Hamburger Menu Button
Thermo Fisher Scientific Logo
登录
没有账号?建立账号 注册
  • 产品
    • 抗体
    • 引物合成
    • GeneArt Gene Synthesis Instant Designer
    • TaqMan Assay and Array Search
    • PCR 设备和耗材
    • 色谱柱和纯化柱
    • 实验室离心机
    • 分子生物学试剂和试剂盒
    • 实验室塑料耗材及用品
    • 查看所有产品分类
  • 应用和技术
    • 色谱
    • 细胞转染和培养
    • 实时荧光定量PCR
    • 质谱
    • 实验室塑料耗材及用品
    • 电子显微镜
    • 蛋白质生物学
    • PCR
    • RNAi
    • 环境
    • 查看所有应用和技术
  • 服务
    • 定制服务
    • 企业级实验室信息化服务
    • 企业服务
    • 金融&租赁服务
    • 仪器服务
    • OEM和商业供应
    • 培训服务
    • 360° CDMO 和 CRO 服务
    • CDMO 服务
    • 临床试验 CRO 服务
    • 查看所有帮助和支持
  • 帮助和支持
    • 学习中心
    • 联系我们
    • 更改国家或地区
    • 查看所有帮助和支持
  • 热门产品
    • TaqMan Real-Time PCR Assays
      TaqMan 实时荧光定量 PCR 试剂盒
    • Antibodies
      抗体
    • Oligos, Primers & Probes
      寡核苷酸、引物、探针
    • GeneArt Gene Synthesis
      GeneArt 基因合成
    • Cell Culture Plastics
      细胞培养耗材
  • 联系我们
  • 货号直购
  • 订单查询
  • 查找文件&证书
Thermo Fisher Scientific Logo

Search

搜索全部或下列指定分类
Search button
          • 联系我们
          • 货号直购
          • 登录
            登录
            没有账号?建立账号 注册
            • 我的账号
            • 订单
            • 账单及发票查询
            • 定制产品及项目

          Disclaimer

          Clicking the images or links will redirect you to a website hosted by BenchSci that provides third-party scientific content. Neither the content nor the BenchSci technology and processes for selection have been evaluated by us; we are providing them as-is and without warranty of any kind, including for use or application of the Thermo Fisher Scientific products presented.

          • Primary Antibodies ›
          • PKD2 Antibodies

          Invitrogen

          PKD2 Monoclonal Antibody (K49022_2E5)

          查看其他13个PKD2抗体

          {{$productOrderCtrl.translations['antibody.pdp.commerceCard.promotion.promotions']}}

          {{$productOrderCtrl.translations['antibody.pdp.commerceCard.promotion.viewpromo']}}

          {{$productOrderCtrl.translations['antibody.pdp.commerceCard.promotion.promocode']}}: {{promo.promoCode}} {{promo.promoTitle}} {{promo.promoDescription}}. {{$productOrderCtrl.translations['antibody.pdp.commerceCard.promotion.learnmore']}}

          说明书
          实验方案
          问题与答案
          技术支持
          说明书
          实验方案
          问题与答案
          技术支持
          说明书
          实验方案
          问题与答案
          技术支持

          Cite PKD2 Monoclonal Antibody (K49022_2E5)

          • 抗体检测数据 (2)
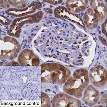
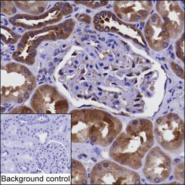
          PKD2 Antibody in Immunohistochemistry (Paraffin) (IHC (P))
          Group 53 Created with Sketch.
          PKD2 Antibody in Immunohistochemistry (Paraffin) (IHC (P))
          Group 53 Created with Sketch.

