Hamburger Menu Button
Thermo Fisher Scientific Logo
登录
没有账号?建立账号 注册
  • 产品
    • 抗体
    • 引物合成
    • GeneArt Gene Synthesis Instant Designer
    • TaqMan Assay and Array Search
    • PCR 设备和耗材
    • 色谱柱和纯化柱
    • 实验室离心机
    • 分子生物学试剂和试剂盒
    • 实验室塑料耗材及用品
    • 查看所有产品分类
  • 应用和技术
    • 色谱
    • 细胞转染和培养
    • 实时荧光定量PCR
    • 质谱
    • 实验室塑料耗材及用品
    • 电子显微镜
    • 蛋白质生物学
    • PCR
    • RNAi
    • 环境
    • 查看所有应用和技术
  • 服务
    • 定制服务
    • 企业级实验室信息化服务
    • 金融&租赁服务
    • 仪器服务
    • OEM和商业供应
    • 培训服务
    • 360° CDMO 和 CRO 服务
    • CDMO 服务
    • 临床试验 CRO 服务
    • Unity Lab Services
    • 查看所有帮助和支持
  • 帮助和支持
    • 学习中心
    • 联系我们
    • 更改国家或地区
    • 查看所有帮助和支持
  • 热门产品
    • TaqMan Real-Time PCR Assays
      TaqMan 实时荧光定量 PCR 试剂盒
    • Antibodies
      抗体
    • Oligos, Primers & Probes
      寡核苷酸、引物、探针
    • GeneArt Gene Synthesis
      GeneArt 基因合成
    • Cell Culture Plastics
      细胞培养耗材
  • Who We Serve
    • 抗体治疗解决方案
    • 细胞与基因治疗解决方案
    • 学术科研
    • 工业与应用
  • 联系我们
  • 货号直购
  • 订单查询
  • 查找文件&证书
Thermo Fisher Scientific Logo

Search

搜索全部或下列指定分类
Search button
          • 联系我们
          • 货号直购
          • 登录
            登录
            没有账号?建立账号 注册
            • 我的账号
            • 订单
            • 会员中心
            • 账单及发票查询
            • 定制产品及项目
          • Primary Antibodies ›
          • PCNA Antibodies

          NeoBiotechnologies

          PCNA (Proliferating Cell Nuclear Antigen) (G1- and S-phase Marker) Monoclonal Antibody (SPM350)

          查看其他83个PCNA抗体

          {{$productOrderCtrl.translations['antibody.pdp.commerceCard.promotion.promotions']}}

          {{$productOrderCtrl.translations['antibody.pdp.commerceCard.promotion.viewpromo']}}

          {{$productOrderCtrl.translations['antibody.pdp.commerceCard.promotion.promocode']}}: {{promo.promoCode}} {{promo.promoTitle}} {{promo.promoDescription}}. {{$productOrderCtrl.translations['antibody.pdp.commerceCard.promotion.learnmore']}}

          说明书
          证书
          实验方案
          问题与答案
          技术支持
          说明书
          证书
          实验方案
          问题与答案
          技术支持
          说明书
          证书
          实验方案
          问题与答案
          技术支持

          Cite PCNA (Proliferating Cell Nuclear Antigen) (G1- and S-phase Marker) Monoclonal Antibody (SPM350)

          Additional Information:
          {{banner.description}}
          {{$ctrl.isSkuNotesCollapsed ? 'View more' : 'View less'}}
          • 抗体检测数据 (1)
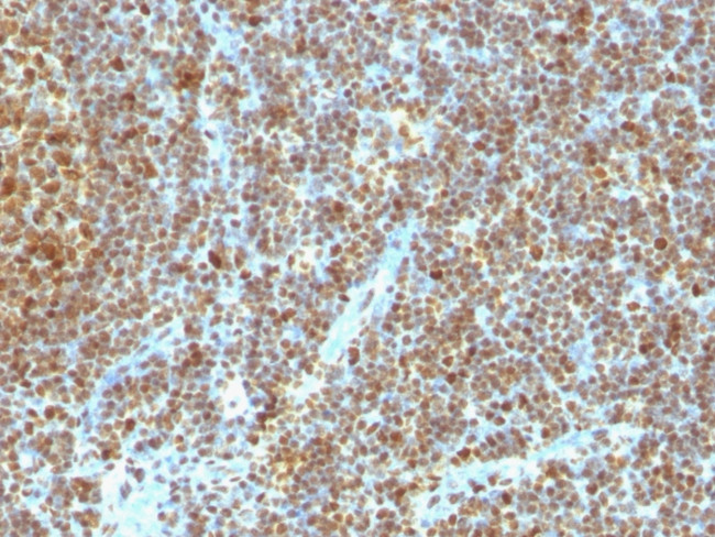
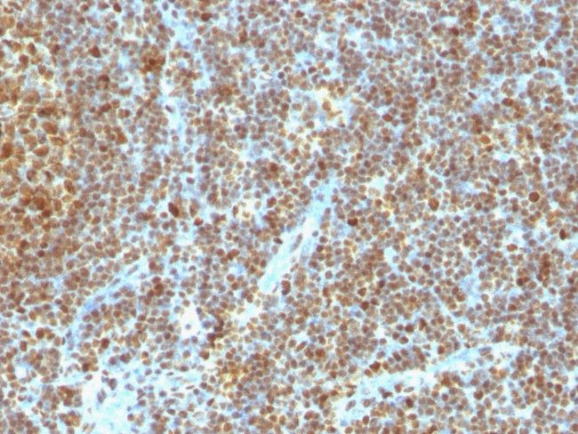
          PCNA (Proliferating Cell Nuclear Antigen) (G1- and S-phase Marker) Antibody in Immunohistochemistry (Paraffin) (IHC (P))
          Group 53 Created with Sketch.
          PCNA (Proliferating Cell Nuclear Antigen) (G1- and S-phase Marker) Antibody in Immunohistochemistry (Paraffin) (IHC (P))
          Group 53 Created with Sketch.

