regulation of sequence-specific DNA binding transcription factor activity negative regulation of transcription, DNA-templated negative regulation of cytokine secretion positive regulation of immunoglobulin secretion chemokine (C-C motif) ligand 11 production positive regulation of T cell costimulation positive regulation of memory T cell activation positive regulation of T-helper 2 cell activation blood vessel development positive regulation of immune effector process innate immune response negative regulation of T cell apoptotic process negative regulation of activation-induced cell death of T cells positive regulation of T cell migration negative regulation of extrinsic apoptotic signaling pathway
          It has to be done as per old AB suggested Products section.

          Disclaimer

          Close

          Clicking the images or links will redirect you to a website hosted by BenchSci that provides third-party scientific content. Neither the content nor the BenchSci technology and processes for selection have been evaluated by us; we are providing them as-is and without warranty of any kind, including for use or application of the Thermo Fisher Scientific products presented.

          guarantee_icon

          性能保障

          只要您发现Invitrogen抗体在实验中的表现与网站或说明书的所述内容不符,您即可享受免费退换货服务。*

          了解更多
          help_icon

          随时为您服务

          获取常见问题的专家解答,或者直接联系我们的技术专家,咨询应用、设备、常规产品使用问题。

          联系技术支持
          订购 Plus Icon Minus Icon
          • 订单状态查询
          • 订单支持
          • 货号直购
          • 现货供应中心
          • 电子采购
          支持 Plus Icon Minus Icon
          • 帮助&支持
          • 联系我们 - 400 820 8982
          • 技术支持中心
          • 查找文件&证书
          • 报告网站问题
          资源 Plus Icon Minus Icon
          • 学习中心
          • 促销
          • 活动&研讨会
          • 社交媒体
          关于赛默飞 Plus Icon Minus Icon
          • 关于我们
          • 招聘 招聘
          • 投资者关系 投资者关系
          • 新闻 新闻
          • 社会责任 社会责任
          • 商标
          • 政策和通知
          品牌 Plus Icon Minus Icon
          • Thermo Scientific
          • Applied Biosystems
          • Invitrogen
          • Gibco
          • Ion Torrent
          • Unity Lab Services
          • Patheon
          • PPD
          • 服务条款
          • 隐私政策
          • 定价和运输保险政策
          © 2006-2026 Thermo Fisher Scientific Inc. All rights reserved. All trademarks are the property of Thermo Fisher Scientific and its subsidiaries unless otherwise specified.
          China flag icon
          China
          本网站销售的所有产品均不得用于人类或动物之临床诊断或治疗,仅可用于工业或者科研等非医疗目的。
             电子营业执照 | 经营证照公示 | ICP备案号:沪ICP备11003924号 | 沪公网安备 31011502006935号

          Your items have has been added!


          Host server : magellan-search-green-6479c7f679-k9lz7:80/100.66.74.142:80.
          git-commit: b70c0dceb888abc3b0dcebb5bc3a5b8753e7e816
          git-url: https://github.com/thermofisher/magellan-search
          git-branch: release/2.50.0-Offline