Hamburger Menu Button
Thermo Fisher Scientific Logo
登录
没有账号?建立账号 注册
  • 产品
    • 抗体
    • 引物合成
    • GeneArt Gene Synthesis Instant Designer
    • TaqMan Assay and Array Search
    • PCR 设备和耗材
    • 色谱柱和纯化柱
    • 实验室离心机
    • 分子生物学试剂和试剂盒
    • 实验室塑料耗材及用品
    • 查看所有产品分类
  • 应用和技术
    • 色谱
    • 细胞转染和培养
    • 实时荧光定量PCR
    • 质谱
    • 实验室塑料耗材及用品
    • 电子显微镜
    • 蛋白质生物学
    • PCR
    • RNAi
    • 环境
    • 查看所有应用和技术
  • 服务
    • 定制服务
    • 企业级实验室信息化服务
    • 金融&租赁服务
    • 仪器服务
    • OEM和商业供应
    • 培训服务
    • 360° CDMO 和 CRO 服务
    • CDMO 服务
    • 临床试验 CRO 服务
    • Unity Lab Services
    • 查看所有帮助和支持
  • 帮助和支持
    • 学习中心
    • 联系我们
    • 更改国家或地区
    • 查看所有帮助和支持
  • 热门产品
    • TaqMan Real-Time PCR Assays
      TaqMan 实时荧光定量 PCR 试剂盒
    • Antibodies
      抗体
    • Oligos, Primers & Probes
      寡核苷酸、引物、探针
    • GeneArt Gene Synthesis
      GeneArt 基因合成
    • Cell Culture Plastics
      细胞培养耗材
  • Who We Serve
    • 抗体治疗解决方案
    • 细胞与基因治疗解决方案
    • 学术科研
    • 工业与应用
  • 联系我们
  • 货号直购
  • 订单查询
  • 查找文件&证书
Thermo Fisher Scientific Logo

Search

搜索全部或下列指定分类
Search button
          • 联系我们
          • 货号直购
          • 登录
            登录
            没有账号?建立账号 注册
            • 我的账号
            • 订单
            • 会员中心
            • 账单及发票查询
            • 定制产品及项目
          • Primary Antibodies ›
          • P2X7 Antibodies

          Huabio

          P2X7 Polyclonal Antibody

          查看其他22个P2X7抗体

          {{$productOrderCtrl.translations['antibody.pdp.commerceCard.promotion.promotions']}}

          {{$productOrderCtrl.translations['antibody.pdp.commerceCard.promotion.viewpromo']}}

          {{$productOrderCtrl.translations['antibody.pdp.commerceCard.promotion.promocode']}}: {{promo.promoCode}} {{promo.promoTitle}} {{promo.promoDescription}}. {{$productOrderCtrl.translations['antibody.pdp.commerceCard.promotion.learnmore']}}

          说明书
          证书
          实验方案
          问题与答案
          技术支持
          说明书
          证书
          实验方案
          问题与答案
          技术支持
          说明书
          证书
          实验方案
          问题与答案
          技术支持

          Cite P2X7 Polyclonal Antibody

          Additional Information:
          {{banner.description}}
          {{$ctrl.isSkuNotesCollapsed ? 'View more' : 'View less'}}
          • 抗体检测数据 (5)
          P2X7 Antibody in Immunohistochemistry (Paraffin) (IHC (P))
          Group 53 Created with Sketch.
          P2X7 Antibody in Immunohistochemistry (Paraffin) (IHC (P))
          Group 53 Created with Sketch.

          图: 1 / 5

          {{ $ctrl.currentElement.advancedVerification.fullName }}
          {{ $ctrl.currentElement.advancedVerification.text }}

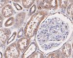
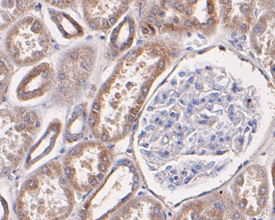
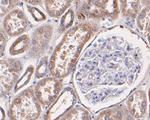
          P2X7 Antibody (ER1901-99) in IHC (P)

          Immunohistochemical analysis of paraffin-embedded human kidney tissue using anti-P2X7 antibody. The section was pre-treated using heat mediated antigen retrieval with Tris-EDTA buffer (pH 8.0-8.4) for 20 minutes. The tissues were blocked in 5% BSA for 30 minutes at room temperature, washed with ddH2O and PBS, and then probed with the primary antibody (ER1901-99, 1:50) for 30 minutes at room temperature. The... View More {{ $ctrl.currentElement.advancedVerification.fullName }} 验证信息 View more
          已发表图片由___提供 benchsci-logo
          PMID: {{$ctrl.currentElement.benchSciPubmedId}}
          查看产品

