Hamburger Menu Button
Thermo Fisher Scientific Logo
登录
没有账号?建立账号 注册
  • 产品
    • 抗体
    • 引物合成
    • GeneArt Gene Synthesis Instant Designer
    • TaqMan Assay and Array Search
    • PCR 设备和耗材
    • 色谱柱和纯化柱
    • 实验室离心机
    • 分子生物学试剂和试剂盒
    • 实验室塑料耗材及用品
    • 查看所有产品分类
  • 应用和技术
    • 色谱
    • 细胞转染和培养
    • 实时荧光定量PCR
    • 质谱
    • 实验室塑料耗材及用品
    • 电子显微镜
    • 蛋白质生物学
    • PCR
    • RNAi
    • 环境
    • 查看所有应用和技术
  • 服务
    • 定制服务
    • 企业级实验室信息化服务
    • 金融&租赁服务
    • 仪器服务
    • OEM和商业供应
    • 培训服务
    • 360° CDMO 和 CRO 服务
    • CDMO 服务
    • 临床试验 CRO 服务
    • Unity Lab Services
    • 查看所有帮助和支持
  • 帮助和支持
    • 学习中心
    • 联系我们
    • 更改国家或地区
    • 查看所有帮助和支持
  • 热门产品
    • TaqMan Real-Time PCR Assays
      TaqMan 实时荧光定量 PCR 试剂盒
    • Antibodies
      抗体
    • Oligos, Primers & Probes
      寡核苷酸、引物、探针
    • GeneArt Gene Synthesis
      GeneArt 基因合成
    • Cell Culture Plastics
      细胞培养耗材
  • Who We Serve
    • 抗体治疗解决方案
    • 细胞与基因治疗解决方案
    • 学术科研
    • 工业与应用
  • 联系我们
  • 货号直购
  • 订单查询
  • 查找文件&证书
Thermo Fisher Scientific Logo

Search

搜索全部或下列指定分类
Search button
          • 联系我们
          • 货号直购
          • 登录
            登录
            没有账号?建立账号 注册
            • 我的账号
            • 订单
            • 会员中心
            • 账单及发票查询
            • 定制产品及项目
          • Primary Antibodies ›
          • PGK1/PGK2 Antibodies

          Invitrogen

          PGK1/PGK2 Recombinant Rabbit Monoclonal Antibody (HL1775)

          {{$productOrderCtrl.translations['antibody.pdp.commerceCard.promotion.promotions']}}

          {{$productOrderCtrl.translations['antibody.pdp.commerceCard.promotion.viewpromo']}}

          {{$productOrderCtrl.translations['antibody.pdp.commerceCard.promotion.promocode']}}: {{promo.promoCode}} {{promo.promoTitle}} {{promo.promoDescription}}. {{$productOrderCtrl.translations['antibody.pdp.commerceCard.promotion.learnmore']}}

          说明书
          证书
          实验方案
          问题与答案
          技术支持
          说明书
          证书
          实验方案
          问题与答案
          技术支持
          说明书
          证书
          实验方案
          问题与答案
          技术支持

          Cite PGK1/PGK2 Recombinant Rabbit Monoclonal Antibody (HL1775)

          Additional Information:
          {{banner.description}}
          {{$ctrl.isSkuNotesCollapsed ? 'View more' : 'View less'}}
          • 抗体检测数据 (5)
          PGK1/PGK2 Antibody in Immunohistochemistry (Paraffin) (IHC (P))
          Group 53 Created with Sketch.
          PGK1/PGK2 Antibody in Immunohistochemistry (Paraffin) (IHC (P))
          Group 53 Created with Sketch.

          图: 1 / 5

          {{ $ctrl.currentElement.advancedVerification.fullName }}
          {{ $ctrl.currentElement.advancedVerification.text }}

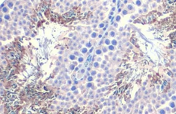
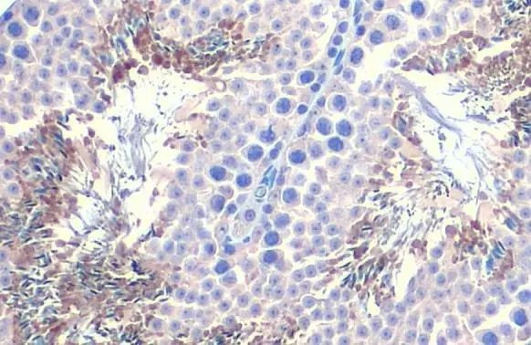
          PGK1/PGK2 Antibody (MA5-47177) in IHC (P)

