Hamburger Menu Button
Thermo Fisher Scientific Logo
登录
没有账号?建立账号 注册
  • 产品
    • 抗体
    • 引物合成
    • GeneArt Gene Synthesis Instant Designer
    • TaqMan Assay and Array Search
    • PCR 设备和耗材
    • 色谱柱和纯化柱
    • 实验室离心机
    • 分子生物学试剂和试剂盒
    • 实验室塑料耗材及用品
    • 查看所有产品分类
  • 应用和技术
    • 色谱
    • 细胞转染和培养
    • 实时荧光定量PCR
    • 质谱
    • 实验室塑料耗材及用品
    • 电子显微镜
    • 蛋白质生物学
    • PCR
    • RNAi
    • 环境
    • 查看所有应用和技术
  • 服务
    • 定制服务
    • 企业级实验室信息化服务
    • 金融&租赁服务
    • 仪器服务
    • OEM和商业供应
    • 培训服务
    • 360° CDMO 和 CRO 服务
    • CDMO 服务
    • 临床试验 CRO 服务
    • Unity Lab Services
    • 查看所有帮助和支持
  • 帮助和支持
    • 学习中心
    • 联系我们
    • 更改国家或地区
    • 查看所有帮助和支持
  • 热门产品
    • TaqMan Real-Time PCR Assays
      TaqMan 实时荧光定量 PCR 试剂盒
    • Antibodies
      抗体
    • Oligos, Primers & Probes
      寡核苷酸、引物、探针
    • GeneArt Gene Synthesis
      GeneArt 基因合成
    • Cell Culture Plastics
      细胞培养耗材
  • Who We Serve
    • 抗体治疗解决方案
    • 细胞与基因治疗解决方案
    • 学术科研
    • 工业与应用
  • 联系我们
  • 货号直购
  • 订单查询
  • 查找文件&证书
Thermo Fisher Scientific Logo

Search

搜索全部或下列指定分类
Search button
          • 联系我们
          • 货号直购
          • 登录
            登录
            没有账号?建立账号 注册
            • 我的账号
            • 订单
            • 会员中心
            • 账单及发票查询
            • 定制产品及项目
          • Primary Antibodies ›
          • PAK2 Antibodies

          Invitrogen

          PAK2 Recombinant Rabbit Monoclonal Antibody (JB41-84)

          查看其他22个PAK2抗体

          {{$productOrderCtrl.translations['antibody.pdp.commerceCard.promotion.promotions']}}

          {{$productOrderCtrl.translations['antibody.pdp.commerceCard.promotion.viewpromo']}}

          {{$productOrderCtrl.translations['antibody.pdp.commerceCard.promotion.promocode']}}: {{promo.promoCode}} {{promo.promoTitle}} {{promo.promoDescription}}. {{$productOrderCtrl.translations['antibody.pdp.commerceCard.promotion.learnmore']}}

          说明书
          证书
          实验方案
          问题与答案
          技术支持
          说明书
          证书
          实验方案
          问题与答案
          技术支持
          说明书
          证书
          实验方案
          问题与答案
          技术支持

          Cite PAK2 Recombinant Rabbit Monoclonal Antibody (JB41-84)

          Additional Information:
          {{banner.description}}
          {{$ctrl.isSkuNotesCollapsed ? 'View more' : 'View less'}}
          • 抗体检测数据 (7)
          PAK2 Antibody in Immunocytochemistry (ICC/IF)
          Group 53 Created with Sketch.
          PAK2 Antibody in Immunocytochemistry (ICC/IF)
          Group 53 Created with Sketch.

          图: 1 / 7

          {{ $ctrl.currentElement.advancedVerification.fullName }}
          {{ $ctrl.currentElement.advancedVerification.text }}

          PAK2 Antibody (MA5-41259) in ICC/IF

          Immunocytochemistry/Immunofluorescence analysis of PAK2 in SiHa cells (green) using PAK2 Recombinant Monoclonal Antibody (Product # MA5-41259). Cells were fixed in paraformaldehyde, permeabilised with 0.25% Triton X100/PBS. The nuclear counter stain is DAPI (blue). {{ $ctrl.currentElement.advancedVerification.fullName }} 验证信息 View more
          已发表图片由___提供 benchsci-logo
          PMID: {{$ctrl.currentElement.benchSciPubmedId}}
          查看产品

