Hamburger Menu Button
Thermo Fisher Scientific Logo
登录
没有账号?建立账号 注册
  • 产品
    • 抗体
    • 引物合成
    • GeneArt Gene Synthesis Instant Designer
    • TaqMan Assay and Array Search
    • PCR 设备和耗材
    • 色谱柱和纯化柱
    • 实验室离心机
    • 分子生物学试剂和试剂盒
    • 实验室塑料耗材及用品
    • 查看所有产品分类
  • 应用和技术
    • 色谱
    • 细胞转染和培养
    • 实时荧光定量PCR
    • 质谱
    • 实验室塑料耗材及用品
    • 电子显微镜
    • 蛋白质生物学
    • PCR
    • RNAi
    • 环境
    • 查看所有应用和技术
  • 服务
    • 定制服务
    • 企业级实验室信息化服务
    • 金融&租赁服务
    • 仪器服务
    • OEM和商业供应
    • 培训服务
    • 360° CDMO 和 CRO 服务
    • CDMO 服务
    • 临床试验 CRO 服务
    • Unity Lab Services
    • 查看所有帮助和支持
  • 帮助和支持
    • 学习中心
    • 联系我们
    • 更改国家或地区
    • 查看所有帮助和支持
  • 热门产品
    • TaqMan Real-Time PCR Assays
      TaqMan 实时荧光定量 PCR 试剂盒
    • Antibodies
      抗体
    • Oligos, Primers & Probes
      寡核苷酸、引物、探针
    • GeneArt Gene Synthesis
      GeneArt 基因合成
    • Cell Culture Plastics
      细胞培养耗材
  • Who We Serve
    • 抗体治疗解决方案
    • 细胞与基因治疗解决方案
    • 学术科研
    • 工业与应用
  • 联系我们
  • 货号直购
  • 订单查询
  • 查找文件&证书
Thermo Fisher Scientific Logo

Search

搜索全部或下列指定分类
Search button
          • 联系我们
          • 货号直购
          • 登录
            登录
            没有账号?建立账号 注册
            • 我的账号
            • 订单
            • 会员中心
            • 账单及发票查询
            • 定制产品及项目
          • Primary Antibodies ›
          • cGKI Antibodies

          Proteintech

          PRKG1 Polyclonal Antibody

          14 篇参考文献
          查看其他15个cGKI抗体

          {{$productOrderCtrl.translations['antibody.pdp.commerceCard.promotion.promotions']}}

          {{$productOrderCtrl.translations['antibody.pdp.commerceCard.promotion.viewpromo']}}

          {{$productOrderCtrl.translations['antibody.pdp.commerceCard.promotion.promocode']}}: {{promo.promoCode}} {{promo.promoTitle}} {{promo.promoDescription}}. {{$productOrderCtrl.translations['antibody.pdp.commerceCard.promotion.learnmore']}}

          说明书
          证书
          实验方案
          问题与答案
          技术支持
          说明书
          证书
          实验方案
          问题与答案
          技术支持
          说明书
          证书
          实验方案
          问题与答案
          技术支持

          Cite PRKG1 Polyclonal Antibody

          Additional Information:
          {{banner.description}}
          {{$ctrl.isSkuNotesCollapsed ? 'View more' : 'View less'}}
          • 抗体检测数据 (6)
          PRKG1 Antibody in Immunohistochemistry (Paraffin) (IHC (P))
          Group 53 Created with Sketch.
          PRKG1 Antibody in Immunohistochemistry (Paraffin) (IHC (P))
          Group 53 Created with Sketch.

          图: 1 / 6

          {{ $ctrl.currentElement.advancedVerification.fullName }}
          {{ $ctrl.currentElement.advancedVerification.text }}

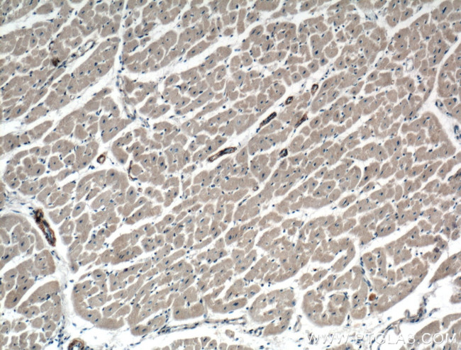
          PRKG1 Antibody (21646-1-AP) in IHC (P)

