Hamburger Menu Button
Thermo Fisher Scientific Logo
登录
没有账号?建立账号 注册
  • 产品
    • 抗体
    • 引物合成
    • GeneArt Gene Synthesis Instant Designer
    • TaqMan Assay and Array Search
    • PCR 设备和耗材
    • 色谱柱和纯化柱
    • 实验室离心机
    • 分子生物学试剂和试剂盒
    • 实验室塑料耗材及用品
    • 查看所有产品分类
  • 应用和技术
    • 色谱
    • 细胞转染和培养
    • 实时荧光定量PCR
    • 质谱
    • 实验室塑料耗材及用品
    • 电子显微镜
    • 蛋白质生物学
    • PCR
    • RNAi
    • 环境
    • 查看所有应用和技术
  • 服务
    • 定制服务
    • 企业级实验室信息化服务
    • 企业服务
    • 金融&租赁服务
    • 仪器服务
    • OEM和商业供应
    • 培训服务
    • 360° CDMO 和 CRO 服务
    • CDMO 服务
    • 临床试验 CRO 服务
    • 查看所有帮助和支持
  • 帮助和支持
    • 学习中心
    • 联系我们
    • 更改国家或地区
    • 查看所有帮助和支持
  • 热门产品
    • TaqMan Real-Time PCR Assays
      TaqMan 实时荧光定量 PCR 试剂盒
    • Antibodies
      抗体
    • Oligos, Primers & Probes
      寡核苷酸、引物、探针
    • GeneArt Gene Synthesis
      GeneArt 基因合成
    • Cell Culture Plastics
      细胞培养耗材
  • 联系我们
  • 货号直购
  • 订单查询
  • 查找文件&证书
Thermo Fisher Scientific Logo

Search

搜索全部或下列指定分类
Search button
          • 联系我们
          • 货号直购
          • 登录
            登录
            没有账号?建立账号 注册
            • 我的账号
            • 订单
            • 账单及发票查询
            • 定制产品及项目

          Disclaimer

          Clicking the images or links will redirect you to a website hosted by BenchSci that provides third-party scientific content. Neither the content nor the BenchSci technology and processes for selection have been evaluated by us; we are providing them as-is and without warranty of any kind, including for use or application of the Thermo Fisher Scientific products presented.

          • Primary Antibodies ›
          • PPAR delta Antibodies

          Invitrogen

          PPAR delta Polyclonal Antibody

          4个已发表图片
          6 篇参考文献
          查看其他14个PPAR delta抗体

          {{$productOrderCtrl.translations['antibody.pdp.commerceCard.promotion.promotions']}}

          {{$productOrderCtrl.translations['antibody.pdp.commerceCard.promotion.viewpromo']}}

          {{$productOrderCtrl.translations['antibody.pdp.commerceCard.promotion.promocode']}}: {{promo.promoCode}} {{promo.promoTitle}} {{promo.promoDescription}}. {{$productOrderCtrl.translations['antibody.pdp.commerceCard.promotion.learnmore']}}

          说明书
          证书
          实验方案
          问题与答案
          技术支持
          说明书
          证书
          实验方案
          问题与答案
          技术支持
          说明书
          证书
          实验方案
          问题与答案
          技术支持

          Cite PPAR delta Polyclonal Antibody

          • 抗体检测数据 (3)
          • 已发表图片 (4)
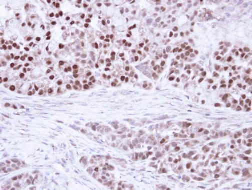
          PPAR delta Antibody in Immunohistochemistry (Paraffin) (IHC (P))
          Group 53 Created with Sketch.
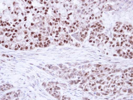
          PPAR delta Antibody in Immunohistochemistry (Paraffin) (IHC (P))
          Group 53 Created with Sketch.

          图: 1 / 7

          {{ $ctrl.currentElement.advancedVerification.fullName }}
          {{ $ctrl.currentElement.advancedVerification.text }}

          PPAR delta Antibody (PA5-29678) in IHC (P)

          Immunohistochemical analysis of paraffin-embedded A549 Xenograft, using PPAR delta (beta) (Product # PA5-29678) antibody at 1:100 dilution. Antigen Retrieval: EDTA based buffer, pH 8.0, 15 min. {{ $ctrl.currentElement.advancedVerification.fullName }} 验证信息 View more
          已发表图片由___提供 benchsci-logo
          PMID: {{$ctrl.currentElement.benchSciPubmedId}}
          查看产品

