Hamburger Menu Button
Thermo Fisher Scientific Logo
登录
没有账号?建立账号 注册
  • 产品
    • 抗体
    • 引物合成
    • GeneArt Gene Synthesis Instant Designer
    • TaqMan Assay and Array Search
    • PCR 设备和耗材
    • 色谱柱和纯化柱
    • 实验室离心机
    • 分子生物学试剂和试剂盒
    • 实验室塑料耗材及用品
    • 查看所有产品分类
  • 应用和技术
    • 色谱
    • 细胞转染和培养
    • 实时荧光定量PCR
    • 质谱
    • 实验室塑料耗材及用品
    • 电子显微镜
    • 蛋白质生物学
    • PCR
    • RNAi
    • 环境
    • 查看所有应用和技术
  • 服务
    • 定制服务
    • 企业级实验室信息化服务
    • 企业服务
    • 金融&租赁服务
    • 仪器服务
    • OEM和商业供应
    • 培训服务
    • 360° CDMO 和 CRO 服务
    • CDMO 服务
    • 临床试验 CRO 服务
    • 查看所有帮助和支持
  • 帮助和支持
    • 学习中心
    • 联系我们
    • 更改国家或地区
    • 查看所有帮助和支持
  • 热门产品
    • TaqMan Real-Time PCR Assays
      TaqMan 实时荧光定量 PCR 试剂盒
    • Antibodies
      抗体
    • Oligos, Primers & Probes
      寡核苷酸、引物、探针
    • GeneArt Gene Synthesis
      GeneArt 基因合成
    • Cell Culture Plastics
      细胞培养耗材
  • 联系我们
  • 货号直购
  • 订单查询
  • 查找文件&证书
Thermo Fisher Scientific Logo

Search

搜索全部或下列指定分类
Search button
          • 联系我们
          • 货号直购
          • 登录
            登录
            没有账号?建立账号 注册
            • 我的账号
            • 订单
            • 账单及发票查询
            • 定制产品及项目

          Disclaimer

          Clicking the images or links will redirect you to a website hosted by BenchSci that provides third-party scientific content. Neither the content nor the BenchSci technology and processes for selection have been evaluated by us; we are providing them as-is and without warranty of any kind, including for use or application of the Thermo Fisher Scientific products presented.

          • Primary Antibodies ›
          • PDGFRA (CD140a) Antibodies

          Invitrogen

          PDGFRA Recombinant Rabbit Monoclonal Antibody (JF104-6)

          高级验证
          查看其他59个PDGFRA (CD140a)抗体

          {{$productOrderCtrl.translations['antibody.pdp.commerceCard.promotion.promotions']}}

          {{$productOrderCtrl.translations['antibody.pdp.commerceCard.promotion.viewpromo']}}

          {{$productOrderCtrl.translations['antibody.pdp.commerceCard.promotion.promocode']}}: {{promo.promoCode}} {{promo.promoTitle}} {{promo.promoDescription}}. {{$productOrderCtrl.translations['antibody.pdp.commerceCard.promotion.learnmore']}}

          说明书
          证书
          实验方案
          问题与答案
          技术支持
          说明书
          证书
          实验方案
          问题与答案
          技术支持
          说明书
          证书
          实验方案
          问题与答案
          技术支持

          Cite PDGFRA Recombinant Rabbit Monoclonal Antibody (JF104-6)

          • 抗体检测数据 (7)
          • 高级验证 (1)
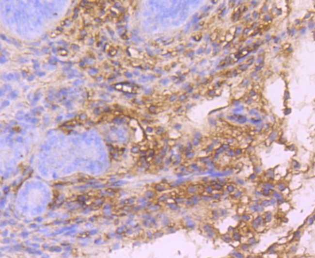
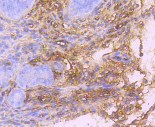
          PDGFRA Antibody in Immunohistochemistry (Paraffin) (IHC (P))
          Group 53 Created with Sketch.
          PDGFRA Antibody in Immunohistochemistry (Paraffin) (IHC (P))
          Group 53 Created with Sketch.