          Immunohistochemical analysis of paraffin-embedded human heart tissue slide using (Product # 21646-1-AP) (PRKG1 Antibody) at dilution of 1:200 (under 10x lens). {{ $ctrl.currentElement.advancedVerification.fullName }} 验证信息 View more
          已发表图片由___提供 benchsci-logo
          PMID: {{$ctrl.currentElement.benchSciPubmedId}}
          查看产品

          {{$ctrl.videoDesc}}

          {{$ctrl.videoLongDesc}}

          PRKG1 Antibody in Immunohistochemistry (Paraffin) (IHC (P))
          PRKG1 Antibody in Immunohistochemistry (Paraffin) (IHC (P))
          PRKG1 Antibody in Western Blot (WB)
          PRKG1 Antibody in Western Blot (WB)
          PRKG1 Antibody in Western Blot (WB)
          PRKG1 Antibody in Immunoprecipitation (IP)
          PRKG1 Polyclonal Antibody

          产品信息

          21646-1-AP

          应用
          建议稀释比
          已发表文章

          免疫印迹 (WB)

          1:500-1:1,000
          查看13篇已发表文章 13篇已发表文章

          免疫组化 (IHC)

          -
          查看1篇已发表文章 1篇已发表文章

          免疫组化(石蜡) (IHC (P))

          1:200
          -

          免疫沉淀 (IP)

          0.5-4.0 µg
          -
          产品规格

          种属反应

          Human, Mouse, Rat

          宿主/亚型

          Rabbit / IgG

          分类

          Polyclonal

          类型

          Antibody

          抗原

          PRKG1 Fusion Protein Ag16333 (1-178 aa encoded by BC127090)
          3D表位/免疫原

          偶联物

          Unconjugated Unconjugated Unconjugated

          形式

          Liquid

          浓度

          0.51 mg/mL

          规格

          76.5 µg

          纯化类型

          Antigen affinity chromatography

          保存液

          PBS, pH 7.3, with 50% glycerol

          内含物

          0.02% sodium azide

          保存条件

          -20°C

          运输条件

          Wet ice (domestic); Dry ice (international)

          产品详细信息

          Immunogen sequence: MGTLRDLQY ALQEKIEELR QRDALIDELE LELDQKDELI QKLQNELDKY RSVIRPATQQ AQKQSASTLQ GEPRTKRQAI SAEPTAFDIQ DLSHVTLPFY PKSPQSKDLI KEAILDNDFM KNLELSQIQE IVDCMYPVEY GKDSCIIKEG DVGSLVYVME DGKVEVTKEG VKLCTMGPG (1-178 aa encoded by BC127090 )

          靶标信息

          PRKG1 is a cGMP-dependent serine/threonine kinase which has an important role in the relaxation of vascular smooth muscle and the inhibition of platelet aggregation. The PRKG1 proteins play a central role in regulating cardiovascular and neuronal functions in addition to relaxing smooth muscle tone, and modulating cell growth. This gene is most strongly expressed in all types of smooth muscle, platelets, cerebellar Purkinje cells, hippocampal neurons, and the lateral amygdala. Isoforms Ialpha and Ibeta have identical cGMP-binding and catalytic domains but differ in their leucine/isoleucine zipper and autoinhibitory sequences and therefore differ in their dimerization substrates and kinase enzyme activity.

          仅用于科研。不用于诊断过程。未经明确授权不得转售。

          生物信息学

          蛋白别名: cGK 1; cGK cGK cGKI; cGK cGK1; cGK1; cGKI; cGMP dependent protein kinase type 1; cGMP-dependent protein kinase 1; cGMP-dependent protein kinase I; OTTHUMP00000019618; protein kinase, cGMP-dependent, regulatory, type I, beta; protein kinase, cGMP-dependent, type I; RP11-346D6.1; unnamed protein product

          查看更多 收起

          基因别名: AAT8; AW125416; cGK; cGK 1; cGK1; CGKI; cGKI-alpha; cGKI-BETA; Gm19690; PKG; PKG1; Pkgi; PRKG1; PRKG1B; PRKGR1A; PRKGR1B

