Hamburger Menu Button
Thermo Fisher Scientific Logo
登录
没有账号?建立账号 注册
  • 产品
    • 抗体
    • 引物合成
    • GeneArt Gene Synthesis Instant Designer
    • TaqMan Assay and Array Search
    • PCR 设备和耗材
    • 色谱柱和纯化柱
    • 实验室离心机
    • 分子生物学试剂和试剂盒
    • 实验室塑料耗材及用品
    • 查看所有产品分类
  • 应用和技术
    • 色谱
    • 细胞转染和培养
    • 实时荧光定量PCR
    • 质谱
    • 实验室塑料耗材及用品
    • 电子显微镜
    • 蛋白质生物学
    • PCR
    • RNAi
    • 环境
    • 查看所有应用和技术
  • 服务
    • 定制服务
    • 企业级实验室信息化服务
    • 企业服务
    • 金融&租赁服务
    • 仪器服务
    • OEM和商业供应
    • 培训服务
    • 360° CDMO 和 CRO 服务
    • CDMO 服务
    • 临床试验 CRO 服务
    • 查看所有帮助和支持
  • 帮助和支持
    • 学习中心
    • 联系我们
    • 更改国家或地区
    • 查看所有帮助和支持
  • 热门产品
    • TaqMan Real-Time PCR Assays
      TaqMan 实时荧光定量 PCR 试剂盒
    • Antibodies
      抗体
    • Oligos, Primers & Probes
      寡核苷酸、引物、探针
    • GeneArt Gene Synthesis
      GeneArt 基因合成
    • Cell Culture Plastics
      细胞培养耗材
  • 联系我们
  • 货号直购
  • 订单查询
  • 查找文件&证书
Thermo Fisher Scientific Logo

Search

搜索全部或下列指定分类
Search button
          • 联系我们
          • 货号直购
          • 登录
            登录
            没有账号?建立账号 注册
            • 我的账号
            • 订单
            • 账单及发票查询
            • 定制产品及项目

          Disclaimer

          Clicking the images or links will redirect you to a website hosted by BenchSci that provides third-party scientific content. Neither the content nor the BenchSci technology and processes for selection have been evaluated by us; we are providing them as-is and without warranty of any kind, including for use or application of the Thermo Fisher Scientific products presented.

          • Primary Antibodies ›
          • PPP2R1A Antibodies

          Proteintech

          PPP2R1A Polyclonal Antibody

          7 篇参考文献
          查看其他13个PPP2R1A抗体

          {{$productOrderCtrl.translations['antibody.pdp.commerceCard.promotion.promotions']}}

          {{$productOrderCtrl.translations['antibody.pdp.commerceCard.promotion.viewpromo']}}

          {{$productOrderCtrl.translations['antibody.pdp.commerceCard.promotion.promocode']}}: {{promo.promoCode}} {{promo.promoTitle}} {{promo.promoDescription}}. {{$productOrderCtrl.translations['antibody.pdp.commerceCard.promotion.learnmore']}}

          说明书
          证书
          实验方案
          问题与答案
          技术支持
          说明书
          证书
          实验方案
          问题与答案
          技术支持
          说明书
          证书
          实验方案
          问题与答案
          技术支持

          Cite PPP2R1A Polyclonal Antibody

          • 抗体检测数据 (10)
          PPP2R1A Antibody in Immunohistochemistry (Paraffin) (IHC (P))
          Group 53 Created with Sketch.
          PPP2R1A Antibody in Immunohistochemistry (Paraffin) (IHC (P))
          Group 53 Created with Sketch.

          图: 1 / 10

          {{ $ctrl.currentElement.advancedVerification.fullName }}
          {{ $ctrl.currentElement.advancedVerification.text }}

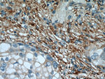
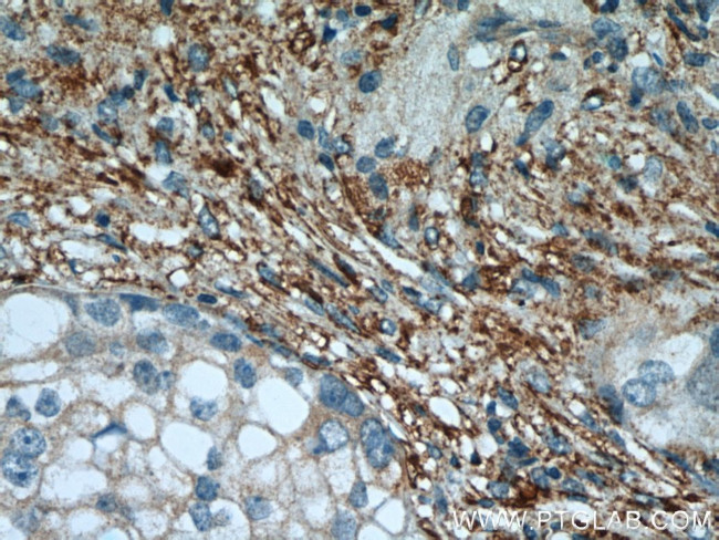
          PPP2R1A Antibody (15882-1-AP) in IHC (P)

