Hamburger Menu Button
Thermo Fisher Scientific Logo
登录
没有账号?建立账号 注册
  • 产品
    • 抗体
    • 引物合成
    • GeneArt Gene Synthesis Instant Designer
    • TaqMan Assay and Array Search
    • PCR 设备和耗材
    • 色谱柱和纯化柱
    • 实验室离心机
    • 分子生物学试剂和试剂盒
    • 实验室塑料耗材及用品
    • 查看所有产品分类
  • 应用和技术
    • 色谱
    • 细胞转染和培养
    • 实时荧光定量PCR
    • 质谱
    • 实验室塑料耗材及用品
    • 电子显微镜
    • 蛋白质生物学
    • PCR
    • RNAi
    • 环境
    • 查看所有应用和技术
  • 服务
    • 定制服务
    • 企业级实验室信息化服务
    • 金融&租赁服务
    • 仪器服务
    • OEM和商业供应
    • 培训服务
    • 360° CDMO 和 CRO 服务
    • CDMO 服务
    • 临床试验 CRO 服务
    • Unity Lab Services
    • 查看所有帮助和支持
  • 帮助和支持
    • 学习中心
    • 联系我们
    • 更改国家或地区
    • 查看所有帮助和支持
  • 热门产品
    • TaqMan Real-Time PCR Assays
      TaqMan 实时荧光定量 PCR 试剂盒
    • Antibodies
      抗体
    • Oligos, Primers & Probes
      寡核苷酸、引物、探针
    • GeneArt Gene Synthesis
      GeneArt 基因合成
    • Cell Culture Plastics
      细胞培养耗材
  • Who We Serve
    • 抗体治疗解决方案
    • 细胞与基因治疗解决方案
    • 学术科研
    • 工业与应用
  • 联系我们
  • 货号直购
  • 订单查询
  • 查找文件&证书
Thermo Fisher Scientific Logo

Search

搜索全部或下列指定分类
Search button
          • 联系我们
          • 货号直购
          • 登录
            登录
            没有账号?建立账号 注册
            • 我的账号
            • 订单
            • 会员中心
            • 账单及发票查询
            • 定制产品及项目
          • Primary Antibodies ›
          • PMCA ATPase Antibodies

          Invitrogen

          PMCA ATPase Monoclonal Antibody (5F10)

          高级验证
          27个已发表图片
          101 篇参考文献
          查看其他3个PMCA ATPase抗体

          {{$productOrderCtrl.translations['antibody.pdp.commerceCard.promotion.promotions']}}

          {{$productOrderCtrl.translations['antibody.pdp.commerceCard.promotion.viewpromo']}}

          {{$productOrderCtrl.translations['antibody.pdp.commerceCard.promotion.promocode']}}: {{promo.promoCode}} {{promo.promoTitle}} {{promo.promoDescription}}. {{$productOrderCtrl.translations['antibody.pdp.commerceCard.promotion.learnmore']}}

          说明书
          证书
          实验方案
          问题与答案
          技术支持
          说明书
          证书
          实验方案
          问题与答案
          技术支持
          说明书
          证书
          实验方案
          问题与答案
          技术支持

          Cite PMCA ATPase Monoclonal Antibody (5F10)

          Additional Information:
          {{banner.description}}
          {{$ctrl.isSkuNotesCollapsed ? 'View more' : 'View less'}}
          • 抗体检测数据 (9)
          • 已发表图片 (27)
          • 高级验证 (2)
          PMCA ATPase Antibody in Immunocytochemistry (ICC/IF)
          Group 53 Created with Sketch.
          PMCA ATPase Antibody in Immunocytochemistry (ICC/IF)
          Group 53 Created with Sketch.

