Hamburger Menu Button
Thermo Fisher Scientific Logo
登录
没有账号?建立账号 注册
  • 产品
    • 抗体
    • 引物合成
    • GeneArt Gene Synthesis Instant Designer
    • TaqMan Assay and Array Search
    • PCR 设备和耗材
    • 色谱柱和纯化柱
    • 实验室离心机
    • 分子生物学试剂和试剂盒
    • 实验室塑料耗材及用品
    • 查看所有产品分类
  • 应用和技术
    • 色谱
    • 细胞转染和培养
    • 实时荧光定量PCR
    • 质谱
    • 实验室塑料耗材及用品
    • 电子显微镜
    • 蛋白质生物学
    • PCR
    • RNAi
    • 环境
    • 查看所有应用和技术
  • 服务
    • 定制服务
    • 企业级实验室信息化服务
    • 企业服务
    • 金融&租赁服务
    • 仪器服务
    • OEM和商业供应
    • 培训服务
    • 360° CDMO 和 CRO 服务
    • CDMO 服务
    • 临床试验 CRO 服务
    • 查看所有帮助和支持
  • 帮助和支持
    • 学习中心
    • 联系我们
    • 更改国家或地区
    • 查看所有帮助和支持
  • 热门产品
    • TaqMan Real-Time PCR Assays
      TaqMan 实时荧光定量 PCR 试剂盒
    • Antibodies
      抗体
    • Oligos, Primers & Probes
      寡核苷酸、引物、探针
    • GeneArt Gene Synthesis
      GeneArt 基因合成
    • Cell Culture Plastics
      细胞培养耗材
  • 联系我们
  • 货号直购
  • 订单查询
  • 查找文件&证书
Thermo Fisher Scientific Logo

Search

搜索全部或下列指定分类
Search button
          • 联系我们
          • 货号直购
          • 登录
            登录
            没有账号?建立账号 注册
            • 我的账号
            • 订单
            • 账单及发票查询
            • 定制产品及项目

          Disclaimer

          Clicking the images or links will redirect you to a website hosted by BenchSci that provides third-party scientific content. Neither the content nor the BenchSci technology and processes for selection have been evaluated by us; we are providing them as-is and without warranty of any kind, including for use or application of the Thermo Fisher Scientific products presented.

          • Primary Antibodies ›
          • CD273 (B7-DC) Antibodies

          OriGene

          PD-L2 (PDCD1LG2) Monoclonal Antibody (OTI12C7), TrueMAB™

          查看其他60个CD273 (B7-DC)抗体

          {{$productOrderCtrl.translations['antibody.pdp.commerceCard.promotion.promotions']}}

          {{$productOrderCtrl.translations['antibody.pdp.commerceCard.promotion.viewpromo']}}

          {{$productOrderCtrl.translations['antibody.pdp.commerceCard.promotion.promocode']}}: {{promo.promoCode}} {{promo.promoTitle}} {{promo.promoDescription}}. {{$productOrderCtrl.translations['antibody.pdp.commerceCard.promotion.learnmore']}}

          说明书
          实验方案
          问题与答案
          技术支持
          说明书
          实验方案
          问题与答案
          技术支持
          说明书
          实验方案
          问题与答案
          技术支持

          Cite PD-L2 (PDCD1LG2) Monoclonal Antibody (OTI12C7), TrueMAB™

          • 抗体检测数据 (4)
          PD-L2 (PDCD1LG2) Antibody in Immunohistochemistry (Paraffin) (IHC (P))
          Group 53 Created with Sketch.
          PD-L2 (PDCD1LG2) Antibody in Immunohistochemistry (Paraffin) (IHC (P))
          Group 53 Created with Sketch.

          图: 1 / 4

          {{ $ctrl.currentElement.advancedVerification.fullName }}
          {{ $ctrl.currentElement.advancedVerification.text }}

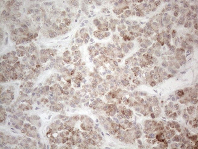
          PD-L2 (PDCD1LG2) Antibody (CF808982) in IHC (P)

          Immunohistochemical staining of paraffin-embedded human liver tissue within the normal limits using anti-PDCD1LG2 mouse monoclonal antibody. (Heat-induced epitope retrieval by 1mM EDTA in 10mM Tris buffer (pH8.5) at 120°C for 3 min, TA808982)(1:150 {{ $ctrl.currentElement.advancedVerification.fullName }} 验证信息 View more
          已发表图片由___提供 benchsci-logo
          PMID: {{$ctrl.currentElement.benchSciPubmedId}}
          查看产品

          {{$ctrl.videoDesc}}

          {{$ctrl.videoLongDesc}}

          PD-L2 (PDCD1LG2) Antibody in Immunohistochemistry (Paraffin) (IHC (P))
          PD-L2 (PDCD1LG2) Antibody in Immunohistochemistry (Paraffin) (IHC (P))
          PD-L2 (PDCD1LG2) Antibody in Immunohistochemistry (Paraffin) (IHC (P))
          PD-L2 (PDCD1LG2) Antibody in Immunohistochemistry (Paraffin) (IHC (P))
          PD-L2 (PDCD1LG2) Monoclonal Antibody (OTI12C7), TrueMAB™

          产品信息

          CF808982

          应用
          建议稀释比
          已发表文章

          免疫组化(石蜡) (IHC (P))

          1:150
          -

          流式细胞分析 (Flow)

          Assay-Dependent
          -
          产品规格

          种属反应

          Human

          宿主/亚型

          Mouse / IgG1

          分类

          Monoclonal

          类型

          Antibody

          克隆号

          OTI12C7

          抗原

          Full length human recombinant protein of human PDCD1LG2 produced in HEK293T cell.
          查看免疫原

