Search
Search
NeoBiotechnologies
{{$productOrderCtrl.translations['antibody.pdp.commerceCard.promotion.promotions']}}
{{$productOrderCtrl.translations['antibody.pdp.commerceCard.promotion.viewpromo']}}
{{$productOrderCtrl.translations['antibody.pdp.commerceCard.promotion.promocode']}}: {{promo.promoCode}} {{promo.promoTitle}} {{promo.promoDescription}}. {{$productOrderCtrl.translations['antibody.pdp.commerceCard.promotion.learnmore']}}
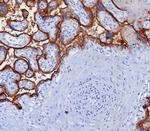
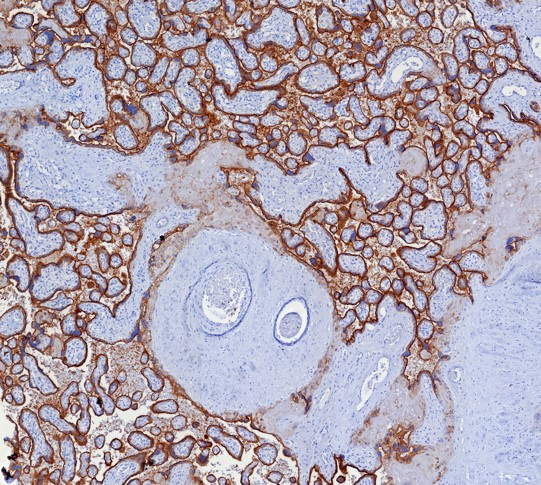
Programmed death receptor ligand 1 (PD-L1, also called B7-H1) is a recently described B7 family member. To date, one specific receptor has been identified that can be ligated by PD-L1. This receptor, programmed death receptor 1 (PD-1), has been shown to negatively regulate T-cell receptor (TCR) signaling. Upon ligating its receptor, PD-L1 has been reported to decrease TCR-mediated proliferation and cytokine production. PD-L1 expression was found to be abundant on many murine and human cancers and could be further up-regulated upon IFN-gamma stimulation. Thus, PD-L1 might play an important role in tumor immune evasion.
仅用于科研。不用于诊断过程。未经明确授权不得转售。
蛋白别名: B7 homolog 1; B7-H1; CD274; CD274 antigen; PD-L1; PDCD1 ligand 1; pdl-1; Programmed cell death 1 ligand 1; sCD274; soluble CD274; soluble PD L1; sPD L1
基因别名: B7-H; B7H1; CD274; PD-L1; PDCD1L1; PDCD1LG1; PDL1
UniProt ID: (Human) Q9NZQ7
Entrez Gene ID: (Human) 29126