          图: 1 / 38

          {{ $ctrl.currentElement.advancedVerification.fullName }}
          {{ $ctrl.currentElement.advancedVerification.text }}

          PMCA ATPase Antibody (MA3-914) in ICC/IF

          Immunofluorescent analysis of PMCA ATPase using Anti-PMCA ATPase Monoclonal Antibody (5F10) (Product # MA3-914) shows staining in U251 Cells. PMCA ATPase staining (green), F-Actin staining with Phalloidin (red) and nuclei with DAPI (blue) is shown. Cells were grown on chamber slides and fixed with formaldehyde prior to staining. Cells were probed without (control) or with or an antibody recognizing PMCA ATP... View More {{ $ctrl.currentElement.advancedVerification.fullName }} 验证信息 View more
          已发表图片由___提供 benchsci-logo
          PMID: {{$ctrl.currentElement.benchSciPubmedId}}
          查看产品

          {{$ctrl.videoDesc}}

          {{$ctrl.videoLongDesc}}

          PMCA ATPase Antibody in Immunocytochemistry (ICC/IF)
          PMCA ATPase Antibody in Immunocytochemistry (ICC/IF)
          PMCA ATPase Antibody in Immunocytochemistry (ICC/IF)
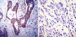
          PMCA ATPase Antibody in Immunohistochemistry (Paraffin) (IHC (P))
          PMCA ATPase Antibody in Immunohistochemistry (Paraffin) (IHC (P))
          PMCA ATPase Antibody in Immunohistochemistry (Paraffin) (IHC (P))
          PMCA ATPase Antibody in Western Blot (WB)
          PMCA ATPase Antibody in Flow Cytometry (Flow)
          PMCA ATPase Antibody in Flow Cytometry (Flow)
          PMCA ATPase Antibody in Western Blot, Immunoprecipitation (WB, IP)
          PMCA ATPase Antibody in Immunocytochemistry (ICC/IF)
          PMCA ATPase Antibody in Immunocytochemistry (ICC/IF)
          PMCA ATPase Antibody in Western Blot, Immunocytochemistry (WB, ICC/IF)
          PMCA ATPase Antibody in Immunocytochemistry (ICC/IF)
          PMCA ATPase Antibody in Immunocytochemistry (ICC/IF)
          PMCA ATPase Antibody in Immunocytochemistry (ICC/IF)
          PMCA ATPase Antibody in Immunohistochemistry (IHC)
          PMCA ATPase Antibody in Immunohistochemistry (IHC)
          PMCA ATPase Antibody in Western Blot (WB)
          PMCA ATPase Antibody in Western Blot (WB)
          PMCA ATPase Antibody in Western Blot (WB)
          PMCA ATPase Antibody in Western Blot (WB)
          PMCA ATPase Antibody in Western Blot (WB)
          PMCA ATPase Antibody in Western Blot (WB)
          PMCA ATPase Antibody in Western Blot (WB)
          PMCA ATPase Antibody in Western Blot (WB)
          PMCA ATPase Antibody in Western Blot (WB)
          PMCA ATPase Antibody in Western Blot (WB)
          PMCA ATPase Antibody in Western Blot (WB)
          PMCA ATPase Antibody in Western Blot (WB)
          PMCA ATPase Antibody in Western Blot (WB)
          PMCA ATPase Antibody in Western Blot (WB)
          PMCA ATPase Antibody in Western Blot (WB)
          PMCA ATPase Antibody in Western Blot (WB)
          PMCA ATPase Antibody in Western Blot (WB)
          PMCA ATPase Antibody in Western Blot (WB)
          PMCA ATPase Antibody
          PMCA ATPase Antibody
          PMCA ATPase Monoclonal Antibody (5F10)

          产品信息

          MA3-914

          应用
          建议稀释比
          已发表文章

          免疫印迹 (WB)

          1:1,000-1:5,000
          查看69篇已发表文章 69篇已发表文章

          免疫组化 (IHC)

          -
          查看15篇已发表文章 15篇已发表文章

          免疫组化(石蜡) (IHC (P))

          1:500
          -

          免疫组化(冰冻) (IHC (F))

          1:500
          查看1篇已发表文章 1篇已发表文章

          免疫细胞化学 (ICC/IF)

          Assay-dependent
          查看9篇已发表文章 9篇已发表文章

          流式细胞分析 (Flow)

          Assay-dependent
          -

          免疫沉淀 (IP)

          Assay-dependent
          查看5篇已发表文章 5篇已发表文章

          中和实验 (Neu)

