Hamburger Menu Button
Thermo Fisher Scientific Logo
登录
没有账号?建立账号 注册
  • 产品
    • 抗体
    • 引物合成
    • GeneArt Gene Synthesis Instant Designer
    • TaqMan Assay and Array Search
    • PCR 设备和耗材
    • 色谱柱和纯化柱
    • 实验室离心机
    • 分子生物学试剂和试剂盒
    • 实验室塑料耗材及用品
    • 查看所有产品分类
  • 应用和技术
    • 色谱
    • 细胞转染和培养
    • 实时荧光定量PCR
    • 质谱
    • 实验室塑料耗材及用品
    • 电子显微镜
    • 蛋白质生物学
    • PCR
    • RNAi
    • 环境
    • 查看所有应用和技术
  • 服务
    • 定制服务
    • 企业级实验室信息化服务
    • 企业服务
    • 金融&租赁服务
    • 仪器服务
    • OEM和商业供应
    • 培训服务
    • 360° CDMO 和 CRO 服务
    • CDMO 服务
    • 临床试验 CRO 服务
    • 查看所有帮助和支持
  • 帮助和支持
    • 学习中心
    • 联系我们
    • 更改国家或地区
    • 查看所有帮助和支持
  • 热门产品
    • TaqMan Real-Time PCR Assays
      TaqMan 实时荧光定量 PCR 试剂盒
    • Antibodies
      抗体
    • Oligos, Primers & Probes
      寡核苷酸、引物、探针
    • GeneArt Gene Synthesis
      GeneArt 基因合成
    • Cell Culture Plastics
      细胞培养耗材
  • 联系我们
  • 货号直购
  • 订单查询
  • 查找文件&证书
Thermo Fisher Scientific Logo

Search

搜索全部或下列指定分类
Search button
          • 联系我们
          • 货号直购
          • 登录
            登录
            没有账号?建立账号 注册
            • 我的账号
            • 订单
            • 账单及发票查询
            • 定制产品及项目

          Disclaimer

          Clicking the images or links will redirect you to a website hosted by BenchSci that provides third-party scientific content. Neither the content nor the BenchSci technology and processes for selection have been evaluated by us; we are providing them as-is and without warranty of any kind, including for use or application of the Thermo Fisher Scientific products presented.

          • Primary Antibodies ›
          • PKC theta Antibodies

          Bioss

          PKC theta Polyclonal Antibody

          查看其他23个PKC theta抗体

          {{$productOrderCtrl.translations['antibody.pdp.commerceCard.promotion.promotions']}}

          {{$productOrderCtrl.translations['antibody.pdp.commerceCard.promotion.viewpromo']}}

          {{$productOrderCtrl.translations['antibody.pdp.commerceCard.promotion.promocode']}}: {{promo.promoCode}} {{promo.promoTitle}} {{promo.promoDescription}}. {{$productOrderCtrl.translations['antibody.pdp.commerceCard.promotion.learnmore']}}

          说明书
          实验方案
          问题与答案
          技术支持
          说明书
          实验方案
          问题与答案
          技术支持
          说明书
          实验方案
          问题与答案
          技术支持

          Cite PKC theta Polyclonal Antibody

          • 抗体检测数据 (1)
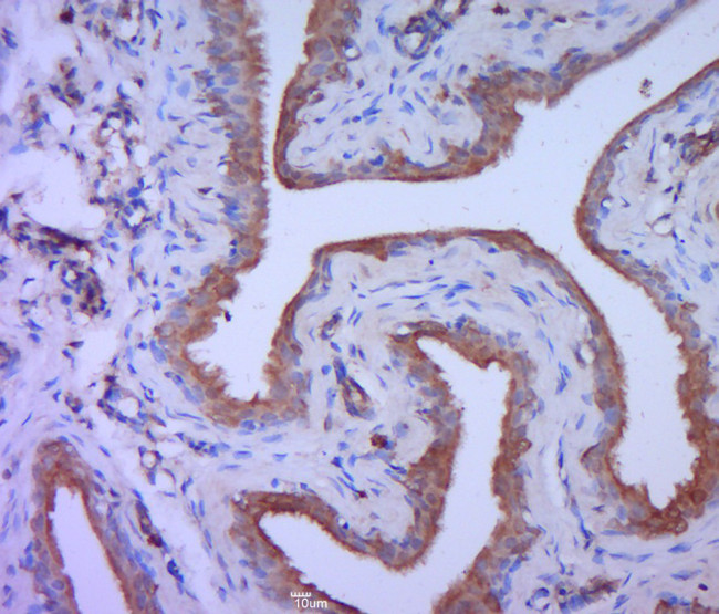
          PKC theta Antibody in Immunohistochemistry (Paraffin) (IHC (P))
          Group 53 Created with Sketch.
          PKC theta Antibody in Immunohistochemistry (Paraffin) (IHC (P))
          Group 53 Created with Sketch.

