Hamburger Menu Button
Thermo Fisher Scientific Logo
登录
没有账号?建立账号 注册
  • 产品
    • 抗体
    • 引物合成
    • GeneArt Gene Synthesis Instant Designer
    • TaqMan Assay and Array Search
    • PCR 设备和耗材
    • 色谱柱和纯化柱
    • 实验室离心机
    • 分子生物学试剂和试剂盒
    • 实验室塑料耗材及用品
    • 查看所有产品分类
  • 应用和技术
    • 色谱
    • 细胞转染和培养
    • 实时荧光定量PCR
    • 质谱
    • 实验室塑料耗材及用品
    • 电子显微镜
    • 蛋白质生物学
    • PCR
    • RNAi
    • 环境
    • 查看所有应用和技术
  • 服务
    • 定制服务
    • 企业级实验室信息化服务
    • 金融&租赁服务
    • 仪器服务
    • OEM和商业供应
    • 培训服务
    • 360° CDMO 和 CRO 服务
    • CDMO 服务
    • 临床试验 CRO 服务
    • Unity Lab Services
    • 查看所有帮助和支持
  • 帮助和支持
    • 学习中心
    • 联系我们
    • 更改国家或地区
    • 查看所有帮助和支持
  • 热门产品
    • TaqMan Real-Time PCR Assays
      TaqMan 实时荧光定量 PCR 试剂盒
    • Antibodies
      抗体
    • Oligos, Primers & Probes
      寡核苷酸、引物、探针
    • GeneArt Gene Synthesis
      GeneArt 基因合成
    • Cell Culture Plastics
      细胞培养耗材
  • Who We Serve
    • 抗体治疗解决方案
    • 细胞与基因治疗解决方案
    • 学术科研
    • 工业与应用
  • 联系我们
  • 货号直购
  • 订单查询
  • 查找文件&证书
Thermo Fisher Scientific Logo

Search

搜索全部或下列指定分类
Search button
          • 联系我们
          • 货号直购
          • 登录
            登录
            没有账号?建立账号 注册
            • 我的账号
            • 订单
            • 会员中心
            • 账单及发票查询
            • 定制产品及项目
          • Primary Antibodies ›
          • p53 Antibodies

          Bioss

          P53 Monoclonal Antibody (5B10)

          查看其他187个p53抗体

          {{$productOrderCtrl.translations['antibody.pdp.commerceCard.promotion.promotions']}}

          {{$productOrderCtrl.translations['antibody.pdp.commerceCard.promotion.viewpromo']}}

          {{$productOrderCtrl.translations['antibody.pdp.commerceCard.promotion.promocode']}}: {{promo.promoCode}} {{promo.promoTitle}} {{promo.promoDescription}}. {{$productOrderCtrl.translations['antibody.pdp.commerceCard.promotion.learnmore']}}

          说明书
          证书
          实验方案
          问题与答案
          技术支持
          说明书
          证书
          实验方案
          问题与答案
          技术支持
          说明书
          证书
          实验方案
          问题与答案
          技术支持

          Cite P53 Monoclonal Antibody (5B10)

          Additional Information:
          {{banner.description}}
          {{$ctrl.isSkuNotesCollapsed ? 'View more' : 'View less'}}
          • 抗体检测数据 (16)
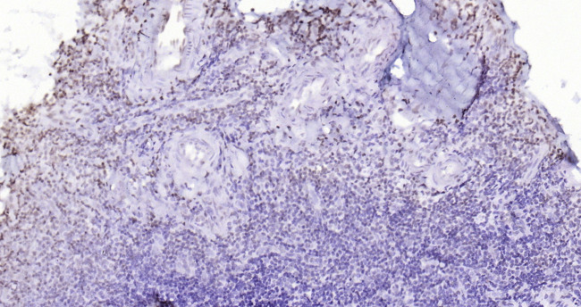
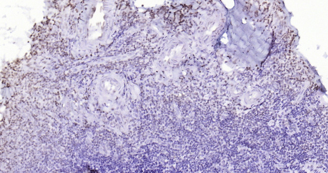
          P53 Antibody in Immunohistochemistry (Paraffin) (IHC (P))
          Group 53 Created with Sketch.
          P53 Antibody in Immunohistochemistry (Paraffin) (IHC (P))
          Group 53 Created with Sketch.