          -
          查看1篇已发表文章 1篇已发表文章

          其他PubMed (Misc)

          -
          查看1篇已发表文章 1篇已发表文章
          产品规格

          种属反应

          Amphibian, Dog, Chicken, Cat, Human, Mouse, Non-human primate, Sheep, Rabbit, Rat

          已发表种属

          Amphibian, Bovine, Cat, Dog, Hamster, Human, Insect, Mouse, Non-human primate, Pig, Rabbit, Rat

          宿主/亚型

          Mouse / IgG2a

          分类

          Monoclonal

          类型

          Antibody

          克隆号

          5F10

          抗原

          Purified human erythrocyte calcium ATPase.
          3D表位/免疫原

          偶联物

          Unconjugated Unconjugated Unconjugated

          形式

          Liquid

          浓度

          1 mg/mL

          规格

          100 µg

          纯化类型

          Protein A

          保存液

          PBS

          内含物

          0.05% sodium azide

          保存条件

          -20°C, Avoid Freeze/Thaw Cycles

          运输条件

          Ambient (domestic); Wet ice (international)

          RRID

          AB_2061566

          产品详细信息

          MA3-914 detects calcium pump of the plasma membrane (PMCA) ATPase from amphibian, canine, chicken, feline, human, mouse, sheep, primate, rabbit, and rat tissues. This antibody detects all four known isoforms of the PMCA ATPase.

          MA3-914 has been successfully used in Western blot, FACS, immunohistochemistry, immunocytochemistry, immunofluorescence and immunoprecipitation procedures. By Western blot, this antibody recognizes an ~140 kDa protein representing PMCA ATPase and bands at 95kDa and 180 kDa which probably represent products of aggregation and/or natural proteolytic products of the pump from rat liver membrane preparations. Immunohistochemical staining of PMCA ATPase with MA3-914 yields a pattern consistent with that seen in the literature and depends on the tissue being studied and the localization of the isoforms present.

          MA3-914 can be used on both frozen and formalin-fixed paraffin-embedded tissues.

          The MA3-914 antigen is purified human erythrocyte calcium ATPase. This antibody recognizes an epitope between amino acids 724-783 of the human erythrocyte calcium pump.

          靶标信息

          The calcium pump of the plasma membrane (PMCA ATPase) pumps calcium from the cytosol to the extracellular space. This membrane-bound enzyme is related to a number of other ATPases including the sarcoplasmic and endoplasmic reticulum calcium (SERCA) ATPase and the sodium/potassium pump. Studies indicate that there are four known isoforms of the PMCA ATPase which are encoded by a multigene family.

          仅用于科研。不用于诊断过程。未经明确授权不得转售。

          生物信息学

          蛋白别名: ATP-dependent plasma membrane calcium transporter; ATPase isoform 2 Na+K+ transporting beta polypeptide 2; ATPase isoform 2, Na+K+ transporting, beta polypeptide 2; ATPase, Ca++ transporting, plasma membrane 1; ATPase, Ca++ transporting, plasma membrane 2; ATPase, Ca++ transporting, plasma membrane 3; ATPase, Ca++ transporting, plasma membrane 4; Ca2+/Mg2+ ATPase; calcium pump; cilia and flagella associated protein 39; deaf waddler; Matrix-remodeling-associated protein 1; plasma membrane Ca(2+)-ATPase; plasma membrane Ca++-ATPase; plasma membrane Ca2+ pump 2; plasma membrane Ca2+-ATPases 4; plasma membrane calcium ATPase; Plasma membrane calcium ATPase isoform 1; Plasma membrane calcium ATPase isoform 2; Plasma membrane calcium ATPase isoform 3; Plasma membrane calcium ATPase isoform 4; plasma membrane calcium pump; Plasma membrane calcium pump isoform 1; Plasma membrane calcium pump isoform 2; Plasma membrane calcium pump isoform 3; Plasma membrane calcium pump isoform 4; plasma membrane calcium-ATPase isoform 1 alternative splice variant k at splice site B and splice variant b at splice site C; plasma membrane calcium-ATPase isoform 2 alternative splice variant a at splice site C; plasma membrane calcium-ATPase isoform 2, splice variant i; plasma membrane calcium-ATPase isoform 3, splice variant a at alternative splice site C; plasma membrane calcium-ATPase isoform 4 alternative splice variant x at splice site A; plasma membrane calcium-ATPase isoform 4, splice variant b at alternative splice site C; Plasma membrane calcium-transporting ATPase 1; Plasma membrane calcium-transporting ATPase 2; Plasma membrane calcium-transporting ATPase 3; Plasma membrane calcium-transporting ATPase 4; PMCA1; PMCA1b; PMCA2; PMCA3; PMCA4; PMCA4a; PMCA4b; sarcolemmal calcium pump; unnamed protein product; wriggle