          Immunohistochemistry analysis of PGK1/PGK2 in paraffin-embedded mouse testis. Samples were incubated in PGK1/PGK2 Monoclonal antibody (Product # MA5-47177). Antigen Retrieval: Citrate buffer, pH 6.0, 15 min. {{ $ctrl.currentElement.advancedVerification.fullName }} 验证信息 View more
          已发表图片由___提供 benchsci-logo
          PMID: {{$ctrl.currentElement.benchSciPubmedId}}
          查看产品

          {{$ctrl.videoDesc}}

          {{$ctrl.videoLongDesc}}

          PGK1/PGK2 Antibody in Immunohistochemistry (Paraffin) (IHC (P))
          PGK1/PGK2 Antibody in Immunohistochemistry (Paraffin) (IHC (P))
          PGK1/PGK2 Antibody in Western Blot (WB)
          PGK1/PGK2 Antibody in Western Blot (WB)
          PGK1/PGK2 Antibody in Western Blot (WB)

          产品信息

          MA5-47177

          应用
          建议稀释比
          已发表文章

          免疫印迹 (WB)

          1:1,000-1:10,000
          -

          免疫组化(石蜡) (IHC (P))

          Assay-dependent
          -
          产品规格

          种属反应

          Human, Mouse, Rat, Zebrafish

          宿主/亚型

          Rabbit / IgG

          Expression System

          HEK293 cells

          分类

          Recombinant Monoclonal

          类型

          Antibody

          克隆号

          HL1775

          抗原

          Recombinant protein of human PGK1.

          偶联物

          Unconjugated Unconjugated Unconjugated

          形式

          Liquid

          浓度

          1 mg/mL

          规格

          100 µg

          纯化类型

          Protein A

          保存液

          PBS

          内含物

          no preservative

          保存条件

          Store at 4°C short term. For long term storage, store at -20°C, avoiding freeze/thaw cycles.

          运输条件

          Ambient (domestic); Wet ice (international)

          RRID

          AB_2938249

          产品详细信息

          Store as concentrated solution.

          Centrifuge briefly prior to opening vial.

          靶标信息

          The protein encoded by this gene is a glycolytic enzyme that catalyzes the conversion of 1,3-diphosphoglycerate to 3-phosphoglycerate|The encoded protein may also act as a cofactor for polymerase alpha|Additionally, this protein is secreted by tumor cells where it participates in angiogenesis by functioning to reduce disulfide bonds in the serine protease, plasmin, which consequently leads to the release of the tumor blood vessel inhibitor angiostatin|The encoded protein has been identified as a moonlighting protein based on its ability to perform mechanistically distinct functions|Deficiency of the enzyme is associated with a wide range of clinical phenotypes hemolytic anemia and neurological impairment|Pseudogenes of this gene have been defined on chromosomes 19, 21 and the X chromosome

          仅用于科研。不用于诊断过程。未经明确授权不得转售。

          篇参考文献 (0)

          您是否在文献中引用过该产品?请点击下方按钮邮件告知我们。
          引用该产品

          生物信息学

          蛋白别名: ADP-ribosyltransferase (NAD+; poly (ADP-ribose) polymerase); ADP-ribosyltransferase diphtheria toxin-like 1; ADP-ribosyltransferase NAD(+); ADPRT 1; ARTD1; Carboxypeptidase A1; carboxypeptidase A1 (pancreatic); casein kinase I alpha S-like; Casein kinase I isoform alpha; Casein kinase I isoform alpha-like; CASP-1; caspase 1, apoptosis-related cysteine peptidase; Caspase-1; CK1; CKI-alpha; CKI-alpha-like; class IVb beta tubulin; clock regulator kinase; CSNK1A1; cysteine protease; DNA ADP-ribosyltransferase PARP1; down-regulated in lung cancer; epididymis secretory sperm binding protein; epididymis secretory sperm binding protein Li 77p; G protein beta1/gamma2 subunit-interacting factor 1; H3 histone family, member A; HEL-S-68p; HIST1H3A; histone 1, H3a; histone cluster 1 H3 family member a; histone cluster 1, H3a; Histone H3.1; Histone H3/a; Histone H3/b; Histone H3/c; Histone H3/d; Histone H3/f; Histone H3/h; Histone H3/i; Histone H3/j; Histone H3/k; Histone H3/l; ICE; IL-1 beta-converting enzyme; IL-1B converting enzyme; IL-1BC; IL1B-convertase; interleukin 1 beta-converting enzyme; interleukin 1, beta, convertase; interleukin 1-B converting enzyme; Interleukin-1 beta convertase; Interleukin-1 beta-converting enzyme; microtubule protein; Microtubule-associated protein tau; MIG10; NAD(+) ADP-ribosyltransferase 1; Neurofibrillary tangle protein; p45; Paired helical filament-tau; pancreatic carboxypeptidase A; PARP-1; PGKA; PHF-tau; phosphoglycerate kinase 1; poly (ADP-ribose) polymerase family, member 1; Poly [ADP-ribose] polymerase 1; poly(ADP-ribose) polymerase; poly(ADP-ribose) synthetase; poly(ADP-ribosyl)transferase; Poly[ADP-ribose] synthase 1; protein phosphatase 1, regulatory subunit 103; Protein poly-ADP-ribosyltransferase PARP1; Tau-derived paired helical filament hexapeptide; Tubulin beta-2 chain; Tubulin beta-2C chain; Tubulin beta-4B chain; tubulin, beta 2C; tubulin, beta, 2; unnamed protein product

