Hamburger Menu Button
Thermo Fisher Scientific Logo
登录
没有账号?建立账号 注册
  • 产品
    • 抗体
    • 引物合成
    • GeneArt Gene Synthesis Instant Designer
    • TaqMan Assay and Array Search
    • PCR 设备和耗材
    • 色谱柱和纯化柱
    • 实验室离心机
    • 分子生物学试剂和试剂盒
    • 实验室塑料耗材及用品
    • 查看所有产品分类
  • 应用和技术
    • 色谱
    • 细胞转染和培养
    • 实时荧光定量PCR
    • 质谱
    • 实验室塑料耗材及用品
    • 电子显微镜
    • 蛋白质生物学
    • PCR
    • RNAi
    • 环境
    • 查看所有应用和技术
  • 服务
    • 定制服务
    • 企业级实验室信息化服务
    • 金融&租赁服务
    • 仪器服务
    • OEM和商业供应
    • 培训服务
    • 360° CDMO 和 CRO 服务
    • CDMO 服务
    • 临床试验 CRO 服务
    • Unity Lab Services
    • 查看所有帮助和支持
  • 帮助和支持
    • 学习中心
    • 联系我们
    • 更改国家或地区
    • 查看所有帮助和支持
  • 热门产品
    • TaqMan Real-Time PCR Assays
      TaqMan 实时荧光定量 PCR 试剂盒
    • Antibodies
      抗体
    • Oligos, Primers & Probes
      寡核苷酸、引物、探针
    • GeneArt Gene Synthesis
      GeneArt 基因合成
    • Cell Culture Plastics
      细胞培养耗材
  • Who We Serve
    • 抗体治疗解决方案
    • 细胞与基因治疗解决方案
    • 学术科研
    • 工业与应用
  • 联系我们
  • 货号直购
  • 订单查询
  • 查找文件&证书
Thermo Fisher Scientific Logo

Search

搜索全部或下列指定分类
Search button
          • 联系我们
          • 货号直购
          • 登录
            登录
            没有账号?建立账号 注册
            • 我的账号
            • 订单
            • 会员中心
            • 账单及发票查询
            • 定制产品及项目
          • Primary Antibodies ›
          • PML Antibodies

          Invitrogen

          PML Recombinant Rabbit Monoclonal Antibody (2X8R3)

          查看其他22个PML抗体

          {{$productOrderCtrl.translations['antibody.pdp.commerceCard.promotion.promotions']}}

          {{$productOrderCtrl.translations['antibody.pdp.commerceCard.promotion.viewpromo']}}

          {{$productOrderCtrl.translations['antibody.pdp.commerceCard.promotion.promocode']}}: {{promo.promoCode}} {{promo.promoTitle}} {{promo.promoDescription}}. {{$productOrderCtrl.translations['antibody.pdp.commerceCard.promotion.learnmore']}}

          说明书
          证书
          实验方案
          问题与答案
          技术支持
          说明书
          证书
          实验方案
          问题与答案
          技术支持
          说明书
          证书
          实验方案
          问题与答案
          技术支持

          Cite PML Recombinant Rabbit Monoclonal Antibody (2X8R3)

          Additional Information:
          {{banner.description}}
          {{$ctrl.isSkuNotesCollapsed ? 'View more' : 'View less'}}
          • 抗体检测数据 (11)
          PML Antibody in Immunocytochemistry (ICC/IF)
          Group 53 Created with Sketch.
          PML Antibody in Immunocytochemistry (ICC/IF)
          Group 53 Created with Sketch.

          图: 1 / 11

          {{ $ctrl.currentElement.advancedVerification.fullName }}
          {{ $ctrl.currentElement.advancedVerification.text }}

          PML Antibody (MA569718) in ICC/IF

          Immunocytochemical analysis of PML in BxPC-3 cells. Samples were incubated with PML recombinant monoclonal antibody (Product # MA569718) using a dilution of 1:200 (40x lens). Followed by a further incubation with Cy3 Goat Anti-Rabbit IgG (H+L) using a dilution of 1:500 (Red). The cells were counterstained with alpha-Tubulin Mouse mAb using dilution of 1:400. Followed by incubation with 488-conjugated Goat Anti-Mouse IgG (H+L) using a dilution of 1:500 (Green). DAPI was used for nuclear staining (Blue). {{ $ctrl.currentElement.advancedVerification.fullName }} 验证信息 View more
          已发表图片由___提供 benchsci-logo
          PMID: {{$ctrl.currentElement.benchSciPubmedId}}
          查看产品