          {{$ctrl.videoDesc}}

          {{$ctrl.videoLongDesc}}

          PAK2 Antibody in Immunocytochemistry (ICC/IF)
          PAK2 Antibody in Immunocytochemistry (ICC/IF)
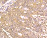
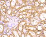
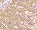
          PAK2 Antibody in Immunohistochemistry (Paraffin) (IHC (P))
          PAK2 Antibody in Immunohistochemistry (Paraffin) (IHC (P))
          PAK2 Antibody in Immunohistochemistry (Paraffin) (IHC (P))
          PAK2 Antibody in Western Blot (WB)
          PAK2 Antibody in Flow Cytometry (Flow)
          PAK2 Recombinant Rabbit Monoclonal Antibody (JB41-84)

          产品信息

          MA5-41259

          应用
          建议稀释比
          已发表文章

          免疫印迹 (WB)

          1:500-1:1,000
          -

          免疫组化(石蜡) (IHC (P))

          1:100-1:500
          -

          免疫细胞化学 (ICC/IF)

          1:100-1:500
          -

          流式细胞分析 (Flow)

          1:50-1:100
          -
          产品规格

          种属反应

          Human, Mouse, Rat

          宿主/亚型

          Rabbit / IgG

          Expression System

          HEK293 cells

          分类

          Recombinant Monoclonal

          类型

          Antibody

          克隆号

          JB41-84

          抗原

          Synthetic peptide within N-terminal Human PAK2.
          3D表位/免疫原

          偶联物

          Unconjugated Unconjugated Unconjugated

          形式

          Liquid

          浓度

          1 mg/mL

          规格

          100 µg

          纯化类型

          Protein A

          保存液

          TBS, pH 7.4, with 0.05% BSA, 40% glycerol

          内含物

          0.05% sodium azide

          保存条件

          Store at 4°C short term. For long term storage, store at -20°C, avoiding freeze/thaw cycles.

          运输条件

          Ambient (domestic); Wet ice (international)

          RRID

          AB_2899012

          靶标信息

          PAK2 (serine/threonine-protein kinase PAK2) is a serine/threonine kinase that plays a role in a variety of different signaling pathways including cytoskeleton regulation, cell motility, cell cycle progression, apoptosis, or proliferation. It acts as a downstream effector of the small GTPases CDC42 and RAC1. Activation by the binding of active CDC42 and RAC1 results in a conformation change and a subsequent autophosphorylation on several serine and/or threonine residues. Full-length PAK2 stimulates cell survival and cell growth. PAK proteins are critical effectors that link Rho GTPases to cytoskeleton reorganization and nuclear signaling. PAK proteins, a family of serine/threonine p21-activating kinases, serve as targets for the small GTP binding proteins Cdc42 and RAC and have been implicated in a wide range of biological activities.

          仅用于科研。不用于诊断过程。未经明确授权不得转售。

          篇参考文献 (0)

          您是否在文献中引用过该产品?请点击下方按钮邮件告知我们。
          引用该产品

          生物信息学

          蛋白别名: Alpha-PAK; Beta-PAK; gamma pak; Gamma-PAK; Oligophrenin-3; OPHN3; p21 (CDKN1A)-activated kinase 2; p21 protein (Cdc42/Rac)-activated kinase 2; p21-activated kinase 2; p58; p65-PAK; PAK alpha; PAK beta; PAK gamma; PAK-1; PAK-2; PAK-3; PAK1; PAK3; PAK65; S6/H4 kinase; Serine/threonine-protein kinase PAK 2; unnamed protein product

          查看更多 收起

          基因别名: 5330420P17Rik; A130002K10Rik; AI836325; D16Ertd269e; gamma-PAK; KNO2; mKIAA4182; PAK-2; PAK2; PAK65; PAKgamma