          Immunohistochemistry of paraffin-embedded human ovary tumor using 15882-1-AP (PPP2R1A antibody) at dilution of 1:50 (under 40x lens). {{ $ctrl.currentElement.advancedVerification.fullName }} 验证信息 View more
          已发表图片由___提供 benchsci-logo
          PMID: {{$ctrl.currentElement.benchSciPubmedId}}
          查看产品

          {{$ctrl.videoDesc}}

          {{$ctrl.videoLongDesc}}

          PPP2R1A Antibody in Immunohistochemistry (Paraffin) (IHC (P))
          PPP2R1A Antibody in Immunohistochemistry (Paraffin) (IHC (P))
          PPP2R1A Antibody in Immunohistochemistry (Paraffin) (IHC (P))
          PPP2R1A Antibody in Immunohistochemistry (Paraffin) (IHC (P))
          PPP2R1A Antibody in Western Blot (WB)
          PPP2R1A Antibody in Western Blot (WB)
          PPP2R1A Antibody in Western Blot (WB)
          PPP2R1A Antibody in Western Blot (WB)
          PPP2R1A Antibody in Western Blot (WB)
          PPP2R1A Antibody in Immunoprecipitation (IP)
          PPP2R1A Polyclonal Antibody

          产品信息

          15882-1-AP

          应用
          建议稀释比
          已发表文章

          免疫印迹 (WB)

          1:500-1:2,000
          查看5篇已发表文章 5篇已发表文章

          免疫组化(石蜡) (IHC (P))

          1:20-1:200
          -

          免疫沉淀 (IP)

          0.5-4.0 µg
          查看2篇已发表文章 2篇已发表文章
          产品规格

          种属反应

          Human, Mouse, Rat

          已发表种属

          Human, Pig

          宿主/亚型

          Rabbit / IgG

          分类

          Polyclonal

          类型

          Antibody

          抗原

          PPP2R1A Fusion Protein Ag8661 (239-589 aa encoded by BC001537)
          查看免疫原

          偶联物

          Unconjugated Unconjugated Unconjugated

          形式

          Liquid

          浓度

          0.16 mg/mL

          纯化类型

          Antigen affinity chromatography

          保存液

          PBS, pH 7.3, with 50% glycerol

          内含物

          0.02% sodium azide

          保存条件

          -20°C

          运输条件

          Wet ice (domestic); Dry ice (international)

          产品详细信息

          Immunogen sequence: DLEALVMPT LRQAAEDKSW RVRYMVADKF TELQKAVGPE ITKTDLVPAF QNLMKDCEAE VRAAASHKVK EFCENLSADC RENVIMSQIL PCIKELVSDA NQHVKSALAS VIMGLSPILG KDNTIEHLLP LFLAQLKDEC PEVRLNIISN LDCVNEVIGI RQLSQSLLPA IVELAEDAKW RVRLAIIEYM PLLAGQLGVE FFDEKLNSLC MAWLVDHVYA IREAATSNLK KLVEKFGKEW AHATIIPKVL AMSGDPNYLH RMTTLFCINV LSEVCGQDIT TKHMLPTVLR MAGDPVANVR FNVAKSLQKI GPILDNSTLQ SEVKPILEKL TQDQDVDVKY FAQEALTVLS LA (239-589 aa encoded by BC001537)

          靶标信息

          The PR65 subunit of protein phosphatase 2A serves as a scaffolding molecule to coordinate the assembly of the catalytic subunit and a variable regulatory B subunit. Upon interaction with GNA12 promotes dephosphorylation of microtubule associated protein TAU/MAPT. Required for proper chromosome segregation and for centromeric localization of SGO1 in mitosis.