          {{$ctrl.videoDesc}}

          {{$ctrl.videoLongDesc}}

          PML Antibody in Immunocytochemistry (ICC/IF)
          PML Antibody in Immunocytochemistry (ICC/IF)
          PML Antibody in Immunocytochemistry (ICC/IF)
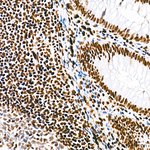
          PML Antibody in Immunohistochemistry (Paraffin) (IHC (P))
          PML Antibody in Immunohistochemistry (Paraffin) (IHC (P))
          PML Antibody in Immunohistochemistry (Paraffin) (IHC (P))
          PML Antibody in Immunohistochemistry (Paraffin) (IHC (P))
          PML Antibody in Immunohistochemistry (Paraffin) (IHC (P))
          PML Antibody in Western Blot (WB)
          PML Antibody in Western Blot (WB)
          PML Antibody in Immunoprecipitation (IP)

          产品信息

          MA569718

          应用
          建议稀释比
          已发表文章

          免疫印迹 (WB)

          1:2,500-1:10,000
          -

          免疫组化(石蜡) (IHC (P))

          1:5,000-1:20,000
          -

          免疫细胞化学 (ICC/IF)

          1:200-1:800
          -

          酶联免疫吸附实验 (ELISA)

          1 µg/mL
          -

          免疫沉淀 (IP)

          0.5-4 µg
          -
          产品规格

          种属反应

          Human

          宿主/亚型

          Rabbit / IgG

          Expression System

          HEK293 cells

          分类

          Recombinant Monoclonal

          类型

          Antibody

          克隆号

          2X8R3

          抗原

          Recombinant protein (or fragment).

          偶联物

          Unconjugated Unconjugated Unconjugated

          形式

          Liquid

          浓度

          1.13 mg/mL

          规格

          113 µg

          纯化类型

          Affinity chromatography

          保存液

          PBS, pH 7.3., with 50% glycerol

          内含物

          0.09% sodium azide

          保存条件

          -20°C, Avoid Freeze/Thaw Cycles

          运输条件

          Ambient (domestic); Wet ice (international)

          靶标信息

          The protein encoded by this gene is one of two human homologs of Saccharomyces cerevisiae Rad23, a protein involved in nucleotide excision repair (NER). This protein was shown to interact with, and elevate the nucleotide excision activity of 3-methyladenine-DNA glycosylase (MPG), which suggested a role in DNA damage recognition in base excision repair. This protein contains an N-terminal ubiquitin-like domain, which was reported to interact with 26S proteasome, as well as with ubiquitin protein ligase E6AP, and thus suggests that this protein may be involved in the ubiquitin mediated proteolytic pathway in cells.

          仅用于科研。不用于诊断过程。未经明确授权不得转售。

          篇参考文献 (0)

          您是否在文献中引用过该产品?请点击下方按钮邮件告知我们。
          引用该产品

          生物信息学

          蛋白别名: E3 SUMO-protein ligase PML; My1 (PML); PML; PML/RARA fusion; pml1; probable transcription factor PML; Promyelocytic leukemia protein; promyelocytic leukemia, inducer of; Protein PML; putative; RING finger protein 71; RING-type E3 SUMO transferase PML; TRIM19; tripartite motif protein TRIM19; Tripartite motif-containing protein 19; unnamed protein product

