Hamburger Menu Button
Thermo Fisher Scientific Logo
登录
没有账号?建立账号 注册
  • 产品
    • 抗体
    • 引物合成
    • GeneArt Gene Synthesis Instant Designer
    • TaqMan Assay and Array Search
    • PCR 设备和耗材
    • 色谱柱和纯化柱
    • 实验室离心机
    • 分子生物学试剂和试剂盒
    • 实验室塑料耗材及用品
    • 查看所有产品分类
  • 应用和技术
    • 色谱
    • 细胞转染和培养
    • 实时荧光定量PCR
    • 质谱
    • 实验室塑料耗材及用品
    • 电子显微镜
    • 蛋白质生物学
    • PCR
    • RNAi
    • 环境
    • 查看所有应用和技术
  • 服务
    • 定制服务
    • 企业级实验室信息化服务
    • 金融&租赁服务
    • 仪器服务
    • OEM和商业供应
    • 培训服务
    • 360° CDMO 和 CRO 服务
    • CDMO 服务
    • 临床试验 CRO 服务
    • Unity Lab Services
    • 查看所有帮助和支持
  • 帮助和支持
    • 学习中心
    • 联系我们
    • 更改国家或地区
    • 查看所有帮助和支持
  • 热门产品
    • TaqMan Real-Time PCR Assays
      TaqMan 实时荧光定量 PCR 试剂盒
    • Antibodies
      抗体
    • Oligos, Primers & Probes
      寡核苷酸、引物、探针
    • GeneArt Gene Synthesis
      GeneArt 基因合成
    • Cell Culture Plastics
      细胞培养耗材
  • Who We Serve
    • 抗体治疗解决方案
    • 细胞与基因治疗解决方案
    • 学术科研
    • 工业与应用
  • 联系我们
  • 货号直购
  • 订单查询
  • 查找文件&证书
Thermo Fisher Scientific Logo

Search

搜索全部或下列指定分类
Search button
          • 联系我们
          • 货号直购
          • 登录
            登录
            没有账号?建立账号 注册
            • 我的账号
            • 订单
            • 会员中心
            • 账单及发票查询
            • 定制产品及项目
          • Primary Antibodies ›
          • PMCA2 ATPase Antibodies

          Invitrogen

          PMCA2 ATPase Polyclonal Antibody

          高级验证
          39个已发表图片
          46 篇参考文献
          查看其他4个PMCA2 ATPase抗体

          {{$productOrderCtrl.translations['antibody.pdp.commerceCard.promotion.promotions']}}

          {{$productOrderCtrl.translations['antibody.pdp.commerceCard.promotion.viewpromo']}}

          {{$productOrderCtrl.translations['antibody.pdp.commerceCard.promotion.promocode']}}: {{promo.promoCode}} {{promo.promoTitle}} {{promo.promoDescription}}. {{$productOrderCtrl.translations['antibody.pdp.commerceCard.promotion.learnmore']}}

          说明书
          证书
          实验方案
          问题与答案
          技术支持
          说明书
          证书
          实验方案
          问题与答案
          技术支持
          说明书
          证书
          实验方案
          问题与答案
          技术支持

          Cite PMCA2 ATPase Polyclonal Antibody

          Additional Information:
          {{banner.description}}
          {{$ctrl.isSkuNotesCollapsed ? 'View more' : 'View less'}}
          • 抗体检测数据 (2)
          • 已发表图片 (39)
          • 高级验证 (3)
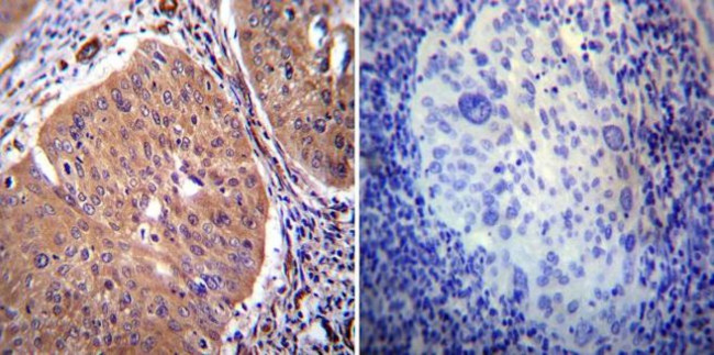
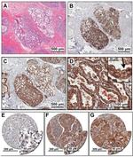
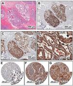
          PMCA2 ATPase Antibody in Immunohistochemistry (Paraffin) (IHC (P))
          Group 53 Created with Sketch.
          PMCA2 ATPase Antibody in Immunohistochemistry (Paraffin) (IHC (P))
          Group 53 Created with Sketch.

