Hamburger Menu Button
Thermo Fisher Scientific Logo
登录
没有账号?建立账号 注册
  • 产品
    • 抗体
    • 引物合成
    • GeneArt Gene Synthesis Instant Designer
    • TaqMan Assay and Array Search
    • PCR 设备和耗材
    • 色谱柱和纯化柱
    • 实验室离心机
    • 分子生物学试剂和试剂盒
    • 实验室塑料耗材及用品
    • 查看所有产品分类
  • 应用和技术
    • 色谱
    • 细胞转染和培养
    • 实时荧光定量PCR
    • 质谱
    • 实验室塑料耗材及用品
    • 电子显微镜
    • 蛋白质生物学
    • PCR
    • RNAi
    • 环境
    • 查看所有应用和技术
  • 服务
    • 定制服务
    • 企业级实验室信息化服务
    • 企业服务
    • 金融&租赁服务
    • 仪器服务
    • OEM和商业供应
    • 培训服务
    • 360° CDMO 和 CRO 服务
    • CDMO 服务
    • 临床试验 CRO 服务
    • 查看所有帮助和支持
  • 帮助和支持
    • 学习中心
    • 联系我们
    • 更改国家或地区
    • 查看所有帮助和支持
  • 热门产品
    • TaqMan Real-Time PCR Assays
      TaqMan 实时荧光定量 PCR 试剂盒
    • Antibodies
      抗体
    • Oligos, Primers & Probes
      寡核苷酸、引物、探针
    • GeneArt Gene Synthesis
      GeneArt 基因合成
    • Cell Culture Plastics
      细胞培养耗材
  • 联系我们
  • 货号直购
  • 订单查询
  • 查找文件&证书
Thermo Fisher Scientific Logo

Search

搜索全部或下列指定分类
Search button
          • 联系我们
          • 货号直购
          • 登录
            登录
            没有账号?建立账号 注册
            • 我的账号
            • 订单
            • 账单及发票查询
            • 定制产品及项目

          Disclaimer

          Clicking the images or links will redirect you to a website hosted by BenchSci that provides third-party scientific content. Neither the content nor the BenchSci technology and processes for selection have been evaluated by us; we are providing them as-is and without warranty of any kind, including for use or application of the Thermo Fisher Scientific products presented.

          • Primary Antibodies ›
          • PKC alpha Antibodies

          Invitrogen

          PKC alpha Recombinant Rabbit Monoclonal Antibody (SU31-08)

          查看其他50个PKC alpha抗体

          {{$productOrderCtrl.translations['antibody.pdp.commerceCard.promotion.promotions']}}

          {{$productOrderCtrl.translations['antibody.pdp.commerceCard.promotion.viewpromo']}}

          {{$productOrderCtrl.translations['antibody.pdp.commerceCard.promotion.promocode']}}: {{promo.promoCode}} {{promo.promoTitle}} {{promo.promoDescription}}. {{$productOrderCtrl.translations['antibody.pdp.commerceCard.promotion.learnmore']}}

          说明书
          实验方案
          问题与答案
          技术支持
          说明书
          实验方案
          问题与答案
          技术支持
          说明书
          实验方案
          问题与答案
          技术支持

          Cite PKC alpha Recombinant Rabbit Monoclonal Antibody (SU31-08)

          • 抗体检测数据 (11)
          PKC alpha Antibody in Immunocytochemistry (ICC/IF)
          Group 53 Created with Sketch.
          PKC alpha Antibody in Immunocytochemistry (ICC/IF)
          Group 53 Created with Sketch.

