Hamburger Menu Button
Thermo Fisher Scientific Logo
登录
没有账号?建立账号 注册
  • 产品
    • 抗体
    • 引物合成
    • GeneArt Gene Synthesis Instant Designer
    • TaqMan Assay and Array Search
    • PCR 设备和耗材
    • 色谱柱和纯化柱
    • 实验室离心机
    • 分子生物学试剂和试剂盒
    • 实验室塑料耗材及用品
    • 查看所有产品分类
  • 应用和技术
    • 色谱
    • 细胞转染和培养
    • 实时荧光定量PCR
    • 质谱
    • 实验室塑料耗材及用品
    • 电子显微镜
    • 蛋白质生物学
    • PCR
    • RNAi
    • 环境
    • 查看所有应用和技术
  • 服务
    • 定制服务
    • 企业级实验室信息化服务
    • 金融&租赁服务
    • 仪器服务
    • OEM和商业供应
    • 培训服务
    • 360° CDMO 和 CRO 服务
    • CDMO 服务
    • 临床试验 CRO 服务
    • Unity Lab Services
    • 查看所有帮助和支持
  • 帮助和支持
    • 学习中心
    • 联系我们
    • 更改国家或地区
    • 查看所有帮助和支持
  • 热门产品
    • TaqMan Real-Time PCR Assays
      TaqMan 实时荧光定量 PCR 试剂盒
    • Antibodies
      抗体
    • Oligos, Primers & Probes
      寡核苷酸、引物、探针
    • GeneArt Gene Synthesis
      GeneArt 基因合成
    • Cell Culture Plastics
      细胞培养耗材
  • Who We Serve
    • 抗体治疗解决方案
    • 细胞与基因治疗解决方案
    • 学术科研
    • 工业与应用
  • 联系我们
  • 货号直购
  • 订单查询
  • 查找文件&证书
Thermo Fisher Scientific Logo

Search

搜索全部或下列指定分类
Search button
          • 联系我们
          • 货号直购
          • 登录
            登录
            没有账号?建立账号 注册
            • 我的账号
            • 订单
            • 会员中心
            • 账单及发票查询
            • 定制产品及项目
          • Primary Antibodies ›
          • PKA alpha Antibodies

          Invitrogen

          PKA alpha (catalytic subunit) Recombinant Rabbit Monoclonal Antibody (PSH08-57)

          高级验证
          查看其他20个PKA alpha抗体

          {{$productOrderCtrl.translations['antibody.pdp.commerceCard.promotion.promotions']}}

          {{$productOrderCtrl.translations['antibody.pdp.commerceCard.promotion.viewpromo']}}

          {{$productOrderCtrl.translations['antibody.pdp.commerceCard.promotion.promocode']}}: {{promo.promoCode}} {{promo.promoTitle}} {{promo.promoDescription}}. {{$productOrderCtrl.translations['antibody.pdp.commerceCard.promotion.learnmore']}}

          说明书
          证书
          实验方案
          问题与答案
          技术支持
          说明书
          证书
          实验方案
          问题与答案
          技术支持
          说明书
          证书
          实验方案
          问题与答案
          技术支持

          Cite PKA alpha (catalytic subunit) Recombinant Rabbit Monoclonal Antibody (PSH08-57)

          Additional Information:
          {{banner.description}}
          {{$ctrl.isSkuNotesCollapsed ? 'View more' : 'View less'}}
          • 抗体检测数据 (17)
          • 高级验证 (1)
          PKA alpha (catalytic subunit) Antibody in Immunocytochemistry (ICC/IF)
          Group 53 Created with Sketch.
          PKA alpha (catalytic subunit) Antibody in Immunocytochemistry (ICC/IF)
          Group 53 Created with Sketch.

