Hamburger Menu Button
Thermo Fisher Scientific Logo
登录
没有账号?建立账号 注册
  • 产品
    • 抗体
    • 引物合成
    • GeneArt Gene Synthesis Instant Designer
    • TaqMan Assay and Array Search
    • PCR 设备和耗材
    • 色谱柱和纯化柱
    • 实验室离心机
    • 分子生物学试剂和试剂盒
    • 实验室塑料耗材及用品
    • 查看所有产品分类
  • 应用和技术
    • 色谱
    • 细胞转染和培养
    • 实时荧光定量PCR
    • 质谱
    • 实验室塑料耗材及用品
    • 电子显微镜
    • 蛋白质生物学
    • PCR
    • RNAi
    • 环境
    • 查看所有应用和技术
  • 服务
    • 定制服务
    • 企业级实验室信息化服务
    • 金融&租赁服务
    • 仪器服务
    • OEM和商业供应
    • 培训服务
    • 360° CDMO 和 CRO 服务
    • CDMO 服务
    • 临床试验 CRO 服务
    • Unity Lab Services
    • 查看所有帮助和支持
  • 帮助和支持
    • 学习中心
    • 联系我们
    • 更改国家或地区
    • 查看所有帮助和支持
  • 热门产品
    • TaqMan Real-Time PCR Assays
      TaqMan 实时荧光定量 PCR 试剂盒
    • Antibodies
      抗体
    • Oligos, Primers & Probes
      寡核苷酸、引物、探针
    • GeneArt Gene Synthesis
      GeneArt 基因合成
    • Cell Culture Plastics
      细胞培养耗材
  • Who We Serve
    • 抗体治疗解决方案
    • 细胞与基因治疗解决方案
    • 学术科研
    • 工业与应用
  • 联系我们
  • 货号直购
  • 订单查询
  • 查找文件&证书
Thermo Fisher Scientific Logo

Search

搜索全部或下列指定分类
Search button
          • 联系我们
          • 货号直购
          • 登录
            登录
            没有账号?建立账号 注册
            • 我的账号
            • 订单
            • 会员中心
            • 账单及发票查询
            • 定制产品及项目
          • Primary Antibodies ›
          • PER2 Antibodies

          Invitrogen

          PER2 Polyclonal Antibody

          1个已发表图片
          1 篇参考文献
          查看其他15个PER2抗体

          {{$productOrderCtrl.translations['antibody.pdp.commerceCard.promotion.promotions']}}

          {{$productOrderCtrl.translations['antibody.pdp.commerceCard.promotion.viewpromo']}}

          {{$productOrderCtrl.translations['antibody.pdp.commerceCard.promotion.promocode']}}: {{promo.promoCode}} {{promo.promoTitle}} {{promo.promoDescription}}. {{$productOrderCtrl.translations['antibody.pdp.commerceCard.promotion.learnmore']}}

          说明书
          证书
          实验方案
          问题与答案
          技术支持
          说明书
          证书
          实验方案
          问题与答案
          技术支持
          说明书
          证书
          实验方案
          问题与答案
          技术支持

          Cite PER2 Polyclonal Antibody

          Additional Information:
          {{banner.description}}
          {{$ctrl.isSkuNotesCollapsed ? 'View more' : 'View less'}}
          • 抗体检测数据 (6)
          • 已发表图片 (1)
          PER2 Antibody in Immunohistochemistry (Paraffin) (IHC (P))
          Group 53 Created with Sketch.
          PER2 Antibody in Immunohistochemistry (Paraffin) (IHC (P))
          Group 53 Created with Sketch.