          查看更多 收起

          基因别名: MYL; PML; PP8675; RNF71; TRIM19

          查看更多 收起

          UniProt ID: (Human) P29590

          查看更多 收起

          Entrez Gene ID: (Human) 5371

          查看更多 收起

          功能
          DNA binding transcription coactivator activity protein binding zinc ion binding transferase activity SUMO transferase activity ubiquitin protein ligase binding SUMO binding identical protein binding protein homodimerization activity SMAD binding metal ion binding protein heterodimerization activity cobalt ion binding binding, bridging ubiquitin-like protein ligase activity
          参与通路
          response to hypoxia positive regulation of defense response to virus by host immune system process chromatin remodeling regulation of transcription, DNA-templated protein targeting protein import into nucleus apoptotic process transforming growth factor beta receptor signaling pathway negative regulation of cell proliferation intrinsic apoptotic signaling pathway in response to DNA damage intrinsic apoptotic signaling pathway in response to oxidative stress response to UV response to gamma radiation regulation of calcium ion transport into cytosol negative regulation of gene expression fibroblast migration negative regulation of angiogenesis protein sumoylation myeloid cell differentiation regulation of cell adhesion negative regulation of cell growth DNA damage response, signal transduction by p53 class mediator PML body organization protein complex localization positive regulation of telomere maintenance negative regulation of telomere maintenance via telomerase endoplasmic reticulum calcium ion homeostasis negative regulation of interleukin-1 beta production negative regulation of interleukin-1 production circadian regulation of gene expression negative regulation of translation in response to oxidative stress response to cytokine protein localization to nucleus regulation of circadian rhythm intrinsic apoptotic signaling pathway in response to DNA damage by p53 class mediator entrainment of circadian clock by photoperiod proteasome-mediated ubiquitin-dependent protein catabolic process negative regulation by host of viral release from host cell innate immune response cell fate commitment establishment of protein localization negative regulation of transcription, DNA-templated positive regulation of transcription, DNA-templated negative regulation of mitotic cell cycle positive regulation of fibroblast proliferation retinoic acid receptor signaling pathway rhythmic process protein stabilization regulation of protein metabolic process maintenance of protein location in nucleus defense response to virus regulation of cell cycle positive regulation of apoptotic process involved in mammary gland involution regulation of cellular localization SMAD protein signal transduction branching involved in mammary gland duct morphogenesis protein-containing complex assembly regulation of biological quality intrinsic apoptotic signaling pathway in response to endoplasmic reticulum stress cellular response to interleukin-4 intrinsic apoptotic signaling pathway by p53 class mediator cellular senescence oncogene-induced cell senescence extrinsic apoptotic signaling pathway positive regulation of signal transduction by p53 class mediator positive regulation of protein localization to chromosome, telomeric region cellular response to leukemia inhibitory factor negative regulation of protein ubiquitination involved in ubiquitin-dependent protein catabolic process regulation of double-strand break repair positive regulation of apoptotic signaling pathway positive regulation of extrinsic apoptotic signaling pathway
          It has to be done as per old AB suggested Products section.

          Disclaimer

          Close

          Clicking the images or links will redirect you to a website hosted by BenchSci that provides third-party scientific content. Neither the content nor the BenchSci technology and processes for selection have been evaluated by us; we are providing them as-is and without warranty of any kind, including for use or application of the Thermo Fisher Scientific products presented.

          guarantee_icon

          性能保障

          只要您发现Invitrogen抗体在实验中的表现与网站或说明书的所述内容不符,您即可享受免费退换货服务。*

          了解更多
          help_icon

          随时为您服务

          获取常见问题的专家解答,或者直接联系我们的技术专家,咨询应用、设备、常规产品使用问题。

          联系技术支持
          订购 Plus Icon Minus Icon
          • 订单状态查询
          • 订单支持
          • 货号直购
          • 现货供应中心
          • 电子采购
          支持 Plus Icon Minus Icon
          • 帮助&支持
          • 联系我们 - 400 820 8982
          • 技术支持中心
          • 查找文件&证书
          • 报告网站问题
          资源 Plus Icon Minus Icon
          • 学习中心
          • 促销
          • 活动&研讨会
          • 社交媒体
          关于赛默飞 Plus Icon Minus Icon
          • 关于我们
          • 招聘 招聘
          • 投资者关系 投资者关系
          • 新闻 新闻
          • 社会责任 社会责任
          • 商标
          • 政策和通知
          品牌 Plus Icon Minus Icon
          • Thermo Scientific
          • Applied Biosystems
          • Invitrogen
          • Gibco
          • Ion Torrent
          • Unity Lab Services
          • Patheon
          • PPD
          • 服务条款
          • 隐私政策
          • 定价和运输保险政策
          © 2006-2026 Thermo Fisher Scientific Inc. All rights reserved. All trademarks are the property of Thermo Fisher Scientific and its subsidiaries unless otherwise specified.
          China flag icon
          China
          本网站销售的所有产品均不得用于人类或动物之临床诊断或治疗,仅可用于工业或者科研等非医疗目的。
             电子营业执照 | 经营证照公示 | ICP备案号:沪ICP备11003924号 | 沪公网安备 31011502006935号

          Your items have has been added!


          Host server : magellan-search-green-6479c7f679-l2s7p:80/100.66.76.236:80.
          git-commit: b70c0dceb888abc3b0dcebb5bc3a5b8753e7e816
          git-url: https://github.com/thermofisher/magellan-search
          git-branch: release/2.50.0-Offline