          查看更多 收起

          UniProt ID: (Human) Q13976, (Mouse) P0C605

          查看更多 收起

          Entrez Gene ID: (Human) 5592, (Mouse) 19091, (Rat) 54286

          查看更多 收起

          功能
          nucleotide binding catalytic activity protein kinase activity protein serine/threonine kinase activity cGMP-dependent protein kinase activity calcium channel regulator activity protein binding ATP binding kinase activity transferase activity cGMP binding identical protein binding mitogen-activated protein kinase p38 binding protein serine kinase activity transferase activity, transferring phosphorus-containing groups protein homodimerization activity non-receptor serine/threonine protein kinase
          参与通路
          neuron migration protein phosphorylation signal transduction positive regulation of cytosolic calcium ion concentration spermatid development heart development negative regulation of inositol phosphate biosynthetic process negative regulation of glutamate secretion negative regulation of smooth muscle cell migration dendrite development cGMP-mediated signaling cerebellum development actin cytoskeleton organization forebrain development vasodilation positive regulation of circadian rhythm regulation of GTPase activity regulation of vascular permeability negative regulation of smooth muscle contraction collateral sprouting relaxation of vascular smooth muscle cell growth involved in cardiac muscle cell development negative regulation of platelet aggregation bone growth negative regulation of vascular smooth muscle cell proliferation negative regulation of vascular associated smooth muscle cell migration regulation of testosterone biosynthetic process metabolic process phosphorylation negative regulation of heart contraction positive regulation of vasodilation mitophagy in response to mitochondrial depolarization positive regulation of large conductance calcium-activated potassium channel activity brain development
          It has to be done as per old AB suggested Products section.

          Disclaimer

          Close

          Clicking the images or links will redirect you to a website hosted by BenchSci that provides third-party scientific content. Neither the content nor the BenchSci technology and processes for selection have been evaluated by us; we are providing them as-is and without warranty of any kind, including for use or application of the Thermo Fisher Scientific products presented.

          guarantee_icon

          性能保障

          只要您发现Invitrogen抗体在实验中的表现与网站或说明书的所述内容不符,您即可享受免费退换货服务。*

          了解更多
          help_icon

          随时为您服务

          获取常见问题的专家解答,或者直接联系我们的技术专家,咨询应用、设备、常规产品使用问题。

          联系技术支持
          订购 Plus Icon Minus Icon
          • 订单状态查询
          • 订单支持
          • 货号直购
          • 现货供应中心
          • 电子采购
          支持 Plus Icon Minus Icon
          • 帮助&支持
          • 联系我们 - 400 820 8982
          • 技术支持中心
          • 查找文件&证书
          • 报告网站问题
          资源 Plus Icon Minus Icon
          • 学习中心
          • 促销
          • 活动&研讨会
          • 社交媒体
          关于赛默飞 Plus Icon Minus Icon
          • 关于我们
          • 招聘 招聘
          • 投资者关系 投资者关系
          • 新闻 新闻
          • 社会责任 社会责任
          • 商标
          • 政策和通知
          品牌 Plus Icon Minus Icon
          • Thermo Scientific
          • Applied Biosystems
          • Invitrogen
          • Gibco
          • Ion Torrent
          • Unity Lab Services
          • Patheon
          • PPD
          • 服务条款
          • 隐私政策
          • 定价和运输保险政策
          © 2006-2026 Thermo Fisher Scientific Inc. All rights reserved. All trademarks are the property of Thermo Fisher Scientific and its subsidiaries unless otherwise specified.
          China flag icon
          China
          本网站销售的所有产品均不得用于人类或动物之临床诊断或治疗,仅可用于工业或者科研等非医疗目的。
             电子营业执照 | 经营证照公示 | ICP备案号:沪ICP备11003924号 | 沪公网安备 31011502006935号

          Your items have has been added!


          Host server : magellan-search-blue-7c59b9b899-49tpj:80/100.66.77.222:80.
          git-commit: 8ef7cf686e3c81d28b13492708ce56d167b2f995
          git-url: https://github.com/thermofisher/magellan-search
          git-branch: release/2.49.0-Offline