          查看更多 收起

          基因别名: ADPRT; ADPRT 1; ADPRT1; ARTD1; Beta2; CASP1; CK1; CK1a; CKIa; CPA; CPA1; CSNK1A1; CSNK1A1L; DDPAC; FTD1; FTDP-17; H3/A; H3C1; H3C10; H3C11; H3C12; H3C2; H3C3; H3C4; H3C6; H3C7; H3C8; H3FA; H3FB; H3FC HIST1H3C; H3FD; H3FF; H3FH; H3FI; H3FJ; H3FK; H3FL; HEL-S-77p; HIST1H3A; HIST1H3B; HIST1H3D; HIST1H3E; HIST1H3F; HIST1H3G; HIST1H3H; HIST1H3I; HIST1H3J; HLCDGP1; ICE; IL1BC; IL1BCE; LCAEOD; MAPT; MAPTL; MSTD; MTBT1; MTBT2; P45; pADPRT-1; PARP; PARP-1; PARP1; PARS; Poly-PARP; PPND; PPOL; PPP1R103; PRO2975; TAU; tau-40; Tau-PHF6; TUBB2; TUBB2C; TUBB4B

          查看更多 收起

          UniProt ID: (Human) P29466, (Human) P15085, (Human) P48729, (Human) Q8N752, (Mouse) P29452, (Rat) P97633, (Human) P68431, (Human) P10636, (Human) P09874, (Human) P68371

          查看更多 收起

          Entrez Gene ID: (Human) 834, (Human) 1357, (Human) 1452, (Human) 122011, (Mouse) 12362, (Rat) 113927, (Human) 8350, (Human) 4137, (Human) 142, (Human) 10383

