Hamburger Menu Button
Thermo Fisher Scientific Logo
登录
没有账号?建立账号 注册
  • 产品
    • 抗体
    • 引物合成
    • GeneArt Gene Synthesis Instant Designer
    • TaqMan Assay and Array Search
    • PCR 设备和耗材
    • 色谱柱和纯化柱
    • 实验室离心机
    • 分子生物学试剂和试剂盒
    • 实验室塑料耗材及用品
    • 查看所有产品分类
  • 应用和技术
    • 色谱
    • 细胞转染和培养
    • 实时荧光定量PCR
    • 质谱
    • 实验室塑料耗材及用品
    • 电子显微镜
    • 蛋白质生物学
    • PCR
    • RNAi
    • 环境
    • 查看所有应用和技术
  • 服务
    • 定制服务
    • 企业级实验室信息化服务
    • 金融&租赁服务
    • 仪器服务
    • OEM和商业供应
    • 培训服务
    • 360° CDMO 和 CRO 服务
    • CDMO 服务
    • 临床试验 CRO 服务
    • Unity Lab Services
    • 查看所有帮助和支持
  • 帮助和支持
    • 学习中心
    • 联系我们
    • 更改国家或地区
    • 查看所有帮助和支持
  • 热门产品
    • TaqMan Real-Time PCR Assays
      TaqMan 实时荧光定量 PCR 试剂盒
    • Antibodies
      抗体
    • Oligos, Primers & Probes
      寡核苷酸、引物、探针
    • GeneArt Gene Synthesis
      GeneArt 基因合成
    • Cell Culture Plastics
      细胞培养耗材
  • Who We Serve
    • 抗体治疗解决方案
    • 细胞与基因治疗解决方案
    • 学术科研
    • 工业与应用
  • 联系我们
  • 货号直购
  • 订单查询
  • 查找文件&证书
Thermo Fisher Scientific Logo

Search

搜索全部或下列指定分类
Search button
          • 联系我们
          • 货号直购
          • 登录
            登录
            没有账号?建立账号 注册
            • 我的账号
            • 订单
            • 会员中心
            • 账单及发票查询
            • 定制产品及项目
          • Primary Antibodies ›
          • PP2A alpha Antibodies

          Proteintech

          PPP2CA Monoclonal Antibody (3A6H5)

          1 篇参考文献
          查看其他30个PP2A alpha抗体

          {{$productOrderCtrl.translations['antibody.pdp.commerceCard.promotion.promotions']}}

          {{$productOrderCtrl.translations['antibody.pdp.commerceCard.promotion.viewpromo']}}

          {{$productOrderCtrl.translations['antibody.pdp.commerceCard.promotion.promocode']}}: {{promo.promoCode}} {{promo.promoTitle}} {{promo.promoDescription}}. {{$productOrderCtrl.translations['antibody.pdp.commerceCard.promotion.learnmore']}}

          说明书
          证书
          实验方案
          问题与答案
          技术支持
          说明书
          证书
          实验方案
          问题与答案
          技术支持
          说明书
          证书
          实验方案
          问题与答案
          技术支持

          Cite PPP2CA Monoclonal Antibody (3A6H5)

          Additional Information:
          {{banner.description}}
          {{$ctrl.isSkuNotesCollapsed ? 'View more' : 'View less'}}
          • 抗体检测数据 (2)
          PPP2CA Antibody in Immunohistochemistry (Paraffin) (IHC (P))
          Group 53 Created with Sketch.
          PPP2CA Antibody in Immunohistochemistry (Paraffin) (IHC (P))
          Group 53 Created with Sketch.

          图: 1 / 2

          {{ $ctrl.currentElement.advancedVerification.fullName }}
          {{ $ctrl.currentElement.advancedVerification.text }}

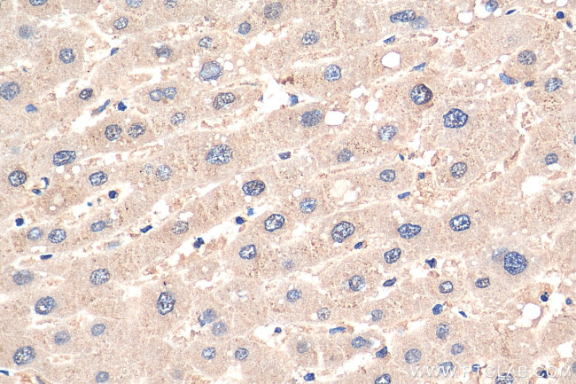
          PPP2CA Antibody (67809-1-IG) in IHC (P)