          图: 1 / 18

          {{ $ctrl.currentElement.advancedVerification.fullName }}
          {{ $ctrl.currentElement.advancedVerification.text }}

          PKA alpha (catalytic subunit) Antibody (MA562906) in ICC/IF

          Immunofluorescence analysis of PKA C-alpha was performed using 70% confluent log phase HeLa cells. The cells were fixed with 4% paraformaldehyde for 10 minutes and blocked with 2% BSA for 1 hour at room temperature. The cells were labeled with PKA C-alpha Recombinant Rabbit Monoclonal Antibody (PSH08-57) (Product # MA562906) at 1:100 dilution in 0.1% BSA, incubated at 4 degree Celsius overnight and then lab... View More {{ $ctrl.currentElement.advancedVerification.fullName }} 验证信息 View more
          已发表图片由___提供 benchsci-logo
          PMID: {{$ctrl.currentElement.benchSciPubmedId}}
          查看产品

          {{$ctrl.videoDesc}}

          {{$ctrl.videoLongDesc}}

          PKA alpha (catalytic subunit) Antibody in Immunocytochemistry (ICC/IF)
          PKA alpha (catalytic subunit) Antibody in Immunocytochemistry (ICC/IF)
          PKA alpha (catalytic subunit) Antibody in Immunocytochemistry (ICC/IF)
          PKA alpha (catalytic subunit) Antibody in Immunocytochemistry (ICC/IF)
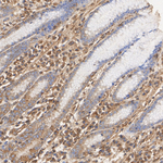
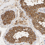
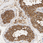
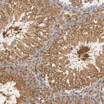
          PKA alpha (catalytic subunit) Antibody in Immunohistochemistry (Paraffin) (IHC (P))
          PKA alpha (catalytic subunit) Antibody in Immunohistochemistry (Paraffin) (IHC (P))
          PKA alpha (catalytic subunit) Antibody in Immunohistochemistry (Paraffin) (IHC (P))
          PKA alpha (catalytic subunit) Antibody in Immunohistochemistry (Paraffin) (IHC (P))
          PKA alpha (catalytic subunit) Antibody in Immunohistochemistry (Paraffin) (IHC (P))
          PKA alpha (catalytic subunit) Antibody in Western Blot (WB)
          PKA alpha (catalytic subunit) Antibody in Western Blot (WB)
          PKA alpha (catalytic subunit) Antibody in Western Blot (WB)
          PKA alpha (catalytic subunit) Antibody in Western Blot (WB)
          PKA alpha (catalytic subunit) Antibody in Flow Cytometry (Flow)
          PKA alpha (catalytic subunit) Antibody in Flow Cytometry (Flow)
          PKA alpha (catalytic subunit) Antibody in Flow Cytometry (Flow)
          PKA alpha (catalytic subunit) Antibody in Immunoprecipitation (IP)
          PKA alpha (catalytic subunit) Antibody
          PKA alpha (catalytic subunit) Recombinant Rabbit Monoclonal Antibody (PSH08-57)

          产品信息

          MA562906

          应用
          建议稀释比
          已发表文章

          免疫印迹 (WB)

          1:2,000
          -

          免疫组化(石蜡) (IHC (P))

          1:200-1:1,000
          -

          免疫细胞化学 (ICC/IF)

          1:50
          -

          流式细胞分析 (Flow)

          1:1,000
          -

          免疫沉淀 (IP)

          1-2 µg
          -
          产品规格

          种属反应

          Human, Mouse, Rat

          宿主/亚型

          Rabbit / IgG

          Expression System

          HEK293 cells

          分类

          Recombinant Monoclonal

          类型

          Antibody

          克隆号

          PSH08-57

          抗原

          Recombinant protein within human PKA C-alpha aa 1-351.
          3D表位/免疫原

          偶联物

          Unconjugated Unconjugated Unconjugated

          形式

          Liquid

          浓度

          1 mg/mL

          规格

          100 µg

          纯化类型

          Protein A

          保存液

          PBS, pH 7.4, with 0.1% BSA, 40% glycerol

          内含物

          0.05% sodium azide

          保存条件

          Store at 4°C short term. For long term storage, store at -20°C, avoiding freeze/thaw cycles.

