Hamburger Menu Button
Thermo Fisher Scientific Logo
登录
没有账号?建立账号 注册
  • 产品
    • 抗体
    • 引物合成
    • GeneArt Gene Synthesis Instant Designer
    • TaqMan Assay and Array Search
    • PCR 设备和耗材
    • 色谱柱和纯化柱
    • 实验室离心机
    • 分子生物学试剂和试剂盒
    • 实验室塑料耗材及用品
    • 查看所有产品分类
  • 应用和技术
    • 色谱
    • 细胞转染和培养
    • 实时荧光定量PCR
    • 质谱
    • 实验室塑料耗材及用品
    • 电子显微镜
    • 蛋白质生物学
    • PCR
    • RNAi
    • 环境
    • 查看所有应用和技术
  • 服务
    • 定制服务
    • 企业级实验室信息化服务
    • 金融&租赁服务
    • 仪器服务
    • OEM和商业供应
    • 培训服务
    • 360° CDMO 和 CRO 服务
    • CDMO 服务
    • 临床试验 CRO 服务
    • Unity Lab Services
    • 查看所有帮助和支持
  • 帮助和支持
    • 学习中心
    • 联系我们
    • 更改国家或地区
    • 查看所有帮助和支持
  • 热门产品
    • TaqMan Real-Time PCR Assays
      TaqMan 实时荧光定量 PCR 试剂盒
    • Antibodies
      抗体
    • Oligos, Primers & Probes
      寡核苷酸、引物、探针
    • GeneArt Gene Synthesis
      GeneArt 基因合成
    • Cell Culture Plastics
      细胞培养耗材
  • Who We Serve
    • 抗体治疗解决方案
    • 细胞与基因治疗解决方案
    • 学术科研
    • 工业与应用
  • 联系我们
  • 货号直购
  • 订单查询
  • 查找文件&证书
Thermo Fisher Scientific Logo

Search

搜索全部或下列指定分类
Search button
          • 联系我们
          • 货号直购
          • 登录
            登录
            没有账号?建立账号 注册
            • 我的账号
            • 订单
            • 会员中心
            • 账单及发票查询
            • 定制产品及项目
          • Primary Antibodies ›
          • PDGF-B Antibodies

          Invitrogen

          PDGF-B Polyclonal Antibody

          查看其他18个PDGF-B抗体

          {{$productOrderCtrl.translations['antibody.pdp.commerceCard.promotion.promotions']}}

          {{$productOrderCtrl.translations['antibody.pdp.commerceCard.promotion.viewpromo']}}

          {{$productOrderCtrl.translations['antibody.pdp.commerceCard.promotion.promocode']}}: {{promo.promoCode}} {{promo.promoTitle}} {{promo.promoDescription}}. {{$productOrderCtrl.translations['antibody.pdp.commerceCard.promotion.learnmore']}}

          说明书
          证书
          实验方案
          问题与答案
          技术支持
          说明书
          证书
          实验方案
          问题与答案
          技术支持
          说明书
          证书
          实验方案
          问题与答案
          技术支持