          图: 1 / 1

          {{ $ctrl.currentElement.advancedVerification.fullName }}
          {{ $ctrl.currentElement.advancedVerification.text }}

          PKC theta Antibody (BS-4161R) in IHC (P)

          Paraformaldehyde-fixed, paraffin embedded rat bladder; Antigen retrieval by boiling in sodium citrate buffer (pH6.0) for 15min; Block endogenous peroxidase by 3% hydrogen peroxide for 20 minutes; Blocking buffer (normal goat serum) at 37°C for 30min; Antibody incubation with PKC theta Polyclonal Antibody, Unconjugated (bs-4161R) at 1:400 overnight at 4°C, followed by a conjugated secondary for 20 minutes an... View More {{ $ctrl.currentElement.advancedVerification.fullName }} 验证信息 View more
          已发表图片由___提供 benchsci-logo
          PMID: {{$ctrl.currentElement.benchSciPubmedId}}
          查看产品

          {{$ctrl.videoDesc}}

          {{$ctrl.videoLongDesc}}

          PKC theta Antibody in Immunohistochemistry (Paraffin) (IHC (P))
          PKC theta Polyclonal Antibody

          产品信息

          BS-4161R

          应用
          建议稀释比
          已发表文章

          免疫印迹 (WB)

          1:500-1:2,000
          -

          免疫组化(石蜡) (IHC (P))

          1:400
          -

          免疫组化(冰冻) (IHC (F))

          1:100-1:500
          -

          免疫细胞化学 (ICC/IF)

          1:50-1:200
          -

          酶联免疫吸附实验 (ELISA)

          1:500-1:1,000
          -
          产品规格

          种属反应

          Human, Mouse, Rat

          宿主/亚型

          Rabbit / IgG

          分类

          Polyclonal

          类型

          Antibody

          抗原

          KLH conjugated synthetic peptide derived from human PKC ta, amino acids 351-450.
          查看免疫原

          偶联物

          Unconjugated Unconjugated Unconjugated

          形式

          Liquid

          浓度

          1 mg/mL

          纯化类型

          Protein A

          保存液

          0.01M TBS, pH 7.4, with 50% glycerol, 1% BSA

          内含物

          0.02% ProClin 300

          保存条件

          -20°C

          运输条件

          Ambient (domestic); Wet ice (international)

          靶标信息

          Protein Kinase C (PKC) isoforms are serine/threonine kinases involved in signal transduction pathways that govern a wide range of physiological processes including differentiation, proliferation, gene expression, brain function, membrane transport and the organization of cytoskeletal and extracellular matrix proteins. Increasing evidence from studies using in vitro and in vivo systems points to PKC as a key regulator of critical cell cycle transitions, including cell cycle entry and exit and the G1 and G2 checkpoints. PKC-mediated control of these transitions can be negative or positive, depending on the timing of PKC activation during the cell cycle and on the specific PKC isozymes involve. There have been at least 12 different PKC isoforms identified in humans to date, including alpha, beta I, beta II, gamma, delta, epsilon, zeta, eta, theta, iota, lambda, and mu. The different PKC isoforms vary in structure, subcellular localization, tissue distribution and response to extracellular signals. PKC beta II has been shown to be expressed, in part, in cardiac muscle, intestinal epithelium, kidney and pancreas. PKC beta II has been shown to be involved in cell cycle progression and cancer proliferation.

