Hamburger Menu Button
Thermo Fisher Scientific Logo
登录
没有账号?建立账号 注册
  • 产品
    • 抗体
    • 引物合成
    • GeneArt Gene Synthesis Instant Designer
    • TaqMan Assay and Array Search
    • PCR 设备和耗材
    • 色谱柱和纯化柱
    • 实验室离心机
    • 分子生物学试剂和试剂盒
    • 实验室塑料耗材及用品
    • 查看所有产品分类
  • 应用和技术
    • 色谱
    • 细胞转染和培养
    • 实时荧光定量PCR
    • 质谱
    • 实验室塑料耗材及用品
    • 电子显微镜
    • 蛋白质生物学
    • PCR
    • RNAi
    • 环境
    • 查看所有应用和技术
  • 服务
    • 定制服务
    • 企业级实验室信息化服务
    • 企业服务
    • 金融&租赁服务
    • 仪器服务
    • OEM和商业供应
    • 培训服务
    • 360° CDMO 和 CRO 服务
    • CDMO 服务
    • 临床试验 CRO 服务
    • 查看所有帮助和支持
  • 帮助和支持
    • 学习中心
    • 联系我们
    • 更改国家或地区
    • 查看所有帮助和支持
  • 热门产品
    • TaqMan Real-Time PCR Assays
      TaqMan 实时荧光定量 PCR 试剂盒
    • Antibodies
      抗体
    • Oligos, Primers & Probes
      寡核苷酸、引物、探针
    • GeneArt Gene Synthesis
      GeneArt 基因合成
    • Cell Culture Plastics
      细胞培养耗材
  • 联系我们
  • 货号直购
  • 订单查询
  • 查找文件&证书
Thermo Fisher Scientific Logo

Search

搜索全部或下列指定分类
Search button
          • 联系我们
          • 货号直购
          • 登录
            登录
            没有账号?建立账号 注册
            • 我的账号
            • 订单
            • 账单及发票查询
            • 定制产品及项目

          Disclaimer

          Clicking the images or links will redirect you to a website hosted by BenchSci that provides third-party scientific content. Neither the content nor the BenchSci technology and processes for selection have been evaluated by us; we are providing them as-is and without warranty of any kind, including for use or application of the Thermo Fisher Scientific products presented.

          • Primary Antibodies ›
          • PGC1 alpha/beta Antibodies

          Invitrogen

          PGC1 alpha/beta Recombinant Rabbit Monoclonal Antibody (JF09-71)

          高级验证
          查看其他2个PGC1 alpha/beta抗体

          {{$productOrderCtrl.translations['antibody.pdp.commerceCard.promotion.promotions']}}

          {{$productOrderCtrl.translations['antibody.pdp.commerceCard.promotion.viewpromo']}}

          {{$productOrderCtrl.translations['antibody.pdp.commerceCard.promotion.promocode']}}: {{promo.promoCode}} {{promo.promoTitle}} {{promo.promoDescription}}. {{$productOrderCtrl.translations['antibody.pdp.commerceCard.promotion.learnmore']}}

          说明书
          证书
          实验方案
          问题与答案
          技术支持
          说明书
          证书
          实验方案
          问题与答案
          技术支持
          说明书
          证书
          实验方案
          问题与答案
          技术支持

          Cite PGC1 alpha/beta Recombinant Rabbit Monoclonal Antibody (JF09-71)

          Additional Information:
          {{banner.description}}
          {{$ctrl.isSkuNotesCollapsed ? 'View more' : 'View less'}}
          • 抗体检测数据 (2)
          • 高级验证 (1)
          PGC1 alpha/beta Antibody in Western Blot (WB)
          Group 53 Created with Sketch.
          PGC1 alpha/beta Antibody in Western Blot (WB)
          Group 53 Created with Sketch.

