Hamburger Menu Button
Thermo Fisher Scientific Logo
登录
没有账号?建立账号 注册
  • 产品
    • 抗体
    • 引物合成
    • GeneArt Gene Synthesis Instant Designer
    • TaqMan Assay and Array Search
    • PCR 设备和耗材
    • 色谱柱和纯化柱
    • 实验室离心机
    • 分子生物学试剂和试剂盒
    • 实验室塑料耗材及用品
    • 查看所有产品分类
  • 应用和技术
    • 色谱
    • 细胞转染和培养
    • 实时荧光定量PCR
    • 质谱
    • 实验室塑料耗材及用品
    • 电子显微镜
    • 蛋白质生物学
    • PCR
    • RNAi
    • 环境
    • 查看所有应用和技术
  • 服务
    • 定制服务
    • 企业级实验室信息化服务
    • 金融&租赁服务
    • 仪器服务
    • OEM和商业供应
    • 培训服务
    • 360° CDMO 和 CRO 服务
    • CDMO 服务
    • 临床试验 CRO 服务
    • Unity Lab Services
    • 查看所有帮助和支持
  • 帮助和支持
    • 学习中心
    • 联系我们
    • 更改国家或地区
    • 查看所有帮助和支持
  • 热门产品
    • TaqMan Real-Time PCR Assays
      TaqMan 实时荧光定量 PCR 试剂盒
    • Antibodies
      抗体
    • Oligos, Primers & Probes
      寡核苷酸、引物、探针
    • GeneArt Gene Synthesis
      GeneArt 基因合成
    • Cell Culture Plastics
      细胞培养耗材
  • Who We Serve
    • 抗体治疗解决方案
    • 细胞与基因治疗解决方案
    • 学术科研
    • 工业与应用
  • 联系我们
  • 货号直购
  • 订单查询
  • 查找文件&证书
Thermo Fisher Scientific Logo

Search

搜索全部或下列指定分类
Search button
          • 联系我们
          • 货号直购
          • 登录
            登录
            没有账号?建立账号 注册
            • 我的账号
            • 订单
            • 会员中心
            • 账单及发票查询
            • 定制产品及项目
          • Primary Antibodies ›
          • PDI Antibodies

          Proteintech

          PDI Recombinant Rabbit Monoclonal Antibody (4K17), CoraLite® Plus 750

          查看其他31个PDI抗体

          {{$productOrderCtrl.translations['antibody.pdp.commerceCard.promotion.promotions']}}

          {{$productOrderCtrl.translations['antibody.pdp.commerceCard.promotion.viewpromo']}}

          {{$productOrderCtrl.translations['antibody.pdp.commerceCard.promotion.promocode']}}: {{promo.promoCode}} {{promo.promoTitle}} {{promo.promoDescription}}. {{$productOrderCtrl.translations['antibody.pdp.commerceCard.promotion.learnmore']}}

          说明书
          证书
          实验方案
          问题与答案
          技术支持
          说明书
          证书
          实验方案
          问题与答案
          技术支持
          说明书
          证书
          实验方案
          问题与答案
          技术支持

          Cite PDI Recombinant Rabbit Monoclonal Antibody (4K17), CoraLite® Plus 750

          Additional Information:
          {{banner.description}}
          {{$ctrl.isSkuNotesCollapsed ? 'View more' : 'View less'}}
          • 抗体检测数据 (2)
          PDI Antibody in Western Blot (WB)
          Group 53 Created with Sketch.
          PDI Antibody in Western Blot (WB)
          Group 53 Created with Sketch.

          图: 1 / 2

          {{ $ctrl.currentElement.advancedVerification.fullName }}
          {{ $ctrl.currentElement.advancedVerification.text }}

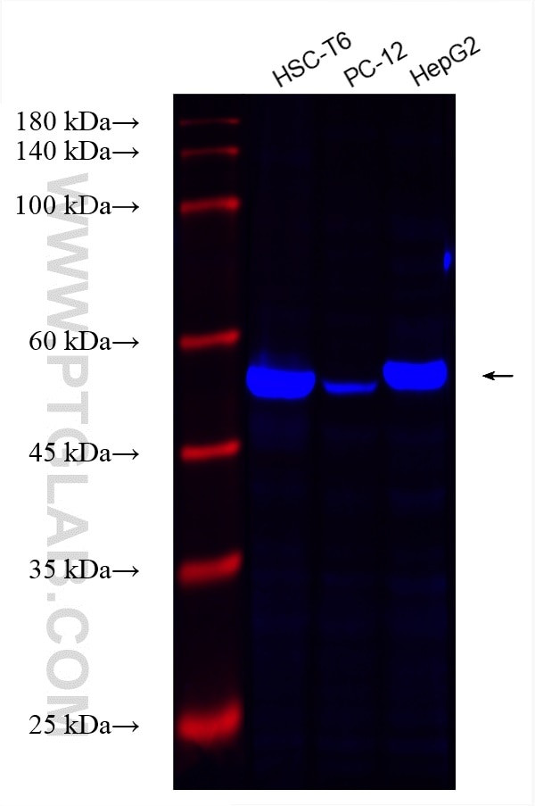
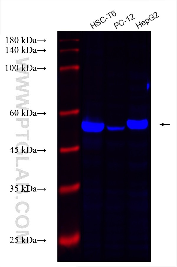
          PDI Antibody (CL750-80170) in WB

