Hamburger Menu Button
Thermo Fisher Scientific Logo
登录
没有账号?建立账号 注册
  • 产品
    • 抗体
    • 引物合成
    • GeneArt Gene Synthesis Instant Designer
    • TaqMan Assay and Array Search
    • PCR 设备和耗材
    • 色谱柱和纯化柱
    • 实验室离心机
    • 分子生物学试剂和试剂盒
    • 实验室塑料耗材及用品
    • 查看所有产品分类
  • 应用和技术
    • 色谱
    • 细胞转染和培养
    • 实时荧光定量PCR
    • 质谱
    • 实验室塑料耗材及用品
    • 电子显微镜
    • 蛋白质生物学
    • PCR
    • RNAi
    • 环境
    • 查看所有应用和技术
  • 服务
    • 定制服务
    • 企业级实验室信息化服务
    • 金融&租赁服务
    • 仪器服务
    • OEM和商业供应
    • 培训服务
    • 360° CDMO 和 CRO 服务
    • CDMO 服务
    • 临床试验 CRO 服务
    • Unity Lab Services
    • 查看所有帮助和支持
  • 帮助和支持
    • 学习中心
    • 联系我们
    • 更改国家或地区
    • 查看所有帮助和支持
  • 热门产品
    • TaqMan Real-Time PCR Assays
      TaqMan 实时荧光定量 PCR 试剂盒
    • Antibodies
      抗体
    • Oligos, Primers & Probes
      寡核苷酸、引物、探针
    • GeneArt Gene Synthesis
      GeneArt 基因合成
    • Cell Culture Plastics
      细胞培养耗材
  • Who We Serve
    • 抗体治疗解决方案
    • 细胞与基因治疗解决方案
    • 学术科研
    • 工业与应用
  • 联系我们
  • 货号直购
  • 订单查询
  • 查找文件&证书
Thermo Fisher Scientific Logo

Search

搜索全部或下列指定分类
Search button
          • 联系我们
          • 货号直购
          • 登录
            登录
            没有账号?建立账号 注册
            • 我的账号
            • 订单
            • 账单及发票查询
            • 定制产品及项目
          • Primary Antibodies ›
          • PLCG2 Antibodies

          Proteintech

          PLCG2 Polyclonal Antibody

          查看其他45个PLCG2抗体

          {{$productOrderCtrl.translations['antibody.pdp.commerceCard.promotion.promotions']}}

          {{$productOrderCtrl.translations['antibody.pdp.commerceCard.promotion.viewpromo']}}

          {{$productOrderCtrl.translations['antibody.pdp.commerceCard.promotion.promocode']}}: {{promo.promoCode}} {{promo.promoTitle}} {{promo.promoDescription}}. {{$productOrderCtrl.translations['antibody.pdp.commerceCard.promotion.learnmore']}}

          说明书
          证书
          实验方案
          问题与答案
          技术支持
          说明书
          证书
          实验方案
          问题与答案
          技术支持
          说明书
          证书
          实验方案
          问题与答案
          技术支持

          Cite PLCG2 Polyclonal Antibody

          Additional Information:
          {{banner.description}}
          {{$ctrl.isSkuNotesCollapsed ? 'View more' : 'View less'}}
          • 抗体检测数据 (3)
          PLCG2 Antibody in Immunohistochemistry (Paraffin) (IHC (P))
          Group 53 Created with Sketch.
          PLCG2 Antibody in Immunohistochemistry (Paraffin) (IHC (P))
          Group 53 Created with Sketch.

          图: 1 / 3

          {{ $ctrl.currentElement.advancedVerification.fullName }}
          {{ $ctrl.currentElement.advancedVerification.text }}

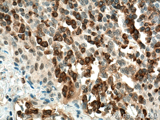
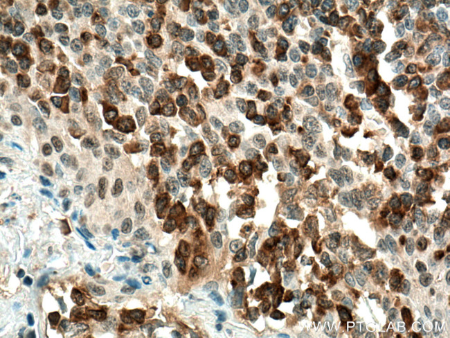
          PLCG2 Antibody (27173-1-AP) in IHC (P)

