Hamburger Menu Button
Thermo Fisher Scientific Logo
登录
没有账号?建立账号 注册
  • 产品
    • 抗体
    • 引物合成
    • GeneArt Gene Synthesis Instant Designer
    • TaqMan Assay and Array Search
    • PCR 设备和耗材
    • 色谱柱和纯化柱
    • 实验室离心机
    • 分子生物学试剂和试剂盒
    • 实验室塑料耗材及用品
    • 查看所有产品分类
  • 应用和技术
    • 色谱
    • 细胞转染和培养
    • 实时荧光定量PCR
    • 质谱
    • 实验室塑料耗材及用品
    • 电子显微镜
    • 蛋白质生物学
    • PCR
    • RNAi
    • 环境
    • 查看所有应用和技术
  • 服务
    • 定制服务
    • 企业级实验室信息化服务
    • 金融&租赁服务
    • 仪器服务
    • OEM和商业供应
    • 培训服务
    • 360° CDMO 和 CRO 服务
    • CDMO 服务
    • 临床试验 CRO 服务
    • Unity Lab Services
    • 查看所有帮助和支持
  • 帮助和支持
    • 学习中心
    • 联系我们
    • 更改国家或地区
    • 查看所有帮助和支持
  • 热门产品
    • TaqMan Real-Time PCR Assays
      TaqMan 实时荧光定量 PCR 试剂盒
    • Antibodies
      抗体
    • Oligos, Primers & Probes
      寡核苷酸、引物、探针
    • GeneArt Gene Synthesis
      GeneArt 基因合成
    • Cell Culture Plastics
      细胞培养耗材
  • Who We Serve
    • 抗体治疗解决方案
    • 细胞与基因治疗解决方案
    • 学术科研
    • 工业与应用
  • 联系我们
  • 货号直购
  • 订单查询
  • 查找文件&证书
Thermo Fisher Scientific Logo

Search

搜索全部或下列指定分类
Search button
          • 联系我们
          • 货号直购
          • 登录
            登录
            没有账号?建立账号 注册
            • 我的账号
            • 订单
            • 会员中心
            • 账单及发票查询
            • 定制产品及项目
          • Primary Antibodies ›
          • PIK3CB Antibodies

          Proteintech

          PI3 Kinase p110 Beta Monoclonal Antibody (1B2A1)

          22 篇参考文献
          查看其他17个PIK3CB抗体

          {{$productOrderCtrl.translations['antibody.pdp.commerceCard.promotion.promotions']}}

          {{$productOrderCtrl.translations['antibody.pdp.commerceCard.promotion.viewpromo']}}

          {{$productOrderCtrl.translations['antibody.pdp.commerceCard.promotion.promocode']}}: {{promo.promoCode}} {{promo.promoTitle}} {{promo.promoDescription}}. {{$productOrderCtrl.translations['antibody.pdp.commerceCard.promotion.learnmore']}}

          说明书
          证书
          实验方案
          问题与答案
          技术支持
          说明书
          证书
          实验方案
          问题与答案
          技术支持
          说明书
          证书
          实验方案
          问题与答案
          技术支持

          Cite PI3 Kinase p110 Beta Monoclonal Antibody (1B2A1)

          Additional Information:
          {{banner.description}}
          {{$ctrl.isSkuNotesCollapsed ? 'View more' : 'View less'}}
          • 抗体检测数据 (3)
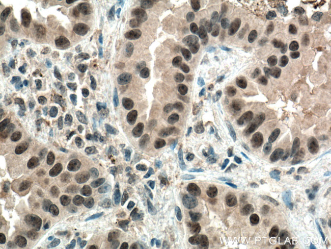
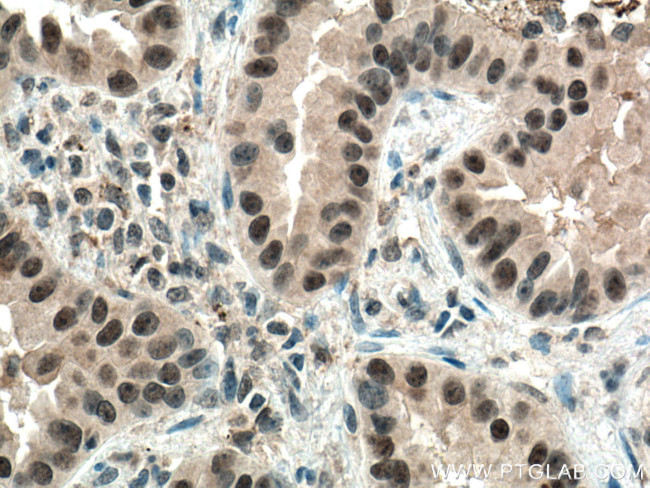
          PI3 Kinase p110 Beta Antibody in Immunohistochemistry (Paraffin) (IHC (P))
          Group 53 Created with Sketch.
          PI3 Kinase p110 Beta Antibody in Immunohistochemistry (Paraffin) (IHC (P))
          Group 53 Created with Sketch.