          图: 1 / 16

          {{ $ctrl.currentElement.advancedVerification.fullName }}
          {{ $ctrl.currentElement.advancedVerification.text }}

          P53 Antibody (BSM-33209M) in IHC (P)

          Paraformaldehyde-fixed, paraffin embedded Human glioma; Antigen retrieval by boiling in sodium citrate buffer (pH6.0) for 15 min; Block endogenous peroxidase by 3% hydrogen peroxide for 20 minutes; Blocking buffer (normal goat serum) at 37°C for 30 min; Antibody incubation with P53 (Mono Methyl Lys370) Monoclonal Antibody, Unconjugated (bsm-33209M) at 1:200 overnight at 4°C, DAB staining. {{ $ctrl.currentElement.advancedVerification.fullName }} 验证信息 View more
          已发表图片由___提供 benchsci-logo
          PMID: {{$ctrl.currentElement.benchSciPubmedId}}
          查看产品

          {{$ctrl.videoDesc}}

          {{$ctrl.videoLongDesc}}

          P53 Antibody in Immunohistochemistry (Paraffin) (IHC (P))
          P53 Antibody in Immunohistochemistry (Paraffin) (IHC (P))
          P53 Antibody in Immunohistochemistry (Paraffin) (IHC (P))
          P53 Antibody in Immunohistochemistry (Paraffin) (IHC (P))
          P53 Antibody in Immunohistochemistry (Paraffin) (IHC (P))
          P53 Antibody in Immunohistochemistry (Paraffin) (IHC (P))
          P53 Antibody in Immunohistochemistry (Paraffin) (IHC (P))
          P53 Antibody in Immunohistochemistry (Paraffin) (IHC (P))
          P53 Antibody in Immunohistochemistry (Paraffin) (IHC (P))
          P53 Antibody in Immunohistochemistry (Paraffin) (IHC (P))
          P53 Antibody in Immunohistochemistry (Paraffin) (IHC (P))
          P53 Antibody in Immunohistochemistry (Paraffin) (IHC (P))
          P53 Antibody in Immunohistochemistry (Paraffin) (IHC (P))
          P53 Antibody in Immunohistochemistry (Paraffin) (IHC (P))
          P53 Antibody in Immunohistochemistry (Paraffin) (IHC (P))
          P53 Antibody in Western Blot (WB)
          P53 Monoclonal Antibody (5B10)

          产品信息

          BSM-33209M

          应用
          建议稀释比
          已发表文章

          免疫印迹 (WB)

          1:300-1:5,000
          -

          免疫组化(石蜡) (IHC (P))

          1:200-1:400
          -

          免疫组化(冰冻) (IHC (F))

          1:100-1:500
          -

          免疫细胞化学 (ICC/IF)

          1:50-200
          -
          产品规格

          种属反应

          Human, Mouse

          宿主/亚型

          Mouse / IgG

          分类

          Monoclonal

          类型

          Antibody

          克隆号

          5B10

          抗原

          KLH conjugated synthesised methylpeptide derived from human P53 around the methylation site of Mono Methyl Lys370
          3D表位/免疫原

          偶联物

          Unconjugated Unconjugated Unconjugated
          • Biotin 
          • Cyanine3
          • Cyanine5 
          • Cyanine5.5 
          • Cyanine7
          • FITC
          • HRP
          • Request custom conjugation

          形式

          Liquid

          浓度

          1 mg/mL

          规格

          100 µg

          纯化类型

          Protein G

          保存液

          TBS, pH 7.4, with 50% glycerol, 1% BSA

          内含物

          0.03% ProClin 300

          保存条件

          -20°C, Avoid Freeze/Thaw Cycles

          运输条件

          Ambient (domestic); Wet ice (international)

