Hamburger Menu Button
Thermo Fisher Scientific Logo
登录
没有账号?建立账号 注册
  • 产品
    • 抗体
    • 引物合成
    • GeneArt Gene Synthesis Instant Designer
    • TaqMan Assay and Array Search
    • PCR 设备和耗材
    • 色谱柱和纯化柱
    • 实验室离心机
    • 分子生物学试剂和试剂盒
    • 实验室塑料耗材及用品
    • 查看所有产品分类
  • 应用和技术
    • 色谱
    • 细胞转染和培养
    • 实时荧光定量PCR
    • 质谱
    • 实验室塑料耗材及用品
    • 电子显微镜
    • 蛋白质生物学
    • PCR
    • RNAi
    • 环境
    • 查看所有应用和技术
  • 服务
    • 定制服务
    • 企业级实验室信息化服务
    • 金融&租赁服务
    • 仪器服务
    • OEM和商业供应
    • 培训服务
    • 360° CDMO 和 CRO 服务
    • CDMO 服务
    • 临床试验 CRO 服务
    • Unity Lab Services
    • 查看所有帮助和支持
  • 帮助和支持
    • 学习中心
    • 联系我们
    • 更改国家或地区
    • 查看所有帮助和支持
  • 热门产品
    • TaqMan Real-Time PCR Assays
      TaqMan 实时荧光定量 PCR 试剂盒
    • Antibodies
      抗体
    • Oligos, Primers & Probes
      寡核苷酸、引物、探针
    • GeneArt Gene Synthesis
      GeneArt 基因合成
    • Cell Culture Plastics
      细胞培养耗材
  • Who We Serve
    • 抗体治疗解决方案
    • 细胞与基因治疗解决方案
    • 学术科研
    • 工业与应用
  • 联系我们
  • 货号直购
  • 订单查询
  • 查找文件&证书
Thermo Fisher Scientific Logo

Search

搜索全部或下列指定分类
Search button
          • 联系我们
          • 货号直购
          • 登录
            登录
            没有账号?建立账号 注册
            • 我的账号
            • 订单
            • 会员中心
            • 账单及发票查询
            • 定制产品及项目
          • Primary Antibodies ›
          • PAR2 Antibodies

          Invitrogen

          PAR2 Recombinant Rabbit Monoclonal Antibody (23GB5850)

          查看其他23个PAR2抗体

          {{$productOrderCtrl.translations['antibody.pdp.commerceCard.promotion.promotions']}}

          {{$productOrderCtrl.translations['antibody.pdp.commerceCard.promotion.viewpromo']}}

          {{$productOrderCtrl.translations['antibody.pdp.commerceCard.promotion.promocode']}}: {{promo.promoCode}} {{promo.promoTitle}} {{promo.promoDescription}}. {{$productOrderCtrl.translations['antibody.pdp.commerceCard.promotion.learnmore']}}

          说明书
          证书
          实验方案
          问题与答案
          技术支持
          说明书
          证书
          实验方案
          问题与答案
          技术支持
          说明书
          证书
          实验方案
          问题与答案
          技术支持

          Cite PAR2 Recombinant Rabbit Monoclonal Antibody (23GB5850)

          Additional Information:
          {{banner.description}}
          {{$ctrl.isSkuNotesCollapsed ? 'View more' : 'View less'}}
          • 抗体检测数据 (3)
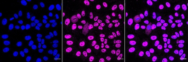
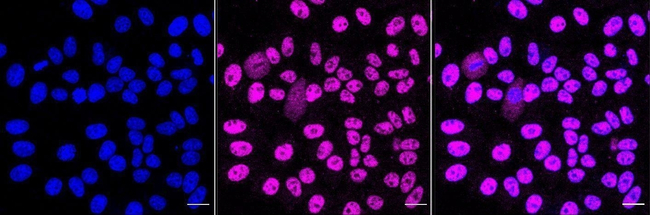
          PAR2 Antibody in Immunocytochemistry (ICC/IF)
          Group 53 Created with Sketch.
          PAR2 Antibody in Immunocytochemistry (ICC/IF)
          Group 53 Created with Sketch.

