Hamburger Menu Button
Thermo Fisher Scientific Logo
登录
没有账号?建立账号 注册
  • 产品
    • 抗体
    • 引物合成
    • GeneArt Gene Synthesis Instant Designer
    • TaqMan Assay and Array Search
    • PCR 设备和耗材
    • 色谱柱和纯化柱
    • 实验室离心机
    • 分子生物学试剂和试剂盒
    • 实验室塑料耗材及用品
    • 查看所有产品分类
  • 应用和技术
    • 色谱
    • 细胞转染和培养
    • 实时荧光定量PCR
    • 质谱
    • 实验室塑料耗材及用品
    • 电子显微镜
    • 蛋白质生物学
    • PCR
    • RNAi
    • 环境
    • 查看所有应用和技术
  • 服务
    • 定制服务
    • 企业级实验室信息化服务
    • 金融&租赁服务
    • 仪器服务
    • OEM和商业供应
    • 培训服务
    • 360° CDMO 和 CRO 服务
    • CDMO 服务
    • 临床试验 CRO 服务
    • Unity Lab Services
    • 查看所有帮助和支持
  • 帮助和支持
    • 学习中心
    • 联系我们
    • 更改国家或地区
    • 查看所有帮助和支持
  • 热门产品
    • TaqMan Real-Time PCR Assays
      TaqMan 实时荧光定量 PCR 试剂盒
    • Antibodies
      抗体
    • Oligos, Primers & Probes
      寡核苷酸、引物、探针
    • GeneArt Gene Synthesis
      GeneArt 基因合成
    • Cell Culture Plastics
      细胞培养耗材
  • Who We Serve
    • 抗体治疗解决方案
    • 细胞与基因治疗解决方案
    • 学术科研
    • 工业与应用
  • 联系我们
  • 货号直购
  • 订单查询
  • 查找文件&证书
Thermo Fisher Scientific Logo

Search

搜索全部或下列指定分类
Search button
          • 联系我们
          • 货号直购
          • 登录
            登录
            没有账号?建立账号 注册
            • 我的账号
            • 订单
            • 会员中心
            • 账单及发票查询
            • 定制产品及项目
          • Primary Antibodies ›
          • PAX2 Antibodies

          Invitrogen

          PAX2 Recombinant Rabbit Monoclonal Antibody (JE25-49)

          查看其他38个PAX2抗体

          {{$productOrderCtrl.translations['antibody.pdp.commerceCard.promotion.promotions']}}

          {{$productOrderCtrl.translations['antibody.pdp.commerceCard.promotion.viewpromo']}}

          {{$productOrderCtrl.translations['antibody.pdp.commerceCard.promotion.promocode']}}: {{promo.promoCode}} {{promo.promoTitle}} {{promo.promoDescription}}. {{$productOrderCtrl.translations['antibody.pdp.commerceCard.promotion.learnmore']}}

          说明书
          证书
          实验方案
          问题与答案
          技术支持
          说明书
          证书
          实验方案
          问题与答案
          技术支持
          说明书
          证书
          实验方案
          问题与答案
          技术支持

          Cite PAX2 Recombinant Rabbit Monoclonal Antibody (JE25-49)

          Additional Information:
          {{banner.description}}
          {{$ctrl.isSkuNotesCollapsed ? 'View more' : 'View less'}}
          • 抗体检测数据 (6)
          PAX2 Antibody in Immunocytochemistry (ICC/IF)
          Group 53 Created with Sketch.
          PAX2 Antibody in Immunocytochemistry (ICC/IF)
          Group 53 Created with Sketch.

          图: 1 / 6

          {{ $ctrl.currentElement.advancedVerification.fullName }}
          {{ $ctrl.currentElement.advancedVerification.text }}

          PAX2 Antibody (MA5-36177) in ICC/IF

          Immunocytochemical analysis of PAX2 in SKOV-3 cells using a PAX2 monoclonal antibody (Product #MA5-36177). Formalin fixed cells were permeabilized with 0.1% Triton X-100 in TBS for 10 minutes at room temperature and blocked with 1% Blocker BSA for 15 minutes at room temperature. Cells were probed with the primary antibody for 1 hour at room temperature, washed with PBS. Alexa Fluor®488 Goat anti-Rabbit IgG was used as the secondary antibody at 1:1,000 dilution. The nuclear counter stain is DAPI. {{ $ctrl.currentElement.advancedVerification.fullName }} 验证信息 View more
          已发表图片由___提供 benchsci-logo
          PMID: {{$ctrl.currentElement.benchSciPubmedId}}
          查看产品

