Hamburger Menu Button
Thermo Fisher Scientific Logo
登录
没有账号?建立账号 注册
  • 产品
    • 抗体
    • 引物合成
    • GeneArt Gene Synthesis Instant Designer
    • TaqMan Assay and Array Search
    • PCR 设备和耗材
    • 色谱柱和纯化柱
    • 实验室离心机
    • 分子生物学试剂和试剂盒
    • 实验室塑料耗材及用品
    • 查看所有产品分类
  • 应用和技术
    • 色谱
    • 细胞转染和培养
    • 实时荧光定量PCR
    • 质谱
    • 实验室塑料耗材及用品
    • 电子显微镜
    • 蛋白质生物学
    • PCR
    • RNAi
    • 环境
    • 查看所有应用和技术
  • 服务
    • 定制服务
    • 企业级实验室信息化服务
    • 企业服务
    • 金融&租赁服务
    • 仪器服务
    • OEM和商业供应
    • 培训服务
    • 360° CDMO 和 CRO 服务
    • CDMO 服务
    • 临床试验 CRO 服务
    • 查看所有帮助和支持
  • 帮助和支持
    • 学习中心
    • 联系我们
    • 更改国家或地区
    • 查看所有帮助和支持
  • 热门产品
    • TaqMan Real-Time PCR Assays
      TaqMan 实时荧光定量 PCR 试剂盒
    • Antibodies
      抗体
    • Oligos, Primers & Probes
      寡核苷酸、引物、探针
    • GeneArt Gene Synthesis
      GeneArt 基因合成
    • Cell Culture Plastics
      细胞培养耗材
  • 联系我们
  • 货号直购
  • 订单查询
  • 查找文件&证书
Thermo Fisher Scientific Logo

Search

搜索全部或下列指定分类
Search button
          • 联系我们
          • 货号直购
          • 登录
            登录
            没有账号?建立账号 注册
            • 我的账号
            • 订单
            • 账单及发票查询
            • 定制产品及项目

          Disclaimer

          Clicking the images or links will redirect you to a website hosted by BenchSci that provides third-party scientific content. Neither the content nor the BenchSci technology and processes for selection have been evaluated by us; we are providing them as-is and without warranty of any kind, including for use or application of the Thermo Fisher Scientific products presented.

          • Primary Antibodies ›
          • PDGF-D Antibodies

          Proteintech

          PDGFD Polyclonal Antibody

          7 篇参考文献
          查看其他6个PDGF-D抗体

          {{$productOrderCtrl.translations['antibody.pdp.commerceCard.promotion.promotions']}}

          {{$productOrderCtrl.translations['antibody.pdp.commerceCard.promotion.viewpromo']}}

          {{$productOrderCtrl.translations['antibody.pdp.commerceCard.promotion.promocode']}}: {{promo.promoCode}} {{promo.promoTitle}} {{promo.promoDescription}}. {{$productOrderCtrl.translations['antibody.pdp.commerceCard.promotion.learnmore']}}

          说明书
          证书
          实验方案
          问题与答案
          技术支持
          说明书
          证书
          实验方案
          问题与答案
          技术支持
          说明书
          证书
          实验方案
          问题与答案
          技术支持

          Cite PDGFD Polyclonal Antibody

          Additional Information:
          {{banner.description}}
          {{$ctrl.isSkuNotesCollapsed ? 'View more' : 'View less'}}
          • 抗体检测数据 (4)
          PDGFD Antibody in Immunohistochemistry (Paraffin) (IHC (P))
          Group 53 Created with Sketch.
          PDGFD Antibody in Immunohistochemistry (Paraffin) (IHC (P))
          Group 53 Created with Sketch.