          {{$ctrl.videoDesc}}

          {{$ctrl.videoLongDesc}}

          P2X7 Antibody in Immunohistochemistry (Paraffin) (IHC (P))
          P2X7 Antibody in Immunohistochemistry (Paraffin) (IHC (P))
          P2X7 Antibody in Immunohistochemistry (Paraffin) (IHC (P))
          P2X7 Antibody in Western Blot (WB)
          P2X7 Antibody in Flow Cytometry (Flow)
          P2X7 Polyclonal Antibody

          产品信息

          ER1901-99

          应用
          建议稀释比
          已发表文章

          免疫印迹 (WB)

          1:500-1:2,000
          -

          免疫组化(石蜡) (IHC (P))

          1:50-1:200
          -

          流式细胞分析 (Flow)

          1:50-1:100
          -
          产品规格

          种属反应

          Human, Mouse, Rat

          宿主/亚型

          Rabbit / IgG

          分类

          Polyclonal

          类型

          Antibody

          抗原

          Synthetic peptide corresponding to C terminal Rat P2X7.
          3D表位/免疫原

          偶联物

          Unconjugated Unconjugated Unconjugated

          形式

          Liquid

          浓度

          1 mg/mL

          规格

          100 µg

          纯化类型

          Antigen affinity chromatography

          保存液

          PBS, pH 7.4, with 0.2% BSA, 50% glycerol

          内含物

          0.05% sodium azide

          保存条件

          Store at 4°C short term. For long term storage, store at -20°C, avoiding freeze/thaw cycles.

          运输条件

          Ambient (domestic); Wet ice (international)

          靶标信息

          The product of this gene belongs to the family of purinoceptors for ATP. This receptor functions as a ligand-gated ion channel and is responsible for ATP-dependent lysis of macrophages through the formation of membrane pores permeable to large molecules. Activation of this nuclear receptor by ATP in the cytoplasm may be a mechanism by which cellular activity can be coupled to changes in gene expression. Multiple alternatively spliced variants have been identified, most of which fit nonsense-mediated decay criteria.

          仅用于科研。不用于诊断过程。未经明确授权不得转售。

          篇参考文献 (0)

          您是否在文献中引用过该产品?请点击下方按钮邮件告知我们。
          引用该产品

          生物信息学

          蛋白别名: ATP agonist non-selective cationic pore-forming protein; ATP receptor; ligand gated ion channel; MGC20089; P2X purinoceptor 7; p2X receptor 7; P2X7; P2X7 purinoceptor; P2X7 receptor; P2X7; cervical cancer susceptibility protein; P2Z; P2Z receptor; Purinergic receptor; purinergic receptor P2X, ligand gated ion channel, 7; purinergic receptor P2X7; purnergic receptor P2X 7; unnamed protein product

