Hamburger Menu Button
Thermo Fisher Scientific Logo
登录
没有账号?建立账号 注册
  • 产品
    • 抗体
    • 引物合成
    • GeneArt Gene Synthesis Instant Designer
    • TaqMan Assay and Array Search
    • PCR 设备和耗材
    • 色谱柱和纯化柱
    • 实验室离心机
    • 分子生物学试剂和试剂盒
    • 实验室塑料耗材及用品
    • 查看所有产品分类
  • 应用和技术
    • 色谱
    • 细胞转染和培养
    • 实时荧光定量PCR
    • 质谱
    • 实验室塑料耗材及用品
    • 电子显微镜
    • 蛋白质生物学
    • PCR
    • RNAi
    • 环境
    • 查看所有应用和技术
  • 服务
    • 定制服务
    • 企业级实验室信息化服务
    • 金融&租赁服务
    • 仪器服务
    • OEM和商业供应
    • 培训服务
    • 360° CDMO 和 CRO 服务
    • CDMO 服务
    • 临床试验 CRO 服务
    • Unity Lab Services
    • 查看所有帮助和支持
  • 帮助和支持
    • 学习中心
    • 联系我们
    • 更改国家或地区
    • 查看所有帮助和支持
  • 热门产品
    • TaqMan Real-Time PCR Assays
      TaqMan 实时荧光定量 PCR 试剂盒
    • Antibodies
      抗体
    • Oligos, Primers & Probes
      寡核苷酸、引物、探针
    • GeneArt Gene Synthesis
      GeneArt 基因合成
    • Cell Culture Plastics
      细胞培养耗材
  • Who We Serve
    • 抗体治疗解决方案
    • 细胞与基因治疗解决方案
    • 学术科研
    • 工业与应用
  • 联系我们
  • 货号直购
  • 订单查询
  • 查找文件&证书
Thermo Fisher Scientific Logo

Search

搜索全部或下列指定分类
Search button
          • 联系我们
          • 货号直购
          • 登录
            登录
            没有账号?建立账号 注册
            • 我的账号
            • 订单
            • 会员中心
            • 账单及发票查询
            • 定制产品及项目
          • Primary Antibodies ›
          • PKR Antibodies

          Invitrogen

          PKR Recombinant Rabbit Monoclonal Antibody (25GB4175)

          查看其他44个PKR抗体

          {{$productOrderCtrl.translations['antibody.pdp.commerceCard.promotion.promotions']}}

          {{$productOrderCtrl.translations['antibody.pdp.commerceCard.promotion.viewpromo']}}

          {{$productOrderCtrl.translations['antibody.pdp.commerceCard.promotion.promocode']}}: {{promo.promoCode}} {{promo.promoTitle}} {{promo.promoDescription}}. {{$productOrderCtrl.translations['antibody.pdp.commerceCard.promotion.learnmore']}}

          说明书
          证书
          实验方案
          问题与答案
          技术支持
          说明书
          证书
          实验方案
          问题与答案
          技术支持
          说明书
          证书
          实验方案
          问题与答案
          技术支持

          Cite PKR Recombinant Rabbit Monoclonal Antibody (25GB4175)

          Additional Information:
          {{banner.description}}
          {{$ctrl.isSkuNotesCollapsed ? 'View more' : 'View less'}}
          • 抗体检测数据 (4)
          PKR Antibody in Immunocytochemistry (ICC/IF)
          Group 53 Created with Sketch.
          PKR Antibody in Immunocytochemistry (ICC/IF)
          Group 53 Created with Sketch.