          图: 1 / 3

          {{ $ctrl.currentElement.advancedVerification.fullName }}
          {{ $ctrl.currentElement.advancedVerification.text }}

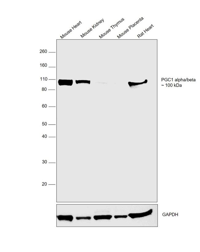
          PGC1 alpha/beta Antibody (MA5-32563) in WB

          Western Blot was performed using Anti-PGC1 alpha/beta Recombinant Rabbit Monoclonal Antibody (JF09-71) (Product # MA5-32563) and a 90 kDa band corresponding to Peroxisome proliferator-activated receptor gamma coactivator 1-alpha was observed across tissues. Tissue extracts (40 µg lysate) of Mouse Heart (Lane 1), Mouse Kidney (Lane 2), Mouse Thymus (Lane 3), Mouse Placenta (Lane 4), Rat Heart (Lane 5) were electrophoresed using NuPAGE™ 4-12% Bis-Tris Protein Gel (Product # NP0321BOX). Resolved proteins were then transferred onto a nitrocell... View More {{ $ctrl.currentElement.advancedVerification.fullName }} 验证信息 View more
          已发表图片由___提供 benchsci-logo
          PMID: {{$ctrl.currentElement.benchSciPubmedId}}
          查看产品

          {{$ctrl.videoDesc}}

          {{$ctrl.videoLongDesc}}

          PGC1 alpha/beta Antibody in Western Blot (WB)
          PGC1 alpha/beta Antibody in Western Blot (WB)
          PGC1 alpha/beta Antibody
          PGC1 alpha/beta Recombinant Rabbit Monoclonal Antibody (JF09-71)

          产品信息

          MA5-32563

          应用
          建议稀释比
          已发表文章

          免疫印迹 (WB)

          1:500-1:2000
          -
          产品规格

          种属反应

          Human, Mouse, Rat

          宿主/亚型

          Rabbit / IgG

          Expression System

          HEK293 cells

          分类

          Recombinant Monoclonal

          类型

          Antibody

          克隆号

          JF09-71

          抗原

          Synthetic peptide within human pgc1 alpha aa 755-798 and aa 269-323.
          查看免疫原

          偶联物

          Unconjugated Unconjugated Unconjugated

          形式

          Liquid

          浓度

          1 mg/mL

          纯化类型

          Protein A

          保存液

          TBS, pH 7.4, with 40% Glycerol, 0.05% BSA

          内含物

          0.05% sodium azide

          保存条件

          Store at 4°C short term. For long term storage, store at -20°C, avoiding freeze/thaw cycles.

          运输条件

          Ambient (domestic); Wet ice (international)

          RRID

          AB_2809840

          产品详细信息

          Recombinant rabbit monoclonal antibodies are produced using in vitro expression systems. The expression systems are developed by cloning in the specific antibody DNA sequences from immunoreactive rabbits. Then, individual clones are screened to select the best candidates for production. The advantages of using recombinant rabbit monoclonal antibodies include: better specificity and sensitivity, lot-to-lot consistency, animal origin-free formulations, and broader immunoreactivity to diverse targets due to larger rabbit immune repertoire.

          靶标信息

          PGC-1 beta is a tissue specific co-activator that enhances the activity of estrogen receptor alpha. The co-activation function relies on a bipartite transcriptional activation domain and two LXXLL motifs that interact with the AR2 domain of ER-alpha in an estrogen-dependent manner. Ectopic expression of this protein has been shown to lead to increased mitochondrial number and basal oxygen consumption.

          仅用于科研。不用于诊断过程。未经明确授权不得转售。

          篇参考文献 (0)

