Hamburger Menu Button
Thermo Fisher Scientific Logo
登录
没有账号?建立账号 注册
  • 产品
    • 抗体
    • 引物合成
    • GeneArt Gene Synthesis Instant Designer
    • TaqMan Assay and Array Search
    • PCR 设备和耗材
    • 色谱柱和纯化柱
    • 实验室离心机
    • 分子生物学试剂和试剂盒
    • 实验室塑料耗材及用品
    • 查看所有产品分类
  • 应用和技术
    • 色谱
    • 细胞转染和培养
    • 实时荧光定量PCR
    • 质谱
    • 实验室塑料耗材及用品
    • 电子显微镜
    • 蛋白质生物学
    • PCR
    • RNAi
    • 环境
    • 查看所有应用和技术
  • 服务
    • 定制服务
    • 企业级实验室信息化服务
    • 金融&租赁服务
    • 仪器服务
    • OEM和商业供应
    • 培训服务
    • 360° CDMO 和 CRO 服务
    • CDMO 服务
    • 临床试验 CRO 服务
    • Unity Lab Services
    • 查看所有帮助和支持
  • 帮助和支持
    • 学习中心
    • 联系我们
    • 更改国家或地区
    • 查看所有帮助和支持
  • 热门产品
    • TaqMan Real-Time PCR Assays
      TaqMan 实时荧光定量 PCR 试剂盒
    • Antibodies
      抗体
    • Oligos, Primers & Probes
      寡核苷酸、引物、探针
    • GeneArt Gene Synthesis
      GeneArt 基因合成
    • Cell Culture Plastics
      细胞培养耗材
  • Who We Serve
    • 抗体治疗解决方案
    • 细胞与基因治疗解决方案
    • 学术科研
    • 工业与应用
  • 联系我们
  • 货号直购
  • 订单查询
  • 查找文件&证书
Thermo Fisher Scientific Logo

Search

搜索全部或下列指定分类
Search button
          • 联系我们
          • 货号直购
          • 登录
            登录
            没有账号?建立账号 注册
            • 我的账号
            • 订单
            • 会员中心
            • 账单及发票查询
            • 定制产品及项目
          • Primary Antibodies ›
          • PIK3CG Antibodies

          Invitrogen

          PIK3CG Monoclonal Antibody (OTI6H5)

          1个已发表图片
          3 篇参考文献
          查看其他18个PIK3CG抗体

          {{$productOrderCtrl.translations['antibody.pdp.commerceCard.promotion.promotions']}}

          {{$productOrderCtrl.translations['antibody.pdp.commerceCard.promotion.viewpromo']}}

          {{$productOrderCtrl.translations['antibody.pdp.commerceCard.promotion.promocode']}}: {{promo.promoCode}} {{promo.promoTitle}} {{promo.promoDescription}}. {{$productOrderCtrl.translations['antibody.pdp.commerceCard.promotion.learnmore']}}

          说明书
          证书
          实验方案
          问题与答案
          技术支持
          说明书
          证书
          实验方案
          问题与答案
          技术支持
          说明书
          证书
          实验方案
          问题与答案
          技术支持

          Cite PIK3CG Monoclonal Antibody (OTI6H5)

          Additional Information:
          {{banner.description}}
          {{$ctrl.isSkuNotesCollapsed ? 'View more' : 'View less'}}
          • 抗体检测数据 (6)
          • 已发表图片 (1)
          PIK3CG Antibody in Immunocytochemistry (ICC/IF)
          Group 53 Created with Sketch.
          PIK3CG Antibody in Immunocytochemistry (ICC/IF)
          Group 53 Created with Sketch.

          图: 1 / 7

          {{ $ctrl.currentElement.advancedVerification.fullName }}
          {{ $ctrl.currentElement.advancedVerification.text }}

          PIK3CG Antibody (MA5-26087) in ICC/IF

          Immunofluorescent analysis of PIK3CG in COS7 cells. Cells were transfected with a plasmid overexpressing PIK3CG and probed with a PIK3CG monoclonal antibody (Product # MA5-26087). {{ $ctrl.currentElement.advancedVerification.fullName }} 验证信息 View more
          已发表图片由___提供 benchsci-logo
          PMID: {{$ctrl.currentElement.benchSciPubmedId}}
          查看产品

