Hamburger Menu Button
Thermo Fisher Scientific Logo
登录
没有账号?建立账号 注册
  • 产品
    • 抗体
    • 引物合成
    • GeneArt Gene Synthesis Instant Designer
    • TaqMan Assay and Array Search
    • PCR 设备和耗材
    • 色谱柱和纯化柱
    • 实验室离心机
    • 分子生物学试剂和试剂盒
    • 实验室塑料耗材及用品
    • 查看所有产品分类
  • 应用和技术
    • 色谱
    • 细胞转染和培养
    • 实时荧光定量PCR
    • 质谱
    • 实验室塑料耗材及用品
    • 电子显微镜
    • 蛋白质生物学
    • PCR
    • RNAi
    • 环境
    • 查看所有应用和技术
  • 服务
    • 定制服务
    • 企业级实验室信息化服务
    • 企业服务
    • 金融&租赁服务
    • 仪器服务
    • OEM和商业供应
    • 培训服务
    • 360° CDMO 和 CRO 服务
    • CDMO 服务
    • 临床试验 CRO 服务
    • 查看所有帮助和支持
  • 帮助和支持
    • 学习中心
    • 联系我们
    • 更改国家或地区
    • 查看所有帮助和支持
  • 热门产品
    • TaqMan Real-Time PCR Assays
      TaqMan 实时荧光定量 PCR 试剂盒
    • Antibodies
      抗体
    • Oligos, Primers & Probes
      寡核苷酸、引物、探针
    • GeneArt Gene Synthesis
      GeneArt 基因合成
    • Cell Culture Plastics
      细胞培养耗材
  • 联系我们
  • 货号直购
  • 订单查询
  • 查找文件&证书
Thermo Fisher Scientific Logo

Search

搜索全部或下列指定分类
Search button
          • 联系我们
          • 货号直购
          • 登录
            登录
            没有账号?建立账号 注册
            • 我的账号
            • 订单
            • 账单及发票查询
            • 定制产品及项目

          Disclaimer

          Clicking the images or links will redirect you to a website hosted by BenchSci that provides third-party scientific content. Neither the content nor the BenchSci technology and processes for selection have been evaluated by us; we are providing them as-is and without warranty of any kind, including for use or application of the Thermo Fisher Scientific products presented.

          • Primary Antibodies ›
          • PDGF-B Antibodies

          NeoBiotechnologies

          PDGF beta (PDGFB) Monoclonal Antibody (PDGFB, 3071)

          查看其他15个PDGF-B抗体

          {{$productOrderCtrl.translations['antibody.pdp.commerceCard.promotion.promotions']}}

          {{$productOrderCtrl.translations['antibody.pdp.commerceCard.promotion.viewpromo']}}

          {{$productOrderCtrl.translations['antibody.pdp.commerceCard.promotion.promocode']}}: {{promo.promoCode}} {{promo.promoTitle}} {{promo.promoDescription}}. {{$productOrderCtrl.translations['antibody.pdp.commerceCard.promotion.learnmore']}}

          说明书
          证书
          实验方案
          问题与答案
          技术支持
          说明书
          证书
          实验方案
          问题与答案
          技术支持
          说明书
          证书
          实验方案
          问题与答案
          技术支持

          Cite PDGF beta (PDGFB) Monoclonal Antibody (PDGFB, 3071)

          • 抗体检测数据 (3)
          PDGF beta (PDGFB) Antibody in Immunohistochemistry (Paraffin) (IHC (P))
          Group 53 Created with Sketch.
          PDGF beta (PDGFB) Antibody in Immunohistochemistry (Paraffin) (IHC (P))
          Group 53 Created with Sketch.

          图: 1 / 3

          {{ $ctrl.currentElement.advancedVerification.fullName }}
          {{ $ctrl.currentElement.advancedVerification.text }}

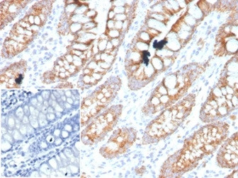
          PDGF beta (PDGFB) Antibody (5155-MSM1-P1ABX) in IHC (P)

          Immunohistochemistry (Paraffin) analysis performed in formalin fixed, paraffin-embedded human colon using PDGF beta (PDGFB) Monoclonal Antibody (Product # 5155-MSM1-P1ABX). Inset: PBS instead of primary antibody, secondary antibody negative control. {{ $ctrl.currentElement.advancedVerification.fullName }} 验证信息 View more
          已发表图片由___提供 benchsci-logo
          PMID: {{$ctrl.currentElement.benchSciPubmedId}}
          查看产品