          靶标信息

          The tumor suppressor protein, p53, is a sequence specific transcription factor that is activated by cellular stress. p53 mediates cell cycle arrest or apoptosis in response to DNA damage or starvation for pyrimidine nucleotides. p53 is up-regulated in response to stress signals and stimulated to activate transcription of specific genes, resulting in expression of p21waf1 and other proteins involved in G1 or G2/M arrest. The structure of p53 comprises an N-terminal transactivation domain, a central DNA-binding domain, an oligomerisation domain, and a C-terminal regulatory domain. There are various phosphorylation sites on p53, of which the phosphorylation at Ser15 is important for p53 activation and stabilization. p53 has been characterized to play a role in blocking the proliferative action of damaged cells and act as an anticancer agent. Phosphorylation of Ser392 in p53 has been shown to associate with the formation of human tumors. In addition, p53 has also been linked to the effects of aging and oxidative stress and an increase in p53 has been linked to deficits in LTP (Long Term Potentiation) in learning and memory. p53 is found in very low levels in normal cells, however, in a variety of transformed cell lines, it is expressed in high amounts, and believed to contribute to transformation and malignancy. Mutants of p53 that frequently occur in a number of different human cancers fail to bind the consensus DNA binding site, and cause the loss of tumor suppressor activity. Alterations of the TP53 gene occur not only as somatic mutations in human malignancies, but also as germline mutations in some cancer-prone families such as Li-Fraumeni syndrome.

          仅用于科研。不用于诊断过程。未经明确授权不得转售。

          篇参考文献 (0)

          您是否在文献中引用过该产品?请点击下方按钮邮件告知我们。
          引用该产品

          生物信息学

          蛋白别名: Antigen NY-CO-13; Cellular tumor antigen p53; Cys 51 Stop; FLJ92943; HGNC11998; mutant p53; mutant tumor protein 53; OTTMUSP00000006194; p53 antigen; p53 cellular tumor antigen; Phosphoprotein p53; transcription factor; transcription factor; truncated protein; transformation-related protein 53; tumor protein 53; tumor suppressor; Tumor suppressor p53; tumor supressor p53; Tumour Protein p53; unnamed protein product