          {{$ctrl.videoDesc}}

          {{$ctrl.videoLongDesc}}

          PIK3CG Antibody in Immunocytochemistry (ICC/IF)
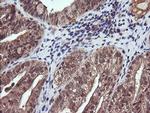
          PIK3CG Antibody in Immunohistochemistry (Paraffin) (IHC (P))
          PIK3CG Antibody in Immunohistochemistry (Paraffin) (IHC (P))
          PIK3CG Antibody in Immunohistochemistry (Paraffin) (IHC (P))
          PIK3CG Antibody in Immunohistochemistry (Paraffin) (IHC (P))
          PIK3CG Antibody in Western Blot (WB)
          PIK3CG Antibody in Immunohistochemistry (PFA fixed) (IHC (PFA))
          PIK3CG Monoclonal Antibody (OTI6H5)

          产品信息

          MA5-26087

          应用
          建议稀释比
          已发表文章

          免疫印迹 (WB)

          1:200-1:2,000
          -

          免疫组化 (IHC)

          -
          查看1篇已发表文章 1篇已发表文章

          免疫组化(石蜡) (IHC (P))

          1:150
          -

          免疫组织化学(多聚甲醛固定) (IHC (PFA))

          -
          查看1篇已发表文章 1篇已发表文章

          免疫细胞化学 (ICC/IF)

          1:100
          查看1篇已发表文章 1篇已发表文章
          产品规格

          种属反应

          Human, Mouse, Non-human primate

          已发表种属

          Human, Mouse

          宿主/亚型

          Mouse / IgG2a

          分类

          Monoclonal

          类型

          Antibody

          克隆号

          OTI6H5

          抗原

          Full length human recombinant protein of PIK3CG produced in HEK293T cell
          3D表位/免疫原

          偶联物

          Unconjugated Unconjugated Unconjugated

          形式

          Liquid

          浓度

          1 mg/mL

          规格

          100 µg

          纯化类型

          Affinity Chromatography

          保存液

          PBS, pH 7.3, with 1% BSA, 50% glycerol

          内含物

          0.02% sodium azide

          保存条件

          -20°C, Avoid Freeze/Thaw Cycles

          运输条件

          Ambient (domestic); Wet ice (international)

          RRID

          AB_2725031

          靶标信息

          PIK3CG (p110 gamma) is the sole class IB phosphatidylinositol 3-kinase family member, which along with the class IA family members, generates the important second messenger PIP2. However, unlike the class IA enzymes which signal downstream of receptor tyrosine kinases, PIK3CG primarily signals downstream of GPCRs. The gene product is an enzyme that phosphorylates phosphoinositides on the 3-hydroxyl group of the inositol ring. It is an important modulator of extracellular signals, including those elicited by E-cadherin-mediated cell-cell adhesion, which plays an important role in maintenance of the structural and functional integrity of epithelia. In addition to its role in promoting assembly of adherens junctions, the protein is thought to play a pivotal role in the regulation of cytotoxicity in NK cells. The gene is located in a commonly deleted segment of chromosome 7 previously identified in myeloid leukemias.

          仅用于科研。不用于诊断过程。未经明确授权不得转售。

          生物信息学

          蛋白别名: 1-phosphatidylinositol 3-kinase; catalytic subunit; p110-gamma; p120-PI3K; phosphatidylinositol 3 kinase gamma, p110 gamma; phosphatidylinositol 3-kinase catalytic 110-kD gamma; Phosphatidylinositol 4,5-bisphosphate 3-kinase 110 kDa catalytic subunit gamma; Phosphatidylinositol 4,5-bisphosphate 3-kinase catalytic subunit gamma isoform; phosphatidylinositol-4,5-bisphosphate 3-kinase 110 kDa catalytic subunit gamma; phosphatidylinositol-4,5-bisphosphate 3-kinase catalytic subunit gamma isoform; Phosphoinositide-3-kinase catalytic gamma polypeptide; phosphoinositide-3-kinase gamma catalytic subunit; PI3-kinase subunit gamma; PI3K-gamma; pi3kcg; ptdIns-3-kinase subunit gamma; PtdIns-3-kinase subunit p110-gamma; Serine/threonine protein kinase PIK3CG; unnamed protein product

          查看更多 收起

          基因别名: 5830428L06Rik; IMD97; p110gamma; p120-PI3K; PI3CG; PI3K; Pi3kg1; PI3Kgamma; PIK3; PIK3CG