          图: 1 / 7

          {{ $ctrl.currentElement.advancedVerification.fullName }}
          {{ $ctrl.currentElement.advancedVerification.text }}

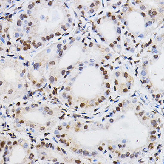
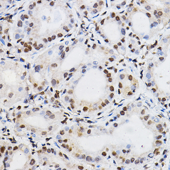
          PER2 Antibody (PA5-89045) in IHC (P)

          Immunohistochemistry analysis of PER2 in paraffin-embedded human thyroid cancer. Samples were incubated with PER2 Polyclonal antibody (Product # PA5-89045) using a dilution of 1:100 (40x lens). Perform high pressure antigen retrieval with 10 mM citrate buffer pH 6.0 before commencing with IHC staining protocol. {{ $ctrl.currentElement.advancedVerification.fullName }} 验证信息 View more
          已发表图片由___提供 benchsci-logo
          PMID: {{$ctrl.currentElement.benchSciPubmedId}}
          查看产品

          {{$ctrl.videoDesc}}

          {{$ctrl.videoLongDesc}}

          PER2 Antibody in Immunohistochemistry (Paraffin) (IHC (P))
          PER2 Antibody in Immunohistochemistry (Paraffin) (IHC (P))
          PER2 Antibody in Immunohistochemistry (Paraffin) (IHC (P))
          PER2 Antibody in Western Blot (WB)
          PER2 Antibody in Western Blot (WB)
          PER2 Antibody in ChIP Assay (ChIP)
          PER2 Antibody in Western Blot (WB)

          产品信息

          PA5-89045

          应用
          建议稀释比
          已发表文章

          免疫印迹 (WB)

          1:500-1:1,000
          查看1篇已发表文章 1篇已发表文章

          免疫组化(石蜡) (IHC (P))

          1:50-1:200
          -

          酶联免疫吸附实验 (ELISA)

          1 µg/mL
          -

          染色质免疫沉淀 实验 (ChIP)

          5 µg antibody for 10 µg-15 µg of Chromatin
          -
          产品规格

          种属反应

          Human, Mouse, Rat

          已发表种属

          Mouse

          宿主/亚型

          Rabbit / IgG

          分类

          Polyclonal

          类型

          Antibody

          抗原

          Recombinant protein (or fragment)

          偶联物

          Unconjugated Unconjugated Unconjugated

          形式

          Liquid

          浓度

          1.52 mg/mL

          规格

          152 µg

          纯化类型

          Affinity Chromatography

          保存液

          PBS, pH 7.3, with 50% glycerol

          内含物

          0.09% sodium azide

          保存条件

          -20°C, Avoid Freeze/Thaw Cycles

          运输条件

          Ambient (domestic); Wet ice (international)

          RRID

          AB_2805317

          产品详细信息

          Positive Samples: Mouse liver; Cellular Location: Cytoplasm, Nucleus, nucleolus, perinuclear region

          靶标信息

          PER2, also known as Period circadian protein homolog 2, is a mainly nuclear protein that shows nucleocytoplasmic shuttling which is effected by interaction with other circadian core oscillator proteins and/or by phosphorylation. PER2 belongs to the basic helix-loop-helix family of transcription factors and contains a PAC (PAS-associated C-terminal) domain and two PAS (PER-ARNT-SIM) domains. PER2 is a component of the circadian core oscillator, which includes the CRY proteins, CLOCK or NPAS2, BMAL1 or BMAL2, CSNK1D and/or CSNK1E, TIMELESS, and the PER proteins. This protein is thus essential for generating circadian rhythms and is a negative element in the circadian transcriptional loop which influences clock function by interacting with other circadian regulatory proteins and transporting them to the nucleus. Expression of PER2 is fairly wide spread with strong expression in skeletal muscle and pancreas and slight expression in lung. Defects in PER2 are a cause of familial advanced sleep-phase syndrome (FASPS).