          Cite PDGF-B Polyclonal Antibody

          Additional Information:
          {{banner.description}}
          {{$ctrl.isSkuNotesCollapsed ? 'View more' : 'View less'}}
          • 抗体检测数据 (2)
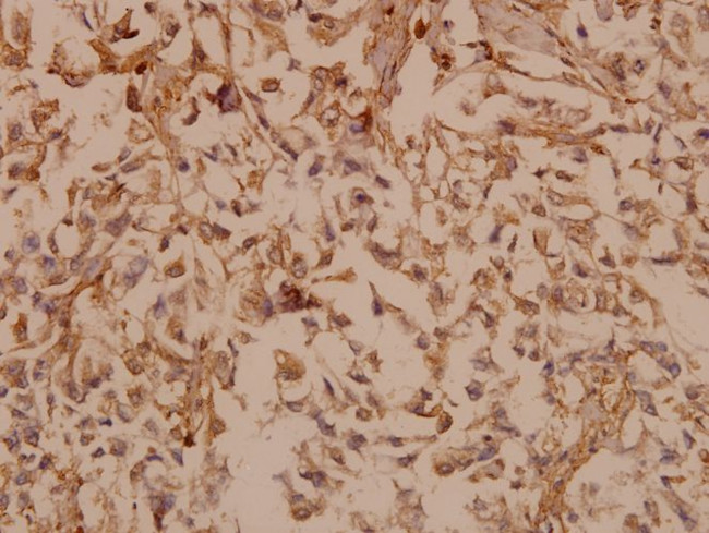
          PDGF-B Antibody in Immunohistochemistry (Paraffin) (IHC (P))
          Group 53 Created with Sketch.
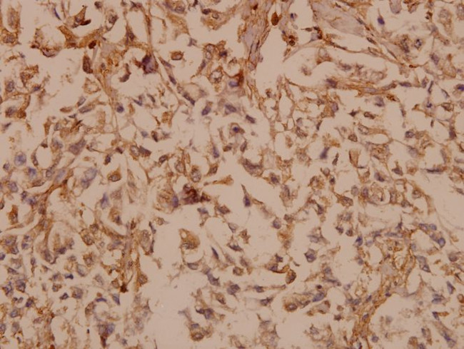
          PDGF-B Antibody in Immunohistochemistry (Paraffin) (IHC (P))
          Group 53 Created with Sketch.

          图: 1 / 2

          {{ $ctrl.currentElement.advancedVerification.fullName }}
          {{ $ctrl.currentElement.advancedVerification.text }}

          PDGF-B Antibody (PA5-86197) in IHC (P)

          Immunohistochemical analysis of PDGF-B in paraffin-embedded human breast carcinoma tissue. Sample was incubated with polyclonal PDGF-B antibody (Product # PA5-86197) using a 1:50 dilution. {{ $ctrl.currentElement.advancedVerification.fullName }} 验证信息 View more
          已发表图片由___提供 benchsci-logo
          PMID: {{$ctrl.currentElement.benchSciPubmedId}}
          查看产品

          {{$ctrl.videoDesc}}

          {{$ctrl.videoLongDesc}}

          PDGF-B Antibody in Immunohistochemistry (Paraffin) (IHC (P))
          PDGF-B Antibody in Western Blot (WB)
          PDGF-B Polyclonal Antibody

          产品信息

          PA5-86197

          应用
          建议稀释比
          已发表文章

          免疫印迹 (WB)

          1:500-1:1,000
          -

          免疫组化(石蜡) (IHC (P))

          1:50-1:200
          -
          产品规格

          种属反应

          Human, Mouse, Rat

          宿主/亚型

          Rabbit / IgG

          分类

          Polyclonal

          类型

          Antibody

          抗原

          Synthetic peptide, corresponding to amino acids 21-70 of Human PDGF-B.
          3D表位/免疫原

          偶联物

          Unconjugated Unconjugated Unconjugated

          形式

          Liquid

          浓度

          1 mg/mL

          规格

          100 µg

          纯化类型

          Antigen affinity chromatography

          保存液

          PBS, pH 7.2, with 50% glycerol

          内含物

          0.02% sodium azide

          保存条件

          Store at 4°C short term. For long term storage, store at -20°C, avoiding freeze/thaw cycles.

          运输条件

          Ambient (domestic); Wet ice (international)

          RRID

          AB_2802989

          产品详细信息

          Purity is > 95% by SDS-PAGE.

          靶标信息

          This gene encodes a member of the protein family comprised of both platelet-derived growth factors (PDGF) and vascular endothelial growth factors (VEGF). The encoded preproprotein is proteolytically processed to generate platelet-derived growth factor subunit B, which can homodimerize, or alternatively, heterodimerize with the related platelet-derived growth factor subunit A. These proteins bind and activate PDGF receptor tyrosine kinases, which play a role in a wide range of developmental processes. Mutations in this gene are associated with meningioma. Reciprocal translocations between chromosomes 22 and 17, at sites where this gene and that for collagen type 1, alpha 1 are located, are associated with dermatofibrosarcoma protuberans, a rare skin tumor. Alternative splicing results in multiple transcript variants.