          您是否在文献中引用过该产品?请点击下方按钮邮件告知我们。
          引用该产品

          生物信息学

          蛋白别名: ERR ligand 1; L-PGC-1alpha; Ligand effect modulator 6; ligand effect modulator-6; peroxisome proliferative activated receptor gamma coactivator 1; peroxisome proliferative activated receptor, gamma, coactivator 1 alpha; peroxisome proliferative activated receptor, gamma, coactivator 1 beta; peroxisome proliferator-activated receptor gamma coactivator 1 alpha transcript variant B4; peroxisome proliferator-activated receptor gamma coactivator 1 alpha transcript variant B4-3ext; peroxisome proliferator-activated receptor gamma coactivator 1 alpha transcript variant B4-8a; peroxisome proliferator-activated receptor gamma coactivator 1 alpha transcript variant B5; peroxisome proliferator-activated receptor gamma coactivator 1 alpha transcript variant B5-NT; peroxisome proliferator-activated receptor gamma coactivator 1 beta; Peroxisome proliferator-activated receptor gamma coactivator 1-alpha; Peroxisome proliferator-activated receptor gamma coactivator 1-beta; peroxisome proliferator-activated receptor gamma coactivator 1beta-2a; peroxisome proliferator-activated receptor gamma coactivator-1 alpha; peroxisome proliferator-activated receptor gamma, coactivator 1 alpha; peroxisome proliferator-activated receptor gamma, coactivator 1 beta; pgc-1 alpha; pgc-1 beta; PGC-1-alpha; PGC-1-beta; PGC-1-related estrogen receptor alpha coactivator; PGC-1alpha; Pgc-1alphaa; PGC-1beta; PGC-1beta/ERRL1; PPAR gamma coactivator variant form; PPAR Gamma Coactivator-1; PPAR gamma coactivator-1beta protein; PPAR-gamma coactivator 1-alpha; PPAR-gamma coactivator 1-beta; PPARgamma coactivator 1 beta; PPARgamma coactivator 1alpha; PPARGC-1-alpha; PPARGC-1-beta

          查看更多 收起

          基因别名: 4631412G21Rik; A830037N07Rik; ENSMUSG00000079510; ERRL1; Gm11133; LEM6; PERC; PGC-1; PGC-1(alpha); PGC-1(beta); PGC-1alpha; PGC-1v; PGC1; PGC1A; PGC1B; PGC1beta; Pgco1; PPARGC1; PPARGC1A; PPARGC1B

          查看更多 收起

          UniProt ID: (Human) Q9UBK2, (Human) Q86YN6, (Mouse) O70343, (Rat) Q9QYK2, (Rat) Q811R2, (Mouse) Q8VHJ7

          查看更多 收起

          Entrez Gene ID: (Human) 10891, (Human) 133522, (Mouse) 19017, (Rat) 83516, (Rat) 291567, (Mouse) 170826