          仅用于科研。不用于诊断过程。未经明确授权不得转售。

          篇参考文献 (0)

          您是否在文献中引用过该产品?请点击下方按钮邮件告知我们。
          引用该产品

          生物信息学

          蛋白别名: EC 2.7.11.13; kinase nPKC-theta; KPCT; MGC126514; MGC141919; nPKC-theta; PKC theta; Protein kinase C theta type; protein kinase C, theta; RP11-563J2.1

          查看更多 收起

          基因别名: A130035A12Rik; AW494342; nPKC-theta; PKC-0; PKC-theta; Pkcq; PKCtheta; PRKCQ; PRKCT

          查看更多 收起

          UniProt ID: (Human) Q04759, (Mouse) Q02111

          查看更多 收起

          Entrez Gene ID: (Human) 5588, (Mouse) 18761, (Rat) 85420

          查看更多 收起

          功能
          protein kinase activity protein serine/threonine kinase activity protein kinase C activity protein binding ATP binding metal ion binding nucleotide binding kinase activity transferase activity transferase activity, transferring phosphorus-containing groups non-receptor serine/threonine protein kinase
          参与通路
          regulation of cell growth response to hypoxia regulation of transcription, DNA-templated membrane protein ectodomain proteolysis cellular component disassembly involved in execution phase of apoptosis inflammatory response axon guidance aging response to heat response to glucose regulation of G2/M transition of mitotic cell cycle response to organic cyclic compound peptidyl-serine phosphorylation regulation of vasoconstriction platelet activation positive regulation of telomere maintenance via telomerase positive regulation of interleukin-17 production positive regulation of interleukin-4 production response to insulin intracellular signal transduction Fc-epsilon receptor signaling pathway positive regulation of T cell proliferation tissue regeneration positive regulation of NF-kappaB import into nucleus positive regulation of interleukin-2 biosynthetic process respiratory burst negative regulation of insulin receptor signaling pathway positive regulation of protein secretion T cell receptor signaling pathway positive regulation of T cell activation positive regulation of NF-kappaB transcription factor activity positive regulation of filopodium assembly positive regulation of stress fiber assembly positive regulation of telomerase activity cell chemotaxis negative regulation of T cell apoptotic process regulation of platelet aggregation positive regulation of telomere capping positive regulation of T-helper 17 type immune response positive regulation of T-helper 2 cell activation immune system process protein phosphorylation phosphorylation neuron differentiation
          It has to be done as per old AB suggested Products section.
          guarantee_icon

          性能保障

          只要您发现Invitrogen抗体在实验中的表现与网站或说明书的所述内容不符,您即可享受免费退换货服务。*

          了解更多
          help_icon

          随时为您服务

          获取常见问题的专家解答,或者直接联系我们的技术专家,咨询应用、设备、常规产品使用问题。

          联系技术支持
          订购 Plus Icon Minus Icon
          • 订单状态查询
          • 订单支持
          • 货号直购
          • 现货供应中心
          • 电子采购
          支持 Plus Icon Minus Icon
          • 帮助&支持
          • 联系我们 - 400 820 8982
          • 技术支持中心
          • 查找文件&证书
          • 报告网站问题
          资源 Plus Icon Minus Icon
          • 学习中心
          • 促销
          • 活动&研讨会
          • 社交媒体
          关于赛默飞 Plus Icon Minus Icon
          • 关于我们
          • 招聘 招聘
          • 投资者关系 投资者关系
          • 新闻 新闻
          • 社会责任 社会责任
          • 商标
          • 政策和通知
          品牌 Plus Icon Minus Icon
          • Thermo Scientific
          • Applied Biosystems
          • Invitrogen
          • Gibco
          • Ion Torrent
          • Patheon
          • PPD
          • 服务条款
          • 隐私政策
          • 定价和运输保险政策
          © 2006-2026 Thermo Fisher Scientific Inc. All rights reserved. All trademarks are the property of Thermo Fisher Scientific and its subsidiaries unless otherwise specified.
          China flag icon
          China
          本网站销售的所有产品均不得用于人类或动物之临床诊断或治疗,仅可用于工业或者科研等非医疗目的。
             电子营业执照 | 经营证照公示 | ICP备案号:沪ICP备11003924号 | 沪公网安备 31011502006935号

          Your items have has been added!


          Host server : magellan-search-green-55658555d6-qfdf2:80/100.66.76.55:80.
          git-commit: ec8e7df5f8fec8d765bd419205f1b5046a016d37
          git-url: https://github.com/thermofisher/magellan-search
          git-branch: release/2.41.0-Offline