          查看更多 收起

          基因别名: AI467586; P2RX7; P2X(7); P2X7; P2X7R

          查看更多 收起

          UniProt ID: (Human) Q99572, (Rat) Q64663, (Mouse) Q9Z1M0

          查看更多 收起

          Entrez Gene ID: (Human) 5027, (Rat) 29665, (Mouse) 18439

          查看更多 收起

          功能
          nucleotide binding lipopolysaccharide binding purinergic nucleotide receptor activity extracellular ATP-gated cation channel activity receptor binding ion channel activity potassium channel activity sodium channel activity protein binding ATP binding GTP binding channel activity signaling receptor activity identical protein binding metal ion binding magnesium ion binding receptor activity copper ion binding zinc ion binding protein serine/threonine kinase activator activity scaffold protein binding ligand-gated ion channel
          参与通路
          MAPK cascade cell morphogenesis phagolysosome assembly T cell mediated cytotoxicity positive regulation of T cell mediated cytotoxicity regulation of sodium ion transport response to ischemia membrane protein ectodomain proteolysis phospholipid transfer to membrane ion transport cation transport calcium ion transport cell volume homeostasis membrane budding inflammatory response mitochondrion organization plasma membrane organization cell surface receptor signaling pathway protein secretion response to xenobiotic stimulus response to mechanical stimulus response to bacterium response to zinc ion gene expression positive regulation of calcium ion transport into cytosol positive regulation of gene expression programmed cell death glutamate secretion positive regulation of glutamate secretion gamma-aminobutyric acid secretion positive regulation of gamma-aminobutyric acid secretion organophosphate ester transport synaptic vesicle exocytosis protein processing phospholipid scrambling sensory perception of pain calcium-mediated signaling protein catabolic process positive regulation of bone mineralization bleb assembly positive regulation of prostaglandin secretion prostaglandin secretion response to lipopolysaccharide positive regulation of interleukin-1 alpha production positive regulation of interleukin-1 beta production positive regulation of interleukin-6 production collagen metabolic process response to ATP ion transmembrane transport response to fluid shear stress positive regulation of ion transmembrane transport purinergic nucleotide receptor signaling pathway sodium ion transmembrane transport T cell proliferation T cell homeostasis positive regulation of apoptotic process NAD transport negative regulation of MAPK cascade positive regulation of MAPK cascade phospholipid translocation positive regulation of ossification negative regulation of bone resorption negative regulation of cell volume positive regulation of glycolytic process ceramide biosynthetic process pore complex assembly skeletal system morphogenesis homeostasis of number of cells within a tissue positive regulation of protein secretion defense response to Gram-positive bacterium regulation of transport positive regulation of cellular component organization release of sequestered calcium ion into cytosol positive regulation of cytoskeleton organization response to calcium ion response to electrical stimulus establishment of localization in cell mitochondrial depolarization membrane depolarization positive regulation of mitochondrial depolarization excitatory postsynaptic potential positive regulation of macrophage cytokine production protein homotrimerization lymphocyte apoptotic process positive regulation of lymphocyte apoptotic process T cell apoptotic process positive regulation of T cell apoptotic process calcium ion transmembrane transport cellular response to ATP cellular response to dsRNA potassium ion transmembrane transport reactive oxygen species metabolic process apoptotic signaling pathway extrinsic apoptotic signaling pathway cation transmembrane transport positive regulation of NLRP3 inflammasome complex assembly positive regulation of bleb assembly activation of MAPK activity positive regulation of protein phosphorylation protein phosphorylation response to organic substance response to organic cyclic compound organic cation transport neuronal action potential cytolysis cellular response to extracellular stimulus response to drug positive regulation of catalytic activity multicellular organismal protein catabolic process positive regulation of cytolysis positive regulation of cytokine secretion positive regulation of interleukin-1 alpha secretion positive regulation of interleukin-1 beta secretion protein oligomerization cellular response to organic cyclic compound transport
          It has to be done as per old AB suggested Products section.

          Disclaimer

          Close

          Clicking the images or links will redirect you to a website hosted by BenchSci that provides third-party scientific content. Neither the content nor the BenchSci technology and processes for selection have been evaluated by us; we are providing them as-is and without warranty of any kind, including for use or application of the Thermo Fisher Scientific products presented.

          guarantee_icon

          性能保障

          只要您发现Invitrogen抗体在实验中的表现与网站或说明书的所述内容不符,您即可享受免费退换货服务。*

          了解更多
          help_icon

          随时为您服务

          获取常见问题的专家解答,或者直接联系我们的技术专家,咨询应用、设备、常规产品使用问题。

          联系技术支持
          订购 Plus Icon Minus Icon
          • 订单状态查询
          • 订单支持
          • 货号直购
          • 现货供应中心
          • 电子采购
          支持 Plus Icon Minus Icon
          • 帮助&支持
          • 联系我们 - 400 820 8982
          • 技术支持中心
          • 查找文件&证书
          • 报告网站问题
          资源 Plus Icon Minus Icon
          • 学习中心
          • 促销
          • 活动&研讨会
          • 社交媒体
          关于赛默飞 Plus Icon Minus Icon
          • 关于我们
          • 招聘 招聘
          • 投资者关系 投资者关系
          • 新闻 新闻
          • 社会责任 社会责任
          • 商标
          • 政策和通知
          品牌 Plus Icon Minus Icon
          • Thermo Scientific
          • Applied Biosystems
          • Invitrogen
          • Gibco
          • Ion Torrent
          • Unity Lab Services
          • Patheon
          • PPD
          • 服务条款
          • 隐私政策
          • 定价和运输保险政策
          © 2006-2026 Thermo Fisher Scientific Inc. All rights reserved. All trademarks are the property of Thermo Fisher Scientific and its subsidiaries unless otherwise specified.
          China flag icon
          China
          本网站销售的所有产品均不得用于人类或动物之临床诊断或治疗,仅可用于工业或者科研等非医疗目的。
             电子营业执照 | 经营证照公示 | ICP备案号:沪ICP备11003924号 | 沪公网安备 31011502006935号

          Your items have has been added!


          Host server : magellan-search-green-6479c7f679-k9lz7:80/100.66.74.142:80.
          git-commit: b70c0dceb888abc3b0dcebb5bc3a5b8753e7e816
          git-url: https://github.com/thermofisher/magellan-search
          git-branch: release/2.50.0-Offline