          Immunohistochemical analysis of paraffin-embedded human tonsilitis tissue slide using 27173-1-AP (PLCG2 antibody) at dilution of 1:200 (under 40x lens). Heat mediated antigen retrieval with Tris-EDTA buffer (pH 9.0). {{ $ctrl.currentElement.advancedVerification.fullName }} 验证信息 View more
          已发表图片由___提供 benchsci-logo
          PMID: {{$ctrl.currentElement.benchSciPubmedId}}
          查看产品

          {{$ctrl.videoDesc}}

          {{$ctrl.videoLongDesc}}

          PLCG2 Antibody in Immunohistochemistry (Paraffin) (IHC (P))
          PLCG2 Antibody in Immunohistochemistry (Paraffin) (IHC (P))
          PLCG2 Antibody in Western Blot (WB)

          产品信息

          27173-1-AP

          应用
          建议稀释比
          已发表文章

          免疫印迹 (WB)

          1:6,000
          -

          免疫组化(石蜡) (IHC (P))

          1:200
          -
          产品规格

          种属反应

          Human

          宿主/亚型

          Rabbit / IgG

          分类

          Polyclonal

          类型

          Antibody

          抗原

          PLCG2 Fusion Protein Ag25847

          偶联物

          Unconjugated Unconjugated Unconjugated

          形式

          Liquid

          浓度

          400 µg/mL

          规格

          60 µg

          纯化类型

          Antigen affinity chromatography

          保存液

          PBS, pH 7.3, with 50% glycerol

          内含物

          0.02% sodium azide

          保存条件

          -20°C

          运输条件

          Wet ice

          产品详细信息

          Aliquoting is unnecessary for -20°C storage.

          靶标信息

          Phosphoinositide-specific phospholipase C (PLC) plays a crucial role in the initiation of receptor mediated signal transduction through the generation of the two second messengers, inositol 1,4,5-triphosphate and diacylglycerol from phosphatidylinositol 4,5-bisphosphate. There are many mammalian PLC isozymes, including PLC beta1, PLC beta2, PLC beta3, PLC beta4, PLC gamma1, PLC gamma2, PLC delta1, PLC delta2 and PLCe. PLC delta exists as four different isoforms. PLC delta1, a calcium signal amplifier, is activated by an atypical GTP-binding protein. In addition, PLC delta1 is an effector for GTP-binding protein transglutaminase II-mediated oxytocin receptor and alpha1B-adrenoreceptor signaling. Mouse PLC delta1 is highly expressed in brain, heart, lung and testis. PLC delta is abnormally accumulated in autopsied brains with Alzheimer's disease (AD), suggesting that it may play a role in the pathology of AD. PLC delta2 is markedly expressed in type II intestinal metaplasia and in the adenocarcinoma. When PLC delta2 is expressed in type I intestinal metaplasia, the metaplasia is generally considered benignant, yet evolves toward neoplastic transformation. Thus, PLC delta2 expression may be a possible marker of gastric malignant transformation.

          仅用于科研。不用于诊断过程。未经明确授权不得转售。

          篇参考文献 (0)

          您是否在文献中引用过该产品?请点击下方按钮邮件告知我们。
          引用该产品

          生物信息学

          蛋白别名: 1-phosphatidylinositol 4,5-bisphosphate phosphodiesterase gamma-2; Phosphoinositide phospholipase C-gamma-2; phospholipase C; phospholipase C, gamma 2 (phosphatidylinositol-specific); Phospholipase C-gamma-2; Phospholipase C-IV; PLC gamma 2; PLC gamma-2; PLC gamma2; PLC- gamma2; PLC-gamma; PLC-gamma-2; PLC-IV; unnamed protein product