          图: 1 / 2

          {{ $ctrl.currentElement.advancedVerification.fullName }}
          {{ $ctrl.currentElement.advancedVerification.text }}

          PKD2 Antibody (MA5-55690) in IHC (P)

          Immunohistochemistry analysis of PKD2 in paraffin-embedded kidney tissue. Sample was incubated with PKD2 monoclonal antibody (Product # MA5-55690) at a dilution of 1 µg/mL (RT, 1 hour). Antigen was retrieved through addition of boiling Tris/EDTA buffer pH 9 in a pressure cooker for 3 min. Endogenous peroxidase activity was quenched by incubating the sections with 3% H2O2 for 30 min at room temperature. Poly... View More {{ $ctrl.currentElement.advancedVerification.fullName }} 验证信息 View more
          已发表图片由___提供 benchsci-logo
          PMID: {{$ctrl.currentElement.benchSciPubmedId}}
          查看产品

          {{$ctrl.videoDesc}}

          {{$ctrl.videoLongDesc}}

          PKD2 Antibody in Immunohistochemistry (Paraffin) (IHC (P))
          PKD2 Antibody in Western Blot (WB)
          PKD2 Monoclonal Antibody (K49022_2E5)

          产品信息

          MA5-55690

          应用
          建议稀释比
          已发表文章

          免疫印迹 (WB)

          1:1,000
          -

          免疫组化(石蜡) (IHC (P))

          1:1,000
          -
          产品规格

          种属反应

          Human, Mouse

          宿主/亚型

          Mouse / IgG1

          分类

          Monoclonal

          类型

          Antibody

          克隆号

          K49022_2E5

          抗原

          Recombinant human PKD2 (immunogen range is 701-950).
          查看免疫原

          偶联物

          Unconjugated Unconjugated Unconjugated

          形式

          Liquid

          浓度

          1 mg/mL

          纯化类型

          Protein A

          保存液

          PBS with 50% glycerol, 0.5% BSA

          内含物

          0.09% sodium azide

          保存条件

          Store at 4°C short term. For long term storage, store at -20°C, avoiding freeze/thaw cycles.

          RRID

          AB_3667922

          产品详细信息

          Sequence of this protein is as follows: SDLIRKGYHK ALVKLKLKKN TVDDISESLR QGGGKLNFDE LRQDLKGKGH TDAEIEAIFT KYDQDGDQEL TEHEHQQMRD DLEKEREDLD LDHSSLPRPM SSRSFPRSLD DSEEDDDEDS GHSSRRRGSI SSGVSYEEFQ VLVRRVDRME HSIGSIVSKI DAVIVKLEIM ERAKLKRREV LGRLLDGVAE DERLGRDSEI HREQMERLVR EELERWESDD AASQISHGLG TPVGLNGQPR PRSSRPSSSQ

          靶标信息

          This gene encodes a member of the polycystin protein family. The encoded protein contains multiple transmembrane domains, and cytoplasmic N- and C-termini. The protein may be an integral membrane protein involved in cell-cell/matrix interactions. The encoded protein may function in renal tubular development, morphology, and function, and may modulate intracellular calcium homoeostasis and other signal transduction pathways. This protein interacts with polycystin 1 to produce cation-permeable currents. Mutations in this gene have been associated with autosomal dominant polycystic kidney disease.

          仅用于科研。不用于诊断过程。未经明确授权不得转售。

          篇参考文献 (0)

          您是否在文献中引用过该产品?请点击下方按钮邮件告知我们。
          引用该产品

          生物信息学

          蛋白别名: A MGC138466; Autosomal dominant polycystic kidney disease type II protein; MGC138468; PC2; polycystic kidney disease 2 (autosomal dominant); Polycystic kidney disease 2 protein; Polycystic kidney disease 2 protein homolog; polycystin 2; Polycystin-2; Polycystwin; R48321; Transient receptor potential cation channel subfamily P member 2; transient receptor potential cation channel, subfamily P, member 2; TRPP1