          {{$ctrl.videoDesc}}

          {{$ctrl.videoLongDesc}}

          PPAR delta Antibody in Immunohistochemistry (Paraffin) (IHC (P))
          PPAR delta Antibody in Western Blot (WB)
          PPAR delta Antibody in Western Blot (WB)
          PPAR delta Antibody in Western Blot, Immunoprecipitation (WB, IP)
          PPAR delta Antibody in Western Blot (WB)
          PPAR delta Antibody in Western Blot (WB)
          PPAR delta Antibody in Western Blot (WB)

          产品信息

          PA5-29678

          应用
          建议稀释比
          已发表文章

          免疫印迹 (WB)

          1:500-1:3,000
          查看5篇已发表文章 5篇已发表文章

          免疫组化(石蜡) (IHC (P))

          1:100-1:1,000
          -

          免疫沉淀 (IP)

          -
          查看1篇已发表文章 1篇已发表文章
          产品规格

          种属反应

          Human, Mouse, Rat

          已发表种属

          Human, Mouse, Rat

          宿主/亚型

          Rabbit / IgG

          分类

          Polyclonal

          类型

          Antibody

          抗原

          Recombinant protein encompassing a sequence within the center region of human PPAR delta. The exact sequence is proprietary.

          偶联物

          Unconjugated Unconjugated Unconjugated

          形式

          Liquid

          浓度

          0.44 mg/mL

          纯化类型

          Antigen affinity chromatography

          保存液

          PBS, pH 7, with 20% glycerol, 1% BSA

          内含物

          0.025% ProClin 300

          保存条件

          Store at 4°C short term. For long term storage, store at -20°C, avoiding freeze/thaw cycles.

          运输条件

          Ambient (domestic); Wet ice (international)

          RRID

          AB_2547153

          产品详细信息

          Recommended positive controls: K562, HL-60, DDDDK-tagged PPARD delta-transfected 293T.

          Predicted reactivity: Mouse (95%), Rat (94%), Japanese Medaka (80%), Dog (98%), Pig (95%), Rabbit (95%), Chicken (90%), Bovine (96%).

          Store product as a concentrated solution. Centrifuge briefly prior to opening the vial.

          靶标信息

          This gene encodes a member of the peroxisome proliferator-activated receptor (PPAR) family. PPARs are nuclear hormone receptors that bind peroxisome proliferators and control the size and number of peroxisomes produced by cells. PPARs mediate a variety of biological processes, and may be involved in the development of several chronic diseases, including diabetes, obesity, atherosclerosis, and cancer. This protein is a potent inhibitor of ligand-induced transcription activity of PPAR alpha and PPAR gamma. It may function as an integrator of transcription repression and nuclear receptor signaling. The expression of this gene is found to be elevated in colorectal cancer cells. The elevated expression can be repressed by adenomatosis polyposis coli (APC), a tumor suppressor protein related to APC/beta-catenin signaling pathway. Knockout studies in mice suggested the role of this protein in myelination of the corpus callosum, lipid metabolism, and epidermal cell proliferation.

          仅用于科研。不用于诊断过程。未经明确授权不得转售。

          生物信息学

          蛋白别名: MGC3931; NUC1; NUCI; Nuclear hormone receptor 1; Nuclear receptor subfamily 1 group C member 2; OTTHUMP00000016256; OTTHUMP00000016257; peroxisome proliferator; peroxisome proliferator activated receptor; peroxisome proliferator activated receptor delta; peroxisome proliferator activator receptor beta; peroxisome proliferator activator receptor, delta; peroxisome proliferator-activated nuclear receptor beta/delta variant 2; Peroxisome proliferator-activated receptor beta; Peroxisome proliferator-activated receptor delta; PPAR-beta; PPAR-delta; PPARdelta/beta

          查看更多 收起

          基因别名: FAAR; NR1C2; NUC-1; NUC1; NUCI; NUCII; PPAR-beta; PPAR-delta; PPAR[b]; PPARB; Pparb/d; PPARD; PPARdelta