          图: 1 / 4

          {{ $ctrl.currentElement.advancedVerification.fullName }}
          {{ $ctrl.currentElement.advancedVerification.text }}

          PKR Antibody (MA570897) in ICC/IF

          Immunocytochemistry analysis of PKR in HepG2 cells. Sample was incubated with PKR monoclonal antibody (Product # MA570897) at a dilution of 1:1,000. Nuclei were stained blue with DAPI and Alexa Fluor 647. Images were taken using Leica stellaris 5. Protein abundance based on laser Intensity and smart gain: High. Scale bar, 20 μm. {{ $ctrl.currentElement.advancedVerification.fullName }} 验证信息 View more
          已发表图片由___提供 benchsci-logo
          PMID: {{$ctrl.currentElement.benchSciPubmedId}}
          查看产品

          {{$ctrl.videoDesc}}

          {{$ctrl.videoLongDesc}}

          PKR Antibody in Immunocytochemistry (ICC/IF)
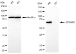
          PKR Antibody in Western Blot (WB)
          PKR Antibody in Western Blot (WB)
          PKR Antibody in Flow Cytometry (Flow)
          PKR Recombinant Rabbit Monoclonal Antibody (25GB4175)

          产品信息

          MA570897

          应用
          建议稀释比
          已发表文章

          免疫印迹 (WB)

          1:20,000
          -

          免疫细胞化学 (ICC/IF)

          1:1,000
          -

          流式细胞分析 (Flow)

          1:2,000
          -
          产品规格

          种属反应

          Human

          宿主/亚型

          Rabbit / IgG

          Expression System

          HEK293F

          分类

          Recombinant Monoclonal

          类型

          Antibody

          克隆号

          25GB4175

          抗原

          A synthesized peptide derived from human (500-551) PKR.
          3D表位/免疫原

          偶联物

          Unconjugated Unconjugated Unconjugated

          形式

          Liquid

          纯化类型

          Antigen affinity chromatography

          保存液

          PBS, pH 7.4, with 50% glycerol

          内含物

          0.02% sodium azide

          保存条件

          -20°C

          运输条件

          Ambient (domestic); Dry ice (international)

          靶标信息

          EIF2AK2 (PKR) is one of 4 kinases that specifically phosphorylate Ser51 of translation initiation factor eIF2-alpha in response to various environmental stresses. EIF2AK2 plays a key role in antiviral defense mediated through its direct activation by double-stranded RNA produced by viral infection. PKR plays a key role in IFN induced-innate antiviral response, virus-induced apoptosis, cell growth & differentiation. PKR induces apoptosis by up-regulating Fas expression and mediates FADD/Caspase-8 death signaling pathway. Upon viral infection, it functions as a dual protein, sequentially activating both cell survival & cell death pathways using kinase independent and dependent strategies. PRKR regulates multiple pathways which include NF-kappaB activation, p53, p38, & PDGF signaling pathway. PKR has been implicated in tumor suppression & malignancy. To evade the antiviral effects of PKR, viruses have evolved multiple mechanisms, such as the inhibition of PKR by the non-structural protein (NS1) of the influenza virus. More recently, PKR has been implicated in several neurodegenerative diseases including Alzheimer, Huntington, and amyotrophic lateral sclerosis.

          仅用于科研。不用于诊断过程。未经明确授权不得转售。

          篇参考文献 (0)

          您是否在文献中引用过该产品?请点击下方按钮邮件告知我们。
          引用该产品

          生物信息学

          蛋白别名: double stranded RNA activated protein kinase; EC 2.7.11.1; eIF-2A protein kinase 2; eIF2a Kinase; Eukaryotic translation initiation factor 2-alpha kinase 2; Interferon-induced, double-stranded RNA-activated protein kinase; interferon-inducible elF2alpha kinase; Interferon-inducible RNA-dependent protein kinase; MGC126524; OTTHUMP00000201320; P1/eIF-2A protein kinase; p68 kinase; PKR; PRKR; protein kinase R; Protein kinase RNA-activated; protein kinase RNA-regulated; protein kinase, interferon-inducible double stranded RNA dependent; protein phosphatase 1, regulatory subunit 83; Tyrosine-protein kinase EIF2AK2; unnamed protein product

