Hamburger Menu Button
Thermo Fisher Scientific Logo
登录
没有账号?建立账号 注册
  • 产品
    • 抗体
    • 引物合成
    • GeneArt Gene Synthesis Instant Designer
    • TaqMan Assay and Array Search
    • PCR 设备和耗材
    • 色谱柱和纯化柱
    • 实验室离心机
    • 分子生物学试剂和试剂盒
    • 实验室塑料耗材及用品
    • 查看所有产品分类
  • 应用和技术
    • 色谱
    • 细胞转染和培养
    • 实时荧光定量PCR
    • 质谱
    • 实验室塑料耗材及用品
    • 电子显微镜
    • 蛋白质生物学
    • PCR
    • RNAi
    • 环境
    • 查看所有应用和技术
  • 服务
    • 定制服务
    • 企业级实验室信息化服务
    • 企业服务
    • 金融&租赁服务
    • 仪器服务
    • OEM和商业供应
    • 培训服务
    • 360° CDMO 和 CRO 服务
    • CDMO 服务
    • 临床试验 CRO 服务
    • 查看所有帮助和支持
  • 帮助和支持
    • 学习中心
    • 联系我们
    • 更改国家或地区
    • 查看所有帮助和支持
  • 热门产品
    • TaqMan Real-Time PCR Assays
      TaqMan 实时荧光定量 PCR 试剂盒
    • Antibodies
      抗体
    • Oligos, Primers & Probes
      寡核苷酸、引物、探针
    • GeneArt Gene Synthesis
      GeneArt 基因合成
    • Cell Culture Plastics
      细胞培养耗材
  • 联系我们
  • 货号直购
  • 订单查询
  • 查找文件&证书
Thermo Fisher Scientific Logo

Search

搜索全部或下列指定分类
Search button
          • 联系我们
          • 货号直购
          • 登录
            登录
            没有账号?建立账号 注册
            • 我的账号
            • 订单
            • 账单及发票查询
            • 定制产品及项目

          Disclaimer

          Clicking the images or links will redirect you to a website hosted by BenchSci that provides third-party scientific content. Neither the content nor the BenchSci technology and processes for selection have been evaluated by us; we are providing them as-is and without warranty of any kind, including for use or application of the Thermo Fisher Scientific products presented.

          • Primary Antibodies ›
          • PDK1 Antibodies

          Invitrogen

          PDK1 Recombinant Rabbit Monoclonal Antibody (JA67-30)

          高级验证
          1个已发表图片
          1 篇参考文献
          查看其他18个PDK1抗体

          {{$productOrderCtrl.translations['antibody.pdp.commerceCard.promotion.promotions']}}

          {{$productOrderCtrl.translations['antibody.pdp.commerceCard.promotion.viewpromo']}}

          {{$productOrderCtrl.translations['antibody.pdp.commerceCard.promotion.promocode']}}: {{promo.promoCode}} {{promo.promoTitle}} {{promo.promoDescription}}. {{$productOrderCtrl.translations['antibody.pdp.commerceCard.promotion.learnmore']}}

          说明书
          实验方案
          问题与答案
          技术支持
          说明书
          实验方案
          问题与答案
          技术支持
          说明书
          实验方案
          问题与答案
          技术支持

          Cite PDK1 Recombinant Rabbit Monoclonal Antibody (JA67-30)

          • 抗体检测数据 (8)
          • 已发表图片 (1)
          • 高级验证 (1)
          PDK1 Antibody in Immunocytochemistry (ICC/IF)
          Group 53 Created with Sketch.
          PDK1 Antibody in Immunocytochemistry (ICC/IF)
          Group 53 Created with Sketch.

          图: 1 / 10

          {{ $ctrl.currentElement.advancedVerification.fullName }}
          {{ $ctrl.currentElement.advancedVerification.text }}

          PDK1 Antibody (MA5-32702) in ICC/IF

          Immunofluorescence analysis of PDK1 was performed using 70% confluent log phase HeLa cells. The cells were fixed with 4% paraformaldehyde for 10 minutes, permeabilized with 0.1% Triton™ X-100 for 15 minutes, and blocked with 2% BSA for 1 hour at room temperature. The cells were labeled with PDK1 Recombinant Rabbit Monoclonal Antibody (Product # PA5-32702) at 1:100 in 0.1% BSA, incubated at 4 degree Celsius overnight and then labeled with Goat anti-Rabbit IgG (Heavy Chain) Superclonal™ Recombinant Secondary Antibody, Alexa Fluor® 488 conjug... View More {{ $ctrl.currentElement.advancedVerification.fullName }} 验证信息 View more
          已发表图片由___提供 benchsci-logo
          PMID: {{$ctrl.currentElement.benchSciPubmedId}}
          查看产品

