Hamburger Menu Button
Thermo Fisher Scientific Logo
登录
没有账号?建立账号 注册
  • 产品
    • 抗体
    • 引物合成
    • GeneArt Gene Synthesis Instant Designer
    • TaqMan Assay and Array Search
    • PCR 设备和耗材
    • 色谱柱和纯化柱
    • 实验室离心机
    • 分子生物学试剂和试剂盒
    • 实验室塑料耗材及用品
    • 查看所有产品分类
  • 应用和技术
    • 色谱
    • 细胞转染和培养
    • 实时荧光定量PCR
    • 质谱
    • 实验室塑料耗材及用品
    • 电子显微镜
    • 蛋白质生物学
    • PCR
    • RNAi
    • 环境
    • 查看所有应用和技术
  • 服务
    • 定制服务
    • 企业级实验室信息化服务
    • 金融&租赁服务
    • 仪器服务
    • OEM和商业供应
    • 培训服务
    • 360° CDMO 和 CRO 服务
    • CDMO 服务
    • 临床试验 CRO 服务
    • Unity Lab Services
    • 查看所有帮助和支持
  • 帮助和支持
    • 学习中心
    • 联系我们
    • 更改国家或地区
    • 查看所有帮助和支持
  • 热门产品
    • TaqMan Real-Time PCR Assays
      TaqMan 实时荧光定量 PCR 试剂盒
    • Antibodies
      抗体
    • Oligos, Primers & Probes
      寡核苷酸、引物、探针
    • GeneArt Gene Synthesis
      GeneArt 基因合成
    • Cell Culture Plastics
      细胞培养耗材
  • Who We Serve
    • 抗体治疗解决方案
    • 细胞与基因治疗解决方案
    • 学术科研
    • 工业与应用
  • 联系我们
  • 货号直购
  • 订单查询
  • 查找文件&证书
Thermo Fisher Scientific Logo

Search

搜索全部或下列指定分类
Search button
          • 联系我们
          • 货号直购
          • 登录
            登录
            没有账号?建立账号 注册
            • 我的账号
            • 订单
            • 会员中心
            • 账单及发票查询
            • 定制产品及项目
          • Primary Antibodies ›
          • PPAR gamma Antibodies

          Bioss

          PPAR gamma Polyclonal Antibody

          查看其他18个PPAR gamma抗体

          {{$productOrderCtrl.translations['antibody.pdp.commerceCard.promotion.promotions']}}

          {{$productOrderCtrl.translations['antibody.pdp.commerceCard.promotion.viewpromo']}}

          {{$productOrderCtrl.translations['antibody.pdp.commerceCard.promotion.promocode']}}: {{promo.promoCode}} {{promo.promoTitle}} {{promo.promoDescription}}. {{$productOrderCtrl.translations['antibody.pdp.commerceCard.promotion.learnmore']}}

          说明书
          证书
          实验方案
          问题与答案
          技术支持
          说明书
          证书
          实验方案
          问题与答案
          技术支持
          说明书
          证书
          实验方案
          问题与答案
          技术支持

          Cite PPAR gamma Polyclonal Antibody

          Additional Information:
          {{banner.description}}
          {{$ctrl.isSkuNotesCollapsed ? 'View more' : 'View less'}}
          • 抗体检测数据 (7)
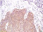
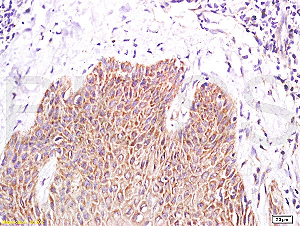
          PPAR gamma Antibody in Immunohistochemistry (Paraffin) (IHC (P))
          Group 53 Created with Sketch.
          PPAR gamma Antibody in Immunohistochemistry (Paraffin) (IHC (P))
          Group 53 Created with Sketch.

