Hamburger Menu Button
Thermo Fisher Scientific Logo
登录
没有账号?建立账号 注册
  • 产品
    • 抗体
    • 引物合成
    • GeneArt Gene Synthesis Instant Designer
    • TaqMan Assay and Array Search
    • PCR 设备和耗材
    • 色谱柱和纯化柱
    • 实验室离心机
    • 分子生物学试剂和试剂盒
    • 实验室塑料耗材及用品
    • 查看所有产品分类
  • 应用和技术
    • 色谱
    • 细胞转染和培养
    • 实时荧光定量PCR
    • 质谱
    • 实验室塑料耗材及用品
    • 电子显微镜
    • 蛋白质生物学
    • PCR
    • RNAi
    • 环境
    • 查看所有应用和技术
  • 服务
    • 定制服务
    • 企业级实验室信息化服务
    • 金融&租赁服务
    • 仪器服务
    • OEM和商业供应
    • 培训服务
    • 360° CDMO 和 CRO 服务
    • CDMO 服务
    • 临床试验 CRO 服务
    • Unity Lab Services
    • 查看所有帮助和支持
  • 帮助和支持
    • 学习中心
    • 联系我们
    • 更改国家或地区
    • 查看所有帮助和支持
  • 热门产品
    • TaqMan Real-Time PCR Assays
      TaqMan 实时荧光定量 PCR 试剂盒
    • Antibodies
      抗体
    • Oligos, Primers & Probes
      寡核苷酸、引物、探针
    • GeneArt Gene Synthesis
      GeneArt 基因合成
    • Cell Culture Plastics
      细胞培养耗材
  • Who We Serve
    • 抗体治疗解决方案
    • 细胞与基因治疗解决方案
    • 学术科研
    • 工业与应用
  • 联系我们
  • 货号直购
  • 订单查询
  • 查找文件&证书
Thermo Fisher Scientific Logo

Search

搜索全部或下列指定分类
Search button
          • 联系我们
          • 货号直购
          • 登录
            登录
            没有账号?建立账号 注册
            • 我的账号
            • 订单
            • 会员中心
            • 账单及发票查询
            • 定制产品及项目
          • Primary Antibodies ›
          • PPP1R9B Antibodies

          Proteintech

          PPP1R9B Polyclonal Antibody

          2 篇参考文献
          查看其他6个PPP1R9B抗体

          {{$productOrderCtrl.translations['antibody.pdp.commerceCard.promotion.promotions']}}

          {{$productOrderCtrl.translations['antibody.pdp.commerceCard.promotion.viewpromo']}}

          {{$productOrderCtrl.translations['antibody.pdp.commerceCard.promotion.promocode']}}: {{promo.promoCode}} {{promo.promoTitle}} {{promo.promoDescription}}. {{$productOrderCtrl.translations['antibody.pdp.commerceCard.promotion.learnmore']}}

          说明书
          证书
          实验方案
          问题与答案
          技术支持
          说明书
          证书
          实验方案
          问题与答案
          技术支持
          说明书
          证书
          实验方案
          问题与答案
          技术支持

          Cite PPP1R9B Polyclonal Antibody

          Additional Information:
          {{banner.description}}
          {{$ctrl.isSkuNotesCollapsed ? 'View more' : 'View less'}}
          • 抗体检测数据 (11)
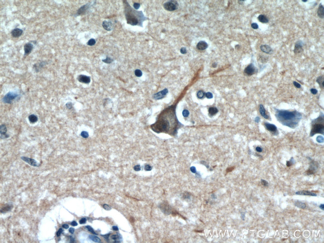
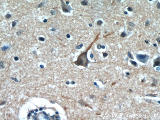
          PPP1R9B Antibody in Immunohistochemistry (Paraffin) (IHC (P))
          Group 53 Created with Sketch.
          PPP1R9B Antibody in Immunohistochemistry (Paraffin) (IHC (P))
          Group 53 Created with Sketch.