          运输条件

          Ambient (domestic); Wet ice (international)

          RRID

          AB_3719761

          产品详细信息

          Positive Control: HEK-293 cell lysate, PC-3 cell lysate, MCF7 cell lysate, PC-12 cell lysate, C6 cell lysate, COS-1 cell lysate, NIH/3T3 cell lysate, human brain tissue, human stomach tissue, human testis tissue, mouse testis tissue, rat testis tissue, MCF7, NIH/3T3, C6, HEK-293.

          Tissue Specificity: Tissue enhanced (skeletal).

          Subcellular Location: Cytoplasm, Cell membrane, Membranem Nucleus, Mitochondrion.

          Sequence Similarities: 98% Mouse/Rat.

          Predicted band size: 41 kDa

          靶标信息

          Protein kinase A (PKA, cAMP-dependent protein kinase) is a key element of a ubiquitous signaling pathway important in the cell cycle, cellular communication, memory formation and behavior. PKA is composed of two catalytic (PKAc; Protein Kinase A catalytic subunit) and two regulatory subunits (PKAr). Upon binding cAMP, the complex dissociates to PKAr dimer and two activated PKAc ser/thr protein kinase catalytic monomers. The released PKAc can translocate into the nucleus and exert a regulatory role in the activation of multiple nuclear hormone receptors. However, PKAc-mediated activation of tonicity-dependent gene expression is cAMP independent. Humans express three types of PKAc subunit - PKAc alpha is present in most human tissues, PKAc beta and gamma are tissue-specific, the later is found in testes.

          仅用于科研。不用于诊断过程。未经明确授权不得转售。

          篇参考文献 (0)

          您是否在文献中引用过该产品?请点击下方按钮邮件告知我们。
          引用该产品

          生物信息学

          蛋白别名: C(s); C-alpha-2; C-alpha-S; C-alpha-s; alternatively spliced isoform; cAMP-dependent protein kinase catalytic subunit alpha; cAMP-dependent protein kinase catalytic subunit C alpha; MGC102831; MGC48865; PKA; PKA C-alpha; pkac; protein kinase A; protein kinase A catalytic subunit; protein kinase, cAMP-dependent, alpha catalytic subunit; protein kinase, cAMP-dependent, catalytic, alpha; sperm cAMP-dependent protein kinase catalytic subunit; unnamed protein product