          查看更多 收起

          基因别名: APKD2; C030034P18Rik; Pc-2; PC2; PKD2; PKD4; TRPP2

          查看更多 收起

          UniProt ID: (Human) Q13563, (Mouse) O35245

          查看更多 收起

          Entrez Gene ID: (Human) 5311, (Mouse) 18764

          查看更多 收起

          功能
          receptor binding voltage-gated ion channel activity voltage-gated calcium channel activity voltage-gated sodium channel activity potassium channel activity calcium ion binding protein binding cytoskeletal protein binding voltage-gated cation channel activity identical protein binding protein homodimerization activity actinin binding HLH domain binding ion channel binding calcium-induced calcium release activity ATPase binding phosphoprotein binding muscle alpha-actinin binding calcium channel activity channel activity metal ion binding alpha-actinin binding ion channel
          参与通路
          branching involved in ureteric bud morphogenesis liver development embryonic placenta development heart looping detection of nodal flow calcium ion transport cell cycle arrest JAK-STAT cascade determination of left/right symmetry heart development negative regulation of cell proliferation spinal cord development neural tube development regulation of cAMP metabolic process positive regulation of inositol 1,4,5-trisphosphate-sensitive calcium-release channel activity positive regulation of cyclin-dependent protein serine/threonine kinase activity involved in G1/S transition of mitotic cell cycle cellular response to reactive oxygen species metanephric part of ureteric bud development sodium ion transmembrane transport aorta development regulation of cell proliferation cytoplasmic sequestering of transcription factor positive regulation of nitric oxide biosynthetic process positive regulation of transcription from RNA polymerase II promoter detection of mechanical stimulus release of sequestered calcium ion into cytosol centrosome duplication regulation of postsynaptic membrane potential negative regulation of ryanodine-sensitive calcium-release channel activity placenta blood vessel development renal tubule morphogenesis renal artery morphogenesis calcium ion transmembrane transport positive regulation of cell cycle arrest cellular response to hydrostatic pressure cellular response to osmotic stress cellular response to fluid shear stress potassium ion transmembrane transport determination of liver left/right asymmetry metanephric mesenchyme development mesonephric tubule development mesonephric duct development metanephric smooth muscle tissue development metanephric cortex development metanephric ascending thin limb development metanephric cortical collecting duct development metanephric distal tubule development metanephric S-shaped body morphogenesis regulation of calcium ion import negative regulation of G1/S transition of mitotic cell cycle kidney development transport ion transport cellular calcium ion homeostasis positive regulation of cytosolic calcium ion concentration positive regulation of gene expression transmembrane transport renal system development
          It has to be done as per old AB suggested Products section.
          guarantee_icon

          性能保障

          只要您发现Invitrogen抗体在实验中的表现与网站或说明书的所述内容不符,您即可享受免费退换货服务。*

          了解更多
          help_icon

          随时为您服务

          获取常见问题的专家解答,或者直接联系我们的技术专家,咨询应用、设备、常规产品使用问题。

          联系技术支持
          订购 Plus Icon Minus Icon
          • 订单状态查询
          • 订单支持
          • 货号直购
          • 现货供应中心
          • 电子采购
          支持 Plus Icon Minus Icon
          • 帮助&支持
          • 联系我们 - 400 820 8982
          • 技术支持中心
          • 查找文件&证书
          • 报告网站问题
          资源 Plus Icon Minus Icon
          • 学习中心
          • 促销
          • 活动&研讨会
          • 社交媒体
          关于赛默飞 Plus Icon Minus Icon
          • 关于我们
          • 招聘 招聘
          • 投资者关系 投资者关系
          • 新闻 新闻
          • 社会责任 社会责任
          • 商标
          • 政策和通知
          品牌 Plus Icon Minus Icon
          • Thermo Scientific
          • Applied Biosystems
          • Invitrogen
          • Gibco
          • Ion Torrent
          • Patheon
          • PPD
          • 服务条款
          • 隐私政策
          • 定价和运输保险政策
          © 2006-2025 Thermo Fisher Scientific Inc. All rights reserved. All trademarks are the property of Thermo Fisher Scientific and its subsidiaries unless otherwise specified.
          China flag icon
          China
          本网站销售的所有产品均不得用于人类或动物之临床诊断或治疗,仅可用于工业或者科研等非医疗目的。
             电子营业执照 | 经营证照公示 | ICP备案号:沪ICP备11003924号 | 沪公网安备 31011502006935号

          Your items have has been added!


          Host server : magellan-search-green-55658555d6-pnd5g:80/100.66.79.83:80.
          git-commit: ec8e7df5f8fec8d765bd419205f1b5046a016d37
          git-url: https://github.com/thermofisher/magellan-search
          git-branch: release/2.41.0-Offline