          图: 1 / 1

          {{ $ctrl.currentElement.advancedVerification.fullName }}
          {{ $ctrl.currentElement.advancedVerification.text }}

          PCNA (Proliferating Cell Nuclear Antigen) (G1- and S-phase Marker) Antibody (5111-MSM1X-P0) in IHC (P)

          Formalin-fixed, paraffin-embedded human Tonsil stained with PCNA Mouse Monoclonal Antibody (SPM350). {{ $ctrl.currentElement.advancedVerification.fullName }} 验证信息 View more
          已发表图片由___提供 benchsci-logo
          PMID: {{$ctrl.currentElement.benchSciPubmedId}}
          查看产品

          {{$ctrl.videoDesc}}

          {{$ctrl.videoLongDesc}}

          PCNA (Proliferating Cell Nuclear Antigen) (G1- and S-phase Marker) Antibody in Immunohistochemistry (Paraffin) (IHC (P))

          产品信息

          5111-MSM1X-P0

          应用
          建议稀释比
          已发表文章

          免疫印迹 (WB)

          1-2 µg/mL
          -

          免疫组化(石蜡) (IHC (P))

          Assay-dependent
          -

          免疫组织化学(多聚甲醛固定) (IHC (PFA))

          1-2 µg/mL
          -

          免疫细胞化学 (ICC/IF)

          1-2 µg/mL
          -

          流式细胞分析 (Flow)

          1-2 µg/10^6 cells
          -
          产品规格

          种属反应

          Chicken, Fruit fly, Human, Mouse, Non-human primate, Pig, Rat, Yeast, Zebrafish

          宿主/亚型

          Mouse / IgG2a, kappa

          分类

          Monoclonal

          类型

          Antibody

          克隆号

          SPM350

          抗原

          Rat PCNA/protein A fusion protein

          偶联物

          Unconjugated Unconjugated Unconjugated

          形式

          Liquid

          浓度

          200 µg/mL

          规格

          20 µg

          纯化类型

          Protein A/G

          保存液

          PBS, pH 7.4, with 0.05% BSA

          内含物

          0.05% sodium azide

          保存条件

          4°C, do not freeze

          运输条件

          Ambient (domestic); Wet ice (international)

          靶标信息

          PCNA (polymerase delta auxiliary protein) is essential for DNA replication and is involved in DNA excision and mismatch repair pathways. PCNA binds to the CDK inhibitor p21, the structure-specific endonucleases Fen1 and XPG, and DNA cytosine 5-methyltransferase (MCMT). PCNA is a potentially useful marker of cells with proliferative potential and for identifying the proliferation status of tumor tissue (i.e. relevant to prognosis). PCNA is a marker for cells in early G1 phase and S phase of the cell cycle. PCNA is found in the nucleus and is a cofactor of DNA polymerase delta, and acts as a homotrimer and helps increase the processing of leading strand synthesis during DNA replication. In response to DNA damage, PCNA is ubiquitinated and is involved in the RAD6-dependent DNA repair pathway. Two transcript variants encoding the same protein have been found for PCNA. Pseudogenes of PCNA have been described on chromosome 4 and on the X chromosome.

          仅用于科研。不用于诊断过程。未经明确授权不得转售。

          篇参考文献 (0)

          您是否在文献中引用过该产品?请点击下方按钮邮件告知我们。
          引用该产品

          生物信息学

          蛋白别名: CG9193-PA; CG9193-PB; Cyclin; DNA polymerase delta auxiliary protein; DNA sliding clamp PCNA; etID36690.10; HGCN8729; LD45889p; MGC8367; mutagen-sensitive 209; Mutagen-sensitive 209 protein; PCNA; PCNA-PA; PCNA-PB; Proliferating cell nuclear antigen; proliferating-cell nuclear antigen; Proliferating-cell-nuclear-antigen; unnamed protein product

          查看更多 收起

          基因别名: 53/13; ATLD2; cb16; CG9193; Dmel\CG9193; Dmel_CG9193; DmPCNA; DmPCNA1; dPCNA; fa28e03; fb36g03; l(2)02448; l(2)56F; l(2)56Fa; l(2)s1534; mus 209; MUS209; PCNA; Pcna/cyclin; PCNA/mus209; PCNA1; PCNAR; POL30; wu:fa28e03; wu:fb36g03; YBR0811; YBR088C