          查看更多 收起

          基因别名: CAFD1; Cs-PKA; PKACA; PKCA1; PKCD; PPNAD4; PRKACA

          查看更多 收起

          UniProt ID: (Human) P17612, (Mouse) P05132

          查看更多 收起

          Entrez Gene ID: (Human) 5566, (Rat) 25636, (Mouse) 18747

          查看更多 收起

          功能
          nucleotide binding magnesium ion binding protein kinase activity protein serine/threonine kinase activity cAMP-dependent protein kinase activity protein serine/threonine/tyrosine kinase activity protein binding ATP binding kinase activity transferase activity protein kinase binding protein domain specific binding manganese ion binding ubiquitin protein ligase binding protein kinase A regulatory subunit binding channel activator activity protein serine kinase activity Rab GTPase binding protein complex binding transferase activity, transferring phosphorus-containing groups non-receptor serine/threonine protein kinase
          参与通路
          mesoderm formation neural tube closure regulation of heart rate renal water homeostasis mRNA processing protein phosphorylation protein export from nucleus adenylate cyclase-activating G-protein coupled receptor signaling pathway adenylate cyclase-inhibiting G-protein coupled receptor signaling pathway regulation of cardiac muscle contraction by regulation of the release of sequestered calcium ion regulation of macroautophagy peptidyl-serine phosphorylation cytokine-mediated signaling pathway cellular potassium ion homeostasis cellular response to nutrient levels positive regulation of insulin secretion negative regulation of interleukin-2 production high-density lipoprotein particle assembly cellular response to heat mitochondrial protein catabolic process interleukin-2-mediated signaling pathway TORC1 signaling proteasome-mediated ubiquitin-dependent protein catabolic process positive regulation of cholesterol biosynthetic process regulation of osteoblast differentiation positive regulation of gluconeogenesis negative regulation of smoothened signaling pathway positive regulation of protein export from nucleus sperm capacitation positive regulation of phagocytosis modulation of synaptic transmission positive regulation of calcium-mediated signaling regulation of cell cycle regulation of cardiac muscle contraction regulation of proteasomal protein catabolic process cellular response to cold regulation of protein processing cellular response to glucose stimulus cellular response to parathyroid hormone stimulus cellular response to glucagon stimulus cellular response to epinephrine stimulus cell communication by electrical coupling involved in cardiac conduction vascular endothelial cell response to laminar fluid shear stress postsynaptic modulation of chemical synaptic transmission cAMP/PKA signal transduction regulation of cardiac conduction negative regulation of TORC1 signaling negative regulation of glycolytic process through fructose-6-phosphate protein localization to lipid particle regulation of bicellular tight junction assembly positive regulation of cell proliferation peptidyl-threonine phosphorylation regulation of cellular respiration protein autophosphorylation negative regulation of meiotic cell cycle regulation of synaptic transmission, glutamatergic positive regulation of cell cycle arrest negative regulation of smoothened signaling pathway involved in dorsal/ventral neural tube patterning phosphorylation
          It has to be done as per old AB suggested Products section.

          Disclaimer

          Close

          Clicking the images or links will redirect you to a website hosted by BenchSci that provides third-party scientific content. Neither the content nor the BenchSci technology and processes for selection have been evaluated by us; we are providing them as-is and without warranty of any kind, including for use or application of the Thermo Fisher Scientific products presented.

          guarantee_icon

          性能保障

          只要您发现Invitrogen抗体在实验中的表现与网站或说明书的所述内容不符,您即可享受免费退换货服务。*

          了解更多
          help_icon

          随时为您服务

          获取常见问题的专家解答,或者直接联系我们的技术专家,咨询应用、设备、常规产品使用问题。

          联系技术支持
          订购 Plus Icon Minus Icon
          • 订单状态查询
          • 订单支持
          • 货号直购
          • 现货供应中心
          • 电子采购
          支持 Plus Icon Minus Icon
          • 帮助&支持
          • 联系我们 - 400 820 8982
          • 技术支持中心
          • 查找文件&证书
          • 报告网站问题
          资源 Plus Icon Minus Icon
          • 学习中心
          • 促销
          • 活动&研讨会
          • 社交媒体
          关于赛默飞 Plus Icon Minus Icon
          • 关于我们
          • 招聘 招聘
          • 投资者关系 投资者关系
          • 新闻 新闻
          • 社会责任 社会责任
          • 商标
          • 政策和通知
          品牌 Plus Icon Minus Icon
          • Thermo Scientific
          • Applied Biosystems
          • Invitrogen
          • Gibco
          • Ion Torrent
          • Unity Lab Services
          • Patheon
          • PPD
          • 服务条款
          • 隐私政策
          • 定价和运输保险政策
          © 2006-2026 Thermo Fisher Scientific Inc. All rights reserved. All trademarks are the property of Thermo Fisher Scientific and its subsidiaries unless otherwise specified.
          China flag icon
          China
          本网站销售的所有产品均不得用于人类或动物之临床诊断或治疗,仅可用于工业或者科研等非医疗目的。
             电子营业执照 | 经营证照公示 | ICP备案号:沪ICP备11003924号 | 沪公网安备 31011502006935号

          Your items have has been added!


          Host server : magellan-search-green-6479c7f679-jmhj8:80/100.66.74.142:80.
          git-commit: b70c0dceb888abc3b0dcebb5bc3a5b8753e7e816
          git-url: https://github.com/thermofisher/magellan-search
          git-branch: release/2.50.0-Offline