          图: 1 / 11

          {{ $ctrl.currentElement.advancedVerification.fullName }}
          {{ $ctrl.currentElement.advancedVerification.text }}

          PKC alpha Antibody (MA5-32106) in ICC/IF

          Immunocytochemical analysis of PKC alpha in MCF-7 cells using a PKC alpha Monoclonal antibody (Product # MA5-32106) as seen in green. The nuclear counter stain is DAPI (blue). Cells were fixed in paraformaldehyde, permeabilised with 0.25% Triton X100/PBS. {{ $ctrl.currentElement.advancedVerification.fullName }} 验证信息 View more
          已发表图片由___提供 benchsci-logo
          PMID: {{$ctrl.currentElement.benchSciPubmedId}}
          查看产品

          {{$ctrl.videoDesc}}

          {{$ctrl.videoLongDesc}}

          PKC alpha Antibody in Immunocytochemistry (ICC/IF)
          PKC alpha Antibody in Immunocytochemistry (ICC/IF)
          PKC alpha Antibody in Immunocytochemistry (ICC/IF)
          PKC alpha Antibody in Immunocytochemistry (ICC/IF)
          PKC alpha Antibody in Immunocytochemistry (ICC/IF)
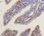
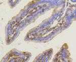
          PKC alpha Antibody in Immunohistochemistry (Paraffin) (IHC (P))
          PKC alpha Antibody in Immunohistochemistry (Paraffin) (IHC (P))
          PKC alpha Antibody in Immunohistochemistry (Paraffin) (IHC (P))
          PKC alpha Antibody in Immunohistochemistry (Paraffin) (IHC (P))
          PKC alpha Antibody in Western Blot (WB)
          PKC alpha Antibody in Flow Cytometry (Flow)
          PKC alpha Recombinant Rabbit Monoclonal Antibody (SU31-08)

          产品信息

          MA5-32106

          应用
          建议稀释比
          已发表文章

          免疫印迹 (WB)

          1:1,000-1:2,000
          -

          免疫组化(石蜡) (IHC (P))

          1:50-1:200
          -

          免疫细胞化学 (ICC/IF)

          1:50-1:200
          -

          流式细胞分析 (Flow)

          1:50-1:100
          -

          免疫沉淀 (IP)

          1:10-1:50
          -
          产品规格

          种属反应

          Human, Mouse, Rat

          宿主/亚型

          Rabbit / IgG

          Expression System

          HEK293 cells

          分类

          Recombinant Monoclonal

          类型

          Antibody

          克隆号

          SU31-08

          抗原

          Recombinant protein within Human PKC alpha aa 560-672
          查看免疫原

          偶联物

          Unconjugated Unconjugated Unconjugated

          形式

          Liquid

          浓度

          1 mg/mL

          纯化类型

          Protein A

          保存液

          TBS, pH 7.4, with 40% Glycerol, 0.05% BSA

          内含物

          0.05% sodium azide

          保存条件

          Store at 4°C short term. For long term storage, store at -20°C, avoiding freeze/thaw cycles.

          运输条件

          Ambient (domestic); Wet ice (international)

          RRID

          AB_2809399

          产品详细信息

          Recombinant rabbit monoclonal antibodies are produced using in vitro expression systems. The expression systems are developed by cloning in the specific antibody DNA sequences from immunoreactive rabbits. Then, individual clones are screened to select the best candidates for production. The advantages of using recombinant rabbit monoclonal antibodies include: better specificity and sensitivity, lot-to-lot consistency, animal origin-free formulations, and broader immunoreactivity to diverse targets due to larger rabbit immune repertoire.

          靶标信息

          The PKC family of serine/threonine kinases, including PRKCA (PKC alpha), is activated intracellularly by signal transduction pathways. In humans, at least 12 different PKC polypeptides have been identified. These isoforms differ in primary structure, tissue distribution, subcellular localization, mode of action in vitro, response to extracellular signals, and substrate specificity. PKC alpha, beta I, beta II, and gamma form the conventional family; their activities are Ca2+- and phospholipid-dependent. Protein kinase C (PKC) can be activated by calcium and the second messenger diacylglycerol. PKC family members phosphorylate a wide variety of protein targets and are known to be involved in diverse cellular signaling pathways. PKC family members also serve as major receptors for phorbol esters, a class of tumor promoters. Each member of the PKC family has a specific expression profile and is believed to play a distinct role in cells. The protein encoded by this gene is one of the PKC family members. This kinase has been reported to play roles in many different cellular processes, such as cell adhesion, cell transformation, cell cycle checkpoint, and cell volume control. Knockout studies in mice suggest that this kinase may be a fundamental regulator of cardiac contractility and Ca(2+) handling in myocytes.