          图: 1 / 7

          {{ $ctrl.currentElement.advancedVerification.fullName }}
          {{ $ctrl.currentElement.advancedVerification.text }}

          PPAR gamma Antibody (BS-0530R) in IHC (P)

          Formalin-fixed and paraffin-embedded human skin psoriasis labeled with Rabbit Anti- PPARr gamma Polyclonal Antibody, Unconjugated (bs-0530R) at 1:200 followed by conjugation to the secondary antibody and DAB staining. {{ $ctrl.currentElement.advancedVerification.fullName }} 验证信息 View more
          已发表图片由___提供 benchsci-logo
          PMID: {{$ctrl.currentElement.benchSciPubmedId}}
          查看产品

          {{$ctrl.videoDesc}}

          {{$ctrl.videoLongDesc}}

          PPAR gamma Antibody in Immunohistochemistry (Paraffin) (IHC (P))
          PPAR gamma Antibody in Immunohistochemistry (Paraffin) (IHC (P))
          PPAR gamma Antibody in Western Blot (WB)
          PPAR gamma Antibody in Western Blot (WB)
          PPAR gamma Antibody in Western Blot (WB)
          PPAR gamma Antibody in Western Blot (WB)
          PPAR gamma Antibody in Flow Cytometry (Flow)
          PPAR gamma Polyclonal Antibody

          产品信息

          BS-0530R

          应用
          建议稀释比
          已发表文章

          免疫印迹 (WB)

          1:300
          -

          免疫组化(石蜡) (IHC (P))

          1:200
          -

          免疫组化(冰冻) (IHC (F))

          1:100-1:500
          -

          免疫细胞化学 (ICC/IF)

          1:50-1:200
          -

          流式细胞分析 (Flow)

          1:100
          -

          酶联免疫吸附实验 (ELISA)

          1:500-1:1,000
          -
          产品规格

          种属反应

          Bovine, Chicken, Human, Mouse, Sheep, Pig, Rat

          宿主/亚型

          Rabbit / IgG

          分类

          Polyclonal

          类型

          Antibody

          抗原

          KLH conjugated synthetic peptide derived from human PPAR Gamma, amino acids 101-200.
          3D表位/免疫原

          偶联物

          Unconjugated Unconjugated Unconjugated

          形式

          Liquid

          浓度

          1 mg/mL

          规格

          100 µg

          纯化类型

          Protein A

          保存液

          0.01M TBS, pH 7.4, with 1% BSA, 50% glycerol

          内含物

          0.02% ProClin 300

          保存条件

          -20°C

          运输条件

          Ambient (domestic); Wet ice (international)

          靶标信息

          This gene encodes a member of the peroxisome proliferator-activated receptor (PPAR) subfamily of nuclear receptors. PPARs form heterodimers with retinoid X receptors (RXRs) and these heterodimers regulate transcription of various genes. Three subtypes of PPARs are known: PPAR-alpha, PPAR-delta, and PPAR-gamma. The protein encoded by this gene is PPAR-gamma and is a regulator of adipocyte differentiation. Additionally, PPAR-gamma has been implicated in the pathology of numerous diseases including obesity, diabetes, atherosclerosis and cancer. Alternatively spliced transcript variants that encode different isoforms have been described.

          仅用于科研。不用于诊断过程。未经明确授权不得转售。

          篇参考文献 (0)

          您是否在文献中引用过该产品?请点击下方按钮邮件告知我们。
          引用该产品

          生物信息学

          蛋白别名: HUMPPARG; nuclear hormone receptor; nuclear hormone receptor; PPARG; nuclear receptor; Nuclear receptor subfamily 1 group C member 3; OTTHUMP00000185032; OTTHUMP00000185036; peroxisome proliferative activated receptor, gamma; peroxisome proliferator; peroxisome proliferator activated receptor; peroxisome proliferator activated receptor gamma; peroxisome proliferator activated receptor gamma 1 protein; peroxisome proliferator activated receptor gamma 2; peroxisome proliferator activated receptor gamma 4; peroxisome proliferator activatived receptor gamma; peroxisome proliferator activator receptor, gamma; Peroxisome proliferator-activated receptor gamma; peroxisome proliferator-activated receptor gamma 1; peroxisome proliferator-activated receptor gamma 2; peroxisome proliferator-activated receptor-gamma 5; peroxisome proliferator-activated receptor-gamma splicing; PPAR gamma; PPAR-gamma; PPARgamma; PPARy; unnamed protein product

          查看更多 收起

          基因别名: CIMT1; FPLD3; GLM1; NR1C3; PPAR gamma; PPAR-gamma; PPAR-gamma2; PPARG; PPARG1; PPARG2; PPARG5; PPARgamma; PPARgamma2

          查看更多 收起

          UniProt ID: (Pig) O62807, (Human) P37231, (Bovine) O18971, (Mouse) P37238, (Rat) O88275