          查看更多 收起

          功能
          endopeptidase activity cysteine-type endopeptidase activity protein binding peptidase activity cysteine-type peptidase activity cysteine-type endopeptidase activator activity involved in apoptotic process hydrolase activity enzyme binding kinase binding cytokine binding identical protein binding CARD domain binding carboxypeptidase activity metallocarboxypeptidase activity metallopeptidase activity exopeptidase activity zinc ion binding metal ion binding nucleotide binding protein kinase activity protein serine/threonine kinase activity ATP binding kinase activity transferase activity protein serine kinase activity scaffold protein binding magnesium ion binding glycoprotein binding peptide binding phosphoprotein binding DNA binding structural constituent of chromatin cadherin binding protein heterodimerization activity AT DNA binding double-stranded DNA binding single-stranded DNA binding RNA binding actin binding microtubule binding tubulin binding SH3 domain binding protein kinase binding protein binding, bridging apolipoprotein binding dynactin binding phosphatidylinositol binding sequence-specific DNA binding chaperone binding protein phosphatase 2A binding Hsp90 protein binding lipoprotein particle binding histone-dependent DNA binding microtubule lateral binding phosphatidylinositol bisphosphate binding chromatin binding damaged DNA binding catalytic activity NAD+ ADP-ribosyltransferase activity enzyme activator activity transferase activity, transferring glycosyl groups nucleotidyltransferase activity estrogen receptor binding nucleosome binding ubiquitin protein ligase binding protein homodimerization activity histone deacetylase binding NAD binding RNA polymerase II sequence-specific DNA binding transcription factor binding R-SMAD binding NAD DNA ADP-ribosyltransferase activity transcription regulator activator activity NAD+-protein-serine ADP-ribosyltransferase activity NAD+-protein-aspartate ADP-ribosyltransferase activity NAD+-protein-glutamate ADP-ribosyltransferase activity NAD+-protein-tyrosine ADP-ribosyltransferase activity NAD+-protein-histidine ADP-ribosyltransferase activity NAD+-histone H2BS6 serine ADP-ribosyltransferase activity NAD+-histone H3S10 serine ADP-ribosyltransferase activity NAD+-histone H2BE35 glutamate ADP-ribosyltransferase activity protein ADP-ribosylase activity double-stranded RNA binding GTPase activity structural constituent of cytoskeleton GTP binding MHC class I protein binding unfolded protein binding non-receptor serine/threonine protein kinase protease
          参与通路
          negative regulation of transcription from RNA polymerase II promoter plasma membrane repair pattern recognition receptor signaling pathway proteolysis apoptotic process inflammatory response signal transduction osmosensory signaling pathway protein secretion protein autoprocessing protein catabolic process response to lipopolysaccharide positive regulation of interleukin-1 beta production positive regulation of interleukin-18 production interleukin-18-mediated signaling pathway defense response to bacterium regulation of apoptotic process positive regulation of I-kappaB kinase/NF-kappaB signaling icosanoid biosynthetic process ceramide biosynthetic process regulation of inflammatory response positive regulation of inflammatory response protein maturation defense response to virus protein poly-ADP-ribosylation pyroptosis interleukin-1-mediated signaling pathway cellular response to lipopolysaccharide cellular response to mechanical stimulus cellular response to interferon-gamma cytokine precursor processing signaling receptor ligand precursor processing AIM2 inflammasome complex assembly pyroptotic cell death positive regulation of tumor necrosis factor-mediated signaling pathway leukotriene metabolic process response to cadmium ion proteolysis involved in cellular protein catabolic process autophagosome assembly protein phosphorylation Golgi organization cell surface receptor signaling pathway negative regulation of autophagy positive regulation of autophagy Wnt signaling pathway viral protein processing regulation of Wnt signaling pathway SCF-dependent proteasomal ubiquitin-dependent protein catabolic process cellular response to nutrient levels cellular response to nutrient positive regulation of proteasomal ubiquitin-dependent protein catabolic process positive regulation of Rho protein signal transduction TORC1 signaling proteasome-mediated ubiquitin-dependent protein catabolic process NLRP3 inflammasome complex assembly intermediate filament cytoskeleton organization cell division negative regulation of canonical Wnt signaling pathway negative regulation of NLRP3 inflammasome complex assembly positive regulation of NLRP3 inflammasome complex assembly negative regulation of TORC1 signaling positive regulation of TORC1 signaling response to hypoxia microglial cell activation myoblast fusion memory response to bacterium regulation of autophagy response to organic cyclic compound protein processing interleukin-1 beta production response to ATP response to drug positive regulation of apoptotic process positive regulation of circadian sleep/wake cycle, non-REM sleep positive regulation of cytokine secretion positive regulation of interleukin-1 alpha secretion positive regulation of interleukin-1 beta secretion mitochondrial depolarization membrane hyperpolarization cellular response to organic substance programmed necrotic cell death toxin transport cell morphogenesis phagocytosis mitotic nuclear division regulation of cell shape peptidyl-serine phosphorylation chromatin organization nucleosome assembly gene expression telomere organization regulation of gene expression, epigenetic microtubule cytoskeleton organization cellular response to DNA damage stimulus cell-cell signaling synapse assembly learning or memory response to lead ion negative regulation of gene expression negative regulation of mitochondrial membrane potential rRNA metabolic process axonal transport of mitochondrion central nervous system neuron development regulation of microtubule polymerization or depolymerization regulation of microtubule polymerization positive regulation of microtubule polymerization cytoplasmic microtubule organization neuron projection development positive regulation of superoxide anion generation regulation of chromosome organization stress granule assembly cellular response to heat cellular response to reactive oxygen species positive regulation of axon extension microtubule polymerization astrocyte activation regulation of synaptic plasticity intracellular distribution of mitochondria generation of neurons synapse organization regulation of calcium-mediated signaling protein polymerization protein homooligomerization axon development regulation of microtubule cytoskeleton organization plus-end-directed organelle transport along microtubule regulation of mitochondrial fission negative regulation of mitochondrial fission fibril organization axonal transport regulation of cellular response to heat regulation of long term synaptic depression positive regulation of protein localization to synapse neurofibrillary tangle assembly negative regulation of establishment of protein localization to mitochondrion positive regulation of cellular protein localization negative regulation of tubulin deacetylation amyloid fibril formation cellular response to nerve growth factor stimulus cellular response to brain-derived neurotrophic factor stimulus telomere maintenance double-strand break repair via homologous recombination immune system process DNA repair double-strand break repair transcription from RNA polymerase II promoter mitochondrion organization transforming growth factor beta receptor signaling pathway response to gamma radiation positive regulation of cardiac muscle hypertrophy carbohydrate biosynthetic process signal transduction involved in regulation of gene expression macrophage differentiation DNA ADP-ribosylation mitochondrial DNA metabolic process positive regulation of DNA-templated transcription, elongation cellular response to insulin stimulus regulation of protein localization positive regulation of intracellular estrogen receptor signaling pathway negative regulation of transcription elongation from RNA polymerase II promoter cellular response to oxidative stress cellular response to UV protein modification process mitochondrial DNA repair innate immune response regulation of circadian sleep/wake cycle, non-REM sleep negative regulation of innate immune response negative regulation of transcription, DNA-templated positive regulation of transcription, DNA-templated positive regulation of transcription from RNA polymerase II promoter decidualization positive regulation of mitochondrial depolarization positive regulation of SMAD protein import into nucleus positive regulation of necroptotic process protein auto-ADP-ribosylation protein localization to chromatin cellular response to zinc ion cellular response to transforming growth factor beta stimulus replication fork reversal DNA repair-dependent chromatin remodeling negative regulation of cGAS/STING signaling pathway transcription pausing by RNA polymerase II positive regulation of protein localization to nucleus cellular response to oxygen-containing compound regulation of oxidative stress-induced neuron intrinsic apoptotic signaling pathway response to aldosterone negative regulation of adipose tissue development positive regulation of adipose tissue development negative regulation of telomere maintenance via telomere lengthening cellular response to beta-amyloid positive regulation of myofibroblast differentiation regulation of base-excision repair positive regulation of double-strand break repair via homologous recombination protein localization to site of double-strand break ATP generation from poly-ADP-D-ribose negative regulation of ATP biosynthetic process mitotic cell cycle microtubule-based process sperm motility natural killer cell mediated cytotoxicity
          It has to be done as per old AB suggested Products section.