          图: 1 / 11

          {{ $ctrl.currentElement.advancedVerification.fullName }}
          {{ $ctrl.currentElement.advancedVerification.text }}

          PPP1R9B Antibody (55129-1-AP) in IHC (P)

          Immunohistochemistry of paraffin-embedded human brain using 55129-1-AP (PPP1R9B antibody) at dilution of 1:50 (under 40x lens). {{ $ctrl.currentElement.advancedVerification.fullName }} 验证信息 View more
          已发表图片由___提供 benchsci-logo
          PMID: {{$ctrl.currentElement.benchSciPubmedId}}
          查看产品

          {{$ctrl.videoDesc}}

          {{$ctrl.videoLongDesc}}

          PPP1R9B Antibody in Immunohistochemistry (Paraffin) (IHC (P))
          PPP1R9B Antibody in Immunohistochemistry (Paraffin) (IHC (P))
          PPP1R9B Antibody in Western Blot (WB)
          PPP1R9B Antibody in Western Blot (WB)
          PPP1R9B Antibody in Western Blot (WB)
          PPP1R9B Antibody in Western Blot (WB)
          PPP1R9B Antibody in Western Blot (WB)
          PPP1R9B Antibody in Western Blot (WB)
          PPP1R9B Antibody in Western Blot (WB)
          PPP1R9B Antibody in Western Blot (WB)
          PPP1R9B Antibody in Immunoprecipitation (IP)

          产品信息

          55129-1-AP

          应用
          建议稀释比
          已发表文章

          免疫印迹 (WB)

          1:500-1:1,000
          查看2篇已发表文章 2篇已发表文章

          免疫组化(石蜡) (IHC (P))

          1:20-1:200
          -

          免疫沉淀 (IP)

          0.5-4.0 µg
          -
          产品规格

          种属反应

          Human, Mouse

          已发表种属

          Rat

          宿主/亚型

          Rabbit / IgG

          分类

          Polyclonal

          类型

          Antibody

          抗原

          Peptide

          偶联物

          Unconjugated Unconjugated Unconjugated

          形式

          Liquid

          浓度

          0.29 mg/mL

          规格

          43.5 µg

          纯化类型

          Antigen affinity chromatography

          保存液

          0.1M sodium bicarbonate/0.1M glycine, pH 7.3, with 50% glycerol, 0.1M glycine

          内含物

          0.02% sodium azide

          保存条件

          -20°C

          运输条件

          Wet ice (domestic); Dry ice (international)

          产品详细信息

          The antibody is specific to PPP1R9B.

          靶标信息

          Protein phosphatase 1 regulatory subunit 9B (PPP1R9B), also known as Neurabin II or spinophilin, is a gene located on chromosome 17q21.32 that encodes a regulatory protein predominantly expressed in the brain. PPP1R9B is involved in modulating the activity of protein phosphatase 1 (PP1), a crucial enzyme in cellular signaling pathways responsible for dephosphorylation of target proteins. Spinophilin functions by anchoring PP1 to specific subcellular locations, such as synaptic sites, thereby influencing synaptic plasticity, neurotransmission, and signal transduction. This protein is integral to the maintenance and modulation of excitatory synapses, playing a role in cognitive processes including learning and memory. Alterations in PPP1R9B expression or function have been associated with neuropsychiatric disorders and cancer, reflecting its importance in neuronal integrity and its potential role in tumorigenesis. Research into PPP1R9B continues to explore its therapeutic potential in neurological disorders and its utility in understanding phosphatase-related cellular processes.

          仅用于科研。不用于诊断过程。未经明确授权不得转售。

          生物信息学

          蛋白别名: neurabin II; Neurabin-2; Neurabin-II; Protein phosphatase 1 regulatory subunit 9B; protein phosphatase 1, regulatory (inhibitor) subunit 9B; protein phosphatase 1, regulatory subunit 9B, spinophilin; Spinophilin; unnamed protein product