          偶联物

          Unconjugated Unconjugated Unconjugated

          形式

          Lyophilized

          浓度

          1 mg/mL

          纯化类型

          Affinity chromatography

          保存液

          PBS, pH 7.3, with 8% trehalose

          内含物

          no preservative

          保存条件

          -20°C, Avoid Freeze/Thaw Cycles

          运输条件

          Ambient (domestic); Wet ice (international)

          产品详细信息

          For reconstitution, we recommend adding 100 µL distilled water to a final antibody concentration of about 1 mg/mL. To use this carrier-free antibody for conjugation experiments, we strongly recommend performing another round of desalting. (Zeba Spin Desalting Columns, 7KMWCO, 0.5 mL, Product # 89882)

          靶标信息

          Programmed death-ligand 2 (PD-L2), or B7-DC, is a member of the B7 ligand family within the immunoglobulin superfamily that, along with programmed death-ligand 1 (PD-L1), acts as a ligand for programmed cell death protein 1 (PD-1). Though expressed primarily in dendritic cells, PD-L2 expression can be induced on a wide variety of immune and non-immune cells depending on the microenvironment. PD-L2 expression is particularly upregulated in the presence of Th2 cytokine, IL-4, as well as Th1 cytokines, TNF-alpha and IFN-gamma to a lesser degree. While generally expressed at lower levels compared to PD-L1, PD-L2 demonstrates a 2 to 6 times higher relative affinity to PD-1 than PD-L1. PD-1 and its ligands are referred to as inhibitory immune checkpoint molecules in that they provide useful negative feedback during physiological homeostasis. Ligation of PD-L2 or PD-L1 inhibits activation, proliferation, and cytokine secretion (e.g. IFN-gamma, IL-10) in T cells, ultimately dampening immune response. Conversely, studies have shown that PD-L2 can also stimulate T cell proliferation and cytokine production, even in PD-1-deficient T cells, suggesting additional receptors. Recent studies have concluded that PD-L2 also binds to a second receptor, repulsive guidance molecule b (RGMb), which was originally identified as a receptor for bone morphogenetic proteins (BMPs). RGMb is expressed in the central nervous system, as well as in macrophages, however, its role in immunity is only beginning to emerge. Interaction between PD-L2 and RGMb regulates the development of respiratory tolerance in the lung through BMP and/or neogenin signaling pathways. The naturally occurring human PD-L2 monomer consists of a 201-amino-acid extracellular domain, a 21-amino-acid transmembrane domain, and a 32-amino-acid cytoplasmic domain.

          仅用于科研。不用于诊断过程。未经明确授权不得转售。

          篇参考文献 (0)

          您是否在文献中引用过该产品?请点击下方按钮邮件告知我们。
          引用该产品

          生物信息学

          蛋白别名: B7 dendritic cell molecule; B7-DC; Butyrophilin B7-DC; CD273; MGC124039; MGC124040; PD-1 ligand 2; PD-1-ligand 2; PD1 ligand 2; PDCD1 ligand 2; Programmed cell death 1 ligand 2; programmed death ligand 2

          查看更多 收起

          基因别名: B7DC; bA574F11.2; Btdc; CD273; PD-L2; PDCD1L2; PDCD1LG2; PDL2

          查看更多 收起

          UniProt ID: (Human) Q9BQ51

          查看更多 收起

          Entrez Gene ID: (Human) 80380

          查看更多 收起

          功能
          molecular_function immunoglobulin receptor superfamily
          参与通路
          immune response T cell costimulation negative regulation of interferon-gamma production negative regulation of interleukin-10 production positive regulation of T cell proliferation negative regulation of activated T cell proliferation
          It has to be done as per old AB suggested Products section.
          guarantee_icon

          性能保障

          只要您发现Invitrogen抗体在实验中的表现与网站或说明书的所述内容不符,您即可享受免费退换货服务。*

          了解更多
          help_icon

          随时为您服务

          获取常见问题的专家解答,或者直接联系我们的技术专家,咨询应用、设备、常规产品使用问题。

          联系技术支持
          订购 Plus Icon Minus Icon
          • 订单状态查询
          • 订单支持
          • 货号直购
          • 现货供应中心
          • 电子采购
          支持 Plus Icon Minus Icon
          • 帮助&支持
          • 联系我们 - 400 820 8982
          • 技术支持中心
          • 查找文件&证书
          • 报告网站问题
          资源 Plus Icon Minus Icon
          • 学习中心
          • 促销
          • 活动&研讨会
          • 社交媒体
          关于赛默飞 Plus Icon Minus Icon
          • 关于我们
          • 招聘 招聘
          • 投资者关系 投资者关系
          • 新闻 新闻
          • 社会责任 社会责任
          • 商标
          • 政策和通知
          品牌 Plus Icon Minus Icon
          • Thermo Scientific
          • Applied Biosystems
          • Invitrogen
          • Gibco
          • Ion Torrent
          • Patheon
          • PPD
          • 服务条款
          • 隐私政策
          • 定价和运输保险政策
          © 2006-2025 Thermo Fisher Scientific Inc. All rights reserved. All trademarks are the property of Thermo Fisher Scientific and its subsidiaries unless otherwise specified.
          China flag icon
          China
          本网站销售的所有产品均不得用于人类或动物之临床诊断或治疗,仅可用于工业或者科研等非医疗目的。
             电子营业执照 | 经营证照公示 | ICP备案号:沪ICP备11003924号 | 沪公网安备 31011502006935号

          Your items have has been added!


          Host server : magellan-search-green-55658555d6-wmgvv:80/100.66.77.222:80.
          git-commit: ec8e7df5f8fec8d765bd419205f1b5046a016d37
          git-url: https://github.com/thermofisher/magellan-search
          git-branch: release/2.41.0-Offline