          查看更多 收起

          基因别名: bbl; BCC7; bfy; bhy; BMFS5; LFS1; p44; P53; TP53; TRP53

          查看更多 收起

          UniProt ID: (Human) P04637, (Mouse) P02340

          查看更多 收起

          Entrez Gene ID: (Human) 7157, (Mouse) 22059

          查看更多 收起

          功能
          transcription regulatory region sequence-specific DNA binding RNA polymerase II regulatory region sequence-specific DNA binding RNA polymerase II core promoter proximal region sequence-specific DNA binding RNA polymerase II transcription factor activity, sequence-specific DNA binding core promoter proximal region sequence-specific DNA binding core promoter sequence-specific DNA binding TFIID-class transcription factor binding transcription coactivator binding transcriptional repressor activity, RNA polymerase II transcription regulatory region sequence-specific binding transcriptional activator activity, RNA polymerase II transcription regulatory region sequence-specific binding protease binding p53 binding DNA binding chromatin binding transcription factor activity, sequence-specific DNA binding mRNA 3'-UTR binding copper ion binding protein binding zinc ion binding enzyme binding receptor tyrosine kinase binding ubiquitin protein ligase binding histone deacetylase regulator activity annealing helicase activity identical protein binding histone deacetylase binding metal ion binding protein heterodimerization activity chaperone binding protein phosphatase 2A binding RNA polymerase II sequence-specific DNA binding transcription factor binding 14-3-3 protein binding MDM2/MDM4 family protein binding disordered domain specific binding general transcription initiation factor binding molecular function activator activity molecular condensate scaffold activity promoter-specific chromatin binding RNA polymerase II core promoter sequence-specific DNA binding transcriptional activator activity, RNA polymerase II core promoter proximal region sequence-specific binding RNA polymerase II transcription factor binding transcription cofactor binding damaged DNA binding double-stranded DNA binding ATP binding protein C-terminus binding transcription factor binding protein kinase binding protein phosphatase binding histone acetyltransferase binding sequence-specific DNA binding protein self-association transcription regulatory region DNA binding protein N-terminus binding P53-like transcription factor
          参与通路
          negative regulation of transcription from RNA polymerase II promoter mitophagy in utero embryonic development somitogenesis release of cytochrome c from mitochondria hematopoietic progenitor cell differentiation T cell proliferation involved in immune response B cell lineage commitment T cell lineage commitment response to ischemia nucleotide-excision repair double-strand break repair regulation of transcription, DNA-templated regulation of transcription from RNA polymerase II promoter protein import into nucleus autophagy apoptotic process cellular response to DNA damage stimulus response to oxidative stress ER overload response transforming growth factor beta receptor signaling pathway Ras protein signal transduction regulation of mitotic cell cycle gastrulation neuroblast proliferation negative regulation of neuroblast proliferation central nervous system development heart development circadian rhythm protein localization negative regulation of DNA replication cell proliferation negative regulation of cell proliferation determination of adult lifespan mRNA transcription rRNA transcription response to xenobiotic stimulus response to UV response to salt stress embryo development ending in birth or egg hatching response to X-ray response to ionizing radiation response to gamma radiation positive regulation of gene expression negative regulation of gene expression cardiac muscle cell apoptotic process positive regulation of cardiac muscle cell apoptotic process programmed cell death glial cell proliferation viral process glucose catabolic process to lactate via pyruvate cerebellum development negative regulation of cell growth DNA damage response, signal transduction by p53 class mediator negative regulation of transforming growth factor beta receptor signaling pathway mitotic G1 DNA damage checkpoint negative regulation of telomere maintenance via telomerase T cell differentiation in thymus tumor necrosis factor-mediated signaling pathway cellular response to stress regulation of tissue remodeling cellular response to UV multicellular organism growth positive regulation of mitochondrial membrane permeability regulation of cell proliferation cellular response to glucose starvation intrinsic apoptotic signaling pathway in response to DNA damage by p53 class mediator regulation of apoptotic process positive regulation of apoptotic process negative regulation of apoptotic process entrainment of circadian clock by photoperiod mitochondrial DNA repair regulation of DNA damage response, signal transduction by p53 class mediator regulation of neuron apoptotic process positive regulation of neuron apoptotic process positive regulation of gene expression, epigenetic negative regulation of proteolysis negative regulation of transcription, DNA-templated positive regulation of transcription, DNA-templated positive regulation of RNA polymerase II transcriptional preinitiation complex assembly negative regulation of mitotic cell cycle positive regulation of transcription from RNA polymerase II promoter response to antibiotic fibroblast proliferation negative regulation of fibroblast proliferation rhythmic process circadian behavior bone marrow development embryonic organ development protein stabilization negative regulation of DNA metabolic process negative regulation of helicase activity protein tetramerization chromosome organization neuron apoptotic process regulation of cell cycle hematopoietic stem cell differentiation negative regulation of glial cell proliferation interferon-gamma-mediated signaling pathway cardiac septum morphogenesis positive regulation of programmed necrotic cell death protein-containing complex assembly intrinsic apoptotic signaling pathway in response to endoplasmic reticulum stress thymocyte apoptotic process regulation of thymocyte apoptotic process positive regulation of thymocyte apoptotic process necroptotic process cellular response to hypoxia cellular response to xenobiotic stimulus cellular response to ionizing radiation cellular response to gamma radiation cellular response to UV-C stem cell proliferation signal transduction by p53 class mediator intrinsic apoptotic signaling pathway by p53 class mediator reactive oxygen species metabolic process cellular response to actinomycin D positive regulation of release of cytochrome c from mitochondria cellular senescence replicative senescence oxidative stress-induced premature senescence apoptotic signaling pathway intrinsic apoptotic signaling pathway oligodendrocyte apoptotic process positive regulation of execution phase of apoptosis negative regulation of macromitophagy regulation of mitochondrial membrane permeability involved in apoptotic process regulation of intrinsic apoptotic signaling pathway by p53 class mediator regulation of cell cycle G2/M phase transition positive regulation of pri-miRNA transcription from RNA polymerase II promoter negative regulation of G1 to G0 transition negative regulation of production of miRNAs involved in gene silencing by miRNA negative regulation of glucose catabolic process to lactate via pyruvate negative regulation of pentose-phosphate shunt intrinsic apoptotic signaling pathway in response to hypoxia regulation of fibroblast apoptotic process negative regulation of reactive oxygen species metabolic process positive regulation of reactive oxygen species metabolic process negative regulation of stem cell proliferation regulation of cellular senescence positive regulation of cellular senescence regulation of intrinsic apoptotic signaling pathway positive regulation of intrinsic apoptotic signaling pathway protein import into nucleus, translocation DNA strand renaturation positive regulation of leukocyte migration transcription, DNA-templated transcription from RNA polymerase II promoter protein complex assembly DNA damage response, signal transduction by p53 class mediator resulting in cell cycle arrest DNA damage response, signal transduction by p53 class mediator resulting in transcription of p21 class mediator cell cycle cell cycle arrest multicellular organism development cell aging chromosome breakage positive regulation of histone deacetylation chromatin assembly positive regulation of protein oligomerization cellular protein localization response to drug positive regulation of cell cycle negative regulation of smooth muscle cell proliferation positive regulation of peptidyl-tyrosine phosphorylation regulation of catalytic activity regulation of intracellular pH positive regulation of transcription from RNA polymerase II promoter in response to hypoxia positive regulation of cell cycle arrest mitotic cell cycle arrest regulation of glycolytic process by positive regulation of transcription from RNA polymerase II promoter positive regulation of cell aging regulation of hydrogen peroxide-induced cell death positive regulation of transcription from RNA polymerase II promoter in response to endoplasmic reticulum stress negative regulation of DNA biosynthetic process
          It has to be done as per old AB suggested Products section.

