Hamburger Menu Button
Thermo Fisher Scientific Logo
登录
没有账号?建立账号 注册
  • 产品
    • 抗体
    • 引物合成
    • GeneArt Gene Synthesis Instant Designer
    • TaqMan Assay and Array Search
    • PCR 设备和耗材
    • 色谱柱和纯化柱
    • 实验室离心机
    • 分子生物学试剂和试剂盒
    • 实验室塑料耗材及用品
    • 查看所有产品分类
  • 应用和技术
    • 色谱
    • 细胞转染和培养
    • 实时荧光定量PCR
    • 质谱
    • 实验室塑料耗材及用品
    • 电子显微镜
    • 蛋白质生物学
    • PCR
    • RNAi
    • 环境
    • 查看所有应用和技术
  • 服务
    • 定制服务
    • 企业级实验室信息化服务
    • 金融&租赁服务
    • 仪器服务
    • OEM和商业供应
    • 培训服务
    • 360° CDMO 和 CRO 服务
    • CDMO 服务
    • 临床试验 CRO 服务
    • Unity Lab Services
    • 查看所有帮助和支持
  • 帮助和支持
    • 学习中心
    • 联系我们
    • 更改国家或地区
    • 查看所有帮助和支持
  • 热门产品
    • TaqMan Real-Time PCR Assays
      TaqMan 实时荧光定量 PCR 试剂盒
    • Antibodies
      抗体
    • Oligos, Primers & Probes
      寡核苷酸、引物、探针
    • GeneArt Gene Synthesis
      GeneArt 基因合成
    • Cell Culture Plastics
      细胞培养耗材
  • Who We Serve
    • 抗体治疗解决方案
    • 细胞与基因治疗解决方案
    • 学术科研
    • 工业与应用
  • 联系我们
  • 货号直购
  • 订单查询
  • 查找文件&证书
Thermo Fisher Scientific Logo

Search

搜索全部或下列指定分类
Search button
          • 联系我们
          • 货号直购
          • 登录
            登录
            没有账号?建立账号 注册
            • 我的账号
            • 订单
            • 会员中心
            • 账单及发票查询
            • 定制产品及项目
          • Primary Antibodies ›
          • P-Glycoprotein (ABCB1) Antibodies

          NeoBiotechnologies

          P-glycoprotein/p170/MDR1/CD243 Recombinant Rabbit Monoclonal Antibody (MDR1/8962R)

          查看其他42个P-Glycoprotein (ABCB1)抗体

          {{$productOrderCtrl.translations['antibody.pdp.commerceCard.promotion.promotions']}}

          {{$productOrderCtrl.translations['antibody.pdp.commerceCard.promotion.viewpromo']}}

          {{$productOrderCtrl.translations['antibody.pdp.commerceCard.promotion.promocode']}}: {{promo.promoCode}} {{promo.promoTitle}} {{promo.promoDescription}}. {{$productOrderCtrl.translations['antibody.pdp.commerceCard.promotion.learnmore']}}

          说明书
          证书
          实验方案
          问题与答案
          技术支持
          说明书
          证书
          实验方案
          问题与答案
          技术支持
          说明书
          证书
          实验方案
          问题与答案
          技术支持

          Cite P-glycoprotein/p170/MDR1/CD243 Recombinant Rabbit Monoclonal Antibody (MDR1/8962R)

          Additional Information:
          {{banner.description}}
          {{$ctrl.isSkuNotesCollapsed ? 'View more' : 'View less'}}
          • 抗体检测数据 (1)
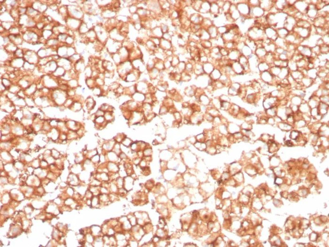
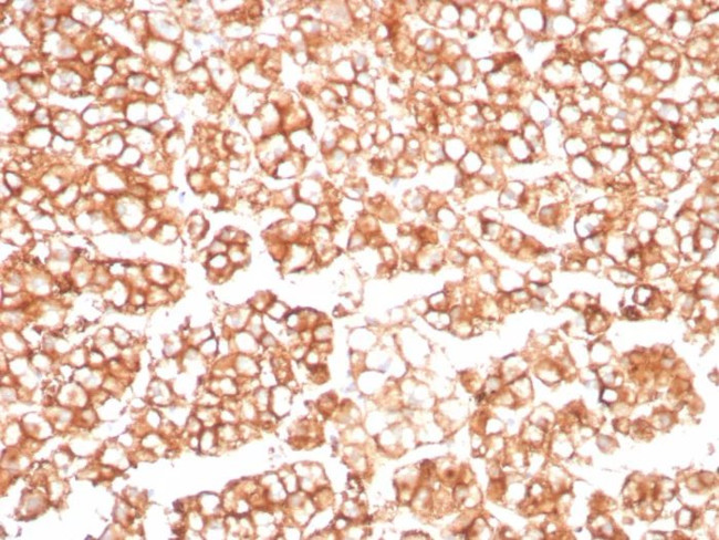
          P-glycoprotein/p170/MDR1/CD243 Antibody in Immunohistochemistry (Paraffin) (IHC (P))
          Group 53 Created with Sketch.
          P-glycoprotein/p170/MDR1/CD243 Antibody in Immunohistochemistry (Paraffin) (IHC (P))
          Group 53 Created with Sketch.