          图: 1 / 3

          {{ $ctrl.currentElement.advancedVerification.fullName }}
          {{ $ctrl.currentElement.advancedVerification.text }}

          PI3 Kinase p110 Beta Antibody (67121-1-IG) in IHC (P)

          Immunohistochemical analysis of paraffin-embedded human lung cancer tissue slide using 67121-1-Ig (PIK3CB antibody) at dilution of 1:300 (under 40x lens. Heat mediated antigen retrieval with Tris-EDTA buffer (pH 9.0). {{ $ctrl.currentElement.advancedVerification.fullName }} 验证信息 View more
          已发表图片由___提供 benchsci-logo
          PMID: {{$ctrl.currentElement.benchSciPubmedId}}
          查看产品

          {{$ctrl.videoDesc}}

          {{$ctrl.videoLongDesc}}

          PI3 Kinase p110 Beta Antibody in Immunohistochemistry (Paraffin) (IHC (P))
          PI3 Kinase p110 Beta Antibody in Immunohistochemistry (Paraffin) (IHC (P))
          PI3 Kinase p110 Beta Antibody in Western Blot (WB)

          产品信息

          67121-1-IG

          应用
          建议稀释比
          已发表文章

          免疫印迹 (WB)

          1:5,000
          查看18篇已发表文章 18篇已发表文章

          免疫组化 (IHC)

          -
          查看4篇已发表文章 4篇已发表文章

          免疫组化(石蜡) (IHC (P))

          1:300
          -
          产品规格

          种属反应

          Human, Rat

          宿主/亚型

          Mouse / IgG1

          分类

          Monoclonal

          类型

          Antibody

          克隆号

          1B2A1

          抗原

          PIK3CB Fusion Protein Ag17505

          偶联物

          Unconjugated Unconjugated Unconjugated
          • CoraLite 555
          • CoraLite 594
          • CoraLite Plus 488
          • Request custom conjugation

          形式

          Liquid

          浓度

          860 µg/mL

          规格

          129 µg

          纯化类型

          Protein A

          保存液

          PBS, pH 7.3, with 50% glycerol

          内含物

          0.02% sodium azide

          保存条件

          -20°C

          运输条件

          Wet ice

          产品详细信息

          Aliquoting is unnecessary for -20°C storage.

          靶标信息

          PIK3CB (phosphatyidylinositol 4,5-biphosphate 3-kinase catalyic subunit beta isoform) is a phosphoinositide-3-kinase that phosphorylates PtdIns (phosphatidylinositol), PtdIns4P (phosphatidylinositol 4-phosphate), and PtdIns(4,5)P2 (phosphatidylinositol 4,5-biphosphate) to generate phosphatidylinositol 3,4,5-triphosphate (PIP3). PIP3 plays a key role in recruiting PH domain-containing proteins to the membrane and activating signaling cascades involved in cell growth, survival, proliferation, motility, and morphology.

          仅用于科研。不用于诊断过程。未经明确授权不得转售。

          生物信息学

          蛋白别名: 110 kda catalytic subunit; catalytic phosphatidylinositol 3-kinase beta; p110beta; phosphatidylinositol 3-kinase catalytic subunit beta isoform; phosphatidylinositol 3-kinase, catalytic subunit, beta isoform; phosphatidylinositol 3-kinase, catalytic, beta polypeptide; Phosphatidylinositol 4,5-bisphosphate 3-kinase 110 kDa catalytic subunit beta; Phosphatidylinositol 4,5-bisphosphate 3-kinase catalytic subunit beta isoform; phosphatidylinositol-4,5-bisphosphate 3-kinase 110 kDa catalytic subunit beta; phosphatidylinositol-4,5-bisphosphate 3-kinase catalytic subunit beta isoform; phosphoinositide-3-kinase, catalytic, beta polypeptide; PI3-kinase p110 subunit beta; PI3-kinase subunit beta; PI3K; PI3K-beta; PI3Kbeta; pi3kcb; PtdIns-3-kinase p110; ptdIns-3-kinase subunit beta; PtdIns-3-kinase subunit p110-beta; Serine/threonine protein kinase PIK3CB; unnamed protein product