          仅用于科研。不用于诊断过程。未经明确授权不得转售。

          篇参考文献 (0)

          您是否在文献中引用过该产品?请点击下方按钮邮件告知我们。
          引用该产品

          生物信息学

          蛋白别名: cAMP-dependent protein kinase catalytic subunit alpha; cAMP-dependent protein kinase catalytic subunit alpha, isoform 1; cAMP-dependent protein kinase catalytic subunit C alpha; EC 2.7.11.13; FHC; FTH; FTHL6; kinase PKC-alpha; KPCA; MGC104426; PIG15; PKA C-alpha; PKC III; PKC-A; PKC-alpha; PKC-III; PLIF; protein kinase A; protein kinase A catalytic subunit; Protein kinase C alpha type; protein kinase c-alpha; protein kinase, cAMP-dependent, alpha catalytic subunit; protein kinase, cAMP-dependent, catalytic, alpha; sperm cAMP-dependent protein kinase catalytic subunit

          查看更多 收起

          基因别名: AI875142; Cs-PKA; PKACA; Pkca; PKCA1; PKCD; PPNAD4; PRKACA; Prkca

          查看更多 收起

          UniProt ID: (Human) P17612, (Mouse) P05132, (Mouse) P20444

          查看更多 收起

          Entrez Gene ID: (Human) 5566, (Rat) 25636, (Mouse) 18747, (Mouse) 18750, (Rat) 24680

          查看更多 收起

          功能
          protein serine/threonine kinase activity cAMP-dependent protein kinase activity protein serine/threonine/tyrosine kinase activity protein binding ATP binding protein kinase binding ubiquitin protein ligase binding protein complex binding protein kinase A regulatory subunit binding protein kinase activity Rab GTPase binding nucleotide binding kinase activity transferase activity transferase activity, transferring phosphorus-containing groups protein kinase C activity calcium-dependent protein kinase C activity zinc ion binding enzyme binding histone kinase activity (H3-T6 specific) metal ion binding non-receptor serine/threonine protein kinase
          参与通路
          G2/M transition of mitotic cell cycle mesoderm formation neural tube closure regulation of heart rate stimulatory C-type lectin receptor signaling pathway renal water homeostasis mRNA processing protein phosphorylation blood coagulation positive regulation of cell proliferation regulation of cardiac muscle contraction by regulation of the release of sequestered calcium ion peptidyl-serine phosphorylation peptidyl-threonine phosphorylation activation of protein kinase A activity calcium-mediated signaling using intracellular calcium source lipoprotein metabolic process regulation of protein binding regulation of cellular respiration regulation of osteoblast differentiation protein autophosphorylation positive regulation of protein export from nucleus sperm capacitation negative regulation of meiotic cell cycle regulation of cytosolic calcium ion concentration regulation of synaptic transmission, glutamatergic regulation of cardiac muscle contraction regulation of ryanodine-sensitive calcium-release channel activity regulation of proteasomal protein catabolic process regulation of protein processing positive regulation of cell cycle arrest cellular response to glucose stimulus cellular response to parathyroid hormone stimulus cellular response to glucagon stimulus cellular response to epinephrine stimulus cell communication by electrical coupling involved in cardiac conduction negative regulation of smoothened signaling pathway involved in dorsal/ventral neural tube patterning regulation of cardiac conduction regulation of bicellular tight junction assembly modulation of synaptic transmission phosphorylation inactivation of MAPK activity response to reactive oxygen species angiogenesis negative regulation of protein phosphorylation positive regulation of protein phosphorylation positive regulation of endothelial cell proliferation regulation of the force of heart contraction chondrocyte differentiation desmosome assembly negative regulation of protein kinase activity cellular calcium ion homeostasis apoptotic process regulation of muscle contraction cell adhesion learning or memory negative regulation of cell proliferation positive regulation of endothelial cell migration positive regulation of cardiac muscle hypertrophy negative regulation of translation central nervous system neuron axonogenesis positive regulation of cell migration neutrophil chemotaxis positive regulation of lipopolysaccharide-mediated signaling pathway response to estradiol negative regulation of glial cell apoptotic process histone H3-T6 phosphorylation intracellular signal transduction peptidyl-serine autophosphorylation positive regulation of blood vessel endothelial cell migration response to ethanol positive regulation of macrophage differentiation positive regulation of angiogenesis positive regulation of cell adhesion negative regulation of heart contraction positive regulation of exocytosis positive regulation of mitotic cell cycle negative regulation of glucose import negative regulation of insulin receptor signaling pathway regulation of receptor-mediated endocytosis positive regulation of smooth muscle cell proliferation positive regulation of inflammatory response regulation of peptidyl-tyrosine phosphorylation induction of positive chemotaxis positive regulation of synapse assembly positive regulation of ERK1 and ERK2 cascade response to interleukin-1 cellular response to carbohydrate stimulus regulation of platelet aggregation intrinsic apoptotic signaling pathway positive regulation of dense core granule biogenesis aging response to mechanical stimulus response to toxic substance response to organic cyclic compound response to peptide hormone establishment of protein localization response to antibiotic response to corticosterone
          It has to be done as per old AB suggested Products section.
          guarantee_icon