          Immunohistochemical analysis of paraffin-embedded human liver tissue slide using (Product # 67809-1-IG) (PPP2CA antibody) at dilution of 1:200 (under 40x lens). Heat mediated antigen retrieval with Tris-EDTA buffer (pH 9.0). {{ $ctrl.currentElement.advancedVerification.fullName }} 验证信息 View more
          已发表图片由___提供 benchsci-logo
          PMID: {{$ctrl.currentElement.benchSciPubmedId}}
          查看产品

          {{$ctrl.videoDesc}}

          {{$ctrl.videoLongDesc}}

          PPP2CA Antibody in Immunohistochemistry (Paraffin) (IHC (P))
          PPP2CA Antibody in Western Blot (WB)

          产品信息

          67809-1-IG

          应用
          建议稀释比
          已发表文章

          免疫印迹 (WB)

          1:2,000
          查看1篇已发表文章 1篇已发表文章

          免疫组化(石蜡) (IHC (P))

          1:200
          -
          产品规格

          种属反应

          Human, Rat

          宿主/亚型

          Mouse / IgG1

          分类

          Monoclonal

          类型

          Antibody

          克隆号

          3A6H5

          抗原

          PPP2CA Fusion Protein Ag4294

          偶联物

          Unconjugated Unconjugated Unconjugated
          • CoraLite Plus 488
          • Request custom conjugation

          形式

          Liquid

          浓度

          1000 µg/mL

          规格

          150 µg

          纯化类型

          Protein G

          保存液

          PBS, pH 7.3, with 50% glycerol

          内含物

          0.1% sodium azide

          保存条件

          -20°C

          运输条件

          Wet ice

          产品详细信息

          Aliquoting is unnecessary for -20°C storage.

          靶标信息

          In eukaryotes, the phosphorylation and dephosphorylation of proteins on serine and threonine residues is an essential means of regulating a broad range of cellular functions, including division, homeostasis and apoptosis. A group of proteins that are intimately involved in this process are the protein phosphatases. In general, the protein phosphatase (PP) holoenzyme is a trimeric complex composed of a regulatory subunit, a variable subunit and a catalytic subunit. Four major families of protein phosphatase catalytic subunits have been identified, designated PP1, PP2A, PP2B (calcineurin) and PP2C. The PP2A family comprises subfamily members PP2A alpha and PP2A beta. An additional protein phosphatase catalytic subunit, PPX (also known as PP4) is a putative member of a novel PP family.

          仅用于科研。不用于诊断过程。未经明确授权不得转售。

          生物信息学

          蛋白别名: B55-GAMMA; IMYPNO; IMYPNO1; Methyl-PPP2CA; MGC33570; phosphatase 2A; PP2A alpha; PP2A C terminal; PP2A L9; PP2A Leucine 9; PP2A-alpha; PPP2CA; PR52; PR55G; protein phosphatase 2 (formerly 2A), catalytic subunit, alpha isoform; protein phosphatase 2, catalytic subunit, alpha isoform; protein phosphatase 2, catalytic subunit, alpha isozyme; protein phosphatase 2a, catalytic subunit, alpha isoform; protein phosphatase-2A-alpha; Replication protein C; RP-C; Serine/threonine-protein phosphatase 2A catalytic subunit alpha isoform; unnamed protein product