          仅用于科研。不用于诊断过程。未经明确授权不得转售。

          篇参考文献 (0)

          您是否在文献中引用过该产品?请点击下方按钮邮件告知我们。
          引用该产品

          生物信息学

          蛋白别名: becaplermin; c-sis; epididymis secretory sperm binding protein; orf 2; pdgf protein; PDGF subunit B; PDGF, B chain; PDGF-2; PDGFB; platelet derived growth factor, B polypeptide; platelet-derived growth factor 2; Platelet-derived growth factor B chain; Platelet-derived growth factor beta polypeptide; platelet-derived growth factor beta polypeptide (simian sarcoma viral (v-sis) oncogene homolog); Platelet-derived growth factor subunit B; platelet-derived growth factor, beta polypeptide (oncogene SIS); Platelet-derived growth factor, same as Sis (Simian sarcoma viral oncogene homologue, c-sis); Proto-oncogene c-Sis; unnamed protein product

          查看更多 收起

          基因别名: c-sis; IBGC5; PDGF-2; PDGF-B; PDGF2; PDGFB; SIS; SSV

          查看更多 收起

          UniProt ID: (Human) P01127, (Mouse) P31240, (Rat) Q05028

          查看更多 收起

          Entrez Gene ID: (Human) 5155, (Mouse) 18591, (Rat) 24628

          查看更多 收起

          功能
          platelet-derived growth factor receptor binding protein binding collagen binding growth factor activity superoxide-generating NADPH oxidase activator activity chemoattractant activity identical protein binding protein homodimerization activity protein heterodimerization activity receptor agonist activity platelet-derived growth factor binding receptor binding growth factor
          参与通路
          angiogenesis embryonic placenta development positive regulation of endothelial cell proliferation monocyte chemotaxis positive regulation of glomerular filtration protein phosphorylation transmembrane receptor protein tyrosine kinase signaling pathway heart development positive regulation of cell proliferation response to wounding gene expression regulation of gene expression negative regulation of phosphatidylinositol biosynthetic process negative regulation of platelet activation positive regulation of macromolecule biosynthetic process positive regulation of gene expression negative regulation of gene expression positive regulation of cell-substrate adhesion smooth muscle adaptation positive regulation of smooth muscle cell migration peptidyl-tyrosine phosphorylation hemopoiesis positive regulation of cell migration positive regulation of protein autophosphorylation intracellular signal transduction interleukin-18-mediated signaling pathway positive regulation of metanephric mesenchymal cell migration by platelet-derived growth factor receptor-beta signaling pathway cellular response to platelet-derived growth factor stimulus paracrine signaling positive regulation of MAP kinase activity positive regulation of MAPK cascade positive regulation of blood vessel endothelial cell migration positive regulation of mitotic nuclear division negative regulation of transcription, DNA-templated positive regulation of transcription, DNA-templated platelet-derived growth factor receptor signaling pathway positive regulation of fibroblast proliferation positive regulation of smooth muscle cell proliferation positive chemotaxis positive regulation of chemotaxis regulation of multicellular organismal process positive regulation of cell division positive regulation of protein kinase B signaling cell chemotaxis positive regulation of ERK1 and ERK2 cascade cellular response to growth factor stimulus cellular response to mycophenolic acid positive regulation of glomerular mesangial cell proliferation metanephric glomerular mesangial cell development reactive oxygen species metabolic process positive regulation of calcium ion import positive regulation of hyaluronan biosynthetic process positive regulation of intracellular signal transduction negative regulation of pri-miRNA transcription from RNA polymerase II promoter positive regulation of pri-miRNA transcription from RNA polymerase II promoter positive regulation of vascular smooth muscle cell proliferation positive regulation of vascular associated smooth muscle cell migration negative regulation of vascular smooth muscle cell differentiation positive regulation of vascular smooth muscle cell dedifferentiation positive regulation of reactive oxygen species metabolic process positive regulation of DNA biosynthetic process positive regulation of metanephric mesenchymal cell migration substrate-dependent cell migration multicellular organism development synapse assembly positive regulation of phosphatidylinositol 3-kinase signaling neuron remodeling peptidyl-serine phosphorylation glial cell development cell projection assembly actin cytoskeleton organization negative regulation of cell migration negative regulation of protein binding activation of protein kinase activity activation of protein kinase B activity positive regulation of endothelial cell chemotaxis by VEGF-activated vascular endothelial growth factor receptor signaling pathway eye photoreceptor cell development positive regulation of phosphatidylinositol 3-kinase activity positive regulation of cyclin-dependent protein serine/threonine kinase activity positive regulation of DNA replication positive regulation of fibroblast growth factor receptor signaling pathway positive regulation of vasoconstriction negative regulation of vasodilation positive regulation of mitotic cell cycle, embryonic blood vessel morphogenesis regulation of peptidyl-tyrosine phosphorylation positive regulation of peptidyl-tyrosine phosphorylation retina development in camera-type eye branching involved in salivary gland morphogenesis epithelial cell proliferation involved in salivary gland morphogenesis cardiac vascular smooth muscle cell differentiation positive regulation of protein tyrosine kinase activity retina vasculature development in camera-type eye metanephric glomerular mesangial cell proliferation involved in metanephros development response to hypoxia DNA replication blood coagulation response to organic substance response to organic cyclic compound cell growth response to estradiol response to insulin wound healing regulation of cell proliferation response to drug response to estrogen metanephric glomerular endothelium development
          It has to be done as per old AB suggested Products section.