          Disclaimer

          Close

          Clicking the images or links will redirect you to a website hosted by BenchSci that provides third-party scientific content. Neither the content nor the BenchSci technology and processes for selection have been evaluated by us; we are providing them as-is and without warranty of any kind, including for use or application of the Thermo Fisher Scientific products presented.

          guarantee_icon

          性能保障

          只要您发现Invitrogen抗体在实验中的表现与网站或说明书的所述内容不符,您即可享受免费退换货服务。*

          了解更多
          help_icon

          随时为您服务

          获取常见问题的专家解答,或者直接联系我们的技术专家,咨询应用、设备、常规产品使用问题。

          联系技术支持
          订购 Plus Icon Minus Icon
          • 订单状态查询
          • 订单支持
          • 货号直购
          • 现货供应中心
          • 电子采购
          支持 Plus Icon Minus Icon
          • 帮助&支持
          • 联系我们 - 400 820 8982
          • 技术支持中心
          • 查找文件&证书
          • 报告网站问题
          资源 Plus Icon Minus Icon
          • 学习中心
          • 促销
          • 活动&研讨会
          • 社交媒体
          关于赛默飞 Plus Icon Minus Icon
          • 关于我们
          • 招聘 招聘
          • 投资者关系 投资者关系
          • 新闻 新闻
          • 社会责任 社会责任
          • 商标
          • 政策和通知
          品牌 Plus Icon Minus Icon
          • Thermo Scientific
          • Applied Biosystems
          • Invitrogen
          • Gibco
          • Ion Torrent
          • Unity Lab Services
          • Patheon
          • PPD
          • 服务条款
          • 隐私政策
          • 定价和运输保险政策
          © 2006-2026 Thermo Fisher Scientific Inc. All rights reserved. All trademarks are the property of Thermo Fisher Scientific and its subsidiaries unless otherwise specified.
          China flag icon
          China
          本网站销售的所有产品均不得用于人类或动物之临床诊断或治疗,仅可用于工业或者科研等非医疗目的。
             电子营业执照 | 经营证照公示 | ICP备案号:沪ICP备11003924号 | 沪公网安备 31011502006935号

          Your items have has been added!


          Host server : magellan-search-green-6479c7f679-v472f:80/100.66.78.195:80.
          git-commit: b70c0dceb888abc3b0dcebb5bc3a5b8753e7e816
          git-url: https://github.com/thermofisher/magellan-search
          git-branch: release/2.50.0-Offline