          Various lysates were subjected to SDS PAGE followed by western blot with CL750-80170 (PDI antibody) at dilution of 1:4,000 incubated at room temperature for 1.5 hours. {{ $ctrl.currentElement.advancedVerification.fullName }} 验证信息 View more
          已发表图片由___提供 benchsci-logo
          PMID: {{$ctrl.currentElement.benchSciPubmedId}}
          查看产品

          {{$ctrl.videoDesc}}

          {{$ctrl.videoLongDesc}}

          PDI Antibody in Western Blot (WB)
          PDI Antibody in Flow Cytometry (Flow)

          产品信息

          CL750-80170

          应用
          建议稀释比
          已发表文章

          免疫印迹 (WB)

          1:1,000-1:8,000
          -

          流式细胞分析 (Flow)

          0.40 µg/10^6 cells in a 100 µL suspension
          -
          产品规格

          种属反应

          Human, Mouse, Rat

          宿主/亚型

          Rabbit / IgG

          Expression System

          CHO cells

          分类

          Recombinant Monoclonal

          类型

          Antibody

          克隆号

          4K17

          抗原

          PDI fusion protein Ag1747

          偶联物

          CoraLite® Plus 750 CoraLite® Plus 750 CoraLite® Plus 750
          • Unconjugated
          • Request custom conjugation

          激发/发射光谱

          755/780 nm

          形式

          Liquid

          浓度

          1 mg/mL

          规格

          100 µg

          纯化类型

          Protein A

          保存液

          PBS, pH 7.3, with 50% glycerol, 0.5% BSA

          内含物

          0.05% ProClin 300

          保存条件

          -20°C, store in dark

          运输条件

          Wet ice

          产品详细信息

          Immunogen sequence: MTKYKPESE ELTAEWITEF CHRFLEGKIK PHLMSQELPE DWDKQPVKVL VGKNFEDVAF DEKKNVFVEF YAPWCGHCKQ LAPIWDKLGE TYKDHENIVI AKMDSTANEV EAVKVHSFPT LKFFPASADR TVIDYNGERT LDGFKKFLES GGQDGAGDDD DLEDLEEAEE PDMEEDDDQK AVKDEL

          靶标信息

          Protein disulfide isomerase (PDI) is a multifunctional protein that catalyzes the formation, breakage and rearrangement of disulfide bonds. At the cell surface, the protein seems to act as a reductase that cleaves disulfide bonds of proteins attached to the cell. It may therefore cause structural modifications of exofacial proteins. Inside the cell, PDI seems to form/rearrange disulfide bonds of nascent proteins. At high concentrations, it functions as a chaperone that inhibits aggregation of misfolded proteins. At low concentrations, it facilitates aggregation (anti-chaperone activity). PDI may be involved with other chaperones in the structural modification of the TG precursor in hormone biogenesis. It also acts a structural subunit of various enzymes such as prolyl 4-hydroxylase and microsomal triacylglycerol transfer protein MTTP. Receptor for LGALS9; the interaction retains P4HB at the cell surface of Th2 T helper cells, increasing disulfide reductase activity at the plasma membrane, altering the plasma membrane redox state and enhancing cell migration.