          图: 1 / 44

          {{ $ctrl.currentElement.advancedVerification.fullName }}
          {{ $ctrl.currentElement.advancedVerification.text }}

          PMCA2 ATPase Antibody (PA1-915) in IHC (P)

          Immunohistochemistry was performed on cancer biopsies of deparaffinized Human cervical carcinoma tissue. To expose target proteins, heat induced antigen retrieval was performed using 10mM sodium citrate (pH6.0) buffer, microwaved for 8-15 minutes. Following antigen retrieval tissues were blocked in 3% BSA-PBS for 30 minutes at room temperature. Tissues were then probed at a dilution of 1:20 with a rabbit po... View More {{ $ctrl.currentElement.advancedVerification.fullName }} 验证信息 View more
          已发表图片由___提供 benchsci-logo
          PMID: {{$ctrl.currentElement.benchSciPubmedId}}
          查看产品

          {{$ctrl.videoDesc}}

          {{$ctrl.videoLongDesc}}

          PMCA2 ATPase Antibody in Immunohistochemistry (Paraffin) (IHC (P))
          PMCA2 ATPase Antibody in Immunohistochemistry (Paraffin) (IHC (P))
          PMCA2 ATPase Antibody in Western Blot (WB)
          PMCA2 ATPase Antibody in Immunocytochemistry (ICC/IF)
          PMCA2 ATPase Antibody in Western Blot, Immunocytochemistry (WB, ICC/IF)
          PMCA2 ATPase Antibody in Western Blot, Immunocytochemistry, Immunoprecipitation (WB, ICC/IF, IP)
          PMCA2 ATPase Antibody in Western Blot, Immunocytochemistry, Immunoprecipitation (WB, ICC/IF, IP)
          PMCA2 ATPase Antibody in Immunocytochemistry (ICC/IF)
          PMCA2 ATPase Antibody in Western Blot, Immunocytochemistry (WB, ICC/IF)
          PMCA2 ATPase Antibody in Immunocytochemistry (ICC/IF)
          PMCA2 ATPase Antibody in Immunocytochemistry (ICC/IF)
          PMCA2 ATPase Antibody in Western Blot, Immunocytochemistry (WB, ICC/IF)
          PMCA2 ATPase Antibody in Immunocytochemistry (ICC/IF)
          PMCA2 ATPase Antibody in Immunocytochemistry (ICC/IF)
          PMCA2 ATPase Antibody in Immunocytochemistry (ICC/IF)
          PMCA2 ATPase Antibody in Immunohistochemistry, Immunocytochemistry (IHC, ICC/IF)
          PMCA2 ATPase Antibody in Immunohistochemistry, Immunocytochemistry (IHC, ICC/IF)
          PMCA2 ATPase Antibody in Immunocytochemistry (ICC/IF)
          PMCA2 ATPase Antibody in Immunocytochemistry (ICC/IF)
          PMCA2 ATPase Antibody in Western Blot, Immunocytochemistry (WB, ICC/IF)
          PMCA2 ATPase Antibody in Immunocytochemistry (ICC/IF)
          PMCA2 ATPase Antibody in Immunohistochemistry (Paraffin) (IHC (P))
          PMCA2 ATPase Antibody in Immunohistochemistry (Paraffin) (IHC (P))
          PMCA2 ATPase Antibody in Immunohistochemistry (Frozen) (IHC (F))
          PMCA2 ATPase Antibody in Immunohistochemistry (IHC)
          PMCA2 ATPase Antibody in Immunohistochemistry (IHC)
          PMCA2 ATPase Antibody in Immunohistochemistry (IHC)
          PMCA2 ATPase Antibody in Immunohistochemistry (IHC)
          PMCA2 ATPase Antibody in Immunohistochemistry (IHC)
          PMCA2 ATPase Antibody in Immunohistochemistry (IHC)
          PMCA2 ATPase Antibody in Immunohistochemistry (IHC)
          PMCA2 ATPase Antibody in Immunohistochemistry (IHC)
          PMCA2 ATPase Antibody in Immunohistochemistry (IHC)
          PMCA2 ATPase Antibody in Immunohistochemistry (IHC)
          PMCA2 ATPase Antibody in Western Blot (WB)
          PMCA2 ATPase Antibody in Western Blot (WB)
          PMCA2 ATPase Antibody in Western Blot (WB)
          PMCA2 ATPase Antibody in Western Blot (WB)
          PMCA2 ATPase Antibody in Western Blot (WB)
          PMCA2 ATPase Antibody in Western Blot (WB)
          PMCA2 ATPase Antibody in Western Blot (WB)
          PMCA2 ATPase Antibody
          PMCA2 ATPase Antibody
          PMCA2 ATPase Antibody
          PMCA2 ATPase Polyclonal Antibody