          {{$ctrl.videoDesc}}

          {{$ctrl.videoLongDesc}}

          PAX2 Antibody in Immunocytochemistry (ICC/IF)
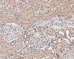
          PAX2 Antibody in Immunohistochemistry (Paraffin) (IHC (P))
          PAX2 Antibody in Immunohistochemistry (Paraffin) (IHC (P))
          PAX2 Antibody in Immunohistochemistry (Paraffin) (IHC (P))
          PAX2 Antibody in Western Blot (WB)
          PAX2 Antibody in Flow Cytometry (Flow)
          PAX2 Recombinant Rabbit Monoclonal Antibody (JE25-49)

          产品信息

          MA5-36177

          应用
          建议稀释比
          已发表文章

          免疫印迹 (WB)

          1:500-1:2,000
          -

          免疫组化(石蜡) (IHC (P))

          1:200-1:1000
          -

          免疫细胞化学 (ICC/IF)

          1:50-1:100
          -

          流式细胞分析 (Flow)

          1:50-1:100
          -
          产品规格

          种属反应

          Human, Mouse, Rat

          宿主/亚型

          Rabbit / IgG

          Expression System

          HEK293 cells

          分类

          Recombinant Monoclonal

          类型

          Antibody

          克隆号

          JE25-49

          抗原

          Synthetic peptide within Human Pax2 aa 1-50.
          3D表位/免疫原

          偶联物

          Unconjugated Unconjugated Unconjugated

          形式

          Liquid

          浓度

          1 mg/mL

          规格

          100 µg

          纯化类型

          Protein A

          保存液

          PBS, pH 7.4, with 40% glycerol, 0.1% BSA

          内含物

          0.05% sodium azide

          保存条件

          Store at 4°C short term. For long term storage, store at -20°C, avoiding freeze/thaw cycles.

          运输条件

          Ambient (domestic); Wet ice (international)

          RRID

          AB_2890483

          靶标信息

          The pax genes are a family of transcription factors that are active in specific tissues during early embryonic development. Pax family members possess a DNA-binding domain encoded by the paired box. Because paired domain containing genes encode transcription factors, they are capable of executing a genetic program. Several pax genes have also been associated with developmental mutations including: pax-3, which is associated with Waardenburg syndrome, pax-6, which is associated with Aniridia, and pax-2, which is associated with Wilms tumor. During embryogenesis, Pax-2 is expressed in the developing kidney. In particular, the pax-2 gene is expressed in condensing metanephric mesenchyme and in early epithelial structures derived from mesenchyme; however, pax-2 mRNA and protein levels are rapidly down regulated as the tubular epithelium matures. Although Pax-2 is down regulated during renal epithelium maturation, Pax-2 expression persists in the undifferentiated epithelium of Wilms' tumors. Persistent expression of Pax-2 in Wilms' tumors occurs frequently and correlates with the proliferation of poorly differentiated epithelial cells in these tumors. Interestingly, expression of the Wilms' tumor suppresser protein, WT1, coincides with down-regulation of the pax-2 gene; thus, suggesting that WT1 can directly repress pax-2 transcription.

          仅用于科研。不用于诊断过程。未经明确授权不得转售。

          篇参考文献 (0)

          您是否在文献中引用过该产品?请点击下方按钮邮件告知我们。
          引用该产品

          生物信息学

          蛋白别名: optic disc coloboma; paired box gene 2; paired box homeotic gene 2; Paired box protein Pax-2