          图: 1 / 3

          {{ $ctrl.currentElement.advancedVerification.fullName }}
          {{ $ctrl.currentElement.advancedVerification.text }}

          PAR2 Antibody (MA5-52930) in ICC/IF

          Immunocytochemistry analysis of PAR2 in HepG2 cells. Sample was incubated with PAR2 monoclonal (Product # MA5-52930) antibody at a dilution of 1:1,000, followed by DAPI and Alexa Fluor 647. Protein abundance based on laser intensity and smart gain: Medium. Scale bar: 20 μm. {{ $ctrl.currentElement.advancedVerification.fullName }} 验证信息 View more
          已发表图片由___提供 benchsci-logo
          PMID: {{$ctrl.currentElement.benchSciPubmedId}}
          查看产品

          {{$ctrl.videoDesc}}

          {{$ctrl.videoLongDesc}}

          PAR2 Antibody in Immunocytochemistry (ICC/IF)
          PAR2 Antibody in Western Blot (WB)
          PAR2 Antibody in Flow Cytometry (Flow)
          PAR2 Recombinant Rabbit Monoclonal Antibody (23GB5850)

          产品信息

          MA5-52930

          应用
          建议稀释比
          已发表文章

          免疫印迹 (WB)

          1:1,000-1:5,000
          -

          免疫细胞化学 (ICC/IF)

          1:100-1:1,000
          -

          流式细胞分析 (Flow)

          1:200-1:2,000
          -
          产品规格

          种属反应

          Human, Mouse, Rat

          宿主/亚型

          Rabbit / IgG

          Expression System

          HEK293F

          分类

          Recombinant Monoclonal

          类型

          Antibody

          克隆号

          23GB5850

          抗原

          A synthesized peptide derived from human PAR2 (330-397AA).
          3D表位/免疫原

          偶联物

          Unconjugated Unconjugated Unconjugated

          形式

          Liquid

          浓度

          0.25 mg/mL

          规格

          25 µg

          纯化类型

          Affinity chromatography

          保存液

          PBS, pH 7.4, with 50% glycerol

          内含物

          0.02% sodium azide

          保存条件

          -20°C

          运输条件

          Ambient (domestic); Wet ice (international)

          RRID

          AB_3249405

          靶标信息

          Coagulation factor II (thrombin) receptor-like 1 (F2RL1) is a member of the large family of 7-transmembrane-region receptors that couple to guanosine-nucleotide-binding proteins. F2RL1 is also a member of the protease-activated receptor family. It is activated by trypsin, but not by thrombin. It is activated by proteolytic cleavage of its extracellular amino terminus. The new amino terminus functions as a tethered ligand and activates the receptor. The F2RL1 gene contains two exons and is widely expressed in human tissues. The predicted protein sequence is 83% identical to the mouse receptor sequence.

          仅用于科研。不用于诊断过程。未经明确授权不得转售。

          篇参考文献 (0)

          您是否在文献中引用过该产品?请点击下方按钮邮件告知我们。
          引用该产品

          生物信息学

          蛋白别名: coagulation factor II (thrombin) receptor-like 1; Coagulation factor II receptor-like 1; G-protein coupled receptor 11; G-protein-coulped receptor; PAR-2; PAR-2; protease-activated receptor 2; Protease-activated receptor-2; Proteinase-activated receptor 2; proteinase-activated receptor-2; Proteinase-activated receptor-2 G protein-coupled receptor 11; Proteinase-activated receptor-2, G protein-coupled receptor 11; Thrombin receptor-like 1