          查看更多 收起

          基因别名: DYT33; EIF2AK1; EIF2AK2; LEUDEN; PKR; PPP1R83; PRKR

          查看更多 收起

          UniProt ID: (Human) P19525

          查看更多 收起

          Entrez Gene ID: (Human) 5610

          查看更多 收起

          功能
          nucleotide binding RNA binding double-stranded RNA binding protein kinase activity protein serine/threonine kinase activity eukaryotic translation initiation factor 2alpha kinase activity protein tyrosine kinase activity non-membrane spanning protein tyrosine kinase activity protein binding ATP binding kinase activity transferase activity protein phosphatase regulator activity identical protein binding protein serine kinase activity
          参与通路
          positive regulation of cytokine production immune system process translation translational initiation regulation of translational initiation protein phosphorylation negative regulation of cell proliferation response to virus negative regulation of translation endoplasmic reticulum unfolded protein response positive regulation of chemokine production positive regulation of stress-activated MAPK cascade negative regulation of osteoblast proliferation cellular response to amino acid starvation response to interferon-alpha negative regulation of apoptotic process positive regulation of MAPK cascade negative regulation of viral genome replication innate immune response protein autophosphorylation positive regulation of NF-kappaB transcription factor activity defense response to virus antiviral innate immune response regulation of NLRP3 inflammasome complex assembly positive regulation of NIK/NF-kappaB signaling regulation of hematopoietic progenitor cell differentiation regulation of hematopoietic stem cell proliferation regulation of hematopoietic stem cell differentiation
          It has to be done as per old AB suggested Products section.

          Disclaimer

          Close

          Clicking the images or links will redirect you to a website hosted by BenchSci that provides third-party scientific content. Neither the content nor the BenchSci technology and processes for selection have been evaluated by us; we are providing them as-is and without warranty of any kind, including for use or application of the Thermo Fisher Scientific products presented.

          guarantee_icon

          性能保障

          只要您发现Invitrogen抗体在实验中的表现与网站或说明书的所述内容不符,您即可享受免费退换货服务。*

          了解更多
          help_icon

          随时为您服务

          获取常见问题的专家解答,或者直接联系我们的技术专家,咨询应用、设备、常规产品使用问题。

          联系技术支持
          订购 Plus Icon Minus Icon
          • 订单状态查询
          • 订单支持
          • 货号直购
          • 现货供应中心
          • 电子采购
          支持 Plus Icon Minus Icon
          • 帮助&支持
          • 联系我们 - 400 820 8982
          • 技术支持中心
          • 查找文件&证书
          • 报告网站问题
          资源 Plus Icon Minus Icon
          • 学习中心
          • 促销
          • 活动&研讨会
          • 社交媒体
          关于赛默飞 Plus Icon Minus Icon
          • 关于我们
          • 招聘 招聘
          • 投资者关系 投资者关系
          • 新闻 新闻
          • 社会责任 社会责任
          • 商标
          • 政策和通知
          品牌 Plus Icon Minus Icon
          • Thermo Scientific
          • Applied Biosystems
          • Invitrogen
          • Gibco
          • Ion Torrent
          • Unity Lab Services
          • Patheon
          • PPD
          • 服务条款
          • 隐私政策
          • 定价和运输保险政策
          © 2006-2026 Thermo Fisher Scientific Inc. All rights reserved. All trademarks are the property of Thermo Fisher Scientific and its subsidiaries unless otherwise specified.
          China flag icon
          China
          本网站销售的所有产品均不得用于人类或动物之临床诊断或治疗,仅可用于工业或者科研等非医疗目的。
             电子营业执照 | 经营证照公示 | ICP备案号:沪ICP备11003924号 | 沪公网安备 31011502006935号

          Your items have has been added!


          Host server : magellan-search-green-6479c7f679-sz4vp:80/100.66.76.236:80.
          git-commit: b70c0dceb888abc3b0dcebb5bc3a5b8753e7e816
          git-url: https://github.com/thermofisher/magellan-search
          git-branch: release/2.50.0-Offline