          图: 1 / 8

          {{ $ctrl.currentElement.advancedVerification.fullName }}
          {{ $ctrl.currentElement.advancedVerification.text }}

          PDGFRA Antibody (MA5-41209) in IHC (P)

          Immunohistochemistry (Paraffin) analysis of PDGFRA-CD140a- in paraffin-embedded mouse uterus tissue. The section was pre-treated using heat mediated antigen retrieval with Tris-EDTA buffer (pH 8.0-8.4) for 20 minutes.The tissues were blocked in 5% BSA for 30 minutes at room temperature, washed with ddH2O and PBS, and then probed with PDGFRA Recombinant Monoclonal Antibody (Product # MA5-41209) at a dilution... View More {{ $ctrl.currentElement.advancedVerification.fullName }} 验证信息 View more
          已发表图片由___提供 benchsci-logo
          PMID: {{$ctrl.currentElement.benchSciPubmedId}}
          查看产品

          {{$ctrl.videoDesc}}

          {{$ctrl.videoLongDesc}}

          PDGFRA Antibody in Immunohistochemistry (Paraffin) (IHC (P))
          PDGFRA Antibody in Immunohistochemistry (Paraffin) (IHC (P))
          PDGFRA Antibody in Immunohistochemistry (Paraffin) (IHC (P))
          PDGFRA Antibody in Western Blot (WB)
          PDGFRA Antibody in Western Blot (WB)
          PDGFRA Antibody in Western Blot (WB)
          PDGFRA Antibody in Western Blot (WB)
          PDGFRA Antibody
          PDGFRA Recombinant Rabbit Monoclonal Antibody (JF104-6)

          产品信息

          MA5-41209

          应用
          建议稀释比
          已发表文章

          免疫印迹 (WB)

          1:5000-1:10000
          -

          免疫组化(石蜡) (IHC (P))

          1:500-1:2000
          -

          免疫组化(冰冻) (IHC (F))

          1:500
          -
          产品规格

          种属反应

          Mouse, Rat, Human

          宿主/亚型

          Rabbit / IgG

          Expression System

          HEK293 cells

          分类

          Recombinant Monoclonal

          类型

          Antibody

          克隆号

          JF104-6

          抗原

          Synthetic peptide within C-terminal human PDGFR alpha.
          查看免疫原

          偶联物

          Unconjugated Unconjugated Unconjugated

          形式

          Liquid

          浓度

          1.06 mg/mL

          纯化类型

          Protein A

          保存液

          TBS, pH 7.4, with 40% glycerol, 0.05% BSA

          内含物

          0.05% sodium azide

          保存条件

          Store at 4°C short term. For long term storage, store at -20°C, avoiding freeze/thaw cycles.

          运输条件

          Ambient (domestic); Wet ice (international)

          RRID

          AB_2898963

          靶标信息

          PDGFRA is a cell surface receptor tyrosine kinase which binds members of the platelet-derived growth factor family. These growth factors are mitogens for cells of mesenchymal origin. The identity of the growth factor bound to a receptor monomer determines whether the functional receptor is a homodimer or a heterodimer, composed of both platelet-derived growth factor receptor alpha and beta polypeptides. Studies in knockout mice, where homozygosity is lethal, indicate that the alpha form of the platelet-derived growth factor receptor is particularly important for kidney development since mice heterozygous for the receptor exhibit defective kidney phenotypes.

          仅用于科研。不用于诊断过程。未经明确授权不得转售。

          篇参考文献 (0)

          您是否在文献中引用过该产品?请点击下方按钮邮件告知我们。
          引用该产品

          生物信息学

          蛋白别名: Alpha platelet-derived growth factor receptor; Alpha platelet-derived growth factor receptor precursor (PDGF-R-alpha); Alpha-type platelet-derived growth factor receptor; CD140 antigen-like family member A; CD140a; CD140a antigen; MGC74795; OTTHUMP00000218656; PDGF A-chain; PDGF alpha chain; PDGF Receptor alpha; PDGF subunit A; PDGF-1; PDGF-R-alpha; PDGFR-2; pdgfr-a; PDGFR-alpha; PDGFRA/BCR fusion; Platelet-derived growth factor alpha receptor; Platelet-derived growth factor receptor 2; Platelet-derived growth factor receptor alpha; platelet-derived growth factor receptor, alpha polypeptide; rearranged-in-hypereosinophilia-platelet derived growth factor receptor alpha fusion protein