          查看更多 收起

          基因别名: PPP1R6; PPP1R9; PPP1R9B; SPINO; SPL; Spn

          查看更多 收起

          UniProt ID: (Human) Q96SB3, (Mouse) Q6R891

          查看更多 收起

          Entrez Gene ID: (Human) 84687, (Mouse) 217124

          查看更多 收起

          功能
          actin binding protein kinase activity protein phosphatase inhibitor activity protein binding protein phosphatase 1 binding kinase binding D2 dopamine receptor binding ion channel binding macromolecular complex binding actin filament binding protein C-terminus binding protein complex binding
          参与通路
          regulation of protein phosphorylation protein phosphorylation actin filament organization multicellular organism development nervous system development dendrite development cell migration calcium-mediated signaling actin cytoskeleton organization cell differentiation negative regulation of cell growth negative regulation of phosphoprotein phosphatase activity regulation of cell proliferation filopodium assembly modulation of synaptic transmission cellular response to morphine cellular response to light stimulus positive regulation of establishment of protein localization to plasma membrane protein localization to actin cytoskeleton positive regulation of cellular protein localization regulation of opioid receptor signaling pathway regulation of cell growth by extracellular stimulus response to amphetamine developmental process involved in reproduction regulation of exit from mitosis learning RNA splicing response to xenobiotic stimulus hippocampus development cerebral cortex development actin filament depolymerization neuron projection development response to estradiol response to prostaglandin E response to nicotine response to immobilization stress response to amino acid response to steroid hormone regulation of cell cycle male mating behavior reproductive system development cellular response to epidermal growth factor stimulus cellular response to estradiol stimulus cellular response to xenobiotic stimulus regulation of postsynapse assembly cellular response to peptide positive regulation of protein localization to plasma membrane positive regulation of protein localization to actin cortical patch response to kainic acid response to L-phenylalanine derivative protein localization to cell periphery
          It has to be done as per old AB suggested Products section.

          Disclaimer

          Close

          Clicking the images or links will redirect you to a website hosted by BenchSci that provides third-party scientific content. Neither the content nor the BenchSci technology and processes for selection have been evaluated by us; we are providing them as-is and without warranty of any kind, including for use or application of the Thermo Fisher Scientific products presented.

          guarantee_icon

          性能保障

          只要您发现Invitrogen抗体在实验中的表现与网站或说明书的所述内容不符,您即可享受免费退换货服务。*

          了解更多
          help_icon

          随时为您服务

          获取常见问题的专家解答,或者直接联系我们的技术专家,咨询应用、设备、常规产品使用问题。

          联系技术支持
          订购 Plus Icon Minus Icon
          • 订单状态查询
          • 订单支持
          • 货号直购
          • 现货供应中心
          • 电子采购
          支持 Plus Icon Minus Icon
          • 帮助&支持
          • 联系我们 - 400 820 8982
          • 技术支持中心
          • 查找文件&证书
          • 报告网站问题
          资源 Plus Icon Minus Icon
          • 学习中心
          • 促销
          • 活动&研讨会
          • 社交媒体
          关于赛默飞 Plus Icon Minus Icon
          • 关于我们
          • 招聘 招聘
          • 投资者关系 投资者关系
          • 新闻 新闻
          • 社会责任 社会责任
          • 商标
          • 政策和通知
          品牌 Plus Icon Minus Icon
          • Thermo Scientific
          • Applied Biosystems
          • Invitrogen
          • Gibco
          • Ion Torrent
          • Unity Lab Services
          • Patheon
          • PPD
          • 服务条款
          • 隐私政策
          • 定价和运输保险政策
          © 2006-2026 Thermo Fisher Scientific Inc. All rights reserved. All trademarks are the property of Thermo Fisher Scientific and its subsidiaries unless otherwise specified.
          China flag icon
          China
          本网站销售的所有产品均不得用于人类或动物之临床诊断或治疗,仅可用于工业或者科研等非医疗目的。
             电子营业执照 | 经营证照公示 | ICP备案号:沪ICP备11003924号 | 沪公网安备 31011502006935号

          Your items have has been added!


          Host server : magellan-search-green-6479c7f679-74pjh:80/100.66.78.195:80.
          git-commit: b70c0dceb888abc3b0dcebb5bc3a5b8753e7e816
          git-url: https://github.com/thermofisher/magellan-search
          git-branch: release/2.50.0-Offline