          查看更多 收起

          UniProt ID: (Fruit fly) P17917, (Human) P12004, (Chicken) Q9DEA3, (Baker's yeast) P15873, (Rat) P04961, (Mouse) P17918, (Zebrafish) Q9PTP1

          查看更多 收起

          Entrez Gene ID: (Pig) 692192, (Fruit fly) 37290, (Human) 5111, (Chicken) 373984, (Baker's yeast) 852385, (Rat) 25737, (Mouse) 18538, (Zebrafish) 30678

          查看更多 收起

          功能
          DNA binding chromatin binding DNA polymerase processivity factor activity purine-specific mismatch base pair DNA N-glycosylase activity damaged DNA binding protein binding enzyme binding estrogen receptor binding receptor tyrosine kinase binding dinucleotide insertion or deletion binding MutLalpha complex binding histone acetyltransferase binding identical protein binding macromolecular complex binding DNA polymerase binding protein C-terminus binding transcription factor binding DNA polymerase processivity factor
          参与通路
          DNA replication DNA-dependent DNA replication leading strand elongation regulation of DNA replication nucleotide-excision repair mismatch repair cellular response to DNA damage stimulus mitotic spindle organization eggshell chorion gene amplification response to UV translesion synthesis response to hydrogen peroxide response to methyl methanesulfonate negative regulation of transcription from RNA polymerase II promoter DNA repair base-excision repair, gap-filling chromatin organization response to oxidative stress heart development epithelial cell differentiation replication fork processing positive regulation of deoxyribonuclease activity response to estradiol response to lipid cellular response to UV estrous cycle positive regulation of DNA repair positive regulation of DNA replication response to cadmium ion cellular response to hydrogen peroxide cellular response to xenobiotic stimulus response to dexamethasone liver regeneration positive regulation of DNA-directed DNA polymerase activity response to L-glutamate mitotic telomere maintenance via semi-conservative replication mitotic cell cycle meiotic mismatch repair lagging strand elongation postreplication repair mitotic sister chromatid cohesion chromatin silencing at silent mating-type cassette telomeric heterochromatin assembly establishment of mitotic sister chromatid cohesion maintenance of DNA trinucleotide repeats error-free translesion synthesis positive regulation of exodeoxyribonuclease activity positive regulation of phosphodiesterase activity, acting on 3'-phosphoglycolate-terminated DNA strands positive regulation of exonuclease activity regulation of catalytic activity response to bacterium response to activity
          It has to be done as per old AB suggested Products section.

          Disclaimer

          Close

          Clicking the images or links will redirect you to a website hosted by BenchSci that provides third-party scientific content. Neither the content nor the BenchSci technology and processes for selection have been evaluated by us; we are providing them as-is and without warranty of any kind, including for use or application of the Thermo Fisher Scientific products presented.

          guarantee_icon

          性能保障

          只要您发现Invitrogen抗体在实验中的表现与网站或说明书的所述内容不符,您即可享受免费退换货服务。*

          了解更多
          help_icon

          随时为您服务

          获取常见问题的专家解答,或者直接联系我们的技术专家,咨询应用、设备、常规产品使用问题。

          联系技术支持
          订购 Plus Icon Minus Icon
          • 订单状态查询
          • 订单支持
          • 货号直购
          • 现货供应中心
          • 电子采购
          支持 Plus Icon Minus Icon
          • 帮助&支持
          • 联系我们 - 400 820 8982
          • 技术支持中心
          • 查找文件&证书
          • 报告网站问题
          资源 Plus Icon Minus Icon
          • 学习中心
          • 促销
          • 活动&研讨会
          • 社交媒体
          关于赛默飞 Plus Icon Minus Icon
          • 关于我们
          • 招聘 招聘
          • 投资者关系 投资者关系
          • 新闻 新闻
          • 社会责任 社会责任
          • 商标
          • 政策和通知
          品牌 Plus Icon Minus Icon
          • Thermo Scientific
          • Applied Biosystems
          • Invitrogen
          • Gibco
          • Ion Torrent
          • Unity Lab Services
          • Patheon
          • PPD
          • 服务条款
          • 隐私政策
          • 定价和运输保险政策
          © 2006-2026 Thermo Fisher Scientific Inc. All rights reserved. All trademarks are the property of Thermo Fisher Scientific and its subsidiaries unless otherwise specified.
          China flag icon
          China
          本网站销售的所有产品均不得用于人类或动物之临床诊断或治疗,仅可用于工业或者科研等非医疗目的。
             电子营业执照 | 经营证照公示 | ICP备案号:沪ICP备11003924号 | 沪公网安备 31011502006935号

          Your items have has been added!


          Host server : magellan-search-green-6479c7f679-zb4k5:80/100.66.74.142:80.
          git-commit: b70c0dceb888abc3b0dcebb5bc3a5b8753e7e816
          git-url: https://github.com/thermofisher/magellan-search
          git-branch: release/2.50.0-Offline