          {{$ctrl.videoDesc}}

          {{$ctrl.videoLongDesc}}

          PDK1 Antibody in Immunocytochemistry (ICC/IF)
          PDK1 Antibody in Immunocytochemistry (ICC/IF)
          PDK1 Antibody in Immunocytochemistry (ICC/IF)
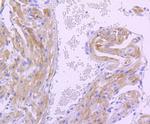
          PDK1 Antibody in Immunohistochemistry (Paraffin) (IHC (P))
          PDK1 Antibody in Immunohistochemistry (Paraffin) (IHC (P))
          PDK1 Antibody in Western Blot (WB)
          PDK1 Antibody in Western Blot (WB)
          PDK1 Antibody in Flow Cytometry (Flow)
          PDK1 Antibody in Immunohistochemistry (Paraffin) (IHC (P))
          PDK1 Antibody

          产品信息

          MA5-32702

          应用
          建议稀释比
          已发表文章

          免疫印迹 (WB)

          1:5000
          -

          免疫组化(石蜡) (IHC (P))

          1:2,000
          查看1篇已发表文章 1篇已发表文章

          免疫细胞化学 (ICC/IF)

          1:50-1:200
          -

          流式细胞分析 (Flow)

          1:50-1:100
          -
          产品规格

          种属反应

          Human, Mouse, Rat

          宿主/亚型

          Rabbit / IgG

          Expression System

          HEK293 cells

          分类

          Recombinant Monoclonal

          类型

          Antibody

          克隆号

          JA67-30

          抗原

          Synthetic peptide within Human PDK1 aa 16-65

          偶联物

          Unconjugated Unconjugated Unconjugated

          形式

          Liquid

          浓度

          1 mg/mL

          纯化类型

          Protein A

          保存液

          TBS, pH 7.4, with 40% Glycerol, 0.05% BSA

          内含物

          0.05% sodium azide

          保存条件

          Store at 4°C short term. For long term storage, store at -20°C, avoiding freeze/thaw cycles.

          运输条件

          Ambient (domestic); Wet ice (international)

          RRID

          AB_2809979

          产品详细信息

          Recombinant rabbit monoclonal antibodies are produced using in vitro expression systems. The expression systems are developed by cloning in the specific antibody DNA sequences from immunoreactive rabbits. Then, individual clones are screened to select the best candidates for production. The advantages of using recombinant rabbit monoclonal antibodies include: better specificity and sensitivity, lot-to-lot consistency, animal origin-free formulations, and broader immunoreactivity to diverse targets due to larger rabbit immune repertoire.

          靶标信息

          PDK1 (3-phosphoinositide dependent kinase-1) is a serine/threonine protein kinase localized to the plasma membrane. It plays a vital role in insulin-induced glycogen synthesis, PKC activation, and activation of the AGC subfamily of protein kinases. Plays an important role in cellular responses to hypoxia and is important for cell proliferation under hypoxia. Protects cells against apoptosis in response to hypoxia and oxidative stress.

          仅用于科研。不用于诊断过程。未经明确授权不得转售。

          生物信息学

          蛋白别名: 3-phosphoinositide dependent protein kinase-1; 3-phosphoinositide-dependent protein kinase 1; 3-phosphoinositide-dependent protein kinase 2 pseudogene; [Pyruvate dehydrogenase (acetyl-transferring)] kinase isozyme 1, mitochondrial; [Pyruvate dehydrogenase [lipoamide]] kinase isozyme 1, mitochondrial; hPDK1; isoenzyme 1; kinase isoenzyme 1; lipoamide; PDH kinase 1; PDK p48; PkB kinase like gene 1; pyruvate dehydrogenase; pyruvate dehydrogenase kinase 1; Pyruvate dehydrogenase kinase isoform 1; pyruvate dehydrogenase kinase, isoenzyme 1; pyruvate dehydrogenase kinase, isozyme 1