          查看更多 收起

          基因别名: F2RL1; Gpcr11; GPR11; PAR-2; PAR2

          查看更多 收起

          UniProt ID: (Human) P55085, (Mouse) P55086, (Rat) Q63645

          查看更多 收起

          Entrez Gene ID: (Human) 2150, (Mouse) 14063, (Rat) 116677

          查看更多 收起

          功能
          proteinase activated receptor activity G-protein alpha-subunit binding protease binding G-protein coupled receptor activity receptor binding protein binding thrombin receptor activity G-protein beta-subunit binding signaling receptor activity signal transducer activity heterotrimeric G-protein binding G-protein coupled receptor
          参与通路
          T cell activation involved in immune response immune system process positive regulation of leukocyte chemotaxis positive regulation of cytokine production involved in immune response positive regulation of glomerular filtration inflammatory response signal transduction G-protein coupled receptor signaling pathway positive regulation of cytosolic calcium ion concentration blood coagulation negative regulation of tumor necrosis factor-mediated signaling pathway regulation of blood coagulation positive regulation of cell migration positive regulation of actin filament depolymerization positive regulation of pseudopodium assembly negative regulation of chemokine production positive regulation of chemokine production positive regulation of interferon-gamma production positive regulation of interleukin-1 beta production positive regulation of interleukin-10 production positive regulation of interleukin-6 production positive regulation of interleukin-8 production positive regulation of superoxide anion generation positive regulation of toll-like receptor 2 signaling pathway negative regulation of toll-like receptor 3 signaling pathway positive regulation of toll-like receptor 3 signaling pathway positive regulation of toll-like receptor 4 signaling pathway positive regulation of Rho protein signal transduction neutrophil activation vasodilation regulation of I-kappaB kinase/NF-kappaB signaling positive regulation of I-kappaB kinase/NF-kappaB signaling positive regulation of eosinophil degranulation positive regulation of GTPase activity innate immune response cell-cell junction maintenance positive regulation of transcription from RNA polymerase II promoter regulation of JNK cascade negative regulation of JNK cascade positive regulation of JNK cascade negative regulation of insulin secretion leukocyte migration positive regulation of chemotaxis positive regulation of positive chemotaxis defense response to virus positive regulation of protein kinase B signaling positive regulation of phagocytosis, engulfment establishment of endothelial barrier regulation of biological quality positive regulation of ERK1 and ERK2 cascade thrombin receptor signaling pathway leukocyte proliferation positive regulation of neutrophil mediated killing of gram-negative bacterium mature conventional dendritic cell differentiation positive regulation of renin secretion into blood stream regulation of chemokine (C-X-C motif) ligand 2 production positive regulation of cytokine secretion involved in immune response positive regulation of phosphatidylinositol 3-kinase signaling chemokine (C-C motif) ligand 2 secretion positive regulation of vasodilation interleukin-1 beta secretion interleukin-10 secretion interferon-gamma secretion chemokine secretion negative regulation of chemokine secretion positive regulation of interleukin-8 secretion positive regulation of interleukin-6 secretion protein secretion
          It has to be done as per old AB suggested Products section.

          Disclaimer

          Close

          Clicking the images or links will redirect you to a website hosted by BenchSci that provides third-party scientific content. Neither the content nor the BenchSci technology and processes for selection have been evaluated by us; we are providing them as-is and without warranty of any kind, including for use or application of the Thermo Fisher Scientific products presented.

          guarantee_icon

          性能保障

          只要您发现Invitrogen抗体在实验中的表现与网站或说明书的所述内容不符,您即可享受免费退换货服务。*

          了解更多
          help_icon

          随时为您服务

          获取常见问题的专家解答,或者直接联系我们的技术专家,咨询应用、设备、常规产品使用问题。

          联系技术支持
          订购 Plus Icon Minus Icon
          • 订单状态查询
          • 订单支持
          • 货号直购
          • 现货供应中心
          • 电子采购
          支持 Plus Icon Minus Icon
          • 帮助&支持
          • 联系我们 - 400 820 8982
          • 技术支持中心
          • 查找文件&证书
          • 报告网站问题
          资源 Plus Icon Minus Icon
          • 学习中心
          • 促销
          • 活动&研讨会
          • 社交媒体
          关于赛默飞 Plus Icon Minus Icon
          • 关于我们
          • 招聘 招聘
          • 投资者关系 投资者关系
          • 新闻 新闻
          • 社会责任 社会责任
          • 商标
          • 政策和通知
          品牌 Plus Icon Minus Icon
          • Thermo Scientific
          • Applied Biosystems
          • Invitrogen
          • Gibco
          • Ion Torrent
          • Unity Lab Services
          • Patheon
          • PPD
          • 服务条款
          • 隐私政策
          • 定价和运输保险政策
          © 2006-2026 Thermo Fisher Scientific Inc. All rights reserved. All trademarks are the property of Thermo Fisher Scientific and its subsidiaries unless otherwise specified.
          China flag icon
          China
          本网站销售的所有产品均不得用于人类或动物之临床诊断或治疗,仅可用于工业或者科研等非医疗目的。
             电子营业执照 | 经营证照公示 | ICP备案号:沪ICP备11003924号 | 沪公网安备 31011502006935号

          Your items have has been added!


          Host server : magellan-search-green-6479c7f679-v472f:80/100.66.78.195:80.
          git-commit: b70c0dceb888abc3b0dcebb5bc3a5b8753e7e816
          git-url: https://github.com/thermofisher/magellan-search
          git-branch: release/2.50.0-Offline