          图: 1 / 1

          {{ $ctrl.currentElement.advancedVerification.fullName }}
          {{ $ctrl.currentElement.advancedVerification.text }}

          P-glycoprotein/p170/MDR1/CD243 Antibody (5243-RBM4-P1ABX) in IHC (P)

          Formalin-fixed, paraffin-embedded human adrenal gland stained with MDR1 Recombinant Rabbit Monoclonal Antibody (MDR1/8962R). HIER: Tris/EDTA, pH9.0, 45 min. 2°C: HRP-polymer, 30 min. DAB, 5 min. {{ $ctrl.currentElement.advancedVerification.fullName }} 验证信息 View more
          已发表图片由___提供 benchsci-logo
          PMID: {{$ctrl.currentElement.benchSciPubmedId}}
          查看产品

          {{$ctrl.videoDesc}}

          {{$ctrl.videoLongDesc}}

          P-glycoprotein/p170/MDR1/CD243 Antibody in Immunohistochemistry (Paraffin) (IHC (P))
          P-glycoprotein/p170/MDR1/CD243 Recombinant Rabbit Monoclonal Antibody (MDR1/8962R)

          产品信息

          5243-RBM4-P1ABX

          应用
          建议稀释比
          已发表文章

          免疫组化(石蜡) (IHC (P))

          1-2 µg/mL
          -
          产品规格

          种属反应

          Human

          宿主/亚型

          Rabbit / IgG, kappa

          Expression System

          CHO cells

          分类

          Recombinant Monoclonal

          类型

          Antibody

          克隆号

          MDR1/8962R

          抗原

          Recombinant fragment (around aa500-700) of human ABCB1 protein.
          3D表位/免疫原

          偶联物

          Unconjugated Unconjugated Unconjugated

          形式

          Liquid

          浓度

          1 mg/mL

          规格

          100 µg

          纯化类型

          Protein A/G

          保存液

          PBS

          内含物

          no preservative

          保存条件

          -20°C or -80°C if preferred

          运输条件

          Ambient (domestic); Wet ice (international)

          产品详细信息

          Positive Control:hPBL or Jurkat whole cell lysate. Human adrenal gland.

          Cellular Location: Membrane.

          靶标信息

          The membrane-associated protein encoded by this gene is a member of the superfamily of ATP-binding cassette (ABC) transporters. ABC proteins transport various molecules across extra- and intra-cellular membranes. ABC genes are divided into seven distinct subfamilies (ABC1, MDR/TAP, MRP, ALD, OABP, GCN20, White). This protein is a member of the MDR/TAP subfamily. Members of the MDR/TAP subfamily are involved in multidrug resistance. The protein encoded by this gene is an ATP-dependent drug efflux pump for xenobiotic compounds with broad substrate specificity. It is responsible for decreased drug accumulation in multidrug-resistant cells and often mediates the development of resistance to anticancer drugs. This protein also functions as a transporter in the blood-brain barrier.

          仅用于科研。不用于诊断过程。未经明确授权不得转售。

          篇参考文献 (0)

          您是否在文献中引用过该产品?请点击下方按钮邮件告知我们。
          引用该产品

          生物信息学

          蛋白别名: ATP-binding cassette sub-family B member 1; ATP-binding cassette, sub-family B (MDR/TAP), member 1; ATP-dependent translocase ABCB1; CD243; colchicin sensitivity; doxorubicin resistance; MDR1; P-glycoprotein; Multidrug resistance protein 1; multidrug-resistance; P-glycoprotein; P-glycoprotein 1; Phospholipid transporter ABCB1; unnamed protein product; uORF