          查看更多 收起

          基因别名: P110BETA; PI3K; PI3KBETA; PIK3C1; PIK3CB

          查看更多 收起

          UniProt ID: (Human) P42338, (Rat) Q9Z1L0

          查看更多 收起

          Entrez Gene ID: (Human) 5291, (Rat) 85243

          查看更多 收起

          功能
          nucleotide binding protein binding ATP binding kinase activity 1-phosphatidylinositol-3-kinase activity transferase activity 1-phosphatidylinositol-4-phosphate 3-kinase activity insulin receptor substrate binding phosphatidylinositol-4,5-bisphosphate 3-kinase activity phosphatidylinositol kinase activity protein serine kinase activity phosphatidylinositol 3-kinase activity kinase
          参与通路
          endothelial cell proliferation regulation of cell-matrix adhesion leukocyte mediated immunity response to ischemia sphingosine-1-phosphate signaling pathway lipid metabolic process cellular calcium ion homeostasis endocytosis autophagy chemotaxis cell adhesion homophilic cell adhesion via plasma membrane adhesion molecules signal transduction transmembrane receptor protein tyrosine kinase signaling pathway G-protein coupled receptor signaling pathway positive regulation of autophagy positive regulation of endothelial cell migration positive regulation of gene expression cell migration platelet activation positive regulation of neutrophil apoptotic process positive regulation of Rac protein signal transduction phosphatidylinositol-3-phosphate biosynthetic process embryonic cleavage natural killer cell mediated cytotoxicity negative regulation of MAPK cascade protein kinase B signaling innate immune response positive regulation of nitric oxide biosynthetic process phosphatidylinositol phosphorylation phosphatidylinositol-mediated signaling negative regulation of protein kinase B signaling angiogenesis involved in wound healing platelet aggregation negative regulation of vascular endothelial growth factor signaling pathway negative regulation of hypoxia-induced intrinsic apoptotic signaling pathway negative regulation of sprouting angiogenesis regulation of clathrin-mediated endocytosis
          It has to be done as per old AB suggested Products section.

          Disclaimer

          Close

          Clicking the images or links will redirect you to a website hosted by BenchSci that provides third-party scientific content. Neither the content nor the BenchSci technology and processes for selection have been evaluated by us; we are providing them as-is and without warranty of any kind, including for use or application of the Thermo Fisher Scientific products presented.

          guarantee_icon

          性能保障

          只要您发现Invitrogen抗体在实验中的表现与网站或说明书的所述内容不符,您即可享受免费退换货服务。*

          了解更多
          help_icon

          随时为您服务

          获取常见问题的专家解答,或者直接联系我们的技术专家,咨询应用、设备、常规产品使用问题。

          联系技术支持
          订购 Plus Icon Minus Icon
          • 订单状态查询
          • 订单支持
          • 货号直购
          • 现货供应中心
          • 电子采购
          支持 Plus Icon Minus Icon
          • 帮助&支持
          • 联系我们 - 400 820 8982
          • 技术支持中心
          • 查找文件&证书
          • 报告网站问题
          资源 Plus Icon Minus Icon
          • 学习中心
          • 促销
          • 活动&研讨会
          • 社交媒体
          关于赛默飞 Plus Icon Minus Icon
          • 关于我们
          • 招聘 招聘
          • 投资者关系 投资者关系
          • 新闻 新闻
          • 社会责任 社会责任
          • 商标
          • 政策和通知
          品牌 Plus Icon Minus Icon
          • Thermo Scientific
          • Applied Biosystems
          • Invitrogen
          • Gibco
          • Ion Torrent
          • Unity Lab Services
          • Patheon
          • PPD
          • 服务条款
          • 隐私政策
          • 定价和运输保险政策
          © 2006-2026 Thermo Fisher Scientific Inc. All rights reserved. All trademarks are the property of Thermo Fisher Scientific and its subsidiaries unless otherwise specified.
          China flag icon
          China
          本网站销售的所有产品均不得用于人类或动物之临床诊断或治疗,仅可用于工业或者科研等非医疗目的。
             电子营业执照 | 经营证照公示 | ICP备案号:沪ICP备11003924号 | 沪公网安备 31011502006935号

          Your items have has been added!


          Host server : magellan-search-green-6479c7f679-v472f:80/100.66.78.195:80.
          git-commit: b70c0dceb888abc3b0dcebb5bc3a5b8753e7e816
          git-url: https://github.com/thermofisher/magellan-search
          git-branch: release/2.50.0-Offline