          查看更多 收起

          Entrez Gene ID: (Pig) 397671, (Sheep) 443513, (Chicken) 373928, (Human) 5468, (Bovine) 281993, (Mouse) 19016, (Rat) 25664

          查看更多 收起

          功能
          transcription regulatory region sequence-specific DNA binding RNA polymerase II core promoter proximal region sequence-specific DNA binding RNA polymerase II transcription factor activity, sequence-specific DNA binding transcription cofactor binding transcriptional repressor activity, RNA polymerase II transcription regulatory region sequence-specific binding transcriptional activator activity, RNA polymerase II transcription regulatory region sequence-specific binding nucleic acid binding DNA binding chromatin binding double-stranded DNA binding transcription factor activity, sequence-specific DNA binding RNA polymerase II transcription factor activity, ligand-activated sequence-specific DNA binding prostaglandin receptor activity protein binding zinc ion binding enzyme binding peptide binding identical protein binding sequence-specific DNA binding metal ion binding retinoid X receptor binding arachidonic acid binding DBD domain binding LBD domain binding WW domain binding alpha-actinin binding R-SMAD binding E-box binding STAT family protein binding DNA-binding transcription factor binding protein C-terminus binding drug binding activating transcription factor binding protein self-association RNA polymerase II regulatory region DNA binding core promoter sequence-specific DNA binding steroid hormone receptor activity transcription factor binding protein phosphatase binding estrogen receptor binding ligand-dependent nuclear receptor transcription coactivator activity transcription regulatory region DNA binding C4 zinc finger nuclear receptor DNA-binding transcription factor zinc finger transcription factor gene-specific transcriptional regulator
          参与通路
          negative regulation of transcription from RNA polymerase II promoter placenta development regulation of transcription, DNA-templated regulation of transcription from RNA polymerase II promoter fatty acid metabolic process G-protein coupled receptor signaling pathway response to nutrient regulation of blood pressure hormone-mediated signaling pathway positive regulation of gene expression negative regulation of gene expression negative regulation of macrophage derived foam cell differentiation positive regulation of cholesterol efflux negative regulation of cholesterol storage negative regulation of lipid storage long-chain fatty acid transport negative regulation of angiogenesis cell differentiation monocyte differentiation BMP signaling pathway negative regulation of transforming growth factor beta receptor signaling pathway negative regulation of BMP signaling pathway intracellular receptor signaling pathway epithelial cell differentiation negative regulation of defense response response to nutrient levels positive regulation of cholesterol transport cellular response to insulin stimulus response to lipid peroxisome proliferator activated receptor signaling pathway glucose homeostasis regulation of circadian rhythm mRNA transcription from RNA polymerase II promoter negative regulation of MAPK cascade negative regulation of blood vessel endothelial cell migration innate immune response cell fate commitment positive regulation of fat cell differentiation negative regulation of osteoblast differentiation positive regulation of lipid metabolic process negative regulation of transcription, DNA-templated positive regulation of transcription, DNA-templated positive regulation of fatty acid metabolic process positive regulation of transcription from RNA polymerase II promoter retinoic acid receptor signaling pathway cell maturation rhythmic process negative regulation of smooth muscle cell proliferation negative regulation of inflammatory response white fat cell differentiation regulation of transport negative regulation of multicellular organismal process lipid homeostasis negative regulation of interferon-gamma-mediated signaling pathway negative regulation of SMAD protein import into nucleus positive regulation of adiponectin secretion cellular response to low-density lipoprotein particle stimulus cellular response to hypoxia negative regulation of mitochondrial fission positive regulation of lipoprotein transport nuclear receptor-mediated signaling pathway regulation of cellular response to insulin stimulus negative regulation of extracellular matrix assembly negative regulation of pri-miRNA transcription from RNA polymerase II promoter positive regulation of pri-miRNA transcription from RNA polymerase II promoter negative regulation of cardiac muscle hypertrophy in response to stress negative regulation of cellular response to transforming growth factor beta stimulus positive regulation of adipose tissue development negative regulation of connective tissue replacement involved in inflammatory response wound healing negative regulation of vascular smooth muscle cell proliferation negative regulation of receptor signaling pathway via STAT positive regulation of vascular associated smooth muscle cell apoptotic process negative regulation of vascular endothelial cell proliferation positive regulation of apoptotic signaling pathway activation of cysteine-type endopeptidase activity involved in apoptotic process macrophage derived foam cell differentiation negative regulation of receptor biosynthetic process negative regulation of sequestering of triglyceride response to retinoic acid lipoprotein transport positive regulation of DNA binding regulation of fat cell differentiation low-density lipoprotein particle receptor biosynthetic process positive regulation of sequence-specific DNA binding transcription factor activity regulation of transcription involved in cell fate commitment negative regulation of gene silencing by miRNA pri-miRNA transcription from RNA polymerase II promoter negative regulation of cytokine production response to dietary excess diet induced thermogenesis negative regulation of acute inflammatory response transcription, DNA-templated transcription from RNA polymerase II promoter inflammatory response signal transduction negative regulation of cell proliferation response to light stimulus regulation of gene expression regulation of lipid metabolic process fatty acid oxidation negative regulation of cell growth response to food negative regulation of collagen biosynthetic process positive regulation of apoptotic process steroid hormone mediated signaling pathway fat cell differentiation positive regulation of fatty acid oxidation positive regulation of oligodendrocyte differentiation brown fat cell differentiation negative regulation of telomerase activity response to low-density lipoprotein particle positive regulation of phagocytosis, engulfment cellular response to lithium ion cellular response to organic cyclic compound negative regulation of peptide hormone secretion negative regulation of cellular response to insulin stimulus negative regulation of pancreatic stellate cell proliferation heart development response to cold response to mechanical stimulus response to organic substance response to organic cyclic compound response to caffeine organ regeneration response to vitamin A response to immobilization stress response to diuretic response to drug response to starvation response to estrogen cellular response to retinoic acid cellular response to vitamin E cellular response to prostaglandin stimulus cellular response to prostaglandin E stimulus cellular response to hyperoxia response to metformin
          It has to be done as per old AB suggested Products section.