          查看更多 收起

          UniProt ID: (Human) Q03181, (Mouse) P35396

          查看更多 收起

          Entrez Gene ID: (Human) 5467, (Rat) 25682, (Mouse) 19015

          查看更多 收起

          功能
          transcriptional repressor activity, RNA polymerase II transcription regulatory region sequence-specific binding DNA binding transcription factor activity, sequence-specific DNA binding steroid hormone receptor activity transcription coactivator activity RNA polymerase II transcription factor activity, ligand-activated sequence-specific DNA binding protein binding transcription factor binding drug binding zinc ion binding lipid binding sequence-specific DNA binding protein heterodimerization activity NF-kappaB binding linoleic acid binding fatty acid binding enzyme activator activity prostacyclin receptor activity metal ion binding retinoid X receptor binding C4 zinc finger nuclear receptor DNA-binding transcription factor zinc finger transcription factor gene-specific transcriptional regulator
          参与通路
          negative regulation of transcription from RNA polymerase II promoter glucose metabolic process proteoglycan metabolic process generation of precursor metabolites and energy regulation of transcription from RNA polymerase II promoter transcription initiation from RNA polymerase II promoter lipid metabolic process fatty acid beta-oxidation vitamin A metabolic process apoptotic process heart development embryo implantation cholesterol metabolic process cell proliferation axon ensheathment phospholipid biosynthetic process fatty acid catabolic process mRNA transcription response to glucose positive regulation of phosphatidylinositol 3-kinase signaling response to activity regulation of skeletal muscle satellite cell proliferation negative regulation of smooth muscle cell migration glucose transport fatty acid transport cell differentiation negative regulation of cell growth intracellular receptor signaling pathway cell-substrate adhesion positive regulation of insulin secretion negative regulation of collagen biosynthetic process response to vitamin A wound healing negative regulation of apoptotic process steroid hormone mediated signaling pathway positive regulation of skeletal muscle tissue regeneration keratinocyte proliferation positive regulation of fat cell differentiation negative regulation of myoblast differentiation positive regulation of epidermis development negative regulation of transcription, DNA-templated positive regulation of transcription, DNA-templated positive regulation of vasodilation decidualization negative regulation of smooth muscle cell proliferation negative regulation of epithelial cell proliferation negative regulation of inflammatory response keratinocyte migration adipose tissue development cellular response to lipopolysaccharide cellular response to hypoxia apoptotic signaling pathway negative regulation of pri-miRNA transcription from RNA polymerase II promoter positive regulation of myoblast proliferation placenta development positive regulation of cell proliferation response to organic substance fatty acid oxidation regulation of cell proliferation regulation of fat cell differentiation transcription, DNA-templated regulation of transcription, DNA-templated transcription from RNA polymerase II promoter G-protein coupled receptor signaling pathway epidermis development cellular process anagen positive regulation of catalytic activity regulation of insulin secretion
          It has to be done as per old AB suggested Products section.
          guarantee_icon

          性能保障

          只要您发现Invitrogen抗体在实验中的表现与网站或说明书的所述内容不符,您即可享受免费退换货服务。*

          了解更多
          help_icon

          随时为您服务

          获取常见问题的专家解答,或者直接联系我们的技术专家,咨询应用、设备、常规产品使用问题。

          联系技术支持
          订购 Plus Icon Minus Icon
          • 订单状态查询
          • 订单支持
          • 货号直购
          • 现货供应中心
          • 电子采购
          支持 Plus Icon Minus Icon
          • 帮助&支持
          • 联系我们 - 400 820 8982
          • 技术支持中心
          • 查找文件&证书
          • 报告网站问题
          资源 Plus Icon Minus Icon
          • 学习中心
          • 促销
          • 活动&研讨会
          • 社交媒体
          关于赛默飞 Plus Icon Minus Icon
          • 关于我们
          • 招聘 招聘
          • 投资者关系 投资者关系
          • 新闻 新闻
          • 社会责任 社会责任
          • 商标
          • 政策和通知
          品牌 Plus Icon Minus Icon
          • Thermo Scientific
          • Applied Biosystems
          • Invitrogen
          • Gibco
          • Ion Torrent
          • Patheon
          • PPD
          • 服务条款
          • 隐私政策
          • 定价和运输保险政策
          © 2006-2026 Thermo Fisher Scientific Inc. All rights reserved. All trademarks are the property of Thermo Fisher Scientific and its subsidiaries unless otherwise specified.
          China flag icon
          China
          本网站销售的所有产品均不得用于人类或动物之临床诊断或治疗,仅可用于工业或者科研等非医疗目的。
             电子营业执照 | 经营证照公示 | ICP备案号:沪ICP备11003924号 | 沪公网安备 31011502006935号

          Your items have has been added!


          Host server : magellan-search-blue-55ff9ddd88-lffdw:80/100.66.79.31:80.
          git-commit: d366ff9721d93504b2ac26a183b2b3e3d0e7d9ec
          git-url: https://github.com/thermofisher/magellan-search
          git-branch: release/2.42.0-2026.01.03-1.0