          查看更多 收起

          基因别名: B830012B01; D530020C15Rik; PDK1; PDPK1; PDPK2; PDPK2P; PRO0461

          查看更多 收起

          UniProt ID: (Human) O15530, (Mouse) Q8BFP9

          查看更多 收起

          Entrez Gene ID: (Human) 5170, (Rat) 116551, (Mouse) 228026

          查看更多 收起

          功能
          protein serine/threonine kinase activity 3-phosphoinositide-dependent protein kinase activity insulin receptor binding protein binding ATP binding phospholipase activator activity kinase activity protein kinase binding phospholipase binding protein kinase activity pyruvate dehydrogenase (acetyl-transferring) kinase activity protein complex binding protein homodimerization activity protein heterodimerization activity nucleotide binding transferase activity non-receptor serine/threonine protein kinase
          参与通路
          stimulatory C-type lectin receptor signaling pathway type B pancreatic cell development transcription, DNA-templated regulation of transcription, DNA-templated protein phosphorylation negative regulation of protein kinase activity hyperosmotic response epidermal growth factor receptor signaling pathway positive regulation of phospholipase activity regulation of endothelial cell migration negative regulation of cardiac muscle cell apoptotic process cell migration peptidyl-serine phosphorylation peptidyl-threonine phosphorylation calcium-mediated signaling actin cytoskeleton organization platelet activation negative regulation of transforming growth factor beta receptor signaling pathway T cell costimulation activation of protein kinase B activity cellular response to insulin stimulus negative regulation of toll-like receptor signaling pathway intracellular signal transduction Fc-epsilon receptor signaling pathway regulation of I-kappaB kinase/NF-kappaB signaling regulation of mast cell degranulation protein autophosphorylation phosphatidylinositol-mediated signaling focal adhesion assembly T cell receptor signaling pathway positive regulation of release of sequestered calcium ion into cytosol cellular response to epidermal growth factor stimulus positive regulation of establishment of protein localization to plasma membrane extrinsic apoptotic signaling pathway glucose metabolic process cell surface receptor signaling pathway cell proliferation intrinsic apoptotic signaling pathway in response to oxidative stress regulation of acetyl-CoA biosynthetic process from pyruvate regulation of glucose metabolic process hypoxia-inducible factor-1alpha signaling pathway carbohydrate metabolic process phosphorylation mitophagy in response to mitochondrial depolarization
          It has to be done as per old AB suggested Products section.
          guarantee_icon

          性能保障

          只要您发现Invitrogen抗体在实验中的表现与网站或说明书的所述内容不符,您即可享受免费退换货服务。*

          了解更多
          help_icon

          随时为您服务

          获取常见问题的专家解答,或者直接联系我们的技术专家,咨询应用、设备、常规产品使用问题。

          联系技术支持
          订购 Plus Icon Minus Icon
          • 订单状态查询
          • 订单支持
          • 货号直购
          • 现货供应中心
          • 电子采购
          支持 Plus Icon Minus Icon
          • 帮助&支持
          • 联系我们 - 400 820 8982
          • 技术支持中心
          • 查找文件&证书
          • 报告网站问题
          资源 Plus Icon Minus Icon
          • 学习中心
          • 促销
          • 活动&研讨会
          • 社交媒体
          关于赛默飞 Plus Icon Minus Icon
          • 关于我们
          • 招聘 招聘
          • 投资者关系 投资者关系
          • 新闻 新闻
          • 社会责任 社会责任
          • 商标
          • 政策和通知
          品牌 Plus Icon Minus Icon
          • Thermo Scientific
          • Applied Biosystems
          • Invitrogen
          • Gibco
          • Ion Torrent
          • Patheon
          • PPD
          • 服务条款
          • 隐私政策
          • 定价和运输保险政策
          © 2006-2025 Thermo Fisher Scientific Inc. All rights reserved. All trademarks are the property of Thermo Fisher Scientific and its subsidiaries unless otherwise specified.
          China flag icon
          China
          本网站销售的所有产品均不得用于人类或动物之临床诊断或治疗,仅可用于工业或者科研等非医疗目的。
             电子营业执照 | 经营证照公示 | ICP备案号:沪ICP备11003924号 | 沪公网安备 31011502006935号

          Your items have has been added!


          Host server : magellan-search-green-55658555d6-pnd5g:80/100.66.79.83:80.
          git-commit: ec8e7df5f8fec8d765bd419205f1b5046a016d37
          git-url: https://github.com/thermofisher/magellan-search
          git-branch: release/2.41.0-Offline