          {{$ctrl.videoDesc}}

          {{$ctrl.videoLongDesc}}

          PDGF beta (PDGFB) Antibody in Immunohistochemistry (Paraffin) (IHC (P))
          PDGF beta (PDGFB) Antibody in Peptide array (ARRAY)
          PDGF beta (PDGFB) Antibody in SDS-PAGE (SDS-PAGE)
          PDGF beta (PDGFB) Monoclonal Antibody (PDGFB, 3071)

          产品信息

          5155-MSM1-P1ABX

          应用
          建议稀释比
          已发表文章

          免疫组化(石蜡) (IHC (P))

          1-2 µg/mL
          -

          肽阵列 (Array)

          Assay-dependent
          -
          产品规格

          种属反应

          Human

          宿主/亚型

          Mouse / IgG2c, kappa

          分类

          Monoclonal

          类型

          Antibody

          克隆号

          PDGFB, 3071

          抗原

          Recombinant fragment of human PDGFB protein (around aa 27-158)
          查看免疫原

          偶联物

          Unconjugated Unconjugated Unconjugated

          形式

          Liquid

          浓度

          1 mg/mL

          纯化类型

          Protein A/G

          保存液

          PBS, pH 7.4

          内含物

          no preservative

          保存条件

          -20°C or -80°C if preferred

          运输条件

          Ambient (domestic); Wet ice (international)

          产品详细信息

          Immunohistochemistry (PFA fixed): incubate antibody for 30 min RT. Staining of formalin-fixed tissues requires heating tissue sections in 10mM Tris with 1mM EDTA, pH 9.0, for 45 min at 95 degrees C followed by cooling at RT for 20 minutes.

          靶标信息

          This gene encodes a member of the protein family comprised of both platelet-derived growth factors (PDGF) and vascular endothelial growth factors (VEGF). The encoded preproprotein is proteolytically processed to generate platelet-derived growth factor subunit B, which can homodimerize, or alternatively, heterodimerize with the related platelet-derived growth factor subunit A. These proteins bind and activate PDGF receptor tyrosine kinases, which play a role in a wide range of developmental processes. Mutations in this gene are associated with meningioma. Reciprocal translocations between chromosomes 22 and 17, at sites where this gene and that for collagen type 1, alpha 1 are located, are associated with dermatofibrosarcoma protuberans, a rare skin tumor. Alternative splicing results in multiple transcript variants.

          仅用于科研。不用于诊断过程。未经明确授权不得转售。

          篇参考文献 (0)

          您是否在文献中引用过该产品?请点击下方按钮邮件告知我们。
          引用该产品

          生物信息学

          蛋白别名: becaplermin; PDGF subunit B; PDGF, B chain; PDGF-2; platelet-derived growth factor 2; Platelet-derived growth factor B chain; Platelet-derived growth factor beta polypeptide; platelet-derived growth factor beta polypeptide (simian sarcoma viral (v-sis) oncogene homolog); Platelet-derived growth factor subunit B; platelet-derived growth factor, beta polypeptide (oncogene SIS); Proto-oncogene c-Sis