          仅用于科研。不用于诊断过程。未经明确授权不得转售。

          篇参考文献 (0)

          您是否在文献中引用过该产品?请点击下方按钮邮件告知我们。
          引用该产品

          生物信息学

          蛋白别名: CaO19.12595; Cellular thyroid hormone-binding protein; collagen prolyl 4-hydroxylase beta; Endoplasmic reticulum resident protein 59; Eps1p; ER protein 59; glutathione-insulin transhydrogenase; p55; PDI; PDI1P; procollagen-proline, 2-oxoglutarate 4-dioxygenase (proline 4-hydroxylase), beta polypeptide; Prolyl 4-hydroxylase subunit beta; prolyl 4-hydroxylase, beta polypeptide; protein disulfide isomerase; Protein disulfide isomerase (Prolyl 4-hydroxylase, beta polypeptide); protein disulfide isomerase family A, member 1; protein disulfide isomerase-associated 1; protein disulfide isomerase/oxidoreductase; Protein disulfide-isomerase; protocollagen hydroxylase; testicular secretory protein Li 32; thyroid hormone binding protein precursor; thyroid hormone-binding protein p55; unnamed protein product

          查看更多 收起

          基因别名: CLCRP1; DSI; ERBA2L; ERp59; GIT; P4HB; P4Hbeta; PDI; PDIA1; PDIR; PHDB; PO4DB; PO4HB; PROHB; Thbp

          查看更多 收起

          UniProt ID: (Human) P07237, (Rat) P04785, (Mouse) P09103

          查看更多 收起

          Entrez Gene ID: (Human) 5034, (Rat) 25506, (Mouse) 18453

          查看更多 收起

          功能
          RNA binding protein disulfide isomerase activity actin binding procollagen-proline 4-dioxygenase activity integrin binding protein binding protein disulfide oxidoreductase activity isomerase activity thiol oxidase activity enzyme binding macromolecular complex binding protein heterodimerization activity peptidyl-proline 4-dioxygenase activity poly(A) RNA binding chaperone
          参与通路
          protein folding ER to Golgi vesicle-mediated transport peptidyl-proline hydroxylation to 4-hydroxy-L-proline insulin processing protein folding in endoplasmic reticulum response to endoplasmic reticulum stress interleukin-12-mediated signaling pathway interleukin-23-mediated signaling pathway positive regulation of cell adhesion positive regulation of viral entry into host cell cellular response to hypoxia cellular response to interleukin-7 positive regulation of substrate adhesion-dependent cell spreading regulation of oxidative stress-induced intrinsic apoptotic signaling pathway positive regulation of T cell migration cell redox homeostasis
          It has to be done as per old AB suggested Products section.

          Disclaimer

          Close

          Clicking the images or links will redirect you to a website hosted by BenchSci that provides third-party scientific content. Neither the content nor the BenchSci technology and processes for selection have been evaluated by us; we are providing them as-is and without warranty of any kind, including for use or application of the Thermo Fisher Scientific products presented.

          guarantee_icon

          性能保障

          只要您发现Invitrogen抗体在实验中的表现与网站或说明书的所述内容不符,您即可享受免费退换货服务。*

          了解更多
          help_icon

          随时为您服务

          获取常见问题的专家解答,或者直接联系我们的技术专家,咨询应用、设备、常规产品使用问题。

          联系技术支持
          订购 Plus Icon Minus Icon
          • 订单状态查询
          • 订单支持
          • 货号直购
          • 现货供应中心
          • 电子采购
          支持 Plus Icon Minus Icon
          • 帮助&支持
          • 联系我们 - 400 820 8982
          • 技术支持中心
          • 查找文件&证书
          • 报告网站问题
          资源 Plus Icon Minus Icon
          • 学习中心
          • 促销
          • 活动&研讨会
          • 社交媒体
          关于赛默飞 Plus Icon Minus Icon
          • 关于我们
          • 招聘 招聘
          • 投资者关系 投资者关系
          • 新闻 新闻
          • 社会责任 社会责任
          • 商标
          • 政策和通知
          品牌 Plus Icon Minus Icon
          • Thermo Scientific
          • Applied Biosystems
          • Invitrogen
          • Gibco
          • Ion Torrent
          • Unity Lab Services
          • Patheon
          • PPD
          • 服务条款
          • 隐私政策
          • 定价和运输保险政策
          © 2006-2026 Thermo Fisher Scientific Inc. All rights reserved. All trademarks are the property of Thermo Fisher Scientific and its subsidiaries unless otherwise specified.
          China flag icon
          China
          本网站销售的所有产品均不得用于人类或动物之临床诊断或治疗,仅可用于工业或者科研等非医疗目的。
             电子营业执照 | 经营证照公示 | ICP备案号:沪ICP备11003924号 | 沪公网安备 31011502006935号

          Your items have has been added!


          Host server : magellan-search-green-6479c7f679-v472f:80/100.66.78.195:80.
          git-commit: b70c0dceb888abc3b0dcebb5bc3a5b8753e7e816
          git-url: https://github.com/thermofisher/magellan-search
          git-branch: release/2.50.0-Offline