          Disclaimer

          Close

          Clicking the images or links will redirect you to a website hosted by BenchSci that provides third-party scientific content. Neither the content nor the BenchSci technology and processes for selection have been evaluated by us; we are providing them as-is and without warranty of any kind, including for use or application of the Thermo Fisher Scientific products presented.

          guarantee_icon

          性能保障

          只要您发现Invitrogen抗体在实验中的表现与网站或说明书的所述内容不符,您即可享受免费退换货服务。*

          了解更多
          help_icon

          随时为您服务

          获取常见问题的专家解答,或者直接联系我们的技术专家,咨询应用、设备、常规产品使用问题。

          联系技术支持
          订购 Plus Icon Minus Icon
          • 订单状态查询
          • 订单支持
          • 货号直购
          • 现货供应中心
          • 电子采购
          支持 Plus Icon Minus Icon
          • 帮助&支持
          • 联系我们 - 400 820 8982
          • 技术支持中心
          • 查找文件&证书
          • 报告网站问题
          资源 Plus Icon Minus Icon
          • 学习中心
          • 促销
          • 活动&研讨会
          • 社交媒体
          关于赛默飞 Plus Icon Minus Icon
          • 关于我们
          • 招聘 招聘
          • 投资者关系 投资者关系
          • 新闻 新闻
          • 社会责任 社会责任
          • 商标
          • 政策和通知
          品牌 Plus Icon Minus Icon
          • Thermo Scientific
          • Applied Biosystems
          • Invitrogen
          • Gibco
          • Ion Torrent
          • Unity Lab Services
          • Patheon
          • PPD
          • 服务条款
          • 隐私政策
          • 定价和运输保险政策
          © 2006-2026 Thermo Fisher Scientific Inc. All rights reserved. All trademarks are the property of Thermo Fisher Scientific and its subsidiaries unless otherwise specified.
          China flag icon
          China
          本网站销售的所有产品均不得用于人类或动物之临床诊断或治疗,仅可用于工业或者科研等非医疗目的。
             电子营业执照 | 经营证照公示 | ICP备案号:沪ICP备11003924号 | 沪公网安备 31011502006935号

          Your items have has been added!


          Host server : magellan-search-green-6479c7f679-v472f:80/100.66.78.195:80.
          git-commit: b70c0dceb888abc3b0dcebb5bc3a5b8753e7e816
          git-url: https://github.com/thermofisher/magellan-search
          git-branch: release/2.50.0-Offline