          查看更多 收起

          基因别名: c-sis; IBGC5; PDGF-2; PDGF2; PDGFB; SIS; SSV

          查看更多 收起

          UniProt ID: (Human) P01127

          查看更多 收起

          Entrez Gene ID: (Human) 5155

          查看更多 收起

          功能
          Ras guanyl-nucleotide exchange factor activity platelet-derived growth factor receptor binding protein binding collagen binding growth factor activity superoxide-generating NADPH oxidase activator activity chemoattractant activity identical protein binding protein homodimerization activity phosphatidylinositol-4,5-bisphosphate 3-kinase activity protein heterodimerization activity platelet-derived growth factor binding growth factor
          参与通路
          MAPK cascade response to hypoxia embryonic placenta development positive regulation of endothelial cell proliferation monocyte chemotaxis platelet degranulation positive regulation of glomerular filtration DNA replication protein phosphorylation transforming growth factor beta receptor signaling pathway heart development positive regulation of cell proliferation response to wounding negative regulation of phosphatidylinositol biosynthetic process negative regulation of platelet activation positive regulation of gene expression negative regulation of gene expression regulation of phosphatidylinositol 3-kinase signaling positive regulation of phosphatidylinositol 3-kinase signaling positive regulation of smooth muscle cell migration cell growth peptidyl-serine phosphorylation peptidyl-tyrosine phosphorylation hemopoiesis extracellular matrix organization positive regulation of cell migration positive regulation of protein autophosphorylation negative regulation of protein binding activation of protein kinase activity activation of protein kinase B activity response to estradiol response to insulin positive regulation of metanephric mesenchymal cell migration by platelet-derived growth factor receptor-beta signaling pathway paracrine signaling wound healing response to drug positive regulation of MAP kinase activity positive regulation of MAPK cascade positive regulation of blood vessel endothelial cell migration positive regulation of GTPase activity positive regulation of phosphatidylinositol 3-kinase activity response to estrogen positive regulation of cyclin-dependent protein serine/threonine kinase activity positive regulation of DNA replication positive regulation of mitotic nuclear division negative regulation of transcription, DNA-templated positive regulation of transcription, DNA-templated phosphatidylinositol phosphorylation platelet-derived growth factor receptor signaling pathway phosphatidylinositol-mediated signaling positive regulation of fibroblast proliferation positive regulation of smooth muscle cell proliferation positive regulation of peptidyl-tyrosine phosphorylation positive chemotaxis positive regulation of chemotaxis positive regulation of cell division cell chemotaxis positive regulation of protein tyrosine kinase activity positive regulation of ERK1 and ERK2 cascade protein kinase C signaling cellular response to growth factor stimulus cellular response to mycophenolic acid positive regulation of glomerular mesangial cell proliferation metanephric glomerular mesangial cell development reactive oxygen species metabolic process positive regulation of calcium ion import positive regulation of hyaluronan biosynthetic process negative regulation of pri-miRNA transcription from RNA polymerase II promoter positive regulation of pri-miRNA transcription from RNA polymerase II promoter positive regulation of vascular smooth muscle cell proliferation positive regulation of vascular associated smooth muscle cell migration negative regulation of vascular smooth muscle cell differentiation positive regulation of vascular smooth muscle cell dedifferentiation positive regulation of reactive oxygen species metabolic process positive regulation of DNA biosynthetic process positive regulation of metanephric mesenchymal cell migration
          It has to be done as per old AB suggested Products section.
          guarantee_icon

          性能保障

          只要您发现Invitrogen抗体在实验中的表现与网站或说明书的所述内容不符,您即可享受免费退换货服务。*

          了解更多
          help_icon

          随时为您服务

          获取常见问题的专家解答,或者直接联系我们的技术专家,咨询应用、设备、常规产品使用问题。

          联系技术支持
          订购 Plus Icon Minus Icon
          • 订单状态查询
          • 订单支持
          • 货号直购
          • 现货供应中心
          • 电子采购
          支持 Plus Icon Minus Icon
          • 帮助&支持
          • 联系我们 - 400 820 8982
          • 技术支持中心
          • 查找文件&证书
          • 报告网站问题
          资源 Plus Icon Minus Icon
          • 学习中心
          • 促销
          • 活动&研讨会
          • 社交媒体
          关于赛默飞 Plus Icon Minus Icon
          • 关于我们
          • 招聘 招聘
          • 投资者关系 投资者关系
          • 新闻 新闻
          • 社会责任 社会责任
          • 商标
          • 政策和通知
          品牌 Plus Icon Minus Icon
          • Thermo Scientific
          • Applied Biosystems
          • Invitrogen
          • Gibco
          • Ion Torrent
          • Patheon
          • PPD
          • 服务条款
          • 隐私政策
          • 定价和运输保险政策
          © 2006-2026 Thermo Fisher Scientific Inc. All rights reserved. All trademarks are the property of Thermo Fisher Scientific and its subsidiaries unless otherwise specified.
          China flag icon
          China
          本网站销售的所有产品均不得用于人类或动物之临床诊断或治疗,仅可用于工业或者科研等非医疗目的。
             电子营业执照 | 经营证照公示 | ICP备案号:沪ICP备11003924号 | 沪公网安备 31011502006935号

          Your items have has been added!


          Host server : magellan-search-blue-55ff9ddd88-ksbnf:80/100.66.72.61:80.
          git-commit: d366ff9721d93504b2ac26a183b2b3e3d0e7d9ec
          git-url: https://github.com/thermofisher/magellan-search
          git-branch: release/2.42.0-2026.01.03-1.0