          性能保障

          只要您发现Invitrogen抗体在实验中的表现与网站或说明书的所述内容不符,您即可享受免费退换货服务。*

          了解更多
          help_icon

          随时为您服务

          获取常见问题的专家解答,或者直接联系我们的技术专家,咨询应用、设备、常规产品使用问题。

          联系技术支持
          订购 Plus Icon Minus Icon
          • 订单状态查询
          • 订单支持
          • 货号直购
          • 现货供应中心
          • 电子采购
          支持 Plus Icon Minus Icon
          • 帮助&支持
          • 联系我们 - 400 820 8982
          • 技术支持中心
          • 查找文件&证书
          • 报告网站问题
          资源 Plus Icon Minus Icon
          • 学习中心
          • 促销
          • 活动&研讨会
          • 社交媒体
          关于赛默飞 Plus Icon Minus Icon
          • 关于我们
          • 招聘 招聘
          • 投资者关系 投资者关系
          • 新闻 新闻
          • 社会责任 社会责任
          • 商标
          • 政策和通知
          品牌 Plus Icon Minus Icon
          • Thermo Scientific
          • Applied Biosystems
          • Invitrogen
          • Gibco
          • Ion Torrent
          • Patheon
          • PPD
          • 服务条款
          • 隐私政策
          • 定价和运输保险政策
          © 2006-2026 Thermo Fisher Scientific Inc. All rights reserved. All trademarks are the property of Thermo Fisher Scientific and its subsidiaries unless otherwise specified.
          China flag icon
          China
          本网站销售的所有产品均不得用于人类或动物之临床诊断或治疗,仅可用于工业或者科研等非医疗目的。
             电子营业执照 | 经营证照公示 | ICP备案号:沪ICP备11003924号 | 沪公网安备 31011502006935号

          Your items have has been added!


          Host server : magellan-search-green-55658555d6-qfdf2:80/100.66.76.55:80.
          git-commit: ec8e7df5f8fec8d765bd419205f1b5046a016d37
          git-url: https://github.com/thermofisher/magellan-search
          git-branch: release/2.41.0-Offline