          查看更多 收起

          UniProt ID: (Human) Q13177, (Mouse) Q8CIN4, (Rat) Q64303

          查看更多 收起

          Entrez Gene ID: (Human) 5062, (Mouse) 224105, (Rat) 29432

          查看更多 收起

          功能
          nucleotide binding catalytic activity protein kinase activity protein serine/threonine kinase activity protein binding ATP binding kinase activity transferase activity protein kinase binding protein tyrosine kinase activator activity small GTPase binding identical protein binding cadherin binding protein serine kinase activity transferase activity, transferring phosphorus-containing groups Rac GTPase binding receptor signaling protein serine/threonine kinase activity non-receptor serine/threonine protein kinase
          参与通路
          stimulatory C-type lectin receptor signaling pathway cardiac muscle hypertrophy protein phosphorylation negative regulation of protein kinase activity apoptotic process signal transduction transmembrane receptor protein tyrosine kinase signaling pathway cellular response to starvation cell migration adherens junction assembly intracellular signal transduction negative regulation of apoptotic process regulation of MAPK cascade protein autophosphorylation vascular endothelial growth factor receptor signaling pathway regulation of axonogenesis regulation of cytoskeleton organization negative regulation of stress fiber assembly protein maturation dendritic spine development bicellular tight junction assembly cellular response to transforming growth factor beta stimulus execution phase of apoptosis regulation of actin filament organization protein localization to cell-cell junction positive regulation of execution phase of apoptosis positive regulation of extrinsic apoptotic signaling pathway Rho protein signal transduction regulation of mitotic cell cycle metabolic process phosphorylation peptidyl-serine phosphorylation signal transduction by protein phosphorylation actin cytoskeleton organization stress-activated protein kinase signaling cascade activation of protein kinase activity regulation of growth positive regulation of peptidyl-tyrosine phosphorylation positive regulation of protein tyrosine kinase activity cellular response to organic cyclic compound negative regulation of cysteine-type endopeptidase activity involved in execution phase of apoptosis mitotic cell cycle regulation of apoptotic process
          It has to be done as per old AB suggested Products section.

          Disclaimer

          Close

          Clicking the images or links will redirect you to a website hosted by BenchSci that provides third-party scientific content. Neither the content nor the BenchSci technology and processes for selection have been evaluated by us; we are providing them as-is and without warranty of any kind, including for use or application of the Thermo Fisher Scientific products presented.

          guarantee_icon

          性能保障

          只要您发现Invitrogen抗体在实验中的表现与网站或说明书的所述内容不符,您即可享受免费退换货服务。*

          了解更多
          help_icon

          随时为您服务

          获取常见问题的专家解答,或者直接联系我们的技术专家,咨询应用、设备、常规产品使用问题。

          联系技术支持
          订购 Plus Icon Minus Icon
          • 订单状态查询
          • 订单支持
          • 货号直购
          • 现货供应中心
          • 电子采购
          支持 Plus Icon Minus Icon
          • 帮助&支持
          • 联系我们 - 400 820 8982
          • 技术支持中心
          • 查找文件&证书
          • 报告网站问题
          资源 Plus Icon Minus Icon
          • 学习中心
          • 促销
          • 活动&研讨会
          • 社交媒体
          关于赛默飞 Plus Icon Minus Icon
          • 关于我们
          • 招聘 招聘
          • 投资者关系 投资者关系
          • 新闻 新闻
          • 社会责任 社会责任
          • 商标
          • 政策和通知
          品牌 Plus Icon Minus Icon
          • Thermo Scientific
          • Applied Biosystems
          • Invitrogen
          • Gibco
          • Ion Torrent
          • Unity Lab Services
          • Patheon
          • PPD
          • 服务条款
          • 隐私政策
          • 定价和运输保险政策
          © 2006-2026 Thermo Fisher Scientific Inc. All rights reserved. All trademarks are the property of Thermo Fisher Scientific and its subsidiaries unless otherwise specified.
          China flag icon
          China
          本网站销售的所有产品均不得用于人类或动物之临床诊断或治疗,仅可用于工业或者科研等非医疗目的。
             电子营业执照 | 经营证照公示 | ICP备案号:沪ICP备11003924号 | 沪公网安备 31011502006935号

          Your items have has been added!


          Host server : magellan-search-green-6479c7f679-2z78h:80/100.66.76.236:80.
          git-commit: b70c0dceb888abc3b0dcebb5bc3a5b8753e7e816
          git-url: https://github.com/thermofisher/magellan-search
          git-branch: release/2.50.0-Offline