          图: 1 / 4

          {{ $ctrl.currentElement.advancedVerification.fullName }}
          {{ $ctrl.currentElement.advancedVerification.text }}

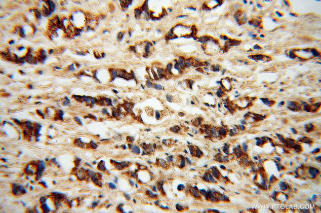
          PDGFD Antibody (14075-1-AP) in IHC (P)

          Immunohistochemistry of paraffin-embedded human prostate cancer using 14075-1-AP (PDGFD antibody) at dilution of 1:50 (under 40x lens). {{ $ctrl.currentElement.advancedVerification.fullName }} 验证信息 View more
          已发表图片由___提供 benchsci-logo
          PMID: {{$ctrl.currentElement.benchSciPubmedId}}
          查看产品

          {{$ctrl.videoDesc}}

          {{$ctrl.videoLongDesc}}

          PDGFD Antibody in Immunohistochemistry (Paraffin) (IHC (P))
          PDGFD Antibody in Immunohistochemistry (Paraffin) (IHC (P))
          PDGFD Antibody in Immunohistochemistry (PFA fixed) (IHC (PFA))
          PDGFD Antibody in Immunohistochemistry (PFA fixed) (IHC (PFA))
          PDGFD Polyclonal Antibody

          产品信息

          14075-1-AP

          应用
          建议稀释比
          已发表文章

          免疫印迹 (WB)

          Assay-dependent
          查看3篇已发表文章 3篇已发表文章

          免疫组化 (IHC)

          -
          查看3篇已发表文章 3篇已发表文章

          免疫组化(石蜡) (IHC (P))

          1:20-1:200
          -

          免疫组织化学(多聚甲醛固定) (IHC (PFA))

          1:50
          -

          免疫细胞化学 (ICC/IF)

          -
          查看1篇已发表文章 1篇已发表文章
          产品规格

          种属反应

          Human, Mouse, Rat

          已发表种属

          Goat, Human, Rat

          宿主/亚型

          Rabbit / IgG

          分类

          Polyclonal

          类型

          Antibody

          抗原

          PDGFD Fusion Protein Ag5154 (1-364 aa encoded by BC030645)
          查看免疫原

          偶联物

          Unconjugated Unconjugated Unconjugated

          形式

          Liquid

          浓度

          0.3 mg/mL

          纯化类型

          Antigen affinity chromatography

          保存液

          PBS, pH 7.3, with 50% glycerol

          内含物

          0.02% sodium azide

          保存条件

          -20°C

          运输条件

          Wet ice (domestic); Dry ice (international)

          产品详细信息

          Immunogen sequence: MHRLIFVYT LICANFCSCR DTSATPQSAS IKALRNANLR RDDLYRRDET IQVKGNGYVQ SPRFPNSYPR NLLLTWRLHS QENTRIQLVF DNQFGLEEAE NDICRYDFVE VEDISETSTI IRGRWCGHKE VPPRIKSRTN QIKITFKSDD YFVAKPGFKI YYSLLEDFQP AAASETNWES VTSSISGVSY NSPSVTDPTL IADALDKKIA EFDTVEDLLK YFNPESWQED LENMYLDTPR YRGRSYHDRK SKVDLDRLND DAKRYSCTPR NYSVNIREEL KLANVVFFPR CLLVQRCGGN CGCGTVNWRS CTCNSGKTVK KYHEVLQFEP GHIKRRGRAK TMALVDIQLD HHERCDCICS SRPPR (1-364 aa encoded by BC030645)

          靶标信息

          The platelet-derived growth factor (PDGF) family consists of four members; PDGF-A, PDGF-B, PDGF-C and PDGF-D (spinal cord-derived growth factor-B or iris-expressed growth factor). PDGF members form disulphide-bonded dimeric isoforms, which are important for growth, survival and function in several types of connective tissue cells. Their biological effects are mediated via two tyrosine kinase receptors, PDGFR-a and PDGFR-b, and PDGF-mediated signaling is critical for development of many organ systems. PDGF-D has a two-domain structure similar to PDGF-C and is secreted as a disulphide-linked homodimer, PDGF-DD. PDGF-D induces cellular transformation and promotes tumor growth by accelerating the proliferation rate of tumor cells and by stimulation of tumor neovascularization. PDGF-D may play a role in the development of brain tumors. The potential oncogenic activity of PDGF-DD may be important for the development and/or progression of prostate cancer. PDGF-D is expressed in fibroblastic adventitial cells, cultured endothelial cells and in a variety of tumor cell lines including those derived from ovarian, renal and lung cancers, as well as from astrocytomas and medulloblastomas. PDGF-D is expressed in the human kidney.