          仅用于科研。不用于诊断过程。未经明确授权不得转售。

          生物信息学

          蛋白别名: alpha isoform of regulatory subunit A, protein phosphatase 2; Medium tumor antigen-associated 61 kDa protein; MGC786; PP2A subunit A isoform PR65-alpha; PP2A subunit A isoform R1-alpha; PP2Ac; PP2CA; PP2Calpha; protein phosphatase 2 (formerly 2A), regulatory subunit A (PR 65), alpha isoform; protein phosphatase 2 (formerly 2A), regulatory subunit A, alpha isoform; protein phosphatase 2 regulatory subunit A, alpha; protein phosphatase 2, regulatory subunit A, alpha; protein phosphatase PP2A; RP-C; serine/threonine protein phosphatase 2A, 65 kDa regulatory subunit A, alpha isoform; serine/threonine protein phosphatase A subunit type 2A; Serine/threonine-protein phosphatase 2A 65 kDa regulatory subunit A alpha isoform; testicular secretory protein Li 1

          查看更多 收起

          基因别名: 6330556D22Rik; MRD36; PP2A; PP2A-Aalpha; PP2AAALPHA; PPP2R1A; PR65; PR65A

          查看更多 收起

          UniProt ID: (Human) P30153, (Mouse) Q76MZ3

          查看更多 收起

          Entrez Gene ID: (Human) 5518, (Mouse) 51792, (Rat) 117281

          查看更多 收起

          功能
          antigen binding protein serine/threonine phosphatase activity protein binding protein phosphatase type 2A regulator activity protein heterodimerization activity phosphatase modulator
          参与通路
          G2/M transition of mitotic cell cycle nuclear-transcribed mRNA catabolic process, nonsense-mediated decay inactivation of MAPK activity regulation of DNA replication regulation of transcription, DNA-templated protein complex assembly protein dephosphorylation ceramide metabolic process apoptotic process chromosome segregation mitotic nuclear envelope reassembly female meiotic division RNA splicing response to organic substance second-messenger-mediated signaling regulation of Wnt signaling pathway regulation of cell adhesion negative regulation of cell growth regulation of protein phosphatase type 2A activity regulation of growth negative regulation of tyrosine phosphorylation of Stat3 protein regulation of cell differentiation meiotic spindle elongation mitotic sister chromatid separation meiotic sister chromatid cohesion, centromeric peptidyl-serine dephosphorylation regulation of meiotic cell cycle process involved in oocyte maturation positive regulation of extrinsic apoptotic signaling pathway in absence of ligand
          It has to be done as per old AB suggested Products section.
          guarantee_icon

          性能保障

          只要您发现Invitrogen抗体在实验中的表现与网站或说明书的所述内容不符,您即可享受免费退换货服务。*

          了解更多
          help_icon

          随时为您服务

          获取常见问题的专家解答,或者直接联系我们的技术专家,咨询应用、设备、常规产品使用问题。

          联系技术支持
          订购 Plus Icon Minus Icon
          • 订单状态查询
          • 订单支持
          • 货号直购
          • 现货供应中心
          • 电子采购
          支持 Plus Icon Minus Icon
          • 帮助&支持
          • 联系我们 - 400 820 8982
          • 技术支持中心
          • 查找文件&证书
          • 报告网站问题
          资源 Plus Icon Minus Icon
          • 学习中心
          • 促销
          • 活动&研讨会
          • 社交媒体
          关于赛默飞 Plus Icon Minus Icon
          • 关于我们
          • 招聘 招聘
          • 投资者关系 投资者关系
          • 新闻 新闻
          • 社会责任 社会责任
          • 商标
          • 政策和通知
          品牌 Plus Icon Minus Icon
          • Thermo Scientific
          • Applied Biosystems
          • Invitrogen
          • Gibco
          • Ion Torrent
          • Patheon
          • PPD
          • 服务条款
          • 隐私政策
          • 定价和运输保险政策
          © 2006-2026 Thermo Fisher Scientific Inc. All rights reserved. All trademarks are the property of Thermo Fisher Scientific and its subsidiaries unless otherwise specified.
          China flag icon
          China
          本网站销售的所有产品均不得用于人类或动物之临床诊断或治疗,仅可用于工业或者科研等非医疗目的。
             电子营业执照 | 经营证照公示 | ICP备案号:沪ICP备11003924号 | 沪公网安备 31011502006935号

          Your items have has been added!


          Host server : magellan-search-blue-55ff9ddd88-lffdw:80/100.66.79.31:80.
          git-commit: d366ff9721d93504b2ac26a183b2b3e3d0e7d9ec
          git-url: https://github.com/thermofisher/magellan-search
          git-branch: release/2.42.0-2026.01.03-1.0