          查看更多 收起

          基因别名: AI115593; APDGFR; CD140A; GAS9; PDGFACE; PDGFR-2; PDGFR2; PDGFRA; RHEPDGFRA

          查看更多 收起

          UniProt ID: (Human) P16234, (Rat) P20786, (Mouse) P26618

          查看更多 收起

          Entrez Gene ID: (Human) 5156, (Rat) 25267, (Mouse) 18595

          查看更多 收起

          功能
          protein kinase activity transmembrane receptor protein tyrosine kinase activity platelet-derived growth factor alpha-receptor activity vascular endothelial growth factor-activated receptor activity Ras guanyl-nucleotide exchange factor activity platelet-derived growth factor receptor binding protein binding ATP binding vascular endothelial growth factor binding protein homodimerization activity phosphatidylinositol-4,5-bisphosphate 3-kinase activity platelet-derived growth factor binding protein complex binding phosphatidylinositol 3-kinase binding protein dimerization activity nucleotide binding protein tyrosine kinase activity kinase activity transferase activity transferase activity, transferring phosphorus-containing groups transmembrane signal receptor
          参与通路
          MAPK cascade luteinization cell activation positive regulation of cytosolic calcium ion concentration positive regulation of cell proliferation negative regulation of platelet activation positive regulation of phospholipase C activity regulation of phosphatidylinositol 3-kinase signaling positive regulation of phosphatidylinositol 3-kinase signaling viral process peptidyl-tyrosine phosphorylation positive regulation of cell migration cellular response to reactive oxygen species platelet-derived growth factor receptor-alpha signaling pathway positive regulation of cell proliferation by VEGF-activated platelet derived growth factor receptor signaling pathway wound healing positive regulation of GTPase activity positive regulation of phosphatidylinositol 3-kinase activity positive regulation of DNA replication protein autophosphorylation phosphatidylinositol phosphorylation platelet-derived growth factor receptor signaling pathway phosphatidylinositol-mediated signaling positive regulation of fibroblast proliferation embryonic digestive tract morphogenesis embryonic cranial skeleton morphogenesis embryonic skeletal system morphogenesis regulation of chemotaxis cardiac myofibril assembly cell chemotaxis retina vasculature development in camera-type eye positive regulation of ERK1 and ERK2 cascade platelet aggregation metanephric glomerular capillary formation regulation of actin cytoskeleton reorganization regulation of mesenchymal stem cell differentiation in utero embryonic development hematopoietic progenitor cell differentiation estrogen metabolic process female gonad development anatomical structure morphogenesis response to hormone organ morphogenesis response to organic substance response to inorganic substance cell migration signal transduction involved in regulation of gene expression extracellular matrix organization lung development adrenal gland development male genitalia development response to estradiol Leydig cell differentiation response to cytokine cellular response to platelet-derived growth factor stimulus vascular endothelial growth factor signaling pathway gliogenesis odontogenesis of dentin-containing tooth response to estrogen skeletal system morphogenesis inner ear development response to hyperoxia palate development face morphogenesis cellular response to amino acid stimulus protein phosphorylation chemotaxis transmembrane receptor protein tyrosine kinase signaling pathway multicellular organism development phosphorylation
          It has to be done as per old AB suggested Products section.
          guarantee_icon

          性能保障

          只要您发现Invitrogen抗体在实验中的表现与网站或说明书的所述内容不符,您即可享受免费退换货服务。*

          了解更多
          help_icon

          随时为您服务

          获取常见问题的专家解答,或者直接联系我们的技术专家,咨询应用、设备、常规产品使用问题。

          联系技术支持
          订购 Plus Icon Minus Icon
          • 订单状态查询
          • 订单支持
          • 货号直购
          • 现货供应中心
          • 电子采购
          支持 Plus Icon Minus Icon
          • 帮助&支持
          • 联系我们 - 400 820 8982
          • 技术支持中心
          • 查找文件&证书
          • 报告网站问题
          资源 Plus Icon Minus Icon
          • 学习中心
          • 促销
          • 活动&研讨会
          • 社交媒体
          关于赛默飞 Plus Icon Minus Icon
          • 关于我们
          • 招聘 招聘
          • 投资者关系 投资者关系
          • 新闻 新闻
          • 社会责任 社会责任
          • 商标
          • 政策和通知
          品牌 Plus Icon Minus Icon
          • Thermo Scientific
          • Applied Biosystems
          • Invitrogen
          • Gibco
          • Ion Torrent
          • Patheon
          • PPD
          • 服务条款
          • 隐私政策
          • 定价和运输保险政策
          © 2006-2026 Thermo Fisher Scientific Inc. All rights reserved. All trademarks are the property of Thermo Fisher Scientific and its subsidiaries unless otherwise specified.
          China flag icon
          China
          本网站销售的所有产品均不得用于人类或动物之临床诊断或治疗,仅可用于工业或者科研等非医疗目的。
             电子营业执照 | 经营证照公示 | ICP备案号:沪ICP备11003924号 | 沪公网安备 31011502006935号

          Your items have has been added!


          Host server : magellan-search-blue-55ff9ddd88-mzbz4:80/100.66.75.107:80.
          git-commit: d366ff9721d93504b2ac26a183b2b3e3d0e7d9ec
          git-url: https://github.com/thermofisher/magellan-search
          git-branch: release/2.42.0-2026.01.03-1.0