          Disclaimer

          Close

          Clicking the images or links will redirect you to a website hosted by BenchSci that provides third-party scientific content. Neither the content nor the BenchSci technology and processes for selection have been evaluated by us; we are providing them as-is and without warranty of any kind, including for use or application of the Thermo Fisher Scientific products presented.

          guarantee_icon

          性能保障

          只要您发现Invitrogen抗体在实验中的表现与网站或说明书的所述内容不符,您即可享受免费退换货服务。*

          了解更多
          help_icon

          随时为您服务

          获取常见问题的专家解答,或者直接联系我们的技术专家,咨询应用、设备、常规产品使用问题。

          联系技术支持
          订购 Plus Icon Minus Icon
          • 订单状态查询
          • 订单支持
          • 货号直购
          • 现货供应中心
          • 电子采购
          支持 Plus Icon Minus Icon
          • 帮助&支持
          • 联系我们 - 400 820 8982
          • 技术支持中心
          • 查找文件&证书
          • 报告网站问题
          资源 Plus Icon Minus Icon
          • 学习中心
          • 促销
          • 活动&研讨会
          • 社交媒体
          关于赛默飞 Plus Icon Minus Icon
          • 关于我们
          • 招聘 招聘
          • 投资者关系 投资者关系
          • 新闻 新闻
          • 社会责任 社会责任
          • 商标
          • 政策和通知
          品牌 Plus Icon Minus Icon
          • Thermo Scientific
          • Applied Biosystems
          • Invitrogen
          • Gibco
          • Ion Torrent
          • Unity Lab Services
          • Patheon
          • PPD
          • 服务条款
          • 隐私政策
          • 定价和运输保险政策
          © 2006-2026 Thermo Fisher Scientific Inc. All rights reserved. All trademarks are the property of Thermo Fisher Scientific and its subsidiaries unless otherwise specified.
          China flag icon
          China
          本网站销售的所有产品均不得用于人类或动物之临床诊断或治疗,仅可用于工业或者科研等非医疗目的。
             电子营业执照 | 经营证照公示 | ICP备案号:沪ICP备11003924号 | 沪公网安备 31011502006935号

          Your items have has been added!


          Host server : magellan-search-green-6479c7f679-sz4vp:80/100.66.76.236:80.
          git-commit: b70c0dceb888abc3b0dcebb5bc3a5b8753e7e816
          git-url: https://github.com/thermofisher/magellan-search
          git-branch: release/2.50.0-Offline