          仅用于科研。不用于诊断过程。未经明确授权不得转售。

          生物信息学

          蛋白别名: Circadian clock protein PERIOD 2; hPER2; mPER2; per2 {ECO:0000312|RGD:61945}; period 2; period circadian clock 2; period circadian protein 2; Period circadian protein homolog 2; period homolog 2; rPER2; unnamed protein product

          查看更多 收起

          基因别名: FASPS; FASPS1; KIAA0347; mKIAA0347; mPer2; PER2; rPER2

          查看更多 收起

          UniProt ID: (Human) O15055, (Mouse) O54943, (Rat) Q9Z301

          查看更多 收起

          Entrez Gene ID: (Human) 8864, (Mouse) 18627, (Rat) 63840

          查看更多 收起

          功能
          transcription regulatory region sequence-specific DNA binding transcription corepressor binding transcription coactivator activity protein binding transcription factor activity, transcription factor binding core promoter binding signal transducer activity kinase binding nuclear hormone receptor binding pre-mRNA binding histone deacetylase binding ubiquitin binding RNA polymerase binding histone methyltransferase binding transcription cofactor gene-specific transcriptional regulator
          参与通路
          negative regulation of transcription from RNA polymerase II promoter response to ischemia neural retina development glycogen biosynthetic process gluconeogenesis chromatin remodeling fatty acid metabolic process circadian rhythm regulation of vasoconstriction lactate biosynthetic process negative regulation of protein ubiquitination circadian regulation of gene expression regulation of circadian rhythm negative regulation of circadian rhythm entrainment of circadian clock by photoperiod negative regulation of transcription, DNA-templated positive regulation of transcription, DNA-templated rhythmic process regulation of neurogenesis regulation of insulin secretion white fat cell differentiation regulation of cell cycle regulation of glutamate uptake involved in transmission of nerve impulse negative regulation of fat cell proliferation positive regulation of cold-induced thermogenesis transcription, DNA-templated signal transduction negative regulation of DNA-templated transcription, termination histone H3 deacetylation circadian regulation of translation negative regulation of transcription regulatory region DNA binding
          It has to be done as per old AB suggested Products section.

          Disclaimer

          Close

          Clicking the images or links will redirect you to a website hosted by BenchSci that provides third-party scientific content. Neither the content nor the BenchSci technology and processes for selection have been evaluated by us; we are providing them as-is and without warranty of any kind, including for use or application of the Thermo Fisher Scientific products presented.

          guarantee_icon

          性能保障

          只要您发现Invitrogen抗体在实验中的表现与网站或说明书的所述内容不符,您即可享受免费退换货服务。*

          了解更多
          help_icon

          随时为您服务

          获取常见问题的专家解答,或者直接联系我们的技术专家,咨询应用、设备、常规产品使用问题。

          联系技术支持
          订购 Plus Icon Minus Icon
          • 订单状态查询
          • 订单支持
          • 货号直购
          • 现货供应中心
          • 电子采购
          支持 Plus Icon Minus Icon
          • 帮助&支持
          • 联系我们 - 400 820 8982
          • 技术支持中心
          • 查找文件&证书
          • 报告网站问题
          资源 Plus Icon Minus Icon
          • 学习中心
          • 促销
          • 活动&研讨会
          • 社交媒体
          关于赛默飞 Plus Icon Minus Icon
          • 关于我们
          • 招聘 招聘
          • 投资者关系 投资者关系
          • 新闻 新闻
          • 社会责任 社会责任
          • 商标
          • 政策和通知
          品牌 Plus Icon Minus Icon
          • Thermo Scientific
          • Applied Biosystems
          • Invitrogen
          • Gibco
          • Ion Torrent
          • Unity Lab Services
          • Patheon
          • PPD
          • 服务条款
          • 隐私政策
          • 定价和运输保险政策
          © 2006-2026 Thermo Fisher Scientific Inc. All rights reserved. All trademarks are the property of Thermo Fisher Scientific and its subsidiaries unless otherwise specified.
          China flag icon
          China
          本网站销售的所有产品均不得用于人类或动物之临床诊断或治疗,仅可用于工业或者科研等非医疗目的。
             电子营业执照 | 经营证照公示 | ICP备案号:沪ICP备11003924号 | 沪公网安备 31011502006935号

          Your items have has been added!


          Host server : magellan-search-green-6479c7f679-74pjh:80/100.66.78.195:80.
          git-commit: b70c0dceb888abc3b0dcebb5bc3a5b8753e7e816
          git-url: https://github.com/thermofisher/magellan-search
          git-branch: release/2.50.0-Offline