          产品信息

          PA1-915

          应用
          建议稀释比
          已发表文章

          免疫印迹 (WB)

          1:1,000
          查看16篇已发表文章 16篇已发表文章

          免疫组化 (IHC)

          -
          查看10篇已发表文章 10篇已发表文章

          免疫组化(石蜡) (IHC (P))

          1:20-1:200
          查看1篇已发表文章 1篇已发表文章

          免疫组化(冰冻) (IHC (F))

          1:20-1:200
          查看1篇已发表文章 1篇已发表文章

          免疫细胞化学 (ICC/IF)

          -
          查看12篇已发表文章 12篇已发表文章

          酶联免疫吸附实验 (ELISA)

          Assay-dependent
          -

          免疫沉淀 (IP)

          -
          查看3篇已发表文章 3篇已发表文章

          功能检测 (Functional)

          -
          查看1篇已发表文章 1篇已发表文章

          凝胶阻滞分析 (EMSA)

          -
          查看1篇已发表文章 1篇已发表文章

          其他PubMed (Misc)

          -
          查看1篇已发表文章 1篇已发表文章
          产品规格

          种属反应

          Human, Pig, Rat

          已发表种属

          Chicken, Hamster, Human, Mouse, Pig, Rat

          宿主/亚型

          Rabbit / IgG

          分类

          Polyclonal

          类型

          Antibody

          抗原

          Synthetic Peptide: T(5) N S D F Y S K N Q R N E S S(19)
          3D表位/免疫原

          偶联物

          Unconjugated Unconjugated Unconjugated

          形式

          Liquid

          浓度

          1 mg/mL

          规格

          100 µg

          纯化类型

          Antigen affinity chromatography

          保存液

          PBS with 1mg/mL BSA

          内含物

          0.05% sodium azide

          保存条件

          -20°C, Avoid Freeze/Thaw Cycles

          运输条件

          Ambient (domestic); Wet ice (international)

          RRID

          AB_2243199

          产品详细信息

          PA1-915 detects calcium pump of the plasma membrane 2 (PMCA2 ATPase) from human and rat and porcine tissues and cells.

          PA1-915 has been successfully used in Western blot procedures. By Western blot, this antibody detects an ~127 kDa protein and an ~133 kDa protein representing PMCA2a and PMCA2b ATPase, respectively, from rat brain microsomal fractions.

          PA1-915 immunizing peptide corresponds to amino acid residues 5-19 from human PMCA2 ATPase protein. This sequence is completely conserved between human and rat PMCA2 ATPase.

          靶标信息

          The calcium pump of the plasma membrane, termed PMCA ATPase, pumps calcium from the cytosol to the extracellular space. This membrane-bound enzyme is related to a number of other ATPases including the SERCA ATPase and the sodium/K+ pump. There are four different genes encoding PMCA ATPase and studies have revealed 20 isoforms of the pump generated by alternate splicing of the primary gene products. mRNA distribution studies show that gene products 1 and 4 are transcribed in most tissues, however, products 2 and 3 are more tissue specific. Transcription of the splicing variants has also been found to be tissue specific. In the pancreas, where insulin secretion is calcium dependent, the beta cells only express the 4b isoform, however the alpha and gamma cells express both 4a and 4b isoforms. Studies have also shown that different splice variants have different affinities for calcium and calmodulin.