          查看更多 收起

          功能
          nucleotide binding RNA polymerase II transcription cofactor activity DNA binding transcription coactivator activity RNA binding protein binding transcription factor binding ligand-dependent nuclear receptor binding estrogen receptor binding ligand-dependent nuclear receptor transcription coactivator activity chromatin DNA binding ubiquitin protein ligase binding peroxisome proliferator activated receptor binding alpha-tubulin binding sequence-specific DNA binding androgen receptor binding promoter-specific chromatin binding receptor activator activity AF-2 domain binding nucleic acid binding chromatin binding molecular_function transcription cofactor
          参与通路
          response to reactive oxygen species mitophagy temperature homeostasis cellular glucose homeostasis negative regulation of protein phosphorylation response to dietary excess response to ischemia galactose metabolic process gluconeogenesis regulation of transcription, DNA-templated transcription initiation from RNA polymerase II promoter mRNA processing protein complex assembly mitochondrion organization positive regulation of transcription from RNA polymerase II promoter by pheromones aging digestion circadian rhythm androgen metabolic process RNA splicing response to cold positive regulation of mitochondrion organization skeletal muscle atrophy response to muscle activity response to electrical stimulus involved in regulation of muscle adaptation negative regulation of smooth muscle cell migration fatty acid oxidation cerebellum development respiratory electron transport chain androgen receptor signaling pathway forebrain development circadian regulation of gene expression cellular response to oxidative stress positive regulation of histone acetylation cellular response to potassium ion response to statin response to drug response to starvation regulation of circadian rhythm response to leucine negative regulation of neuron apoptotic process cellular respiration positive regulation of gluconeogenesis negative regulation of glycolytic process positive regulation of transcription, DNA-templated positive regulation of transcription from RNA polymerase II promoter positive regulation of fatty acid oxidation positive regulation of smooth muscle cell proliferation negative regulation of smooth muscle cell proliferation protein stabilization brown fat cell differentiation positive regulation of sequence-specific DNA binding transcription factor activity flavone metabolic process adipose tissue development cellular response to lipopolysaccharide cellular response to nitrite cellular response to caffeine cellular response to fructose stimulus cellular response to glucose stimulus cellular response to interleukin-6 cellular response to tumor necrosis factor cellular response to follicle-stimulating hormone stimulus cellular response to estradiol stimulus cellular response to hypoxia cellular response to transforming growth factor beta stimulus response to epinephrine response to norepinephrine negative regulation of mitochondrial fission cellular response to thyroid hormone stimulus negative regulation of neuron death response to metformin positive regulation of cellular respiration positive regulation of mitochondrial DNA metabolic process positive regulation of muscle tissue development positive regulation of glomerular visceral epithelial cell apoptotic process cellular response to ionomycin cellular response to resveratrol response to methionine adaptive thermogenesis positive regulation of progesterone biosynthetic process negative regulation of receptor activity regulation of N-methyl-D-aspartate selective glutamate receptor activity positive regulation of energy homeostasis positive regulation of ATP biosynthetic process ossification transcription from mitochondrial promoter actin filament organization positive regulation of alkaline phosphatase activity intracellular estrogen receptor signaling pathway cellular response to reactive oxygen species positive regulation of phosphorylation positive regulation of osteoclast differentiation positive regulation of bone resorption negative regulation of transcription, DNA-templated response to glucocorticoid response to cAMP bone trabecula formation positive regulation of receptor activity transcription, DNA-templated regulation of transcription from RNA polymerase II promoter transcription from RNA polymerase II promoter positive regulation of cellular metabolic process rhythmic process response to hypoxia response to organic cyclic compound response to activity response to nutrient levels cellular response to fatty acid
          It has to be done as per old AB suggested Products section.
          guarantee_icon

          性能保障

          只要您发现Invitrogen抗体在实验中的表现与网站或说明书的所述内容不符,您即可享受免费退换货服务。*

          了解更多
          help_icon

          随时为您服务

          获取常见问题的专家解答,或者直接联系我们的技术专家,咨询应用、设备、常规产品使用问题。

          联系技术支持
          订购 Plus Icon Minus Icon
          • 订单状态查询
          • 订单支持
          • 货号直购
          • 现货供应中心
          • 电子采购
          支持 Plus Icon Minus Icon
          • 帮助&支持
          • 联系我们 - 400 820 8982
          • 技术支持中心
          • 查找文件&证书
          • 报告网站问题
          资源 Plus Icon Minus Icon
          • 学习中心
          • 促销
          • 活动&研讨会
          • 社交媒体
          关于赛默飞 Plus Icon Minus Icon
          • 关于我们
          • 招聘 招聘
          • 投资者关系 投资者关系
          • 新闻 新闻
          • 社会责任 社会责任
          • 商标
          • 政策和通知
          品牌 Plus Icon Minus Icon
          • Thermo Scientific
          • Applied Biosystems
          • Invitrogen
          • Gibco
          • Ion Torrent
          • Patheon
          • PPD
          • 服务条款
          • 隐私政策
          • 定价和运输保险政策
          © 2006-2026 Thermo Fisher Scientific Inc. All rights reserved. All trademarks are the property of Thermo Fisher Scientific and its subsidiaries unless otherwise specified.
          China flag icon
          China
          本网站销售的所有产品均不得用于人类或动物之临床诊断或治疗,仅可用于工业或者科研等非医疗目的。
             电子营业执照 | 经营证照公示 | ICP备案号:沪ICP备11003924号 | 沪公网安备 31011502006935号

          Your items have has been added!


          Host server : magellan-search-blue-55ff9ddd88-qvstf:80/100.66.73.196:80.
          git-commit: d366ff9721d93504b2ac26a183b2b3e3d0e7d9ec
          git-url: https://github.com/thermofisher/magellan-search
          git-branch: release/2.42.0-2026.01.03-1.0