          查看更多 收起

          UniProt ID: (Human) P48736, (Mouse) Q9JHG7

          查看更多 收起

          Entrez Gene ID: (Human) 5294, (Mouse) 30955

          查看更多 收起

          功能
          nucleotide binding protein kinase activity protein serine/threonine kinase activity protein binding ATP binding kinase activity 1-phosphatidylinositol-3-kinase activity transferase activity 1-phosphatidylinositol-4-phosphate 3-kinase activity identical protein binding ephrin receptor binding phosphatidylinositol-4,5-bisphosphate 3-kinase activity protein serine kinase activity transferase activity, transferring phosphorus-containing groups phosphotransferase activity, alcohol group as acceptor kinase
          参与通路
          angiogenesis positive regulation of cytokine production adaptive immune response immune system process dendritic cell chemotaxis positive regulation of acute inflammatory response respiratory burst involved in defense response sphingosine-1-phosphate signaling pathway lipid metabolic process endocytosis chemotaxis inflammatory response immune response G-protein coupled receptor signaling pathway phospholipase C-activating G-protein coupled receptor signaling pathway positive regulation of cytosolic calcium ion concentration positive regulation of endothelial cell migration T cell chemotaxis negative regulation of triglyceride catabolic process cell migration neutrophil chemotaxis secretory granule localization regulation of cell adhesion mediated by integrin positive regulation of Rac protein signal transduction natural killer cell chemotaxis phosphatidylinositol-3-phosphate biosynthetic process T cell proliferation T cell activation mast cell degranulation positive regulation of MAP kinase activity protein kinase B signaling innate immune response regulation of angiogenesis phosphatidylinositol phosphorylation phosphatidylinositol-mediated signaling positive regulation of protein kinase B signaling negative regulation of cardiac muscle contraction platelet aggregation cellular response to cAMP neutrophil extravasation hepatocyte apoptotic process regulation of calcium ion transmembrane transport negative regulation of fibroblast apoptotic process regulation of protein phosphorylation protein phosphorylation phosphatidylinositol 3-kinase signaling phosphorylation platelet activation positive regulation of catalytic activity
          It has to be done as per old AB suggested Products section.

          Disclaimer

          Close

          Clicking the images or links will redirect you to a website hosted by BenchSci that provides third-party scientific content. Neither the content nor the BenchSci technology and processes for selection have been evaluated by us; we are providing them as-is and without warranty of any kind, including for use or application of the Thermo Fisher Scientific products presented.

          guarantee_icon

          性能保障

          只要您发现Invitrogen抗体在实验中的表现与网站或说明书的所述内容不符,您即可享受免费退换货服务。*

          了解更多
          help_icon

          随时为您服务

          获取常见问题的专家解答,或者直接联系我们的技术专家,咨询应用、设备、常规产品使用问题。

          联系技术支持
          订购 Plus Icon Minus Icon
          • 订单状态查询
          • 订单支持
          • 货号直购
          • 现货供应中心
          • 电子采购
          支持 Plus Icon Minus Icon
          • 帮助&支持
          • 联系我们 - 400 820 8982
          • 技术支持中心
          • 查找文件&证书
          • 报告网站问题
          资源 Plus Icon Minus Icon
          • 学习中心
          • 促销
          • 活动&研讨会
          • 社交媒体
          关于赛默飞 Plus Icon Minus Icon
          • 关于我们
          • 招聘 招聘
          • 投资者关系 投资者关系
          • 新闻 新闻
          • 社会责任 社会责任
          • 商标
          • 政策和通知
          品牌 Plus Icon Minus Icon
          • Thermo Scientific
          • Applied Biosystems
          • Invitrogen
          • Gibco
          • Ion Torrent
          • Unity Lab Services
          • Patheon
          • PPD
          • 服务条款
          • 隐私政策
          • 定价和运输保险政策
          © 2006-2026 Thermo Fisher Scientific Inc. All rights reserved. All trademarks are the property of Thermo Fisher Scientific and its subsidiaries unless otherwise specified.
          China flag icon
          China
          本网站销售的所有产品均不得用于人类或动物之临床诊断或治疗,仅可用于工业或者科研等非医疗目的。
             电子营业执照 | 经营证照公示 | ICP备案号:沪ICP备11003924号 | 沪公网安备 31011502006935号

          Your items have has been added!


          Host server : magellan-search-green-6479c7f679-v472f:80/100.66.78.195:80.
          git-commit: b70c0dceb888abc3b0dcebb5bc3a5b8753e7e816
          git-url: https://github.com/thermofisher/magellan-search
          git-branch: release/2.50.0-Offline