          仅用于科研。不用于诊断过程。未经明确授权不得转售。

          生物信息学

          蛋白别名: Iris-expressed growth factor; PDGF-D; Platelet-derived growth factor D; platelet-derived growth factor, D polypeptide; SCDGF-B; spinal cord derived growth factor B; Spinal cord-derived growth factor B; spinal cord-derived growth factor-B; spinal-cord derived growth factor-B protein

          查看更多 收起

          基因别名: 1110003I09Rik; IEGF; MSTP036; PDGFD; rSCDGF-B; SCDGF-B; SCDGFB; UNQ1899/PRO4345

          查看更多 收起

          UniProt ID: (Human) Q9GZP0, (Rat) Q9EQT1, (Mouse) Q925I7

          查看更多 收起

          Entrez Gene ID: (Human) 80310, (Rat) 66018, (Mouse) 71785

          查看更多 收起

          功能
          platelet-derived growth factor receptor binding growth factor activity growth factor
          参与通路
          multicellular organism development blood coagulation positive regulation of cell proliferation positive regulation of phosphatidylinositol 3-kinase signaling positive regulation of cell migration positive regulation of protein autophosphorylation cellular response to platelet-derived growth factor stimulus positive regulation of MAP kinase activity platelet-derived growth factor receptor signaling pathway positive regulation of fibroblast proliferation positive regulation of smooth muscle cell proliferation regulation of peptidyl-tyrosine phosphorylation positive regulation of cell division cellular response to hydrogen peroxide positive regulation of ERK1 and ERK2 cascade cellular response to amino acid stimulus cellular response to transforming growth factor beta stimulus positive regulation of smooth muscle cell chemotaxis positive regulation of glomerular mesangial cell proliferation positive regulation of monocyte extravasation cellular process
          It has to be done as per old AB suggested Products section.
          guarantee_icon

          性能保障

          只要您发现Invitrogen抗体在实验中的表现与网站或说明书的所述内容不符,您即可享受免费退换货服务。*

          了解更多
          help_icon

          随时为您服务

          获取常见问题的专家解答,或者直接联系我们的技术专家,咨询应用、设备、常规产品使用问题。

          联系技术支持
          订购 Plus Icon Minus Icon
          • 订单状态查询
          • 订单支持
          • 货号直购
          • 现货供应中心
          • 电子采购
          支持 Plus Icon Minus Icon
          • 帮助&支持
          • 联系我们 - 400 820 8982
          • 技术支持中心
          • 查找文件&证书
          • 报告网站问题
          资源 Plus Icon Minus Icon
          • 学习中心
          • 促销
          • 活动&研讨会
          • 社交媒体
          关于赛默飞 Plus Icon Minus Icon
          • 关于我们
          • 招聘 招聘
          • 投资者关系 投资者关系
          • 新闻 新闻
          • 社会责任 社会责任
          • 商标
          • 政策和通知
          品牌 Plus Icon Minus Icon
          • Thermo Scientific
          • Applied Biosystems
          • Invitrogen
          • Gibco
          • Ion Torrent
          • Patheon
          • PPD
          • 服务条款
          • 隐私政策
          • 定价和运输保险政策
          © 2006-2026 Thermo Fisher Scientific Inc. All rights reserved. All trademarks are the property of Thermo Fisher Scientific and its subsidiaries unless otherwise specified.
          China flag icon
          China
          本网站销售的所有产品均不得用于人类或动物之临床诊断或治疗,仅可用于工业或者科研等非医疗目的。
             电子营业执照 | 经营证照公示 | ICP备案号:沪ICP备11003924号 | 沪公网安备 31011502006935号

          Your items have has been added!


          Host server : magellan-search-blue-55ff9ddd88-ctdjb:80/100.66.76.55:80.
          git-commit: d366ff9721d93504b2ac26a183b2b3e3d0e7d9ec
          git-url: https://github.com/thermofisher/magellan-search
          git-branch: release/2.42.0-2026.01.03-1.0