          查看更多 收起

          基因别名: 2810442I22Rik; 6430519O13Rik; ATP2B; ATP2B1; ATP2B2; ATP2B3; ATP2B4; CFAP39; CLA2; D6Abb2e; DFNA82; dfw; E130111D10Rik; Gena300; jog; MRD66; MXRA1; OPCA; PMCA; PMCA1; Pmca1a; Pmca1b; Pmca1c; PMCA1kb; PMCA2; PMCA2a; PMCA2i; PMCA3; PMCA3a; PMCA4; PMCA4b; PMCA4x; SCAX1; Tmy; wms; wri

          查看更多 收起

          UniProt ID: (Rabbit) Q00804, (Human) P20020, (Chicken) Q98SH2, (Human) Q01814, (Human) Q16720, (Human) P23634, (Rat) P11505, (Mouse) G5E829, (Mouse) Q9R0K7, (Rat) P11506, (Rat) Q64568, (Mouse) Q6Q477, (Rat) Q64542

          查看更多 收起

          Entrez Gene ID: (Rabbit) 100009543, (Human) 490, (Sheep) 101111268, (Chicken) 374244, (Dog) 403480, (Sheep) 101121046, (Human) 491, (Chicken) 415958, (Dog) 476535, (Sheep) 101101873, (Rabbit) 100356760, (Dog) 492238, (Human) 492, (Dog) 403731, (Human) 493, (Rabbit) 100353865, (Chicken) 419934, (Rat) 29598, (Mouse) 67972, (Mouse) 11941, (Rat) 24215, (Mouse) 320707, (Rat) 29599, (Mouse) 381290, (Rat) 29600

          查看更多 收起

          功能
          nucleotide binding calcium-transporting ATPase activity protein binding calmodulin binding ATP binding calcium ion transmembrane transporter activity ATPase activity metal ion binding molecular function inhibitor activity calcium ion binding PDZ domain binding P-type calcium transporter activity involved in regulation of postsynaptic cytosolic calcium ion concentration P-type calcium transporter activity involved in regulation of presynaptic cytosolic calcium ion concentration sodium channel regulator activity protein kinase binding protein phosphatase 2B binding nitric-oxide synthase inhibitor activity nitric-oxide synthase binding scaffold protein binding hydrolase activity protein C-terminus binding calcium-dependent ATPase activity acetylcholine receptor binding glutamate receptor binding primary active transporter
          参与通路
          negative regulation of cytokine production regulation of vascular smooth muscle contraction ion transport calcium ion transport cellular calcium ion homeostasis regulation of blood pressure positive regulation of bone mineralization ion transmembrane transport regulation of cytosolic calcium ion concentration negative regulation of cytosolic calcium ion concentration positive regulation of calcium ion transport calcium ion transmembrane transport regulation of cellular response to insulin stimulus regulation of cardiac conduction calcium ion export from cell sensory perception of sound neuron differentiation regulation of postsynaptic cytosolic calcium ion concentration regulation of presynaptic cytosolic calcium ion concentration neural retina development regulation of transcription from RNA polymerase II promoter spermatogenesis negative regulation of gene expression urinary bladder smooth muscle contraction negative regulation of angiogenesis hippocampus development sperm motility nitric oxide-cGMP-mediated signaling pathway negative regulation of blood vessel endothelial cell migration negative regulation of nitric oxide biosynthetic process response to hydrostatic pressure negative regulation of calcineurin-NFAT signaling cascade cellular response to epinephrine stimulus negative regulation of adrenergic receptor signaling pathway calcium ion transmembrane import into cytosol calcium ion import across plasma membrane negative regulation of the force of heart contraction transport across blood-brain barrier negative regulation of arginine catabolic process calcium ion export regulation of sodium ion transmembrane transport negative regulation of cellular response to vascular endothelial growth factor stimulus regulation of cell cycle G1/S phase transition positive regulation of protein localization to plasma membrane negative regulation of cardiac muscle hypertrophy in response to stress negative regulation of citrulline biosynthetic process cellular response to acetylcholine brain development aging metabolic process response to cold cellular response to vitamin D cellular response to corticosterone stimulus transport cell morphogenesis organelle organization lactation locomotory behavior regulation of cell size cerebellum development cerebellar Purkinje cell layer morphogenesis cerebellar Purkinje cell differentiation cerebellar granule cell differentiation locomotion serotonin metabolic process inner ear morphogenesis otolith mineralization cGMP metabolic process regulation of synaptic plasticity inner ear development synapse organization neuromuscular process controlling balance detection of mechanical stimulus involved in sensory perception of sound auditory receptor cell stereocilium organization inner ear receptor cell differentiation cochlea development negative regulation of nitric oxide mediated signal transduction positive regulation of peptidyl-serine phosphorylation negative regulation of nitric-oxide synthase activity negative regulation of adrenergic receptor signaling pathway involved in heart process negative regulation of peptidyl-cysteine S-nitrosylation positive regulation of cAMP-dependent protein kinase activity
          It has to be done as per old AB suggested Products section.