          查看更多 收起

          基因别名: FSGS7; Opdc; PAPRS; PAX-2; PAX2

          查看更多 收起

          UniProt ID: (Human) Q02962, (Mouse) P32114

          查看更多 收起

          Entrez Gene ID: (Human) 5076, (Mouse) 18504, (Rat) 293992

          查看更多 收起

          功能
          transcription regulatory region sequence-specific DNA binding RNA polymerase II core promoter proximal region sequence-specific DNA binding RNA polymerase II transcription factor activity, sequence-specific DNA binding core promoter proximal region sequence-specific DNA binding DNA binding transcription factor activity, sequence-specific DNA binding protein binding transcription factor binding sequence-specific double-stranded DNA binding transcription factor activity, RNA polymerase II core promoter proximal region sequence-specific binding superoxide-generating NADPH oxidase activity transcription regulatory region DNA binding C2H2 zinc finger domain binding sequence-specific DNA binding
          参与通路
          urogenital system development branching involved in ureteric bud morphogenesis cell fate determination mesonephros development neural tube closure optic cup morphogenesis involved in camera-type eye development mesenchymal to epithelial transition involved in metanephros morphogenesis retinal pigment epithelium development regulation of transcription, DNA-templated regulation of transcription from RNA polymerase II promoter nervous system development axonogenesis sensory organ development mesodermal cell fate specification visual perception glial cell differentiation optic nerve development optic nerve morphogenesis optic nerve structural organization vestibulocochlear nerve formation cell differentiation regulation of metanephros size ureter maturation pronephric field specification inner ear morphogenesis camera-type eye development negative regulation of apoptotic process negative regulation of programmed cell death negative regulation of transcription, DNA-templated positive regulation of transcription, DNA-templated positive regulation of transcription from RNA polymerase II promoter animal organ development system development pronephros development brain morphogenesis stem cell differentiation positive regulation of epithelial cell proliferation mesenchymal to epithelial transition optic chiasma development cellular response to retinoic acid cellular response to glucose stimulus metanephric mesenchyme development positive regulation of mesenchymal to epithelial transition involved in metanephros morphogenesis metanephric mesenchymal cell differentiation nephric duct formation ureter development metanephric collecting duct development metanephric epithelium development metanephric distal convoluted tubule development metanephric nephron tubule formation positive regulation of metanephric glomerulus development negative regulation of mesenchymal cell apoptotic process involved in metanephric nephron morphogenesis regulation of metanephric nephron tubule epithelial cell differentiation cochlea development cochlea morphogenesis negative regulation of mesenchymal cell apoptotic process involved in metanephros development negative regulation of apoptotic process involved in metanephric collecting duct development negative regulation of apoptotic process involved in metanephric nephron tubule development negative regulation of reactive oxygen species metabolic process positive regulation of metanephric DCT cell differentiation positive regulation of optic nerve formation negative regulation of transcription from RNA polymerase II promoter metanephros development ureteric bud development kidney development transcription, DNA-templated transcription from RNA polymerase II promoter multicellular organism development positive regulation of cell proliferation regulation of apoptotic process regulation of programmed cell death negative regulation of cysteine-type endopeptidase activity involved in apoptotic process protein kinase B signaling negative regulation of cytolysis oxidation-reduction process paramesonephric duct development renal system development mesonephric tubule development mesonephric tubule formation mesonephric duct development reactive oxygen species metabolic process positive regulation of branching involved in ureteric bud morphogenesis aging pancreas development response to nutrient levels cellular response to hydrogen peroxide cellular response to mechanical stimulus cellular response to epidermal growth factor stimulus ureter morphogenesis
          It has to be done as per old AB suggested Products section.

          Disclaimer

          Close

          Clicking the images or links will redirect you to a website hosted by BenchSci that provides third-party scientific content. Neither the content nor the BenchSci technology and processes for selection have been evaluated by us; we are providing them as-is and without warranty of any kind, including for use or application of the Thermo Fisher Scientific products presented.

          guarantee_icon

          性能保障

          只要您发现Invitrogen抗体在实验中的表现与网站或说明书的所述内容不符,您即可享受免费退换货服务。*

          了解更多
          help_icon

          随时为您服务

          获取常见问题的专家解答,或者直接联系我们的技术专家,咨询应用、设备、常规产品使用问题。

          联系技术支持
          订购 Plus Icon Minus Icon
          • 订单状态查询
          • 订单支持
          • 货号直购
          • 现货供应中心
          • 电子采购
          支持 Plus Icon Minus Icon
          • 帮助&支持
          • 联系我们 - 400 820 8982
          • 技术支持中心
          • 查找文件&证书
          • 报告网站问题
          资源 Plus Icon Minus Icon
          • 学习中心
          • 促销
          • 活动&研讨会
          • 社交媒体
          关于赛默飞 Plus Icon Minus Icon
          • 关于我们
          • 招聘 招聘
          • 投资者关系 投资者关系
          • 新闻 新闻
          • 社会责任 社会责任
          • 商标
          • 政策和通知
          品牌 Plus Icon Minus Icon
          • Thermo Scientific
          • Applied Biosystems
          • Invitrogen
          • Gibco
          • Ion Torrent
          • Unity Lab Services
          • Patheon
          • PPD
          • 服务条款
          • 隐私政策
          • 定价和运输保险政策
          © 2006-2026 Thermo Fisher Scientific Inc. All rights reserved. All trademarks are the property of Thermo Fisher Scientific and its subsidiaries unless otherwise specified.
          China flag icon
          China
          本网站销售的所有产品均不得用于人类或动物之临床诊断或治疗,仅可用于工业或者科研等非医疗目的。
             电子营业执照 | 经营证照公示 | ICP备案号:沪ICP备11003924号 | 沪公网安备 31011502006935号

          Your items have has been added!


          Host server : magellan-search-green-6479c7f679-2z78h:80/100.66.76.236:80.
          git-commit: b70c0dceb888abc3b0dcebb5bc3a5b8753e7e816
          git-url: https://github.com/thermofisher/magellan-search
          git-branch: release/2.50.0-Offline