          查看更多 收起

          基因别名: HJS3; NEDLBA; Pp2a1; PP2Ac; PP2CA; PP2Calpha; PPP2CA; RP-C

          查看更多 收起

          UniProt ID: (Human) P67775, (Rat) P63331

          查看更多 收起

          Entrez Gene ID: (Human) 5515, (Rat) 24672

          查看更多 收起

          功能
          phosphoprotein phosphatase activity protein serine/threonine phosphatase activity protein tyrosine phosphatase activity protein binding hydrolase activity metal ion binding protein heterodimerization activity tau protein binding GABA receptor binding RNA polymerase II CTD heptapeptide repeat S2 phosphatase activity RNA polymerase II CTD heptapeptide repeat S5 phosphatase activity RNA polymerase II CTD heptapeptide repeat S7 phosphatase activity protein C-terminus binding enzyme binding protein kinase binding protein phosphatase binding protein domain specific binding protein complex binding protein kinase B binding ion channel binding protein dimerization activity protein phosphatase 2A binding protein antigen binding protein phosphatase
          参与通路
          mitotic cell cycle regulation of transcription from RNA polymerase II promoter transcription from RNA polymerase II promoter transcription elongation from RNA polymerase II promoter protein dephosphorylation mesoderm development response to lead ion negative regulation of epithelial to mesenchymal transition regulation of microtubule polymerization negative regulation of hippo signaling intracellular signal transduction peptidyl-threonine dephosphorylation regulation of growth T cell homeostasis regulation of cell differentiation meiotic cell cycle negative regulation of protein kinase B signaling negative regulation of canonical Wnt signaling pathway vascular endothelial cell response to oscillatory fluid shear stress RNA polymerase II transcription initiation surveillance positive regulation of NLRP3 inflammasome complex assembly negative regulation of glycolytic process through fructose-6-phosphate regulation of G1/S transition of mitotic cell cycle negative regulation of transcription from RNA polymerase II promoter regulation of protein phosphorylation negative regulation of protein phosphorylation cardiac ventricle development heart development regulation of receptor activity regulation of protein autophosphorylation cellular response to insulin stimulus positive regulation of protein phosphatase type 2A activity positive regulation of protein dephosphorylation regulation of protein catabolic process negative regulation of transcription factor import into nucleus positive regulation of apoptotic process positive regulation of cysteine-type endopeptidase activity involved in apoptotic process protein heterotrimerization cellular response to calcium ion cellular response to glucose stimulus cellular response to cytokine stimulus cellular response to ethanol cellular response to follicle-stimulating hormone stimulus cellular response to steroid hormone stimulus positive regulation of protein serine/threonine kinase activity negative regulation of calcium ion transmembrane transporter activity
          It has to be done as per old AB suggested Products section.

          Disclaimer

          Close

          Clicking the images or links will redirect you to a website hosted by BenchSci that provides third-party scientific content. Neither the content nor the BenchSci technology and processes for selection have been evaluated by us; we are providing them as-is and without warranty of any kind, including for use or application of the Thermo Fisher Scientific products presented.

          guarantee_icon

          性能保障

          只要您发现Invitrogen抗体在实验中的表现与网站或说明书的所述内容不符,您即可享受免费退换货服务。*

          了解更多
          help_icon

          随时为您服务

          获取常见问题的专家解答,或者直接联系我们的技术专家,咨询应用、设备、常规产品使用问题。

          联系技术支持
          订购 Plus Icon Minus Icon
          • 订单状态查询
          • 订单支持
          • 货号直购
          • 现货供应中心
          • 电子采购
          支持 Plus Icon Minus Icon
          • 帮助&支持
          • 联系我们 - 400 820 8982
          • 技术支持中心
          • 查找文件&证书
          • 报告网站问题
          资源 Plus Icon Minus Icon
          • 学习中心
          • 促销
          • 活动&研讨会
          • 社交媒体
          关于赛默飞 Plus Icon Minus Icon
          • 关于我们
          • 招聘 招聘
          • 投资者关系 投资者关系
          • 新闻 新闻
          • 社会责任 社会责任
          • 商标
          • 政策和通知
          品牌 Plus Icon Minus Icon
          • Thermo Scientific
          • Applied Biosystems
          • Invitrogen
          • Gibco
          • Ion Torrent
          • Unity Lab Services
          • Patheon
          • PPD
          • 服务条款
          • 隐私政策
          • 定价和运输保险政策
          © 2006-2026 Thermo Fisher Scientific Inc. All rights reserved. All trademarks are the property of Thermo Fisher Scientific and its subsidiaries unless otherwise specified.
          China flag icon
          China
          本网站销售的所有产品均不得用于人类或动物之临床诊断或治疗,仅可用于工业或者科研等非医疗目的。
             电子营业执照 | 经营证照公示 | ICP备案号:沪ICP备11003924号 | 沪公网安备 31011502006935号

          Your items have has been added!


          Host server : magellan-search-green-6479c7f679-v472f:80/100.66.78.195:80.
          git-commit: b70c0dceb888abc3b0dcebb5bc3a5b8753e7e816
          git-url: https://github.com/thermofisher/magellan-search
          git-branch: release/2.50.0-Offline