          查看更多 收起

          基因别名: ABC20; ABCB1; CD243; CLCS; ENPAT; GP170; MDR1; p-170; P-GP; PGY1

          查看更多 收起

          UniProt ID: (Human) P08183

          查看更多 收起

          Entrez Gene ID: (Human) 5243

          查看更多 收起

          功能
          nucleotide binding protein binding ATP binding xenobiotic-transporting ATPase activity efflux transmembrane transporter activity ATPase activity transmembrane transporter activity ubiquitin protein ligase binding ATPase activity, coupled to transmembrane movement of substances xenobiotic transporter activity carboxylic acid transmembrane transporter activity phosphatidylcholine-translocating ATPase activity phosphatidylethanolamine flippase activity ceramide floppase activity ATPase-coupled intramembrane lipid transporter activity floppase activity ABC-type transporter activity
          参与通路
          G2/M transition of mitotic cell cycle response to hypoxia placenta development xenobiotic metabolic process lipid transport female pregnancy lactation circadian rhythm response to xenobiotic stimulus hormone transport response to mycotoxin response to nutrient levels response to estradiol response to lipopolysaccharide response to progesterone response to vitamin A response to vitamin D response to glucagon maintenance of blood-brain barrier cellular response to mycotoxin daunorubicin transport phospholipid translocation response to cadmium ion terpenoid transport intestinal absorption transmembrane transport establishment of blood-brain barrier transepithelial transport cellular response to external biotic stimulus cellular response to lipopolysaccharide cellular response to antibiotic cellular response to alkaloid cellular response to tumor necrosis factor cellular response to estradiol stimulus cellular hyperosmotic salinity response response to dexamethasone cellular response to dexamethasone stimulus stem cell proliferation response to thyroxine response to alcohol response to antineoplastic agent ceramide translocation export across plasma membrane transport across blood-brain barrier response to L-glutamate protein localization to bicellular tight junction response to glycoside negative regulation of sensory perception of pain cellular response to nonylphenol positive regulation of establishment of Sertoli cell barrier regulation of intestinal absorption carboxylic acid transmembrane transport cellular response to borneol cellular response to L-glutamate response to codeine response to quercetin response to cyclosporin A drug transmembrane export drug transport across blood-brain barrier establishment of blood-retinal barrier positive regulation of response to drug regulation of chloride transport
          It has to be done as per old AB suggested Products section.

          Disclaimer

          Close

          Clicking the images or links will redirect you to a website hosted by BenchSci that provides third-party scientific content. Neither the content nor the BenchSci technology and processes for selection have been evaluated by us; we are providing them as-is and without warranty of any kind, including for use or application of the Thermo Fisher Scientific products presented.

          guarantee_icon

          性能保障

          只要您发现Invitrogen抗体在实验中的表现与网站或说明书的所述内容不符,您即可享受免费退换货服务。*

          了解更多
          help_icon

          随时为您服务

          获取常见问题的专家解答,或者直接联系我们的技术专家,咨询应用、设备、常规产品使用问题。

          联系技术支持
          订购 Plus Icon Minus Icon
          • 订单状态查询
          • 订单支持
          • 货号直购
          • 现货供应中心
          • 电子采购
          支持 Plus Icon Minus Icon
          • 帮助&支持
          • 联系我们 - 400 820 8982
          • 技术支持中心
          • 查找文件&证书
          • 报告网站问题
          资源 Plus Icon Minus Icon
          • 学习中心
          • 促销
          • 活动&研讨会
          • 社交媒体
          关于赛默飞 Plus Icon Minus Icon
          • 关于我们
          • 招聘 招聘
          • 投资者关系 投资者关系
          • 新闻 新闻
          • 社会责任 社会责任
          • 商标
          • 政策和通知
          品牌 Plus Icon Minus Icon
          • Thermo Scientific
          • Applied Biosystems
          • Invitrogen
          • Gibco
          • Ion Torrent
          • Unity Lab Services
          • Patheon
          • PPD
          • 服务条款
          • 隐私政策
          • 定价和运输保险政策
          © 2006-2026 Thermo Fisher Scientific Inc. All rights reserved. All trademarks are the property of Thermo Fisher Scientific and its subsidiaries unless otherwise specified.
          China flag icon
          China
          本网站销售的所有产品均不得用于人类或动物之临床诊断或治疗,仅可用于工业或者科研等非医疗目的。
             电子营业执照 | 经营证照公示 | ICP备案号:沪ICP备11003924号 | 沪公网安备 31011502006935号

          Your items have has been added!


          Host server : magellan-search-green-6479c7f679-sz4vp:80/100.66.76.236:80.
          git-commit: b70c0dceb888abc3b0dcebb5bc3a5b8753e7e816
          git-url: https://github.com/thermofisher/magellan-search
          git-branch: release/2.50.0-Offline