          查看更多 收起

          基因别名: APLAID; FCAS3; PLC-gamma-2; PLC-IV; PLCG2

          查看更多 收起

          UniProt ID: (Human) P16885

          查看更多 收起

          Entrez Gene ID: (Human) 5336

          查看更多 收起

          功能
          phosphotyrosine binding phosphatidylinositol phospholipase C activity phospholipase C activity protein binding phosphoric diester hydrolase activity hydrolase activity protein kinase binding scaffold protein binding phosphorylation-dependent protein binding protein tyrosine kinase binding
          参与通路
          cell activation response to yeast positive regulation of receptor internalization stimulatory C-type lectin receptor signaling pathway toll-like receptor signaling pathway macrophage activation involved in immune response follicular B cell differentiation positive regulation of dendritic cell cytokine production lipid metabolic process phosphatidylinositol biosynthetic process signal transduction phospholipid catabolic process regulation of gene expression positive regulation of gene expression positive regulation of epithelial cell migration programmed cell death lipid catabolic process Wnt signaling pathway regulation of lipid metabolic process calcium-mediated signaling platelet activation B cell differentiation lipopolysaccharide-mediated signaling pathway positive regulation of type I interferon production response to lipopolysaccharide positive regulation of interleukin-10 production positive regulation of interleukin-12 production positive regulation of interleukin-2 production positive regulation of interleukin-23 production positive regulation of interleukin-6 production positive regulation of tumor necrosis factor production inositol trisphosphate biosynthetic process intracellular signal transduction Fc-epsilon receptor signaling pathway B cell activation negative regulation of programmed cell death regulation of I-kappaB kinase/NF-kappaB signaling positive regulation of I-kappaB kinase/NF-kappaB signaling positive regulation of MAPK cascade phosphatidylinositol metabolic process phosphatidylinositol-mediated signaling response to axon injury positive regulation of calcium-mediated signaling antigen receptor-mediated signaling pathway T cell receptor signaling pathway B cell receptor signaling pathway release of sequestered calcium ion into cytosol regulation of sequestering of calcium ion positive regulation of phagocytosis, engulfment positive regulation of macrophage cytokine production antifungal innate immune response regulation of calcineurin-NFAT signaling cascade cellular response to calcium ion cellular response to lipid positive regulation of neuroinflammatory response positive regulation of NLRP3 inflammasome complex assembly positive regulation of intracellular signal transduction positive regulation of cell cycle G1/S phase transition positive regulation of reactive oxygen species biosynthetic process cellular response to lectin
          It has to be done as per old AB suggested Products section.

          Disclaimer

          Close

          Clicking the images or links will redirect you to a website hosted by BenchSci that provides third-party scientific content. Neither the content nor the BenchSci technology and processes for selection have been evaluated by us; we are providing them as-is and without warranty of any kind, including for use or application of the Thermo Fisher Scientific products presented.

          guarantee_icon

          性能保障

          只要您发现Invitrogen抗体在实验中的表现与网站或说明书的所述内容不符,您即可享受免费退换货服务。*

          了解更多
          help_icon

          随时为您服务

          获取常见问题的专家解答,或者直接联系我们的技术专家,咨询应用、设备、常规产品使用问题。

          联系技术支持
          订购 Plus Icon Minus Icon
          • 订单状态查询
          • 订单支持
          • 货号直购
          • 现货供应中心
          • 电子采购
          支持 Plus Icon Minus Icon
          • 帮助&支持
          • 联系我们 - 400 820 8982
          • 技术支持中心
          • 查找文件&证书
          • 报告网站问题
          资源 Plus Icon Minus Icon
          • 学习中心
          • 促销
          • 活动&研讨会
          • 社交媒体
          关于赛默飞 Plus Icon Minus Icon
          • 关于我们
          • 招聘 招聘
          • 投资者关系 投资者关系
          • 新闻 新闻
          • 社会责任 社会责任
          • 商标
          • 政策和通知
          品牌 Plus Icon Minus Icon
          • Thermo Scientific
          • Applied Biosystems
          • Invitrogen
          • Gibco
          • Ion Torrent
          • Unity Lab Services
          • Patheon
          • PPD
          • 服务条款
          • 隐私政策
          • 定价和运输保险政策
          © 2006-2026 Thermo Fisher Scientific Inc. All rights reserved. All trademarks are the property of Thermo Fisher Scientific and its subsidiaries unless otherwise specified.
          China flag icon
          China
          本网站销售的所有产品均不得用于人类或动物之临床诊断或治疗,仅可用于工业或者科研等非医疗目的。
             电子营业执照 | 经营证照公示 | ICP备案号:沪ICP备11003924号 | 沪公网安备 31011502006935号

          Your items have has been added!


          Host server : magellan-search-green-6b469b8bb7-b97mm:80/100.66.72.101:80.
          git-commit: a334af76dff23450325448aedefe62379591458a
          git-url: https://github.com/thermofisher/magellan-search
          git-branch: release/2.48.1-2026.04.16-1.0