          Disclaimer

          Close

          Clicking the images or links will redirect you to a website hosted by BenchSci that provides third-party scientific content. Neither the content nor the BenchSci technology and processes for selection have been evaluated by us; we are providing them as-is and without warranty of any kind, including for use or application of the Thermo Fisher Scientific products presented.

          guarantee_icon

          性能保障

          只要您发现Invitrogen抗体在实验中的表现与网站或说明书的所述内容不符,您即可享受免费退换货服务。*

          了解更多
          help_icon

          随时为您服务

          获取常见问题的专家解答,或者直接联系我们的技术专家,咨询应用、设备、常规产品使用问题。

          联系技术支持
          订购 Plus Icon Minus Icon
          • 订单状态查询
          • 订单支持
          • 货号直购
          • 现货供应中心
          • 电子采购
          支持 Plus Icon Minus Icon
          • 帮助&支持
          • 联系我们 - 400 820 8982
          • 技术支持中心
          • 查找文件&证书
          • 报告网站问题
          资源 Plus Icon Minus Icon
          • 学习中心
          • 促销
          • 活动&研讨会
          • 社交媒体
          关于赛默飞 Plus Icon Minus Icon
          • 关于我们
          • 招聘 招聘
          • 投资者关系 投资者关系
          • 新闻 新闻
          • 社会责任 社会责任
          • 商标
          • 政策和通知
          品牌 Plus Icon Minus Icon
          • Thermo Scientific
          • Applied Biosystems
          • Invitrogen
          • Gibco
          • Ion Torrent
          • Unity Lab Services
          • Patheon
          • PPD
          • 服务条款
          • 隐私政策
          • 定价和运输保险政策
          © 2006-2026 Thermo Fisher Scientific Inc. All rights reserved. All trademarks are the property of Thermo Fisher Scientific and its subsidiaries unless otherwise specified.
          China flag icon
          China
          本网站销售的所有产品均不得用于人类或动物之临床诊断或治疗,仅可用于工业或者科研等非医疗目的。
             电子营业执照 | 经营证照公示 | ICP备案号:沪ICP备11003924号 | 沪公网安备 31011502006935号

          Your items have has been added!


          Host server : magellan-search-green-6479c7f679-v472f:80/100.66.78.195:80.
          git-commit: b70c0dceb888abc3b0dcebb5bc3a5b8753e7e816
          git-url: https://github.com/thermofisher/magellan-search
          git-branch: release/2.50.0-Offline