          仅用于科研。不用于诊断过程。未经明确授权不得转售。

          生物信息学

          蛋白别名: ATPase isoform 2 Na+K+ transporting beta polypeptide 2; ATPase isoform 2, Na+K+ transporting, beta polypeptide 2; ATPase, Ca++ transporting, plasma membrane 2; plasma membrane Ca(2+)-ATPase; plasma membrane Ca++-ATPase; plasma membrane Ca2+ pump 2; plasma membrane calcium ATPase; Plasma membrane calcium ATPase isoform 2; plasma membrane calcium pump; Plasma membrane calcium pump isoform 2; plasma membrane calcium-ATPase isoform 2 alternative splice variant a at splice site C; plasma membrane calcium-ATPase isoform 2, splice variant i; Plasma membrane calcium-transporting ATPase 2; PMCA2

          查看更多 收起

          基因别名: ATP2B2; DFNA82; PMCA2; PMCA2a; PMCA2i

          查看更多 收起

          UniProt ID: (Human) Q01814, (Rat) P11506

          查看更多 收起

          Entrez Gene ID: (Human) 491, (Pig) 100625418, (Rat) 24215

          查看更多 收起

          功能
          nucleotide binding calcium-transporting ATPase activity calcium ion binding protein binding calmodulin binding ATP binding ATPase activity PDZ domain binding metal ion binding P-type calcium transporter activity involved in regulation of postsynaptic cytosolic calcium ion concentration protein C-terminus binding calcium-dependent ATPase activity acetylcholine receptor binding glutamate receptor binding primary active transporter
          参与通路
          ion transport calcium ion transport sensory perception of sound neuron differentiation ion transmembrane transport regulation of cytosolic calcium ion concentration calcium ion transmembrane transport regulation of postsynaptic cytosolic calcium ion concentration regulation of cardiac conduction cell morphogenesis neural retina development cellular calcium ion homeostasis organelle organization brain development lactation locomotory behavior metabolic process regulation of cell size cerebellum development cerebellar Purkinje cell layer morphogenesis cerebellar Purkinje cell differentiation cerebellar granule cell differentiation locomotion serotonin metabolic process inner ear morphogenesis otolith mineralization cGMP metabolic process regulation of synaptic plasticity inner ear development synapse organization neuromuscular process controlling balance detection of mechanical stimulus involved in sensory perception of sound positive regulation of calcium ion transport auditory receptor cell stereocilium organization inner ear receptor cell differentiation cochlea development calcium ion export
          It has to be done as per old AB suggested Products section.

          Disclaimer

          Close

          Clicking the images or links will redirect you to a website hosted by BenchSci that provides third-party scientific content. Neither the content nor the BenchSci technology and processes for selection have been evaluated by us; we are providing them as-is and without warranty of any kind, including for use or application of the Thermo Fisher Scientific products presented.

          guarantee_icon

          性能保障

          只要您发现Invitrogen抗体在实验中的表现与网站或说明书的所述内容不符,您即可享受免费退换货服务。*

          了解更多
          help_icon

          随时为您服务

          获取常见问题的专家解答,或者直接联系我们的技术专家,咨询应用、设备、常规产品使用问题。

          联系技术支持
          订购 Plus Icon Minus Icon
          • 订单状态查询
          • 订单支持
          • 货号直购
          • 现货供应中心
          • 电子采购
          支持 Plus Icon Minus Icon
          • 帮助&支持
          • 联系我们 - 400 820 8982
          • 技术支持中心
          • 查找文件&证书
          • 报告网站问题
          资源 Plus Icon Minus Icon
          • 学习中心
          • 促销
          • 活动&研讨会
          • 社交媒体
          关于赛默飞 Plus Icon Minus Icon
          • 关于我们
          • 招聘 招聘
          • 投资者关系 投资者关系
          • 新闻 新闻
          • 社会责任 社会责任
          • 商标
          • 政策和通知
          品牌 Plus Icon Minus Icon
          • Thermo Scientific
          • Applied Biosystems
          • Invitrogen
          • Gibco
          • Ion Torrent
          • Unity Lab Services
          • Patheon
          • PPD
          • 服务条款
          • 隐私政策
          • 定价和运输保险政策
          © 2006-2026 Thermo Fisher Scientific Inc. All rights reserved. All trademarks are the property of Thermo Fisher Scientific and its subsidiaries unless otherwise specified.
          China flag icon
          China
          本网站销售的所有产品均不得用于人类或动物之临床诊断或治疗,仅可用于工业或者科研等非医疗目的。
             电子营业执照 | 经营证照公示 | ICP备案号:沪ICP备11003924号 | 沪公网安备 31011502006935号

          Your items have has been added!


          Host server : magellan-search-green-6479c7f679-zb4k5:80/100.66.74.142:80.
          git-commit: b70c0dceb888abc3b0dcebb5bc3a5b8753e7e816
          git-url: https://github.com/thermofisher/magellan-search
          git-branch: release/2.50.0-Offline