          Disclaimer

          Close

          Clicking the images or links will redirect you to a website hosted by BenchSci that provides third-party scientific content. Neither the content nor the BenchSci technology and processes for selection have been evaluated by us; we are providing them as-is and without warranty of any kind, including for use or application of the Thermo Fisher Scientific products presented.

          guarantee_icon

          性能保障

          只要您发现Invitrogen抗体在实验中的表现与网站或说明书的所述内容不符,您即可享受免费退换货服务。*

          了解更多
          help_icon

          随时为您服务

          获取常见问题的专家解答,或者直接联系我们的技术专家,咨询应用、设备、常规产品使用问题。

          联系技术支持
          订购 Plus Icon Minus Icon
          • 订单状态查询
          • 订单支持
          • 货号直购
          • 现货供应中心
          • 电子采购
          支持 Plus Icon Minus Icon
          • 帮助&支持
          • 联系我们 - 400 820 8982
          • 技术支持中心
          • 查找文件&证书
          • 报告网站问题
          资源 Plus Icon Minus Icon
          • 学习中心
          • 促销
          • 活动&研讨会
          • 社交媒体
          关于赛默飞 Plus Icon Minus Icon
          • 关于我们
          • 招聘 招聘
          • 投资者关系 投资者关系
          • 新闻 新闻
          • 社会责任 社会责任
          • 商标
          • 政策和通知
          品牌 Plus Icon Minus Icon
          • Thermo Scientific
          • Applied Biosystems
          • Invitrogen
          • Gibco
          • Ion Torrent
          • Unity Lab Services
          • Patheon
          • PPD
          • 服务条款
          • 隐私政策
          • 定价和运输保险政策
          © 2006-2026 Thermo Fisher Scientific Inc. All rights reserved. All trademarks are the property of Thermo Fisher Scientific and its subsidiaries unless otherwise specified.
          China flag icon
          China
          本网站销售的所有产品均不得用于人类或动物之临床诊断或治疗,仅可用于工业或者科研等非医疗目的。
             电子营业执照 | 经营证照公示 | ICP备案号:沪ICP备11003924号 | 沪公网安备 31011502006935号

          Your items have has been added!


          Host server : magellan-search-green-6479c7f679-7tw72:80/100.66.78.195:80.
          git-commit: b70c0dceb888abc3b0dcebb5bc3a5b8753e7e816
          git-url: https://github.com/thermofisher/magellan-search
          git-branch: release/2.50.0-Offline